Click here to close
Hello! We notice that you are using Internet Explorer, which is not supported by Xenbase and may cause the site to display incorrectly.
We suggest using a current version of Chrome,
FireFox, or Safari.
???displayArticle.abstract???
The importance and involvement of growth factors and their corresponding receptors in embryonic induction has been more and more recognized during the past decade, in particular by loss-of-function experiments using dominant negative receptors. Here, we report the isolation of XHR, a Xenopus receptor-type tyrosine kinase, with homology to members of the Met/hepatocyte growth factor (HGF)-receptor family. Sequence comparison of XHR with other members of the Met/HGF-receptor family as well as in situ expression analyses suggest that XHR represents a novel member of this family of receptor-type tyrosine kinases. As could be shown by whole-mount in situ analysis, XHR transcripts are first expressed in the entire ectoderm at the onset of gastrulation. As gastrulation proceeds, XHR-transcription is turned off in cells induced by dorsal mesoderm to form neural tissue and thus, becomes predominantly confined to prospective epidermis. The strikingly similar expression patterns of XHR and Bone Morphogenetic Protein-4 (BMP-4), an inducer of epidermis and inhibitor of neural development, suggest an involvement of XHR signalling in the early cell-fate decision of ectodermal cells to form either neural derivatives or epidermis.
FIG. 1. A-E: In situ distribution of XHR transcripts during gastrula and early neurula stages. A: Lateral view of a mid-gastrula stage
embryo. Arrowheads mark the anteriorâposterior extension of XHR-negative cells in dorsal ectoderm. Arrows enclose ventral marginal
zone. B: dorsal view of a late gastrula. C: anterior view of the same embryo as shown in B. Arrowheads point out a stripe of strong XHR
expression at the anteriormost border of the presumptive neural plate. D: anterior view of an embryo at stage 15. Arrowheads mark the
anterior and lateral border of the neural plate, also labelled by cells with strong XHR expression. E: dorsal view of the same embryo as
shown in D. Arrowheads point out the posterior border of the stripe of cells with strong XHR expression. F-G: Localization of XHL transcripts
during gastrulation and early neurulation. F: dorso-vegetal view of a mid-gastrula stage embryo. G: dorsal view of a stage 13 embryo stained
for XHL mRNA. The dorsal border of XHR expression is marked by arrowheads. H: Cross-sections of a late gastrulaembryo prior subjected
to whole-mount in situ hybridization. Arrows mark the dorsal border of XHR expression in ectoderm. I: Cross-section of an early neurula
at the level of the eye anlage. Arrows point out the dorsal expression border of XHR in the epithelial layer of the neuroectoderm. Arrowheads
mark the lateral border of XHR-positiv cells in the sensorial layer of the neuroectoderm. J: Close-up of a cross-section through an embryo
at stage 15 at the level of the prospective trunk region. Arrow points out the dorsal border of XHR expression in the epithelial layer of
neuroectoderm. Bracket encloses XHR-expressing cells in the sensorial layer of the neural plate. Arrowhead marks the border between
neural plate and epidermis. K: sagittal section of a neurulaembryo. Arrows point out the anterior and posterior border of XHR expression.
Arrowhead marks the anterior border of the neural plate. adm: anterior dorsal mesoderm; ae: archenteron; am: axial mesoderm; ant:
anterior; bl: blastocoel; bp: blastopore; dors: dorsal; el: epithelial layer of ne; epi: epidermis; n: notochord; ne: neuroectoderm; np: neural
plate; sl: sensorial layer of ne; sm: somitic mesoderm; post: posterior; vent: ventral; yp: yolk plug.
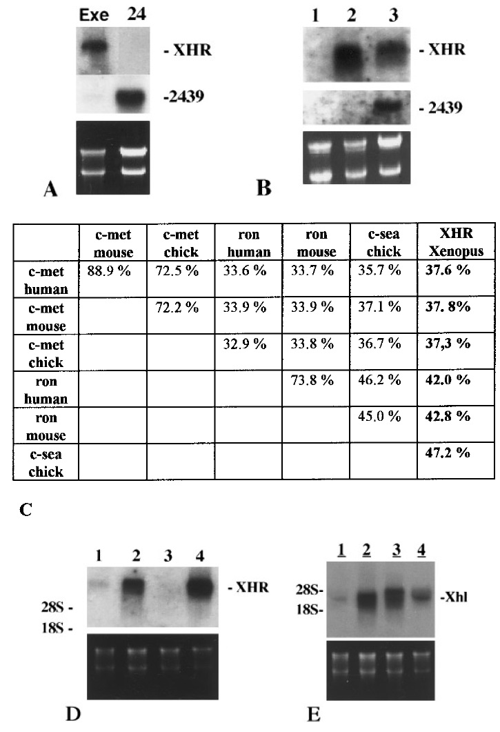
FIG. 2. A: Northern blot analysis showing that XHR mRNA is expressed in the ectoderm of completely exogastrulated embryos (Exe) cultured until sibling embryos reached stage 24 of development. 24: stage 24 sibling embryos. The same blot was reprobed with a neural-specific RNA-binding protein (24-39) (22). B: Northern blot analysis comparing XHRmRNA transcription in disaggregated/reaggregated and untreated animal caps. 1: Ectodermal explants isolated at stage 9 and frozen immediately afterwards. 2: Ectodermal explants isolated at stage 9 but cultured for 30 h. 3: Disaggregated and reaggregated ectodermal explants cultured for 30 h after reaggregation. The same filter was reprobed with a neural-specific RNA binding protein (24-39) (22). C: Results of alignment analysis of all known members of the Met/HGF-receptor family. Numbers indicate the percentage of identity between the deduced amino acid sequences of human c-met, mouse c-met, chick c-met, human and mouse Ron, chick c-sea and Xenopus XHR. D-E: Northern blot analysis showing the tissue-specific expression pattern of XHR (D) and XHL (E)mRNA in adult frogs. 1: Brain; 2: Kidney; 3: Liver; 4: Lung; Ethidium bromide-stained gels were photographed for documentation of RNA loading.
mst1r (macrophage stimulating 1 receptor) gene expression in Xenopus laevis embryo, assayed via in situ hybridization, NF stage 15, dorsal view, anteriorleft.