Click here to close Hello! We notice that you are using Internet Explorer, which is not supported by Xenbase and may cause the site to display incorrectly. We suggest using a current version of Chrome, FireFox, or Safari.
XB-ART-1726
Int J Dev Biol 2005 Jan 01;494:437-41. doi: 10.1387/ijdb.051974lb.
Show Gene links Show Anatomy links

Two members of the Fxr gene family, Fmr1 and Fxr1, are differentially expressed in Xenopus tropicalis.

Blonden L, van 't Padje S, Severijnen LA, Destree O, Oostra BA, Willemsen R.


???displayArticle.abstract???
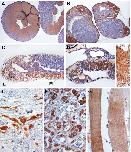
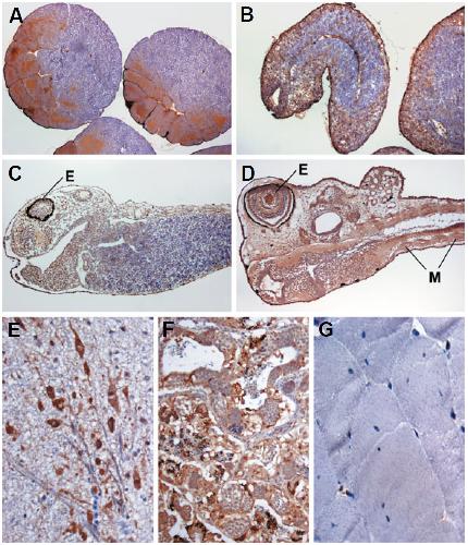
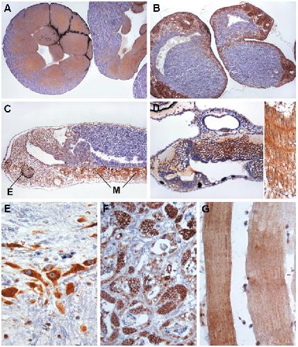
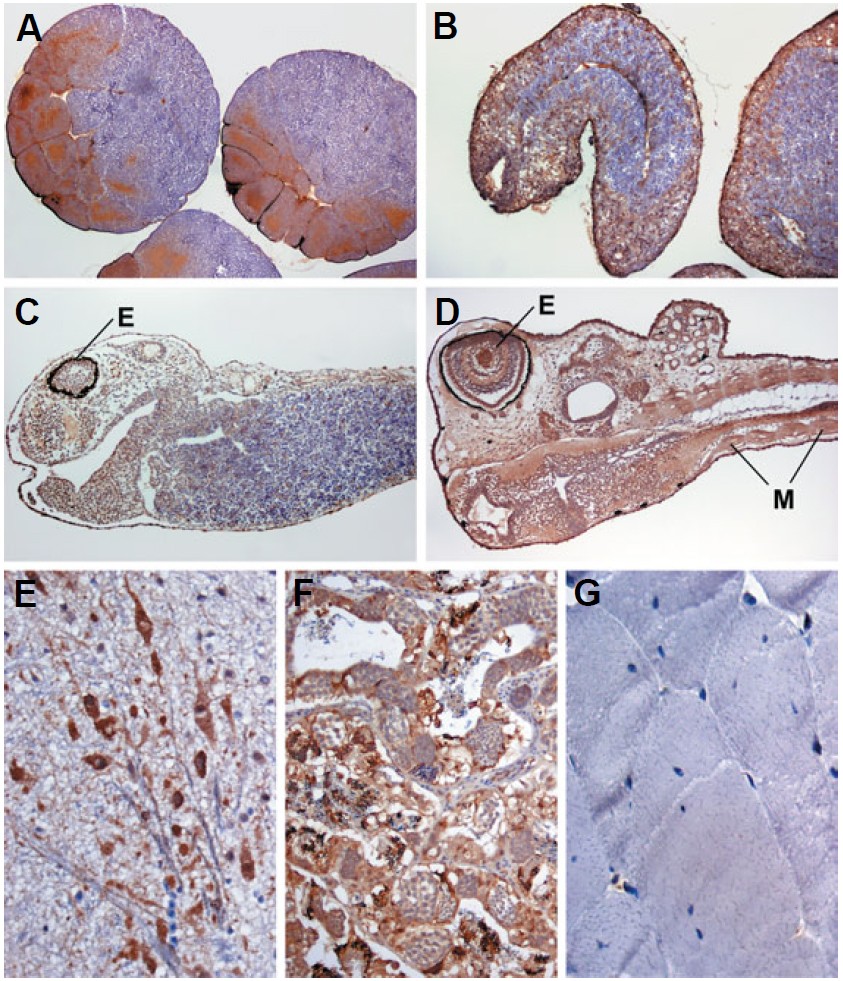
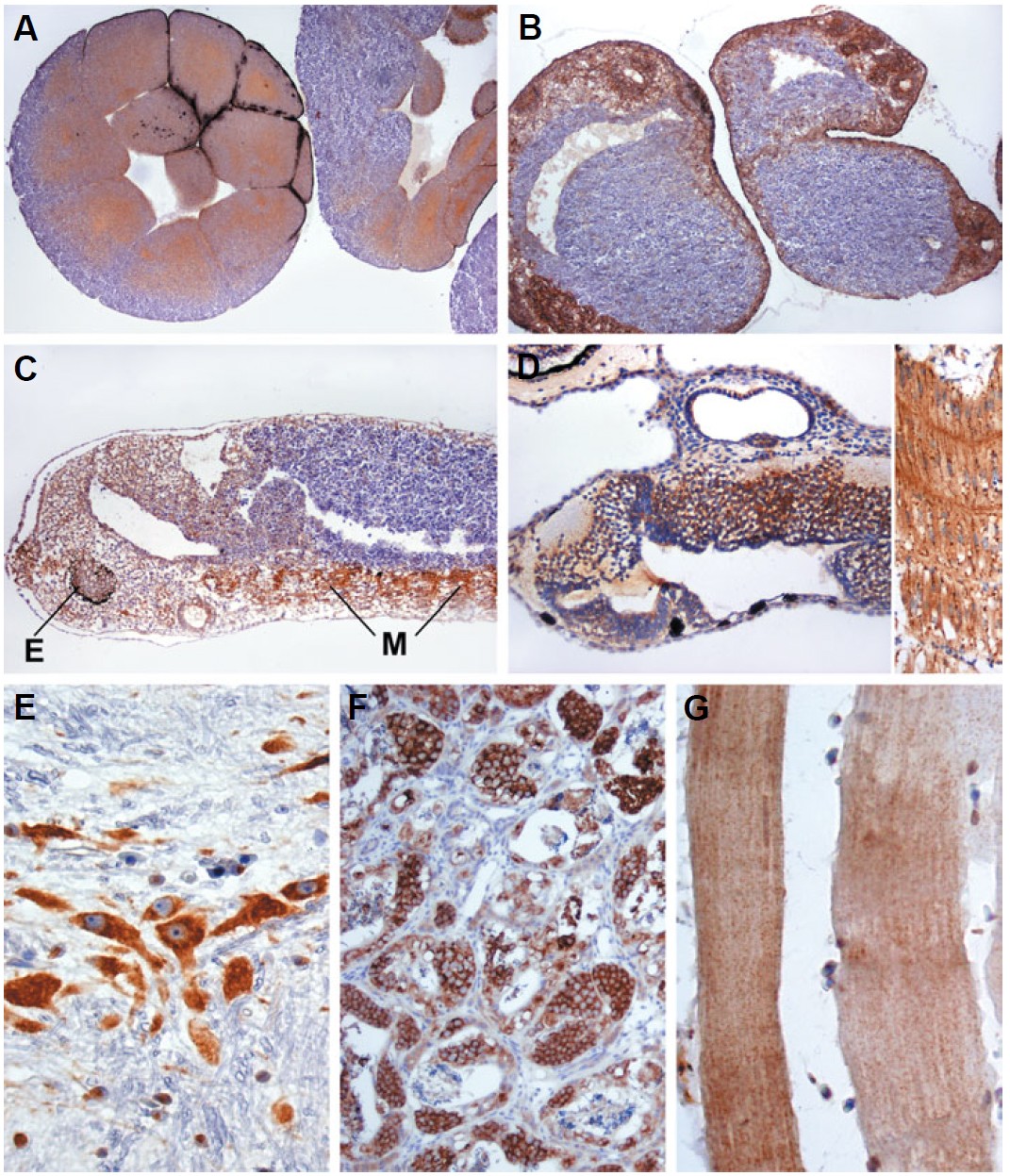
The Fxr gene family is composed of three members, FMR1, FXR1 and FXR2. The FMR1 gene is involved in the fragile X syndrome, whereas for the other two members, no human disorder has been identified yet. An appropriate animal model to study in vivo gene function is essential to unravel the cellular function of the gene products FMRP, FXR1P and FXR2P, respectively. In Xenopus tropicalis both Fmr1 and Fxr1 were identified; however, unexpectedly Fxr2 was not. Here we describe the characterization of both Fmrp and Fxr1p in Xenopus tropicalis. Fmrp is expressed ubiquitously throughout the embryo during embryonic development, whereas Fxr1p shows a more tissue-specific expression particularly during late embryonic development. In adult frogs both proteins are highly expressed in most neurons of the central nervous system and in all spermatogenic cells in the testis. In addition, Fxr1p is also highly expressed in striated muscle tissue. Western blotting experiments revealed only one prominent isoform for both proteins using different tissue homogenates from adult frogs. Thus, for in vivo gene function studies, this relative simple animal model may serve as a highly advantageous and complementary model.

???displayArticle.pubmedLink??? 15968590
???displayArticle.link??? Int J Dev Biol


Species referenced: Xenopus tropicalis
Genes referenced: fmr1 fxr1 nr1h4


???attribute.lit??? ???displayArticles.show???