XB-ART-16900
J Cell Biol
1997 Feb 10;1363:515-29.
Show Gene links
Show Anatomy links
Identification of protein p270/Tpr as a constitutive component of the nuclear pore complex-attached intranuclear filaments.
Cordes VC, Reidenbach S, Rackwitz HR, Franke WW.
???displayArticle.abstract???
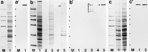
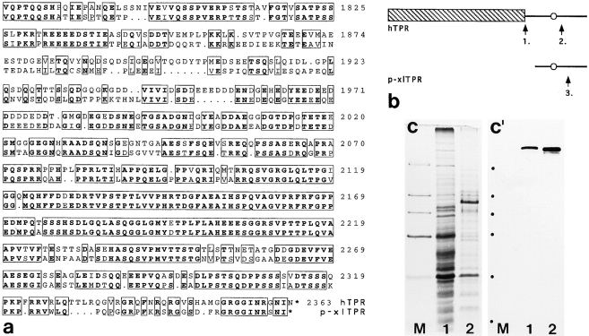
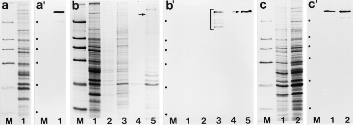
Using a monoclonal antibody, mAb 203-37, we have identified a polypeptide of M(r) approximately 270 kD (p270) as a general constituent of the intranuclear filaments attached to the nucleoplasmic annulus of the nuclear pore complex (NPC) in diverse kinds of vertebrate cells. Using cDNA cloning and immunobiochemistry, we show that human protein p270 has a predicted molecular mass of 267 kD and is essentially identical to the coiled-coil dominated protein Tpr reported by others to be located on the outer, i.e., cytoplasmic surface of NPCs (Byrd, D.A., D.J. Sweet, N. Pante, K.N. Konstantinov, T. Guan, A.C.S. Saphire, P.J. Mitchell, C.S. Cooper, U. Aebi, and L. Gerace. 1994. J. Cell Biol. 127: 1515-1526). To clarify this controversial localization, we have performed immunoelectron microscopy in diverse kinds of mammalian and amphibian cells with a series of antibodies raised against different epitopes of human and Xenopus laevis p270/Tpr. In these experiments, the protein has been consistently and exclusively detected in the NPC-attached intranuclear filaments, and p270/Tpr-containing filament bundles have been traced into the nuclear interior for up to 350 nm. No reaction has been noted at the cytoplasmic side of NPCs with any of the p270/Tpr antibodies, whereas control antibodies such as those against protein RanBP2/Nup358 specifically decorate the cytoplasmic annulus of NPCs. Pore complexes of cytoplasmic annulate lamellae in various mammalian and amphibian cells are also devoid of immunodetectable protein p270/Tpr. We conclude that this coiled-coil protein is a general and ubiquitous component of the intranuclear NPC-attached filaments and discuss its possible functions.
???displayArticle.pubmedLink??? 9024684
???displayArticle.pmcLink??? PMC2134304
???displayArticle.grants??? [+]
GM26514 NIGMS NIH HHS
Species referenced: Xenopus laevis
Genes referenced: tbxt.2 tpr
???displayArticle.antibodies??? Tpr Ab1
???attribute.lit??? ???displayArticles.show???
References [+] :
Akey,
Architecture of the Xenopus nuclear pore complex revealed by three-dimensional cryo-electron microscopy.
1993, Pubmed,
Xenbase
Akey, Architecture of the Xenopus nuclear pore complex revealed by three-dimensional cryo-electron microscopy. 1993, Pubmed , Xenbase
Bangs, Product of the oncogene-activating gene Tpr is a phosphorylated protein of the nuclear pore complex. 1996, Pubmed
Bastos, Nuclear pore complex proteins. 1995, Pubmed
Blobel, Gene gating: a hypothesis. 1985, Pubmed
Bohmann, Molecular analysis of the coiled body. 1995, Pubmed
Byrd, Tpr, a large coiled coil protein whose amino terminus is involved in activation of oncogenic kinases, is localized to the cytoplasmic surface of the nuclear pore complex. 1994, Pubmed
Chardonnet, Early events in the interaction of adenoviruses with HeLa cells. 3. Relationship between an ATPase activity in nuclear envelopes and transfer of core material: a hypothesis. 1972, Pubmed
Cordes, High content of a nuclear pore complex protein in cytoplasmic annulate lamellae of Xenopus oocytes. 1995, Pubmed , Xenbase
Cordes, Intranuclear filaments containing a nuclear pore complex protein. 1993, Pubmed , Xenbase
Cordes, Cytoplasmic annulate lamellae in cultured cells: composition, distribution, and mitotic behavior. 1996, Pubmed
Davis, Identification and characterization of a nuclear pore complex protein. 1986, Pubmed
Davis, The nuclear pore complex. 1995, Pubmed , Xenbase
Emini, Induction of hepatitis A virus-neutralizing antibody by a virus-specific synthetic peptide. 1985, Pubmed
Feldherr, The binding characteristics of the nuclear annuli. 1974, Pubmed
Franke, The ultrastructure of the nuclear envelope of amphibian oocytes: a reinvestigation. II. The immature oocyte and dynamic aspects. 1970, Pubmed
Franke, On the universality of nuclear pore complex structure. 1970, Pubmed
Franke, Isolated nuclear membranes. 1966, Pubmed
Franke, The ultrastructure of the nuclear envelope of amphibian oocytes: a reinvestigation. I. The mature oocyte. 1970, Pubmed
Franke, Structure, biochemistry, and functions of the nuclear envelope. 1974, Pubmed
Gall, Is the sphere organelle/coiled body a universal nuclear component? 1995, Pubmed , Xenbase
Gall, Octagonal nuclear pores. 1967, Pubmed
Gerace, Identification of a major polypeptide of the nuclear pore complex. 1982, Pubmed
Goldberg, High resolution scanning electron microscopy of the nuclear envelope: demonstration of a new, regular, fibrous lattice attached to the baskets of the nucleoplasmic face of the nuclear pores. 1992, Pubmed , Xenbase
Goldberg, Structural and functional organization of the nuclear envelope. 1995, Pubmed , Xenbase
Greco, TRK-T1 is a novel oncogene formed by the fusion of TPR and TRK genes in human papillary thyroid carcinomas. 1992, Pubmed
Hallberg, An integral membrane protein of the pore membrane domain of the nuclear envelope contains a nucleoporin-like region. 1993, Pubmed
Hinshaw, Architecture and design of the nuclear pore complex. 1992, Pubmed , Xenbase
Höger, Immunolocalization of lamins in the thick nuclear lamina of human synovial cells. 1991, Pubmed
Jameson, The antigenic index: a novel algorithm for predicting antigenic determinants. 1988, Pubmed
Jarnik, Toward a more complete 3-D structure of the nuclear pore complex. 1991, Pubmed , Xenbase
Kartenbeck, The nuclear envelope in freeze-etching. 1971, Pubmed , Xenbase
Kraemer, The human CAN protein, a putative oncogene product associated with myeloid leukemogenesis, is a nuclear pore complex protein that faces the cytoplasm. 1994, Pubmed
Laemmli, Cleavage of structural proteins during the assembly of the head of bacteriophage T4. 1970, Pubmed
Leube, Sorting of synaptophysin into special vesicles in nonneuroendocrine epithelial cells. 1994, Pubmed
Meier, Nopp140 shuttles on tracks between nucleolus and cytoplasm. 1992, Pubmed
Melchior, Mechanisms of nuclear protein import. 1995, Pubmed
Melchior, GTP hydrolysis by Ran occurs at the nuclear pore complex in an early step of protein import. 1995, Pubmed
Mitchell, Nucleotide sequence analysis of human tpr cDNA clones. 1992, Pubmed
Mitchell, The human tpr gene encodes a protein of 2094 amino acids that has extensive coiled-coil regions and an acidic C-terminal domain. 1992, Pubmed
Newmeyer, Nuclear import can be separated into distinct steps in vitro: nuclear pore binding and translocation. 1988, Pubmed , Xenbase
Niehrs, In vivo expression and stoichiometric sulfation of the artificial protein sulfophilin, a polymer of tyrosine sulfation sites. 1992, Pubmed
O'Farrell, High resolution two-dimensional electrophoresis of proteins. 1975, Pubmed
Panté, Exploring nuclear pore complex structure and function in molecular detail. 1995, Pubmed , Xenbase
Panté, Interactions and three-dimensional localization of a group of nuclear pore complex proteins. 1994, Pubmed , Xenbase
Panté, Toward the molecular dissection of protein import into nuclei. 1996, Pubmed
Panté, Toward a molecular understanding of the structure and function of the nuclear pore complex. 1995, Pubmed
Park, Mechanism of met oncogene activation. 1986, Pubmed
Powers, Reconstituted nuclei depleted of a vertebrate GLFG nuclear pore protein, p97, import but are defective in nuclear growth and replication. 1995, Pubmed , Xenbase
Radu, The peptide repeat domain of nucleoporin Nup98 functions as a docking site in transport across the nuclear pore complex. 1995, Pubmed
Reichelt, Correlation between structure and mass distribution of the nuclear pore complex and of distinct pore complex components. 1990, Pubmed , Xenbase
Richardson, Nuclear protein migration involves two steps: rapid binding at the nuclear envelope followed by slower translocation through nuclear pores. 1988, Pubmed , Xenbase
Ris, High-resolution field emission scanning electron microscope imaging of internal cell structures after Epon extraction from sections: a new approach to correlative ultrastructural and immunocytochemical studies. 1993, Pubmed , Xenbase
Roth, Spheres, coiled bodies and nuclear bodies. 1995, Pubmed
Rout, Pores for thought: nuclear pore complex proteins. 1994, Pubmed
Sanger, DNA sequencing with chain-terminating inhibitors. 1977, Pubmed
Schnölzer, In situ neutralization in Boc-chemistry solid phase peptide synthesis. Rapid, high yield assembly of difficult sequences. 1992, Pubmed
Simos, Nucleocytoplasmic transport: factors and mechanisms. 1995, Pubmed , Xenbase
Soman, The TPR-MET oncogenic rearrangement is present and expressed in human gastric carcinoma and precursor lesions. 1991, Pubmed
Strouboulis, Functional compartmentalization of the nucleus. 1996, Pubmed
Sukegawa, A nuclear pore complex protein that contains zinc finger motifs, binds DNA, and faces the nucleoplasm. 1993, Pubmed
Summers, Electron microscopic observations on granulosis virus entry, uncoating and replication processes during infection of the midgut cells of Trichoplusia ni. 1971, Pubmed
Sweet, Taking from the cytoplasm and giving to the pore: soluble transport factors in nuclear protein import. 1995, Pubmed
Thomas, An octamer of histones in chromatin and free in solution. 1975, Pubmed
Venetianer, Cessation of cytokeratin expression in a rat hepatoma cell line lacking differentiated functions. , Pubmed
Wilken, Localization of the Ran-GTP binding protein RanBP2 at the cytoplasmic side of the nuclear pore complex. 1995, Pubmed
Wozniak, Primary structure analysis of an integral membrane glycoprotein of the nuclear pore. 1989, Pubmed
Wu, Nup358, a cytoplasmically exposed nucleoporin with peptide repeats, Ran-GTP binding sites, zinc fingers, a cyclophilin A homologous domain, and a leucine-rich region. 1995, Pubmed
Yokoyama, A giant nucleopore protein that binds Ran/TC4. 1995, Pubmed
