Click here to close
Hello! We notice that you are using Internet Explorer, which is not supported by Xenbase and may cause the site to display incorrectly.
We suggest using a current version of Chrome,
FireFox, or Safari.
???displayArticle.abstract???
Cell determination in vertebrates requires integration of many events, although the mechanisms controlling the different stages in this process are poorly understood. While studies of lens determination have helped define some of these stages, we know very little about the intermediate steps involved in the commitment of ectoderm to lens formation. Lens determination begins during gastrulation when ectoderm is briefly competent to respond to lens-inducing signals and progresses to a point, at the neural tube stage, when the presumptive lensectoderm is specified. Between these two stages important regulatory genes are activated in the presumptive lensectoderm, including the transcription factor Pax-6, and transplantation experiments presented here suggest that the presumptive lensectoderm is becoming "biased" toward lens formation. We show that competent ectoderm from Xenopus laevis embryos forms well-differentiated lenses in most cases when transplanted to the presumptive lens area of neural plate stage hosts, where the lens-inductive environment is strong. When placed into later, neural tube stage hosts, optimally competent ectoderm does form small lenses in about half the cases, but the overall response is much weaker. Even in this weakly inducing environment, however, lensectoderm that is part way through the inductive process (at the neural plate stage) is shown to have a lens-forming bias, since it forms well differentiated lenses in nearly all cases. While we find that ectoderm surrounding the lens-forming area at neural plate stages does not have a lens-forming bias, non-lensheadectoderm at the neural tube stage does, suggesting that a large region of headectoderm is biased during neurulation. Using Rana palustris embryos, a species used in the earliest lens induction studies, we were also able to show that the optic vesicle can induce lenses in non-lensheadectoderm at neural tube stages. These results lead us to refine the definition of lens cell determination and provide a context that should allow clarification of determination mechanisms.
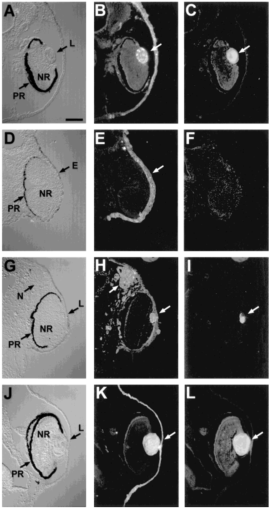
Fig. 1. Transplants of Xenopus laevis ectodermal tissues to neural
plate (stage 14) or neural tube (stage 18) hosts. In this series, all
transplanted ectoderm came from donors labeled with Fldx. After
harvesting operated embryos at stage 40 they were fixed, embedded,
sectioned and treated for immunohistochemistry as described by
Henry and Grainger (1990). A–C: Transplant of stage 11 animal cap
ectoderm to a neural plate stage host showing a strong positive lens
response. A: Differential interference image. B: Fluorescence image
showing Fldx labeling of transplanted ectoderm. C: Fluorescence
image showing crystallin antibody staining as detected by a rhodamineconjugated
secondary antibody. D–F: Transplant of stage 11 animal
cap ectoderm to a neural plate stage host showing a negative lens
response. D: Differential interference image. E: Image showing Fldx
labeling as in B. F: Image showing crystallin staining as in C. G–H:
Transplant of stage 10.5 animal cap ectoderm to a neural tube stage
host showing a weak positive response. G: Differential interference
image. H: Image showing Fldx labeling as in B. I: Image showing
crystallin staining as in C. J–L: Transplant of stage 14 presumptive
lens ectoderm to a neural tube stage host showing a strong lens
response. J: Differential interference image. K: Image showing Fldx
labeling as in B. L: Image showing crystallin staining as in C. L, lens;
NR, neural retina; PR, pigmented retina; E, transplanted ectoderm; N,
neural tissue. Scale bar 5 100 μm.
Fig. 2. Transplants of Xenopus neural plate stage ectoderm to
neural tube stage hosts. In this series, all transplanted ectoderm came
from donors labeled with horseradish peroxidase. Embryos were
harvested at stage 40 and were fixed, sectioned, and stained as
described by Henry and Grainger [1987]. The horseradish peroxidase
reaction product in donor tissue can be seen to be darker than
surrounding host tissue in these photographs. The extent of labeling
does vary somewhat from embryo to embryo. In sections the pigmented
retina (PR) is black, and can be readily distinguished from the
brown color of the horseradish peroxidase reaction product. A: Transplant
of presumptive lens ectoderm to a neural tube stage host
showing a strong positive response. B: Transplant of cement gland
region ectoderm to a neural tube stage host showing a weak positive
response. C: Transplant of ear region ectoderm to a neural tube stage
host showing a negative response. D: Transplant of lateral region
ectoderm to a neural tube stage host showing a weak positive
response. Abbrevations as in Figure 1. Scale bar 5 50 μm.
Fig. 3. Transplants of Xenopus neural tube stage ectoderm to
neural tube stage hosts. Transplants were performed and, subsequently,
sections were prepared as those described in Figure 2. A:
Transplant of presumptive lens ectoderm to a neural tube stage host
showing a strong positive response. B: Transplant of cement gland
region ectoderm to a neural tube stage host showing a moderate
response and a cement gland (CG) in the transplanted tissue. C:
Transplant of ear region ectoderm to a neural tube stage host showing
a strong response. D: Transplant of lateral region ectoderm to a neural
tube stage host showing a very weak positive response. Abbreviations
as in Figure 1. Scale bar 5 50 μm.
Fig. 4. Transplants of Rana palustris neural tube stage optic
vesicles into the ear region of neural tube stage hosts. Embryos were
harvested at tadpole stages and fixed, sectioned and stained as
described by Grainger et al. [1988]. A: Section through a transplanted
optic vesicle facing surface ectoderm and illustrating induction of a
small lens. B: Section through a transplanted optic vesicle facing
surface ectoderm. No lens was induced in this case. C: Section through
tranplanted optic vesicle facing the body cavity. No lens was seen in
association with transplanted tissue. Abbreviations as in Figure 1.
Scale bar 5 50 μm.
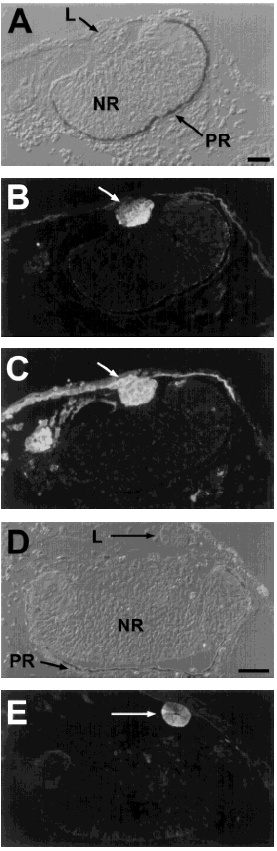
Fig. 5. Transplants at neural tube stages illustrating crystallin
synthesis in induced lenses. A–C: Fldx-labeled ear region ectoderm
from a stage 18 Xenopus embryo was transplanted to the presumptive
lens area of a neural tube stage host. The embryo was cultured, fixed,
sectioned, and processed for immunohistochemistry as described by
Henry and Grainger (1990). A: Differential interference image through
transplant region. B: Fluorescence image showing crystallin antibody
staining as detected by a rhodamine-conjugated secondary antibody.
C: Fluorescence image showing Fldx labeling of transplanted ectoderm.
D–E: Transplant of neural tube stage optic vesicle from Rana
palustris embryo beneath the ear region of a similar age host. This
embryo was fixed, sectioned, and processed for immunohistochemistry
as described by Henry and Grainger (1990). D: Differential interference
image through transplant region. E: Fluorescence image showing
crystallin antibody staining as detected by a rhodamine conjugated
secondary antibody. Abbreviations as in Figure 1. Scale 5 50 μm.
Fig. 6. In situ hybridization of Pax-6 probe to late neural plate
(stage 15/16) Xenopus embryo. PR, presumptive retina; PLE, presumptive
lens ectoderm.