Click here to close
Hello! We notice that you are using Internet Explorer, which is not supported by Xenbase and may cause the site to display incorrectly.
We suggest using a current version of Chrome,
FireFox, or Safari.
???displayArticle.abstract???
The Brachyury (T) gene is required for formation of posteriormesoderm and for axial development in both mouse and zebrafish embryos. In this paper, we first show that the Xenopus homologue of Brachyury, Xbra, and the zebrafish homologue, no tail (ntl), both function as transcription activators. The activation domains of both proteins map to their carboxy terminal regions, and we note that the activation domain is absent in two zebrafish Brachyury mutations, suggesting that it is required for gene function. A dominant-interfering Xbra construct was generated by replacing the activation domain of Xbra with the repressor domain of the Drosophila engrailed protein. Microinjection of RNA encoding this fusion protein allowed us to generate Xenopus and zebrafish embryos which show striking similarities to genetic mutants in mouse and fish. These results indicate that the function of Brachyury during vertebrate gastrulation is to activate transcription of mesoderm-specific genes. Additional experiments show that Xbra transcription activation is required for regulation of Xbra itself in dorsal, but not ventral, mesoderm. The approach described in this paper, in which the DNA-binding domain of a transcription activator is fused to the engrailed repressor domain, should assist in the analysis of other Xenopus and zebrafish transcription factors.
Fig. 1. Transcription activation by Xbra and Ntl. Transcription activation by Xbra
and Ntl in yeast was demonstrated by induction of the expression of a GAL4UASlacZ
reporter gene in the presence of a plasmid encoding the S. cerevisiae GAL4
DNA-binding domain fused to either Xbra or Ntl coding sequences. Top row:
transcription activation by full-length GAL4 (positive control) and by fusions of
GAL4DBD to Xbra and Ntl, respectively. Bottom row: lack of transcription
activation by fusions of GAL4DBD to human lamin C (negative control), to Xbra
truncated at amino acid 303, and to Ntl truncated at amino acid 334.
Fig. 2. Mapping of the Xbra
and Ntl transcription
activation domains using a
modification of the assay
described in Fig. 1. The GAL4
DNA-binding domain (DBD)
was fused to a 3¢ deletion
series of Xbra or Ntl
generated by transposition
mutagenesis or to 5¢
truncations and internal
deletions generated by
conventional techniques.
Strong activation: ‘+++’;
weaker activation: ‘++’; no
activation: ‘-’.
(A) Representative examples
of results obtained with Xbra
deletions. The region mapped
as the Xbra activation domain
is shown at the bottom. This
region gives slightly lower
activation than that obtained
by the full-length protein, and
it is likely that a small number
of flanking amino acids are
required for full induction of
transcription.
(B) Representative examples
of results obtained with Ntl
deletions. The region mapped
as the Ntl activation domain is
shown at the bottom. For both
Xbra and Ntl, additional
deletions and truncations gave
results consistent with those
described here. Interruptions
of coding sequence due to the
ntlb160 and ntlb195 mutations
are indicated. In both A and B,
the DNA-binding domain,
shown in red, is based on
Kispert and Herrmann (1993)
together with band-shift
analyses using Xbra and Ntl
deletions (not shown).
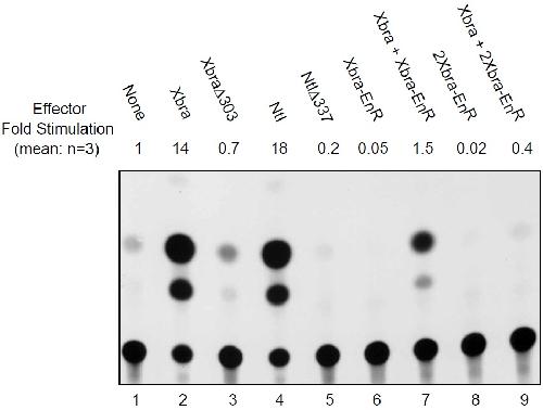
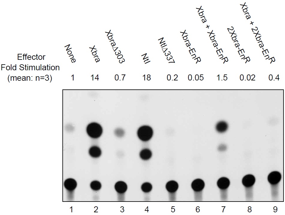
Fig. 3. Transcription activation by Xbra and Ntl and repression of activation by a
dominant interfering Xbra-EnR construct. NIH3T3 cells were lipofected with the
indicated effector plasmids together with a chloramphenicol acetyl transferase (CAT)
reporter plasmid carrying two copies of the Brachyury-binding site (Kispert and
Herrmann, 1993) upstream of a minimal promoter. Plasmids encoding wild-type Xbra
(lane 2) or wild-type Ntl (lane 4) cause activation of transcription while the Xbra and
Ntl alleles lacking the putative activator domain (see Fig. 2) have little or no effect
(lanes 3 and 5). A plasmid encoding an Xbra allele in which the activation domain is
replaced by the Drosophila engrailed repressor domain (Xbra-EnR) causes no
activation (lanes 6 and 8) and it inhibits activation due to Xbra in a dose-dependent
manner, with complete inhibition obtained with a two-fold excess of Xbra-EnR over
Xbra (lanes 7 and 9). This experiment was carried out three times, with similar results
obtained each time. Loading was normalised by reference to levels of b-galactosidase
activity derived from the co-transfected MLVlacZ plasmid. Mean levels of stimulation
are indicated. Xbra did not cause transcription activation in the absence of a
Brachyury-binding site (not shown).
Fig. 4. Construction of Xbra-EnR. The entire carboxy terminal of
Xbra, including the transcription activation domain, was removed by
digestion with ClaI and the DNA-binding domain was then fused to
amino acids 2-298 of the Drosophila engrailed protein.
Fig. 5. Xbra-EnR interferes with gastrulation movements in Xenopus.
(A,C) Control embryos. (B,D) Embryos injected with RNA encoding
Xbra-EnR. Embryos are at stages 10.5 (A,B) and stage 14 (C,D).
Note that the blastopore is slow to close in embryos injected with
Xbra-EnR.
Fig. 6. Phenotype of Xenopus embryos injected with RNA encoding Xbra-EnR. (A) Control, uninjected embryo. Embryos injected with RNA
encoding EnR alone are indistinguishable from such controls. (B,C) Embryos injected with 0.5 ng RNA encoding Xbra-EnR lack posterior
structures. (D) Histological section of an embryo injected with 0.5 ng RNA encoding EnR alone. This embryo is indistinguishable from sections
of control embryos. Note notochord (not) and muscle (mus). (E) Histological section of an embryo injected with RNA encoding Xbra-EnR.
This embryo lacks posterior structures but has formed notochord (not) and somitic muscle (mus) anteriorly. (F–H) Embryos stained with the
notochord-specific antibody MZ15. (F) Control embryo. (G) Embryo injected with RNA encoding Xbra-EnR; notochord is present anteriorly.
(H) Embryo injected with RNA encoding Xbra-EnR; notochord is absent. (I,J) Embryos stained with the muscle-specific antibody 12/101.
(I) Control embryo. (J) Embryo injected with RNA encoding Xbra-EnR; muscle is present anteriorly. Results similar to these were obtained
following injection of 0.2 and 1.0 ng Xbra-EnR RNA (not shown).
Fig. 7. Inhibition of notochord
differentiation by Xbra-EnR revealed
using Tor70 staining. (A) Control,
uninjected embryo. (B,C) Embryos
injected with 0.5 ng RNA encoding Xbra-
EnR. Note normal notochord in A,
anterior notochord in B and lack of
notochord in C.
Fig. 8. Co-injection of RNA encoding wild-type Xbra brings about partial rescue of the effects of
Xbra-EnR. (A) Control embryo. (B) Embryo injected with 1 ng RNA encoding Xbra-EnR. (C)
Embryo injected with 1 ng RNA encoding Xbra-EnR together with 2 ng RNA encoding wild-type
Xbra. Note that posterior structures are more complete in C than in B, although anterior structures in
C are reduced.
Fig. 9. Phenotype of zebrafish embryos injected with RNA encoding
Xbra-EnR. (A) Wild-type zebrafish embryo approximately 24 hours
after fertilization. (B) Sibling ntl mutant embryo at the same stage as
that in A. (C) Control uninjected zebrafish embryo approximately 24
hours after fertilisation. (D) Sibling zebrafish embryo injected with
RNA encoding Xbra-EnR at the same stage as that in C. Posterior
tissue is greatly reduced but anterior structures such as the eye
(arrow) are present. (E) High-power view of the somites and
notochord of a control zebrafish embryo in the trunk region. Note the
highly vacuolated cells of the notochord (not) and the chevronshaped
somites (som). (F) High-power view of the trunk region of a
zebrafish embryo injected with RNA encoding Xbra-EnR. The
notochord (not) is poorly differentiated, the somites (som) are only
slightly chevron-shaped and they are fused at the ventral midline. In
all these respects embryos injected with RNA encoding Xbra-EnR
resemble the ntl mutation (Halpern et al., 1993).
Fig. 10. In situ hybridization analysis of embryos injected with RNA
encoding Xbra-EnR. (A–D) Embryos hybridised with an Xbra probe
at stage 10 (A,B) and stage 14 (C,D). Control embryos at the early
gastrula stage express Xbra throughout the marginal zone (A).
Control embryos at the neurula stage express Xbra in the notochord
and in posterior cells (C). Embryos injected with RNA encoding
Xbra-EnR do not express Xbra in the organizer at the early gastrula
stage (B; see left-hand side of embryo) or in the notochord at the
neurula stage (D). The greater intensity of staining in the ventral
region of the embryo shown in B is not a consistent observation and
decreases in endogenous levels of Xbra have been confirmed by
RNAase protection (not shown). (E–H) Embryos hybridised with a
Pintallavis probe at stage 10 (E,F) and stage 14 (G,H). Expression of
Pintallavis in embryos injected with RNA encoding Xbra-EnR (F,H)
is similar to that in controls (E,G).