XB-ART-17016
J Cell Biol
1997 Jan 27;1362:241-50. doi: 10.1083/jcb.136.2.241.
Show Gene links
Show Anatomy links
The vertebrate GLFG nucleoporin, Nup98, is an essential component of multiple RNA export pathways.
Powers MA, Forbes DJ, Dahlberg JE, Lund E.
???displayArticle.abstract???
The 97-kD O-linked glycoprotein, Nup98, is a component of the Xenopus laevis nuclear pore complex and the only vertebrate GLFG nucleoporin identified (Powers, M.A., C. Macauley, F. Masiarz, and D.J. Forbes. 1995. J. Cell Biol. 128:721-736). We have investigated possible roles of xNup98 in the nucleocytoplasmic transport of proteins and RNAs by analyzing the consequences of injecting monospecific polyclonal antibodies to xNup98 into X. laevis oocytes. We show here that nuclear injection of anti-xNup98 inhibited the export of multiple classes of RNAs, including snRNAs, 5S RNA, large ribosomal RNAs, and mRNA. In contrast, the export of tRNA was unaffected. Injection of anti-xNup98 into the oocyte cytoplasm had no effect on export of any of the RNAs. Significantly, nuclear injection of anti-xNup98 antibodies did not inhibit import of either karyophilic proteins or snRNPs. This latter result is in agreement with our previous finding that Nup98 is not an essential element of the protein import pathway. Thus, Nup98 plays a role specifically in RNA export from the nucleus, and it appears to be an essential component of multiple RNA export pathways.
???displayArticle.pubmedLink??? 9015297
???displayArticle.pmcLink??? PMC2134807
???displayArticle.link??? J Cell Biol
???displayArticle.grants??? [+]
GM 30220 NIGMS NIH HHS , GM 33279 NIGMS NIH HHS , R01 GM033279 NIGMS NIH HHS , R37 GM030220 NIGMS NIH HHS
Species referenced: Xenopus laevis
Genes referenced: mt-tr nup98 trna
???attribute.lit??? ???displayArticles.show???
|
|
Figure 2. Differential effects of anti-xNup98 antibodies on transport of in vivo synthesized RNA polymerase II and III transcripts. A mixture of DNA templates encoding U4 snRNA, 5S rRNA, and tRNATyr was injected into oocyte nuclei together with buffer (Control) or monospecific antibodies against nucleoporins xNup98 (α-98) or xNup200 (α200). 2 h later, α[32P]GTP (∼1.0 μCi/oocyte) was injected into the cytoplasms of all oocytes. After 4 (A) or 21 h of labeling (B), oocytes (3–6/timepoint) were manually dissected, and the intracellular distributions of the newly made RNAs were determined by analyses of 0.5 oocyte equivalents of the nuclear (N) and cytoplasmic (C) RNAs in 8% denaturing polyacrylamide gels. The RNAs made from the injected genes are indicated. Endogenous oocyte RNAs made in the absence of injected genes (No DNA) are shown in B, lanes 7 and 8. The level of 5S DNA templates was ∼10-fold higher in A than in B. |
|
|
Figure 4. Inhibition of mRNA export by anti-xNup98 antibodies. Anti-xNup98 antibodies (α-98) or buffer (Cont.) was injected into oocyte nuclei and 2 h later the same oocytes received a second nuclear injection with a mixture of 32P-labeled AdML premRNA, U1Smâ RNA, and U6 RNA that had been synthesized in vitro using SP6 or T7 RNA polymerases. At 1.5 (lanes 1â4) and 4.5 h (lanes 5â8) after RNA injection, splicing of the AdML premRNA and export of the spliced mRNA and U1Smâ RNA were monitored by analyses of nuclear (N) and cytoplasmic (C) RNAs isolated from individual oocytes. The injected mixture of RNAs (Inj.) is shown in lane 9. U1Smâ RNA, which lacks a functional Sm binding site, is exported to the cytoplasm but cannot be imported back into the nucleus. U6 RNA is retained in the nucleus and serves as a marker for the accuracy of the second nuclear injection and oocyte dissections. |
|
|
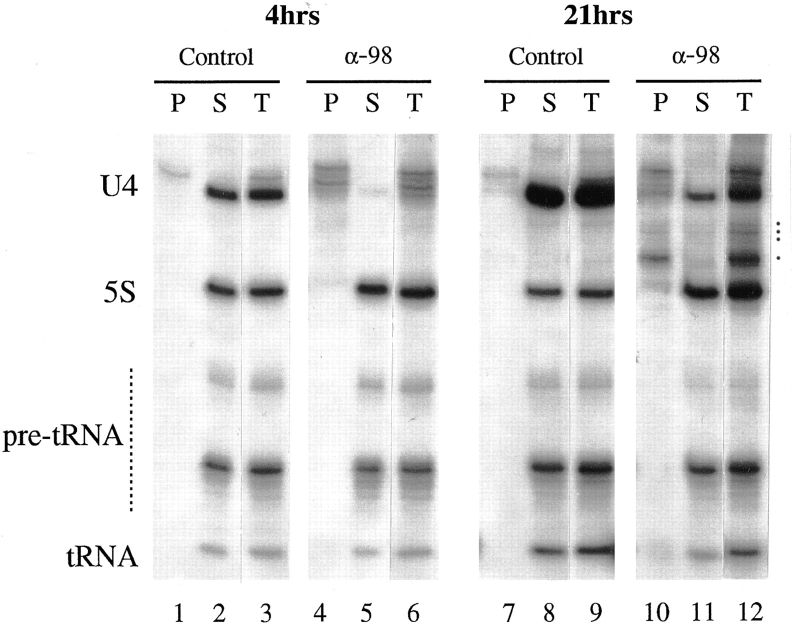
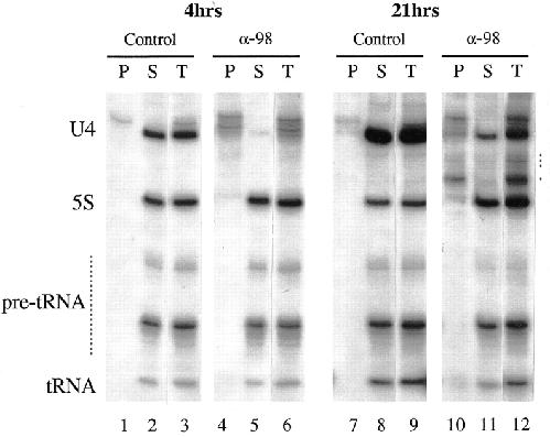
Figure 3. Failure of snRNA precursors to leave the nucleus of anti-xNup98 treated oocytes. Total nuclear RNAs (T), corresponding to those in lanes 1 and 3 of Fig. 2, A and B, were immunoprecipitated with anti-m7G antibodies, which are specific for the cap structure of the nonexported, nuclear precursor snRNA. The RNAs in the precipitate (P) and supernatant (S) fractions were analyzed as in Fig. 2. Dots by lane 12 indicate m7G-capped degradation products of pre-U4 RNA that also are observed when nuclear export is inhibited by other reagents. |
|
|
Figure 5. Reduced export of ribosomal RNAs in the presence of anti-xNup98 antibodies. Buffer (Control) or antibodies specific for xNup98 (α-98) or xNup200 (α-200) were injected into oocyte nuclei. 2 h later α[32P]GTP (∼1.0 μCi/oocyte) was injected into the cytoplasm of all oocytes. After 20 h of labeling, the intracellular distribution of newly made endogenous ribosomal RNAs was determined by analyses of 0.5 oocyte equivalents of nuclear (lanes 1–3) and cytoplasmic RNAs (lanes 4–6) in a 1.2% formaldehyde–agarose gel. The electrophoretic mobilities of precursor (45, 36, 32, and 20S) and mature (18 and 28S) ribosomal RNAs are indicated. |
|
|
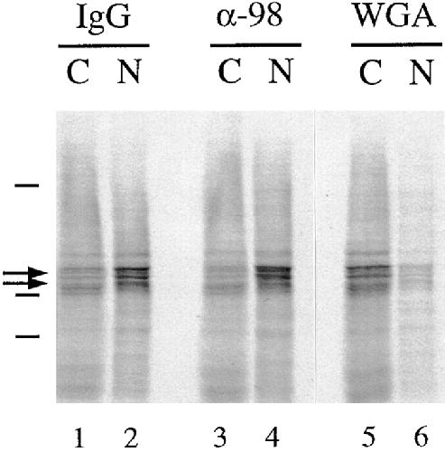
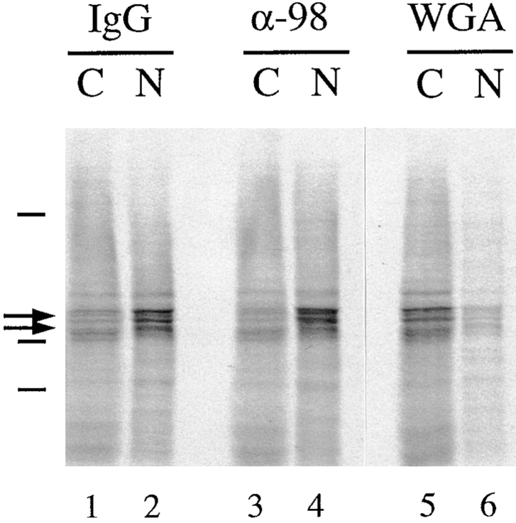
Figure 6. Lack of effect of anti-xNup98 antibodies on import of karyophilic proteins. Normal IgG (IgG), anti-xNup98 (α-98), or WGA was injected into oocyte nuclei (IgG, α-98) or cytoplasms (WGA). 2 h later, 0.25 oocyte equivalents of 35S-labeled total soluble nuclear proteins were injected into the cytoplasm of all oocytes. After 24 h incubation, oocytes were manually dissected, and total nuclear (N) and cytoplasmic (C) extracts were prepared from pools of 3–5 oocytes. 0.5 oocyte equivalents of the extracts were analyzed on a 10% polyacrylamide gel containing SDS and 35S-labeled proteins were detected by autoradiography. Arrows indicate the strongly labeled karyophilic proteins N1/N2 (Dabauvalle and Francke, 1982). Lines indicate the positions of molecular weight markers of 200, 97, and 66 kD. |
|
|
Figure 7. Unimpaired import of snRNPs and small RNAs in the presence of anti-xNup98 antibodies. Oocytes that had been pre-injected with antibodies or WGA, as in Fig. 6, were injected in the cytoplasm with a mixture of 32P-labeled U1Smâ, U1Î, U5, and NL15 RNAs that were made by in vitro transcription. After 7 h of incubation, import of the RNAs was monitored by polyacrylamide gel analysis of 0.5 oocyte equivalents of nuclear RNAs isolated from pools of 3â5 oocyte nuclei. The mixture of injected RNAs (Inj.) is shown in lane 1; the slightly faster gel mobilities of U1Î (a mutant U1 RNA lacking the U1A protein binding site) and U5 RNAs in lanes 2â4 are due to 3â² end trimming which occurs upon nuclear import of snRNPs (Neuman de Vegvar and Dahlberg, 1990). U1Smâ RNA lacks the Sm binding site required for import and serves as a control for cytoplasmic contamination of the nuclear samples. Cytoplasmic fractions are not shown, as RNA levels were in excess, and differences among them were not significant. |
References [+] :
Adolph,
Role of nonhistone proteins in metaphase chromosome structure.
1977, Pubmed
Adolph, Role of nonhistone proteins in metaphase chromosome structure. 1977, Pubmed
Bastos, Targeting and function in mRNA export of nuclear pore complex protein Nup153. 1996, Pubmed
Bataillé, Cytoplasmic transport of ribosomal subunits microinjected into the Xenopus laevis oocyte nucleus: a generalized, facilitated process. 1990, Pubmed , Xenbase
Boelens, Nuclear retention of RNA as a mechanism for localization. 1995, Pubmed , Xenbase
Cheng, Diverse effects of the guanine nucleotide exchange factor RCC1 on RNA transport. 1995, Pubmed
Cordes, Intranuclear filaments containing a nuclear pore complex protein. 1993, Pubmed , Xenbase
Dabauvalle, Monoclonal antibodies to a Mr 68,000 pore complex glycoprotein interfere with nuclear protein uptake in Xenopus oocytes. 1988, Pubmed , Xenbase
Dabauvalle, Inhibition of nuclear accumulation of karyophilic proteins in living cells by microinjection of the lectin wheat germ agglutinin. 1988, Pubmed , Xenbase
Dabauvalle, Identification of a soluble precursor complex essential for nuclear pore assembly in vitro. 1990, Pubmed , Xenbase
Dabauvalle, Karyophilic proteins: polypeptides synthesized in vitro accumulate in the nucleus on microinjection into the cytoplasm of amphibian oocytes. 1982, Pubmed , Xenbase
Davis, The nuclear pore complex. 1995, Pubmed , Xenbase
Doye, Genetic approaches to nuclear pore structure and function. 1995, Pubmed
Fabre, Nuclear transport. 1994, Pubmed
Fabre, Nup145p is required for nuclear export of mRNA and binds homopolymeric RNA in vitro via a novel conserved motif. 1994, Pubmed
Featherstone, A monoclonal antibody against the nuclear pore complex inhibits nucleocytoplasmic transport of protein and RNA in vivo. 1988, Pubmed , Xenbase
Finlay, Reconstitution of biochemically altered nuclear pores: transport can be eliminated and restored. 1990, Pubmed , Xenbase
Finlay, A complex of nuclear pore proteins required for pore function. 1991, Pubmed
Finlay, Inhibition of in vitro nuclear transport by a lectin that binds to nuclear pores. 1987, Pubmed , Xenbase
Fischer, The HIV-1 Rev activation domain is a nuclear export signal that accesses an export pathway used by specific cellular RNAs. 1995, Pubmed
Fischer, Diversity in the signals required for nuclear accumulation of U snRNPs and variety in the pathways of nuclear transport. 1991, Pubmed , Xenbase
Forbes, Structure and function of the nuclear pore complex. 1992, Pubmed , Xenbase
Fridell, Amphibian transcription factor IIIA proteins contain a sequence element functionally equivalent to the nuclear export signal of human immunodeficiency virus type 1 Rev. 1996, Pubmed , Xenbase
Görlich, Nucleocytoplasmic transport. 1996, Pubmed
Görlich, Distinct functions for the two importin subunits in nuclear protein import. 1995, Pubmed , Xenbase
Gouilloud, A dispersed tyrosine tRNA gene from Xenopus laevis with high transcriptional activity in vitro. 1986, Pubmed , Xenbase
Grandi, Functional interaction of Nic96p with a core nucleoporin complex consisting of Nsp1p, Nup49p and a novel protein Nup57p. 1995, Pubmed
Guddat, Protein-mediated nuclear export of RNA: 5S rRNA containing small RNPs in xenopus oocytes. 1990, Pubmed , Xenbase
Gurdon, The use of Xenopus oocytes for the expression of cloned genes. 1983, Pubmed , Xenbase
Hamm, Monomethylated cap structures facilitate RNA export from the nucleus. 1990, Pubmed , Xenbase
Hope, The human immunodeficiency virus type 1 Rev protein: a pivotal protein in the viral life cycle. 1995, Pubmed
Iovine, The GLFG repetitive region of the nucleoporin Nup116p interacts with Kap95p, an essential yeast nuclear import factor. 1995, Pubmed
Izaurralde, RNA export. 1995, Pubmed
Izaurralde, A cap-binding protein complex mediating U snRNA export. 1995, Pubmed , Xenbase
Izaurralde, A cap binding protein that may mediate nuclear export of RNA polymerase II-transcribed RNAs. 1992, Pubmed , Xenbase
Izaurralde, Transport of RNA between nucleus and cytoplasm. 1992, Pubmed
Jarmolowski, Nuclear export of different classes of RNA is mediated by specific factors. 1994, Pubmed , Xenbase
Kiseleva, RNP export is mediated by structural reorganization of the nuclear pore basket. 1996, Pubmed
Konarska, Interactions between small nuclear ribonucleoprotein particles in formation of spliceosomes. 1987, Pubmed
Kraemer, The human CAN protein, a putative oncogene product associated with myeloid leukemogenesis, is a nuclear pore complex protein that faces the cytoplasm. 1994, Pubmed
Lund, In vitro synthesis of vertebrate U1 snRNA. 1989, Pubmed , Xenbase
Lund, Nonaqueous isolation of transcriptionally active nuclei from Xenopus oocytes. 1990, Pubmed , Xenbase
Macaulay, Differential mitotic phosphorylation of proteins of the nuclear pore complex. 1995, Pubmed , Xenbase
Mattaj, Cap trimethylation of U snRNA is cytoplasmic and dependent on U snRNP protein binding. 1986, Pubmed , Xenbase
Meier, Nuclear pore complex assembly studied with a biochemical assay for annulate lamellae formation. 1995, Pubmed , Xenbase
Melchior, Mechanisms of nuclear protein import. 1995, Pubmed
Melton, Efficient in vitro synthesis of biologically active RNA and RNA hybridization probes from plasmids containing a bacteriophage SP6 promoter. 1984, Pubmed
Michael, A nuclear export signal in hnRNP A1: a signal-mediated, temperature-dependent nuclear protein export pathway. 1995, Pubmed
Michaud, Multiple pathways in nuclear transport: the import of U2 snRNP occurs by a novel kinetic pathway. 1991, Pubmed , Xenbase
Miller, Functional nuclear pores reconstituted with beta 1-4 galactose-modified O-linked N-acetylglucosamine glycoproteins. 1994, Pubmed , Xenbase
Moore, A G protein involved in nucleocytoplasmic transport: the role of Ran. 1994, Pubmed
Moroianu, Mammalian karyopherin alpha 1 beta and alpha 2 beta heterodimers: alpha 1 or alpha 2 subunit binds nuclear localization signal and beta subunit interacts with peptide repeat-containing nucleoporins. 1995, Pubmed
Munns, Antibody-nucleic acid complexes. Immunospecific retention of globin messenger ribonucleic acid with antibodies specific for 7-methylguanosine. 1982, Pubmed
Nehrbass, Role of the nuclear transport factor p10 in nuclear import. 1996, Pubmed
Neuman de Vegvar, Nucleocytoplasmic transport and processing of small nuclear RNA precursors. 1990, Pubmed , Xenbase
Panté, The nuclear pore complex. 1993, Pubmed
Pasquinelli, Reverse 5' caps in RNAs made in vitro by phage RNA polymerases. 1995, Pubmed , Xenbase
Peculis, Disruption of U8 nucleolar snRNA inhibits 5.8S and 28S rRNA processing in the Xenopus oocyte. 1993, Pubmed , Xenbase
Pokrywka, Nuclear export pathways of tRNA and 40 S ribosomes include both common and specific intermediates. 1995, Pubmed , Xenbase
Powers, Cytosolic factors in nuclear transport: what's importin? 1994, Pubmed
Powers, Reconstituted nuclei depleted of a vertebrate GLFG nuclear pore protein, p97, import but are defective in nuclear growth and replication. 1995, Pubmed , Xenbase
Radu, The peptide repeat domain of nucleoporin Nup98 functions as a docking site in transport across the nuclear pore complex. 1995, Pubmed
Radu, Identification of a protein complex that is required for nuclear protein import and mediates docking of import substrate to distinct nucleoporins. 1995, Pubmed , Xenbase
Rexach, Protein import into nuclei: association and dissociation reactions involving transport substrate, transport factors, and nucleoporins. 1995, Pubmed
Rout, Pores for thought: nuclear pore complex proteins. 1994, Pubmed
Sazer, The search for the primary function of the Ran GTPase continues. 1996, Pubmed
Schlenstedt, Reconstitution of nuclear protein transport with semi-intact yeast cells. 1993, Pubmed
Simons, The interactions with Ro60 and La differentially affect nuclear export of hY1 RNA. 1996, Pubmed , Xenbase
Terns, Retention and 5' cap trimethylation of U3 snRNA in the nucleus. 1994, Pubmed , Xenbase
Terns, Multiple cis-acting signals for export of pre-U1 snRNA from the nucleus. 1993, Pubmed , Xenbase
Terns, A pre-export U1 snRNP in Xenopus laevis oocyte nuclei. 1993, Pubmed , Xenbase
Vankan, Domains of U4 and U6 snRNAs required for snRNP assembly and splicing complementation in Xenopus oocytes. 1990, Pubmed , Xenbase
Visa, A nuclear cap-binding complex binds Balbiani ring pre-mRNA cotranscriptionally and accompanies the ribonucleoprotein particle during nuclear export. 1996, Pubmed
Wente, NUP145 encodes a novel yeast glycine-leucine-phenylalanine-glycine (GLFG) nucleoporin required for nuclear envelope structure. 1994, Pubmed
Wente, A new family of yeast nuclear pore complex proteins. 1992, Pubmed
Wimmer, A new subclass of nucleoporins that functionally interact with nuclear pore protein NSP1. 1992, Pubmed
Wolffe, A bacteriophage RNA polymerase transcribes through a Xenopus 5S RNA gene transcription complex without disrupting it. 1986, Pubmed , Xenbase
Zasloff, tRNA transport from the nucleus in a eukaryotic cell: carrier-mediated translocation process. 1983, Pubmed , Xenbase
