|
Fig. 1. Xvent-2 and Xvent-1 are members of a new class of homeobox genes.
(A) Deduced amino acid sequence of Xvent-2 protein. The homeodomain is
underlined. (B) Sequence alignment of the Xvent-2 homeodomain with other
homeoprotein sequences. Amino acids identical to those of Xvent-2 are indicated by
bars, and are expressed as % homology. Xvent-1 (Gawantka et al., 1995); Lbe (Jagla
et al., 1994); HBox-2.8 (Belleville et al., 1992); pS6 (Fjose et al., 1988); Mox-1
(Candia et al., 1992). |
|
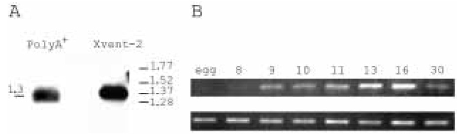
Fig. 2. Northern blot and expression profile of Xvent-2.
(A) A northern blot of stage 13 poly(A+) mRNA
(PolyA+) and in vitro transcribed Xvent-2 mRNA was
probed with Xvent-2. Sizes of markers and the band
observed in PolyA+ are indicated in kb on the right and
left, respectively. (B) RT-PCR analysis of Xvent-2
expression at the embryonic stages indicated. Top, Xvent-
2; bottom, Histone H4, for normalization. |
|
Fig. 3. Spatial expression of Xvent-2. Xvent-2 expression was
analyzed by in situ hybridisation of whole-mount (A,D,E,H) and
sagittally cut (B,G) Xenopus embryos. For comparison, whole-mount
in situ hybridisations of Xvent-1 are shown (C,F). The dorsal
blastopore lip is indicated by the arrowhead. (A) Stage 10 (early
gastrula) embryo shown in vegetal view. The dorsal expression
boundary of Xvent-2 is indicated by dashed lines. (B) Stage 10 (early
gastrula) embryo shown in lateral view. (C) Stage 10 (early gastrula)
embryo shown in vegetal view. Note that the dorsal expression
boundary of Xvent-1 (dashed lines) is more lateral than that of Xvent-
2 (A). (D-F) Stage 13 (early neurula) embryos shown in dorsal (D)
and posterior view (E,F). Note that the expression of Xvent-2
comprises the whole circumblastoporal colar (E) while the
expression domain of Xvent-1 (F) is more ventral. (G) Stage 13
(early neurula) embryo para-sagittally cut and shown in lateral view.
Note two staining somites (arrows). (H) Stage 30 (tailbud) embryo in
lateral view. a, anterior; an, animal pole; ba, branchial arches; ey,
eye; lp, lateral plate mesoderm; p, posterior; pr, proctodeum; so,
somites; ve, vegetal pole. |
|
Fig. 4. Interaction of Xvent-2 with Xvent-1 and gsc. All embryos
were analyzed at the gastrula stage (stage 10-11) by whole-mount in
situ hybridisation and are shown in vegetal view. (A) UV-ventralized
embryo probed for Xvent-2 expression. (B) LiCl-dorsalized embryo
probed for Xvent-2 expression. (C) Embryo microinjected into two
opposite blastomeres at the 4-cell stage with 50 pg gsc mRNA each
and probed for Xvent-2 expression. Note the two domains lacking
Xvent-2 expression (arrowheads). (D) Embryo microinjected with 0.1
ng Xvent-1 mRNA each into two opposite blastomeres at the 4-cell
stage, treated with LiCl and probed for Xvent-2 expression. Note the
two opposite domains of induced expression (arrowheads).
(E) Embryo microinjected with 1.5 ng DXvent-2 mRNA (Co) each
into two opposite blastomeres at the 4-cell stage, treated with LiCl
and probed for gsc expression. gsc is radially expressed. (F) Embryo
microinjected with 1.5 ng Xvent-2 mRNA each into two opposite
blastomeres at the 4-cell stage, treated with LiCl and probed for gsc
expression. Note the two domains lacking gsc expression
(arrowheads). |
|
Fig. 5. BMP-4 is necessary and sufficient for
expression of Xvent-2 and Xvent-1. Wild-type
embryos or treated embryos (as indicated on the
top) were probed at the early gastrula stage for
Xvent-1 or Xvent-2 expression as indicated on the
left. (A,D) Wild-type (wt) embryos. (B,E) Embryos
were microinjected with 0.6 ng BMP-4 mRNA each
into two opposite blastomeres at the 4-cell stage and
treated with LiCl. Note the two opposite domains of
induced expression (arrowheads). (C,F) Embryos
were microinjected with 1 ng each of dominantnegative
BMP-4 receptor mRNA (DmTFR11) into
four blastomeres of 4-cell stage embryos.
Expression of both Xvent-1 and Xvent-2 is
repressed. |
|
Fig. 6. Xvent-2 mRNA
microinjection causes
axial defects in a dosedependent
manner.
Phenotype of embryos
microinjected at the 4-
cell stage into four
blastomeres with 1.6 ng
per blastomere DXvent-2
mRNA (Co, top
embryo) or with the
indicated amount of
Xvent-2 mRNA (bottom
three embryos). |
|
Fig. 7. Xvent-2 mRNA
microinjection ventralizes
dorsal mesoderm. Embryos
were either uninjected
(DMZ, VMZ, -RT),
microinjected with 1.6 ng
DXvent-2 (Co), or
microinjected with
increasing amounts of
Xvent-2 mRNA (indicated
on top in ng mRNA per
blastomere) into the
equatorial region of four
blastomeres at the 4-cell stage. Dorsal (DMZ) or ventral marginal
zones (VMZ) as indicated on top were explanted at the early gastrula
stage and incubated until sibling embryos reached stage 19. Total
RNA was isolated and analyzed by RT-PCR assays for expression of
gsc (Cho et al., 1991), Xnot (von Dassow et al., 1993; Gont et al.,
1993), cardiac actin (m.actin) (Mohun et al., 1984), Xwnt-8
(Christian and Moon, 1993), BMP-4 (Dale et al., 1992; Jones et al.,
1992), Xhox3 (Ruiz i Altaba and Melton, 1989), Xvent-1 (Gawantka
et al., 1995) and Histone H4, as indicated. -RT, uninjected control
DMZ sample without reverse transcription. |
|
Fig. 8. Microinjection of Xvent-2 mRNA rescues dorsalization by a
dominant-negative BMP-4 receptor. 4-cell stage embryos were
microinjected into two ventral blastomeres with (A) 0.2 ng mRNA
encoding a dominant-negative BMP-4 receptor (DmTFR11; Suzuki
et al., 1994), or (B) a mixture of 0.2 ng DmTFR11 and 1.5 ng Xvent-
2 mRNA. White and black arrowheads in (A) point to primary and
secondary embryonic axes, respectively. |
|
Fig. 9. Cell fate changes induced by
Xvent-2 mRNA injection. 32-cell stage
embryos were coinjected into individual
blastomeres (indicated at the upper right
in each part) with colloidal gold-BSA
and either 0.8 ng DXvent-2 mRNA
(control, left column) or 0.8 ng Xvent-2
mRNA (right column). Embryos were
fixed at the tadpole stage and processed
for silver staining to visualize
microinjected cells. (A,B) Embryos
were injected into C4 blastomeres.
Embryos injected with Xvent-2 mRNA
show the normal lateral plate and
somitic fate of descendants.
(C,D) Embryos were injected into B1
blastomeres. Embryos injected with
Xvent-2 mRNA specifically fail to
populate the notochord. 0% (n=31) of
embryos injected with Xvent-2 showed
more than ten labeled notochord cells, in
contrast to 83% (n=12) of controlinjected
embryos. Notochord (no) in the
control is the column of labeled thin
vertical lines. Note labeled cells in a
position ventral to the notochord (closed
arrowheads in D), possibly
corresponding to immature notochord
cells. Note also the absence of welldifferentiated
neurons in the brain (open
arrowheads in D). (E,F) Embryos were
injected into C1 blastomeres. In
embryos injected with Xvent-2 mRNA
more labeled descendants populate
somitic mesoderm. Head mesodermal
cells were generally populated to a lesser degree than in control embryos and labeled cells did not line up with the anatomical feature of the
arches, appearing more clustered instead (arrowheads in F). hm, head mesoderm; lp, lateral plate; ne, neural tissue; no, notochord; so, somites. |