Click here to close
Hello! We notice that you are using Internet Explorer, which is not supported by Xenbase and may cause the site to display incorrectly.
We suggest using a current version of Chrome,
FireFox, or Safari.
???displayArticle.abstract???
The temporal patterns of BDNF and trkB expression in the developing Xenopus laevis tadpole, and the responsiveness of retinal ganglion cells to BDNF, both in culture and in vivo, suggest significant roles for this neurotrophin during visual system development (Cohen-Cory and Fraser, Neuron 12, 747-761, 1994; Nature 378, 192-196, 1995). To examine the potential roles of this neurotrophin within the developing retina and in its target tissue, the optic tectum, we studied the cellular sites of BDNF expression by in situ hybridization. In the developing optic tectum, discrete groups of cells juxtaposed to the tectal neuropil where retinal axons arborize expressed BDNF, supporting the target-derived role commonly proposed for this neurotrophin. In the retina, retinal ganglion cells, ciliary margin cells, and a subset of cells in the inner nuclear layer expressed the BDNF gene. The expression of BDNF coincided with specific trkB expression by both retinal ganglion cells and amacrine cells, as well as with the localization of functional BDNF binding sites within the developing retina, as shown by in situ hybridization and BDNF cross-linking studies. To test for a possible role of endogenous retinal BDNF during development, we studied the effects of neutralizing antibodies to BDNF on the survival of retinal ganglion cells in culture. Exogenously administered BDNF increased survival, whereas neutralizing antibodies to BDNF significantly reduced baseline retinal ganglion cell survival and differentiation. This suggests the presence of an endogenous retinal source of neurotrophic support and that this is most likely BDNF itself. The retinal cellular patterns of BDNF and trkB expression as well as the effects of neutralizing antibodies to this neurotrophin suggest that, in addition to a target-derived role, BDNF plays both autocrine and/or paracrine roles during visual system development.
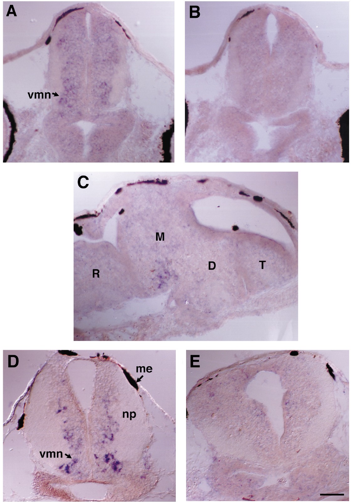
FIG. 1. Onset of BDNF expression in the developing optic tectum. In situ hybridization with a digoxygenin-labeled antisense BDNF probe
shows specific alkaline phosphatase reaction signals over the cytoplasm of midbrain cells of stage 40 and 45 tadpoles. (A) Transverse cryostat
section at the level of the rostral midbrain of a stage 40 tadpole shows weak digoxygenin-positive cell bodies in dorsal and ventralmidbrain
cells. (B) An adjacent section to that in A, hybridized with a sense control BDNF probe shows no signal. (C) Sagittal section of a stage 40 tadpole
reveals that the highest BDNF-expressing cells are localized to the ventral part of the rostral midbrain, presumably in the developing ventral
mesencephalic nuclei (vmn). (D) Hybridization of a stage 45 tadpole with the antisense BDNF probe shows specific hybridization in ventral
mesencephalic nuclei (vmn) as well as in dorsolateral cells laying in close proximity to the tectal neuropil (np). (E) Hybridization of a stage 45
transverse section at the level of the rostral midbrain with a sense control BDNF probe shows no signal. D, diencephalon, M, mesencephalon;
me, melanocyte; R, rhombencephalon; T, telencephalon. Dorsal is up, ventral is down. Scale bar, 50 mm.
FIG. 2. Expression of BDNF mRNA in the developing diencephalon and optic tectum, and its relation with projecting and arborizing
optic nerve fibers. Transverse cryostat sections of stage 45 tadpoles hybridized in situ with an antisense BDNF probe (A, C, E) are compared
with equivalent sections of sibling embryos in which optic nerve fibers were anterogradely labeled from the retina with the lipophylic
dye, DiI (B, D, F). (A) A transverse� oblique section at the level of the optic tract (B; arrowhead) shows digoxygenin-positive cell bodies
over dorsomedial, dorsolateral, as well as ventromedial cellular diencephalic regions. (C�F) Hybridization of transverse cryostat sections
at the level of the developing optic tectum shows individual digoxygenin-positive cell bodies that lay dorsolaterally (C, E), in close
proximity to the tectal neuropil (np). Note that cell bodies are all restricted to the central gray matter region, while DiI fiber labeling is
restricted to the neuropil formed of arborizing optic nerve fibers (D, F; diffuse DiI label) and mesencephalic neuritic processes (G; retrogradely
labeled with biotin�dextran). High BDNF-expressing cell bodies also localize to the ventral mesencephalic nuclei (C), just dorsal
to the infundibulum (if). (E�G) High-magnification photomicrographs at the level of the optic tectum show some intensely stained
digoxygenin-positive cell bodies (E; black arrow) that lay in close proximity to branching retinal arbors (F; white arrow). As seen by the
retrograde label with biotin�dextran, this population of tectal cells project their dendrites (G; arrowhead) to the tectal neuropil, where
RGC axons arborize. Dorsal is up, ventral is down. Scale bar, 50 mm.
FIG. 3. Expression of BDNF mRNA in the developing Xenopus retina. Transverse sections through stage 40 (A) and 45 (B and C) retinas
hybridized in situ with a digoxygenin-labeled antisense Xenopus BDNF probe show specific cytoplasmic hybridization signals over cell
bodies in the ganglion cell layer (gcl) and the ciliary margin cells (cm). In some stage 45 retinal sections, one to two digoxygenin-labeled
cells were observed in the inner nuclear layer (inl) (B; arrowhead). Note the increase in both the intensity and number of digoxygeninpositive
cells in the gcl of stage 45, versus the stage 40, retina. Due to the conditions of the hybridization procedure (see Materials and
Methods), the specific cytoplasmic hybridization signal is excluded from the large cell nuclei. (D) Hybridization of a stage 45 retina with
a sense BDNF probe shows no hybridization signal. ipl, inner plexiform layer; onl, outer nuclear layer; opl, outer plexiform layer; pe,
pigmented epithelium. Dorsal is up, ventral is down. Scale bar, 50 mm.
FIG. 4. In situ hybridization for BDNF and trkB shows the colocalization of these two messages to particular retinal areas. Fifteenmicrometer
alternate cryostat sections of stage 45 Xenopus retina were hybridized with digoxygenin-labeled antisense Xenopus BDNF
(A, C, E) or trkB probes (B, D, F). Specific cytoplasmic hybridization signals were localized to the ganglion cell layer (gcl) after hybridization
with the BDNF probe (A, C, E), whereas specific hybridization signals were localized to both the ganglion cell layer (gcl) and innermost
part of the inner nuclear layer (inl) after hybridization with the trkB probe (B, D, F). High-magnification photomicrographs of adjacent
retinal sections hybridized with these two probes revealed that both BDNF (E) and trkB (F) digoxygenin-positive cell bodies colocalize to
the same area in the ganglion cell layer. Arrowheads and asterisks point to two groups of cells, which are positive for the BDNF (E) and
trkB (F) probes, respectively. The retinal areas outlined by the brackets in C and D are shown as high-magnification photomicrographs
in E and F, respectively. Scale bar for E and F is 20 mm.
FIG.
5. Detection of BDNF receptors by affinity cross-linking and immunoprecipitation. Membranes isolated from eyes, optic tecta,and
cultured retinal cells were incubated with 1 nM 125I-BDNF and cross-linked with EDAC. (A) A BDNF� receptor complex of approximately 140 kDa (arrowhead) can be readily identified in all samples, including cultured retinal cells. In addition, two bands of approximately 90 and 100 kDa (arrows) are seen. In all cases, all bands were specifically displaced by incubation with excess unla-beled BDNF (see Retina Culture; /cBDNF). (B) Immunoprecipita-tion of the cross-linked products with the 443 antibody to TrkB reveals a specific band of 140 kDa, identical to that observed in the
cross-linked products. Incubation with iodinated BDNF in the presence (/cNT3) or absence (0cNT3) of excess unlabeled NT3 shows that the 140-kDa immunoprecipitated product is only partially
displaced by incubation with excess NT3, similar to that
reported for authentic TrkB in rat and chick (Escando�n et al., 1994).
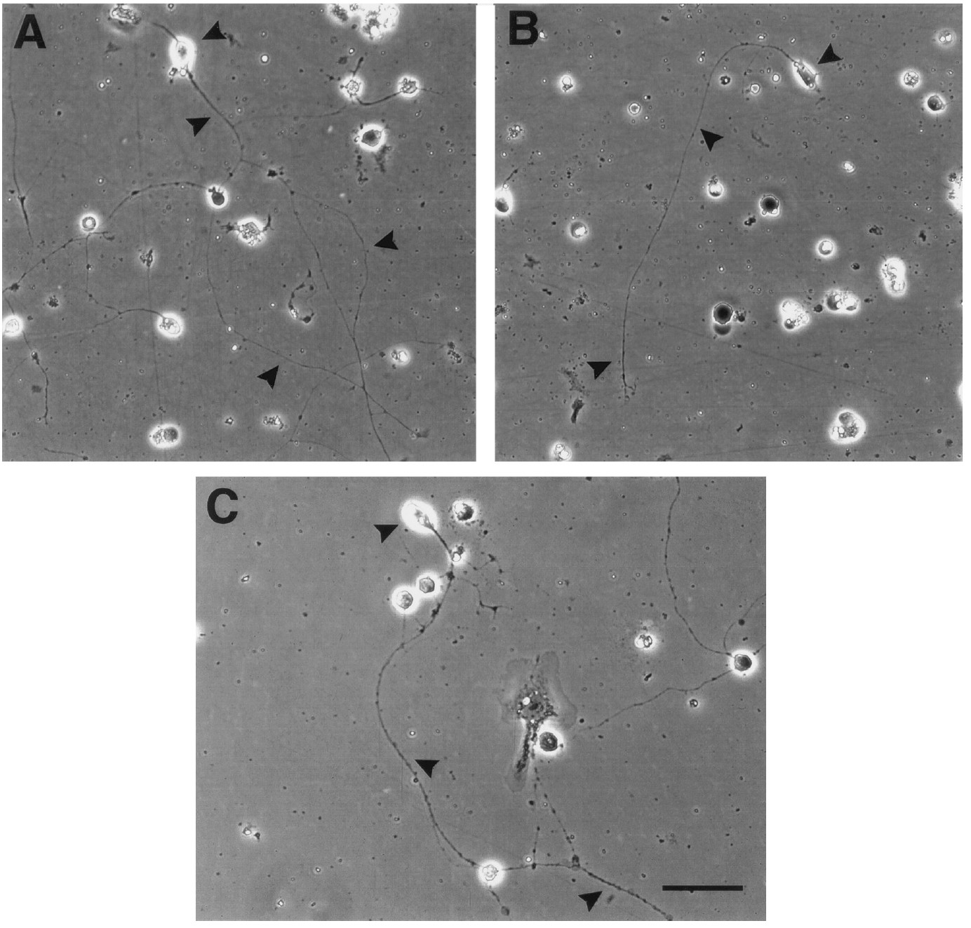
FIG. 6. Mophological features of cultured retinal ganglion-like cells (RGLCs). (A �C) Phase photomicrographs of stage 42/43 Xenopus
retinal cells grown in dissociated cell culture for 4 days. Retinal ganglion cells were identified by their characteristic morphology (phase bright
neurons with a large- to medium-size cell body and one long axonal process, either branched or unbranched) and therefore termed
retinal ganglion-like cells (RGLCs). RGLCs showed morphological and neurotrophin responsiveness characteristics similar to those shown
by differentiated RGCs that were retrogradely labeled with DiI from the optic tectum and grown in culture (Cohen-Cory and Fraser, 1994).
(A) Arrowheads point to a RGLC with a branched axonal process, grown in the presence of 20 ng/ml of BDNF. (B and C) Arrowheads
point to unbranched RGLCs grown in the absence (B) or presence (C) of BDNF. Scale bar, 50 mm.
FIG. 7. Effects of BDNF and anti-BDNF on RGLC number. Retinal cells in culture were grown under control conditions (control) or in
the presence of anti-BDNF (Anti-BDNF 0.4 mg/ml; Anti-BDNF 2 mg/ml), BDNF, or anti-BDNF in combination with BDNF (BDNF / Anti-
B 0.4 mg/ml; BDNF / Anti-B 2 mg/ml). Numbers of RGLCs, identified by their morphology (morphological features of RGLCs appeared
after 2�3 days in culture), were obtained by analyzing 10% of the well after 5 days in culture. Analysis was performed in triplicate wells
per experiment, from three independent experiments. Data are expressed as percentages of RGLC numbers compared to controls grown
in the absence of added factors. Each experimental value represents mean cell number { SEM. Statistical analysis was by one-way ANOVA,
using the Scheffe F test; P 0.001. *Statistically different from control and BDNF. **Statistically different from all other conditions. For
comparison, absolute numbers in NM/ 2% fetal calf serum are: control 865 { 44.3; Anti-BDNF (0.4 mg/ml) 642 { 6.9; Anti-BDNF (2 mg/
ml) 604 { 27.7; BDNF 1641 { 88.7; BDNF / Anti-B (0.4 mg/ml) 858 { 27.1; BDNF / Anti-B (2 mg/ml) 709 { 44.5. In serum-free medium
are: control 906 { 2.7; Anti-BDNF (2 mg/ml) 645 { 8.3.