|
Fig. 1. Gene expression of embryos injected with CSKA-eFGF.
RNAase protection analysis of embryos injected at the 2-cell stage
with 10 pg of CSKA-eFGF or uninjected control embryos were
cultured until early gastrula (stage 10), late gastrula (stage 12), early
neurula (stage 14), or late neurula (stage18). 5 mg of total RNA was
assayed by RNAase protection analysis for the expression of a panel
of regional markers. All assays shown were carried out on RNA
from the same experiment. The ODC loading control is a
representative example. |
|
Fig. 2. Analysis of eFGF expression in embryos overexpressing
eFGF from the CSKA-eFGF plasmid. (A) Control stage 11.5 embryo
showing normal expression of eFGF; vegetal view. (B) CSKA-eFGF
embryo at stage 11.5 showing extent of ectopic eFGF expression
around the blastopore; vegetal view. (C) CSKA-eFGF embryo at
stage 11.5 showing the extent of ectopic eFGF expression; dorsal
view. Embryos were injected at the 2-cell stage with 10 pg of CSKAeFGF.
Arrowheads indicate the dorsal lip of the blastopore. |
|
Fig. 3. In situ hybridisation analysis of albino embryos
injected at the 2-cell stage with 10 pg of CSKA-eFGF or of
uninjected controls. Embryos were cultured until early
neurula, late neurula or tailbud stages and were then
hybridised to antisense DIG labelled probes for HoxA7 (AH);
HoxB9 (I-N); Xcad3 (O-P, W-Y); and Xbra (S-V).
Controls (A-D, I-K, O-P, S-T) are shown above the
corresponding CSKA-eFGF embryos (E-H, L-N, Q-R, UV)
except for the control for Xcad3 expression in tailbudstage
embryos (W) which is shown beside the
corresponding expression of Xcad3 in CSKA-eFGF tailbudstage
embryos(X-Y). (Z) Ventral view of another CSKAeFGF
embryo with a duplicated posterior axis hybridised to
Xpo which also marks the tailbud and proctodaea.
Arrowheads indicate the anterior limit of the normal
expression of HoxA7 and HoxB9, respectively, at tail bud
stages. Anterior is to the left is all cases. |
|
Fig. 4. In situ hybridisation analysis of regional markers in albino
embryos injected with 2ng of mRNA encoding the dominant
negative form of the FGF receptor. Embryos were cultured to early
neurula (stage13) (A-C; E-G; I-K; M-O) and late neurula (stage 20)
(B-D; F-H; J-L; N-P). Control embryos (A-B; E-F; I-J; M-N) are
shown above embryos overexpressing the dominant negative form of
the FGF receptor (C-D; G-H; K-L; O-P). The markers are HoxA7 (AD),
Xcad3 (E-H), and HoxB1 (I-L) and otx2 (M-P). In all cases,
anterior is to the left. Embryos are viewed dorsally in all but N which
is a side view, O and P which are ventral views, and E which is a
dorsal-posterior view. C,D,G,H,K,L are viewed down onto the open
blastopore. |
|
Fig. 5. eFGF beads activate anterior expression of posterior Hox genes in mesoderm and neurectoderm. (A) In situ hybridisation analysis of
HoxA7 expression in control tailbud embryo (top) or tailbud-stage embryo where an eFGF bead was implanted into the anterior neural plate at
stage12.5 (bottom). Dorsal view; anterior to the left. (B) In situ hybridisation analysis of Xcad3 expression in control tailbud embryo (top) or
tailbud-stage embryo where an eFGF bead was implanted into the anterior neural plate at stage12.5 (bottom). Dorsal view; anterior to the left.
(C) The dorsal marginal zone region, not including the dorsal lip, was taken from stage 10 embryos. Two explants were used to make a
sandwich around an eFGF bead and were cultured until stage14 (to assay expression of Xbra) or stage 20 (to assay expression of HoxC6,
HoxA7, HoxB9 and NCAM) and processed for RNAase protection analyisis. (D) The anterior and middle neural plate was taken from stage 13
embryos. Two explants were used to make a sandwich around an eFGF bead, and were cultured until stage 20 at which time they were
processed for RNAase protection analysis to assay the expression of HoxC6 and HoxA7. |
|
Fig. 6. Phenotypes and gene expression in embryos implanted with a
heparin acrylamide bead loaded with eFGF protein. (A) Embryos
were implanted with a bead into the dorsal blastopore lip at stage
11.5. The top embryo was implanted with a PBS bead, while each of
the bottom three embryos were implanted with an eFGF bead and
show head suppression. (B) Embryos were implanted with a bead
into the ventral blastopore lip at stage 11.5. The top embryo was
implanted with a PBS bead, while each of the bottom three embryos
were implanted with an eFGF bead and show enlarged proctodaea.
(C, D) In situ hybridisation of embryos. Both embryos were cultured
to late neurula stages and hybridised to HoxA7 probe (C) or Xcad3
probe (D). The top embryo is a control, the bottom embryo had an
eFGF bead implanted into the dorsal blastopore at stage 11.5. |
|
Fig. 7. Injection of HoxA7 mRNA dorsally, but not ventrally, results
in head suppression in embryos. (A) The top embryo is an uninjected
control while the bottom embryos have been injected with 1ng of
HoxA7 into the dorsal two blastomeres at the four-cell stage. (B) All
the embryos shown in this panel have been injected with 1 ng of
HoxA7 into the ventral two blastomeres at the four-cell stage.
(C) Stage 20 embryo co-injected with 1 ng HoxA7 and 500 pg of b-
gal mRNA in to the dorsal two blastomeres at the 4-cell stage.
(D) Tailbud embryo that had been co-injected with 1 ng HoxA7 and
500 pg of b-gal mRNA in to the dorsal two blastomeres at the 4-cell
stage. (E) Stage 20 embryo co-injected with 1 ng HoxA7 and 500 pg
of b-gal mRNA in to the ventral two blastomeres at the 4-cell stage.
(F) Tailbud embryo that had been co-injected with 1 ng HoxA7 and
500 pg of b-gal mRNA into the ventral two blastomeres at the 4-cell
stage. (G) Top embryo is a control, while the bottom three embryos
have been injected with 200 pg of Xcad3 mRNA into the dorsal two
blastomeres at the 4-cell stage. (H) Top embryo is a control, while
the bottom three embryos have been injected with 200 pg of Xcad3
mRNA into the ventral two blastomeres at the 4-cell stage. |
|
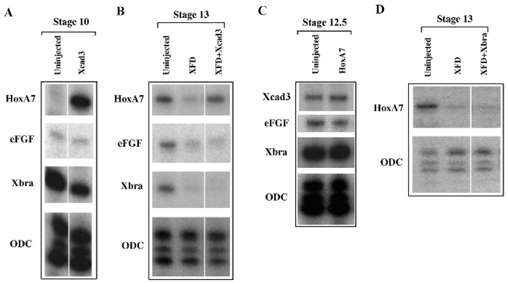
Fig. 8. Xcad3 regulates Hox gene expression
downstream of FGF signalling. (A) Injection
of Xcad3 mRNA causes the early activation of
HoxA7 expression, but does not effect the
expression of eFGF or Xbra; 400pg of Xcad3
was injected at the 4-cell stage, RNA from
embryos was collected for analysis at stage10.
(B) Injection of Xcad3 mRNA can rescue the
expression of HoxA7 in embryos where the
FGF signalling pathway has been blocked
(XFD-injected). 400 pg of Xcad3 was injected
at the 4-cell stage ± 2 ng of XFD mRNA. RNA
from embryos was collected for analysis at
stage13. (C) Injection of HoxA7 mRNA does
not affect the expression of eFGF, Xbra or
Xcad3. 2 ng of HoxA7 mRNA was injected at
the 4-cell stage and RNA from embryos was
collected for analysis at stage12.5 (D) Injection
of Xbra mRNA does not rescue the expression
of HoxA7 in embryos where the FGF signalling pathway has been blocked (XFD-injected). 2 ng of Xbra mRNA was injected at the 4-cell stage
± 2 ng of XFD mRNA. RNA from embryos was collected for analysis at stage13. All hybridisations were done with 10 mg of total RNA. |
|
Fig. 9. A molecular pathway depicting the role of FGF signalling in patterning
the anteroposterior axis during gastrula stages. FGF signalling is important in
regulating the dorsal expression of members of the cdx family, which directly
regulate Hox gene expression required for patterning the anterposterior axis.
Brachyury expression is known to be dependent on FGF signalling and also feeds
back to activate the expression of FGF during gastrula stages, however,
Brachyury does not appear to be a direct regulator of Hox gene expression. FGF
and other signals, such as BMP4, activate ventral expression of cdx and other
posterior regulators which pattern ventroposterior mesoderm and induce the
proctodaeum. |