Click here to close
Hello! We notice that you are using Internet Explorer, which is not supported by Xenbase and may cause the site to display incorrectly.
We suggest using a current version of Chrome,
FireFox, or Safari.
Three homologs of rds/peripherin in Xenopus laevis photoreceptors that exhibit covalent and non-covalent interactions.
Kedzierski W, Moghrabi WN, Allen AC, Jablonski-Stiemke MM, Azarian SM, Bok D, Travis GH.
???displayArticle.abstract???
We have isolated and characterized three homologs of mammalian rds/peripherin from Xenopus retinae. One (xrds38) is likely the Xenopus ortholog, while the other two (xrds36 and -35) are more distant relatives. By immunocytochemical analysis of retinal sections, xrds38 is distributed in both rod and cone photoreceptors, while xrds36 and xrds35 are present in rods only. At the EM level, xrds38 is present specifically in the rims and incisures of rod and cone outer segment discs. All are N-glycosylated and form covalent dimers. Immunoprecipitation analysis showed that in rods, these three proteins interact to form heterotetrameric or higher-order complexes. The pattern of sequence conservation among the xrds proteins, mammalian rds/peripherin, and mammalian rom-1 suggest that the central portion of the intradiscal D2 loop contains the interacting structural elements.
Fig. 1. Amino acid sequences of xrds36, xrds35 and xrds38 aligned with mouse rds/peripherin and rom-1. The cytoplasmic, membranespanning,
and intradiscal domains are indicated by C#, M# and D#, respectively. Identical residues are indicated by the shaded boxes. Amino
acids affected by point mutations in the human RDS-mediated inherited retinal dystrophies are indicated by black dots. The Y character above
Asn residue #229 denotes the position of N-linked glycosylation. Notice the high degree of sequence conservation and preponderance of
mutant substitutions within the D2 loop. Nucleotide sequences for xrds38, xrds36 and xrds35 were deposited in GenBank under accession
numbers: L79915, L79914, L79913, respectively.
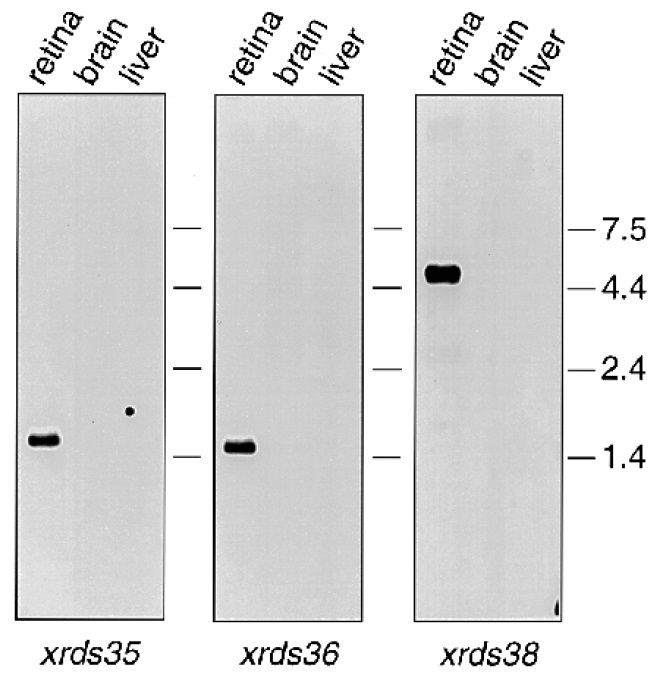
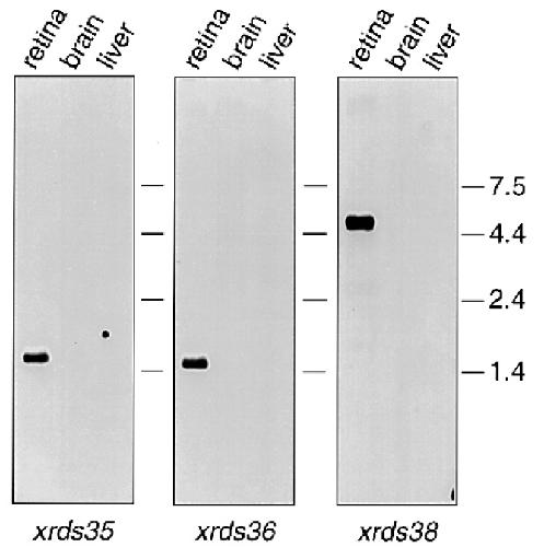
Fig. 2. Northern blot analysis of xrds35, xrds36 and xrds38 mRNAs.
The xrds36 and -35 probes each detect a single band of 1.5 kb, while
the xrds38 cDNA probe detects an abundant mRNA of
approximately 5 kb in Xenopus retina. None detect mRNAs in
Xenopus brain or liver. Size standards (in kb) are shown at right.
Fig. 3. Developmental expression of the xrds35, xrds36
and xrds38 mRNAs by nuclease protection analysis.
Undigested probes are shown on the left. Protected
fragments of the expected sizes (130, 109, and 129
nucleotides) corresponding to the xrds38, xrds36 and
xrds35 mRNAs are first apparent at developmental stage
37/38. Size standards (in bp) are shown at right.
Fig. 4. Immunoblot analysis of the xrds proteins. (A) The xrds
proteins are glycosylated. Preincubation of adult retinal homogenates
with N-glycosidase-F prior to SDS-PAGE results in the detection of
a lower molecular mass protein band with each antiserum. (B) The
xrds C-terminal peptide antisera are non-cross reactive. Each reacts
with a unique protein band. This reactivity can be independently
blocked by preincubating with the cognate immunizing peptide.
(C) The xrds proteins form covalent dimers. Under non-reducing
conditions, each antiserum detects a band of approximately twice the
reduced molecular mass. Size standards (in kDa) are shown at left in
A and C.
Fig. 5. Immunoprecipitation analysis of xrds interactions. Triton X-
100 extracts of Xenopus retina were loaded onto columns containing
immobilized xrds36, -35, or -38 IgG fractions. After washing, bound
xrds proteins were eluted from each column with free xrds36, -35, or
-38 peptide. These eluted fractions were analyzed by western
blotting with the three xrds peptide antisera. To control for nonspecific
aggregation of outer segment membrane proteins, fractions
were also analyzed with antiserum against bovine rhodopsin (rho).
Note that in each case, the cognate peptide most efficiently eluted its
corresponding xrds protein. However, in each case the three xrds
proteins co-eluted, with no elution of rhodopsin.
Fig. 6. Laser confocal immunolocalization of the xrds proteins.
(A) Labeling of Xenopus retina with xrds38 peptide antiserum
shows rod (r) and cone (c) outer segment immunoreactivity. For
all antibodies, rod outer segments (os) showed a striated pattern,
reflecting the labeling of disc incisures. Cone outer segments
were labeled along one side only. In this region, the stacked
cone discs form rds/peripherin-rich hairpin loops that lie in
register. (B) Labeling with xrds35 antiserum. Rod (r) but not
cone (c) outer segments show immunoreactivity. (C) Labeling
with xrds36 antiserum. Rod (r) but not cone (c) outer segments
show immunoreactivity. The myoid (m) regions of inner
segments and the synaptic terminii (s) of cones are also labeled,
but this labeling was not blockable by preincubating the
antiserum with the immunizing xrds36 peptide. Bar, 6 mm.
Fig. 7. EM immunogold labeling of
Xenopus photoreceptors with xrds38
antiserum. (A) Rod outer segment
labeling is evident at the disc edges
in the outer segment periphery
(straight arrows) and at the incisures
(curved arrows). A calycal process
(c) indicates that this field is near the
proximal end of the rod outer
segment. (B) Cone outer segment
discs are labeled only in the domain
that faces the column of cytoplasmic
matrix (m) associated with the
connecting cilium (arrows). A
calycal process (c) is visible in the
middle right, and an extracted oil
droplet (od) is seen in the lower right
field. Bar, 1 mm.
Fig. 8. Model of xrds proteins in Xenopus rod outer segment discs.
According to this model, xrds35 and xrds36 may interact covalently
individually and with each other to form covalent homo and/or
heterodimers (xrds35/xrds36 heterodimers depicted). These may
interact non-covalently across the intradiscal space in the terminal
loop region with xrds38 homodimers. The three heavy bars linking
covalent dimers represent interchain disulfide bonds. The
cytoplasmic amino and carboxy termini are indicated by N and C.