|
Fig. 1. Cloning of Xenopus a6 cDNAs. Five cDNA clones were isolated from a Xenopus XTC-cell
cDNA library, encompassing the entire coding region of the Xenopus homolog of the integrin a6
subunit. Two of these cDNAs (Xa6-A1 and Xa6-H1) were used to construct a clone containing the
full-length coding region (Xa6-A1H1). Above this construct is a schematic representation of the a6
protein. The putative signal sequence (diagonal lines), divalent cation-binding domains (dark
boxes), transmembrane domain (vertical lines) and B cytoplasmic domain variant (cross hatched)
are also represented. The original PCR product (Whittaker and DeSimone, 1993) used to isolate
these cDNAs and the probe used for RNAse protection assays are indicated above the peptide
schematic. Arrowheads represent restriction endonuclease cleavage sites (H) HindIII, (E) EcoRI,
(P) PstI, (X) XbaI. |
|
Fig. 2. Comparison of the deduced amino acid sequence of the
Xenopus integrin a6 subunit and its human (Tamura et al., 1990),
mouse (Hierick et al., 1993) and chick (de Curtis et al., 1991)
homologues. Amino acid identities are indicated by dashes and gaps
are marked by dots. The three (3) conserved metal-binding domains
are indicated by gray shading. Amino acid numbers correspond to
the Xenopus a6 sequence beginning with the putative first amino
acid (phenylalanine) of the mature protein. Conserved cysteines (*)
and potential sites of N-glycosylation (.) are indicated above the
Xenopus sequence. A single non-paired cysteine within the Xenopus
sequence is indicated (+), along with lone cysteines within the other
vertebrate homologues (C in bold). The transmembrane domain is
indicated by double overline, the conserved A cytoplasmic domain
by underline, and the B cytoplasmic domain by double underline.
The putative cleavage site is indicated by (¯), note the histidine (H in
bold) in the Xenopus sequence. The nucleotide sequence for Xenopus
integrin a6 has been deposited in GenBank under Accession No.
L35051. |
|
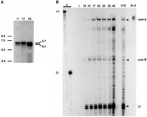
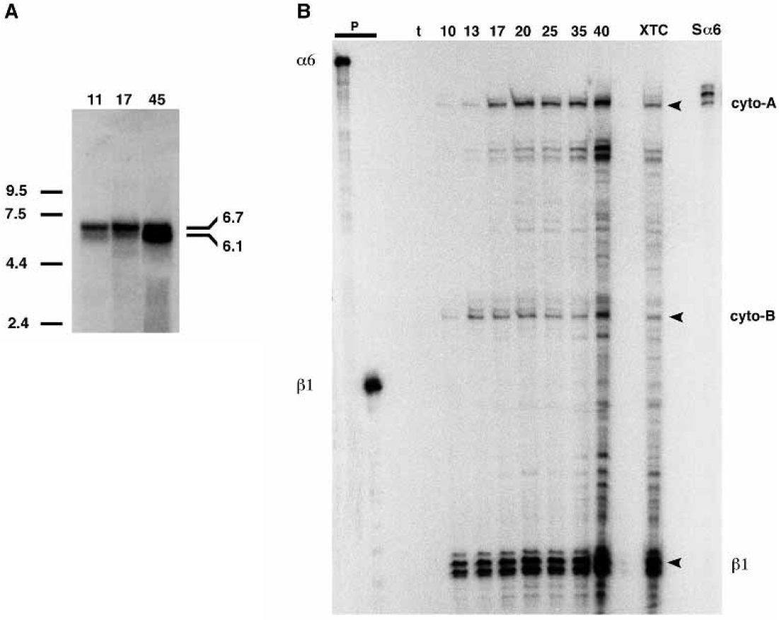
Fig. 3. (A) Northern blot analysis of
Xenopus integrin a6 mRNA.
Equivalent amounts of poly(A)-
selected mRNA from various stage
Xenopus embryos were probed with
the Xa6-A1 clone (corresponding to
the 5¢ end of the coding region). Two
a6 mRNAs (6.7 and 6.1 kb
respectively) are detected throughout
development, although the relative
levels of expression vary between
early (stage 11 and 17) and late stages
(45). (B) RNAse protection analysis of
the two Xenopus integrin a6 subunit
cytoplasmic variants. Levels of
expression for each Xenopus a6
mRNA were detected using a 495 nt
probe (387 nt complementary to the Xenopus a6 mRNA and 108 nt of
flanking plasmid RNA) that overlaps both the A and B cytoplasmic variants
(cyto-A and cyto-B) of Xenopus a6. As a control for equivalent RNA
loading, a 167 nt antisense integrin b1 probe was added to each sample. 10
embryo equivalents of total RNA isolated from various stage embryos (stages
10-40), RNA from a Xenopus cell line (XTC), in vitro transcribed Xenopus
cyto-A integrin a6 sense transcript (Sa6), and tRNA control (t) were assayed
using both probes. Protected RNA fragments of 387 nt (cyto-A) and 198 nt
(cyto-B) were detected in all embryo and XTC cell RNA samples. The
protected fragment in the Sa6 sample is slightly larger than the endogenous
a6 mRNA due to the presence of vector sequences in the sense transcript that
are also in the antisense probe. (P) lanes of undigested probes. |
|
Fig. 4. Localization of integrin a6 mRNA in early Xenopus embryos by whole-mount in situ hybridization. Stage 11.5 (A, dorsal side at top)
and 12.5 (B, anterior at right) Xenopus embryos express a6 mRNA in their dorsal ectoderm (y, yolk plug). (C) During neurulation (stage 15,
dorsal view, anterior at right), a6 mRNA is localized to the central region of the neural plate and the preplacodal ectoderm outlining the neural
ridge, with elevated expression in the future hindbrain. Transverse sections of equivalently staged embryos reveal a6 mRNA in the thickening
neural epithelium (arrowheads in G-I) as well as in the caudal ectoderm (I). (D) Lateral view of stage 15 embryo, reveals prominent a6 mRNA
expression throughout the neural tube, as well as in the caudal ectoderm surrounding the closed blastopore (arrowheads). (E) Lateral view of a
late neurula (stage 24), a6 mRNA is expressed throughout the neural tube, with prominent expression in the hindbrain, otic vesicle (arrowhead)
and optic lobe (arrow), as well as the notochord (n). (F) Longitudinal view of similar stage embryo reveals that expression in the neural tube is
restricted to the ventricular region. In addition, elevated levels of signal in the hindbrain represent expression in the otic vesicle and possibly
rhombencephalic neural crest lateral to the neural tube (arrowheads). |
|
NIHFig.
5. Localization of integrin a6 subunit mRNA in stage 32 tailbud Xenopus embryos by whole-mount in situ hybridization. Views of stage
32 Xenopus embryos probed with either antisense (A,C-K) or sense (B) digoxigenin-labeled transcripts. The rostral end of each embryo is to
the right in A-H). (C) Integrin a6 mRNA is expressed in discreet regions throughout the developing nervous system including the Schwann
cells of the seventh, eighth and tenth (VII, VIII and X) cranial nerves (arrows), the olfactory placode (op), the otic vesicle (ov), (D) the
trigeminal ganglia (tg) and lens (l), and (F) inter-neurons in the spinal cord (in). In the developing brain (H), a6 mRNA is expressed in the cells
of the ventricular layer (v). In the developing kidney (E), integrin a6 mRNA is expressed in the pronephros (pn) and (G) the elongating
pronephric duct (pnd). Transverse sections of whole-mount stained embryos are presented at the levels of the (I) hindbrain, (J) rostral spinal
cord and (K) mid-thoracic region. a6 mRNA in the neural tube is detected in two rows of laterally symmetrical interneurons whose cell bodies
reside midway along the dorsal-ventral axis of the neural tube (arrowheads). (I) In rostral regions of the embryo, a6 mRNA is present in the
otic vesicle (ov) and within the pronephros (pn), and (J) more caudally in the pronephric duct (pnd). |
|
Fig. 6. (A) The expression of
Xenopus integrin a6 mRNA in
transfected NIH-3T3 cells was
assayed by northern blot analysis.
RNA isolated from NIH-3T3 cells,
either transfected with the
Xenopus integrin a6 subunit (B7,
A8) or mock-transfected (3T3)
was separated by agarose gel
electrophoresis and probed with
the 2100 bp cDNA, Xa6-A1.
Transfected cells express an
mRNA of 3.9 kb (arrow), which is
recognized by the Xenopus
integrin a6 probe. Mock
transfected cells do not express
this mRNA.
(B) The expression of Xenopus integrin a6 protein by transfected NIH-3T3 cells was assayed by immunoblot analysis. Protein
extracts from Xenopus a6 transfected (B7), Xenopus a3 transfected (Xa3: Meng, Whittaker and DeSimone, unpublished data) and mocktransfected
(3T3) cells, and the Xenopus cell line (XTC) were separated by SDS-PAGE and immunoblotted with an antisera to the conserved
cytoplasmic region of the integrin a6 A variant. NIH-3T3 cells express very low levels of endogenous integrin a6 protein, while transfected
cells express high levels of the Xenopus a6 subunit (arrow).
(C) Possible cleavage of Xenopus a6 protein into heavy and light chains was
investigated by immunblot analysis. Samples from mock transfected (3T3), Xenopus a6 transfected (B7) and XTC cells (XTC) were either
solubilized in the presence (+DTT) or absence (-DTT) of 1 mM dithiothreitol. Proteins were separated by 10% SDS-PAGE, and immunoblotted
with the a6cytA antisera (arrow). Only intact Mr 128,000 a6 protein is detected under both reducing and non-reducing conditions. |
|
Fig. 7. The ligand-binding specificity of the Xenopus integrin a6
subunit was assayed by cell attachment assay. (A) NIH-3T3 cells
transfected with the Xenopus integrin a6 subunit and mock
transfectants, were allowed to adhere to substrata coated with
fibronectin (FN), laminin (LN), collagen types I (Col I) and IV (Col
IV), and ovalbumin (ov). Only a6 transfected cells bind to laminin.
Xenopus a6 transfected and mock-transfected NIH-3T3 cells were
assayed for their ability to adhere to fibronectin (FN) and laminin
(LN) substrata presented in alternating 50 mm stripes on the tissue
culture plate. (B) Mock transfected cells adhere only to the FNcoated
stripes, while (C) Xenopus a6 transfected cells adhere to both
FN- and LN-coated stripes. |
|
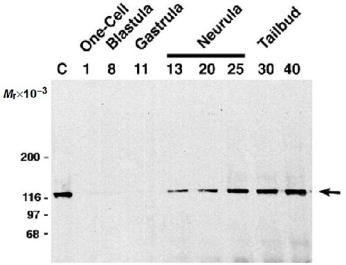
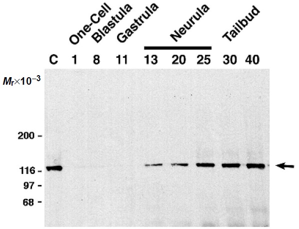
Fig. 8. Expression of the a6 subunit during development. Extracts
from embryos at various stages of development were analyzed by
immunoblot using an antisera directed against a human integrin a6
cytoplasmic domain peptide. The a6-specific protein of Mr 128,000
(arrow) is first detected in stage 13 (neural plate) embryos. Increased
expression is noted through early tailbud-stage (stage 30) embryos.
No protein was detected prior to or during mid-gastrulation (stage
11). (C) Control extract from NIH-3T3 cells transfected with
Xenopus a6 integrin. |
|
Fig. 9. Expression of a6 antisense RNA disrupts neurulation and
normal axial development. Single cell embryos were injected with
control CSKA (A,C) and Xa6-CSKA-A antisense plasmids (B,D-H).
Control embryos develop normally to early neurula (A, stage 16) and
tailbud (C, stage 32) stages, while antisense-injected embryos exhibit
a range of defects at these stages (B,D-F). (B) At early stages,
approximately 50% of embryos lack neural plates. (D) Later in
development (stage 32), 35% of embryos have failed to neurulate,
while (F) approximately 10% of embryos fail to gastrulate properly.
(E) Another 20% have severe, but regionally localized, axial defects
such as the lack of tail structures, the lack of head structures and/or
curved neural axis. Antisense-injected embryos can be rescued to
normal or near-normal phenotypes by injection of either Xenopus a6
mRNA (G, Xa6-Sp64T) or sense plasmid constructs (H, Xa6-
CSKA-S). The variability of rescued phenotypes is evident in
representative embryos (H). |
|
Fig. 10. The distribution of plasmid driven antisense and sense transcripts in early
embryos was determined by in situ hybridization. None of these embryos have been
cleared so that transcripts in the superficial cells could be delineated more clearly.
Both sense (A,D) and antisense (B,E) transcripts are detected in late blastula/early
gastrula-stage embryos derived from plasmid-injected single cell embryos. The
transcripts are routinely detected in cells representing 15-20% of the total surface
area of the embryo. In embryos that exhibit severe neurulation defects (i.e.,
neurulation arrest, Fig. 9D) following antisense Xa6-CSKA-A injection (C, F),
transcripts are localized in the dorsal region of the embryo, often restricted to the
midline region of the presumptive neural plate and its underlying mesoderm. |
|
Fig. 11. Endogenous a6 protein levels are reduced in embryos
expressing antisense a6 RNAs. Protein levels for the integrin (A) a6,
(B) a3 and (C) b1 subunits were assayed by immunoblot analyses
(A¢ represents a longer exposure of A). Embryos were assayed at two
developmental stages corresponding to early neurula (stage 16) and
early tailbud (stage 32). In order to increase detection of a6 protein
levels from stage 16 embryos, 4 embryo equivalents were assayed
per lane. Stage 32 samples represent 1 embryo equivalent per lane.
Embryos were injected at the single cell stage with control CSKA
plasmid containing no insert (P), full-length Xenopus a6 integrin in
the sense orientation (S), or partial length Xenopus a6 integrin in the
antisense orientation (AS). Antisense-injected stage 32 embryos
were further subdivided into groups representing the three major
phenotypes observed, as listed in Table 2 and shown in Fig. 9;
gastrulation defects (AG), no neural plate (AN) and defects of axial
structures (AA). (D) Relative protein expression was quantified by
densitometric scans of fluorograms from four separate experiments.
Relative expression of a6 integrin protein is presented as mean
(±s.e.m.) values from the four sets of densitometric data.
Densitometric data was normalized within each experiment, with the
value for control (P)-injected embryos being 100%. Data from stage
16 and stage 32 embryos were calculated separately. |
|
Fig. 12. Endogenous a6 protein levels were reduced consistently
relative to b1 protein levels in separate groups of embryos expressing
a6 antisense transcripts. (A) Extracts of Xenopus a6 integrin
transfected cells (C), uninjected control (control) and sibling
embryos injected with Xa6-CSKA-A (antisense) were analyzed by
western blot using the a6 antisera (a6cytoA) and a monoclonal
antibody to b1 integrin (8C8). The levels of a6 protein are
reproducibly reduced relative to the b1 subunit in each of three sets
of pooled embryos (2 embryos per lane). (B) Approximately 80% of
a6 the protein is eliminated in antisense-treated embryos, while less
than 10% of the b1 protein was reduced. Data in (B) represents
pooled densitometric scans from three separate experiments (3
samples per experiment as shown in A) involving simultaneous
detection with both the a6cytoA and 8C8 antibodies. |
|
Fig. 13. Expression of antisense a6 transcripts reduces embryonic
cell attachment to laminin, but not fibronectin. Cells were isolated
from Xenopus embryos injected with Xa6-CSKA-A (antisense) or
uninjected siblings (control) by manually dissecting the presumptive
neural plate and associated mesoderm from stage 13 embryos in
Ca2+/Mg2+-free media. Cells were allowed to adhere to fibronectinor
laminin-coated substrata (A). Relative cell attachment was
determined by counting the number of adherent cells on each
substratum for twelve non-overlapping microscopic fields in three
experiments. These data were normalized so that attachment to
fibronectin equals 100% (B). |
|
itga6 (integrin, alpha 6) gene expression in Xenopus laevis embryo, assayed via in situ hybridization, NF stage 11.5, lateral view, anterior left, dorsal up. |
|
itga6 (integrin, alpha 6) gene expression in Xenopus laevis embryo, assayed via in situ hybridization, NF stage 15, dorsal view, anterior left. |
|
itga6 (integrin, alpha 6) gene expression in Xenopus laevis embryo, assayed via in situ hybridization, NF stage 24, lateral view, anterior left, dorsal up. |
|
itga6 (integrin, alpha 6) gene expression in Xenopus laevis embryo, assayed via in situ hybridization, NF stage 32, lateral view, anterior left, dorsal up. |