Click here to close
Hello! We notice that you are using Internet Explorer, which is not supported by Xenbase and may cause the site to display incorrectly.
We suggest using a current version of Chrome,
FireFox, or Safari.
???displayArticle.abstract???
The Dishevelled protein mediates several diverse biological processes. Intriguingly, within the same tissues where Xenopus Dishevelled (Xdsh) controls cell fate via canonical Wnt signaling, it also controls cell polarity via the vertebrate planar cell polarity (PCP) cascade [1, 2, 3, 4, 5, 6, 7, 8 and 9]. The relationship between subcellular localization of Dishevelled and its signaling activities remains unclear; conflicting results have been reported depending upon the organism and cell types examined [8, 9, 10, 11, 12, 13, 14, 15, 16, 17, 18, 19 and 20]. We have approached this issue by developing new reagents to sequester wild-type Dishevelled protein either at the cell membrane or away from the cell membrane. Removal of Dishevelled from the cell membrane disrupts convergent extension by preventing Rho/Rac activation and mediolateral cell polarization. By manipulating the subcellular localization of K-->M (dsh1), we show that this mutation inhibits Dishevelled activation of Rac, regardless of its subcellular localization. These data demonstrate that membrane localization of Dishevelled is a prerequisite for vertebrate PCP signaling. However, both membrane-targeted and cytoplasm-targeted Dishevelled can potently activate canonical Wnt signaling, suggesting that local concentration of Dishevelled protein, but not its spatial localization, is central to canonical Wnt signaling. These results suggest that in vertebrate embryos, subcellular localization is insufficient to account for the pathway specificity of Dishevelled in the canonical Wnt versus PCP signaling cascades.
Figure 1. Manipulation of Dishevelled Localization
(A) Dvl monomers associate via their N-terminal
DIX domains to form oligomers that
are found in both cytoplasmic and cell-membrane
populations (A#).
(B) Endogenous Dvl monomers will oligomerize
with membrane-tethered Dvl-caax
such that the wild-type Dvl is sequestered at
the cell membrane (B#).
(C) Endogenous Dvl monomers will oligomerize
with mitochondrial-localized Xdsh-
MA, and the wild-type Dvl will be sequestered
in the cytoplasm, away from the cell
periphery (C#).
(D) Localization of Xdsh-GFP in a normal
Xenopus animal cap.
(E) Higher-magnification view of Xdsh-GFP
(green) localization in normal animal cap; cell
membrane is indicated by memRFP (E#, red).
(F) Wild-type Xdsh-GFP (green) is translocated
to the cell membrane by expression of
unlabeled Dvl-KM-caax.
(G) Higher-magnification view of a cell expressing
wild-type Xdsh-GFP (green) and
unlabeled Dvl-KM-caax; cell membrane is indicated
by memRFP (G#, red).
(H) Wild-type Xdsh-GFP (green) is translocated
to clusters in the cytoplasm by expression
of unlabeled Xdsh-MA.
(I) Higher-magnification view of a cell expressing
wild-type Xdsh-GFP (green) and
unlabeled Dvl-KM-caax; cell membrane is indicated
by memRFP (I#, red).
Figure 2. Removal of Dishevelled from the
Cell Membrane in the DMZ Blocks Convergent
Extension by Disrupting Cell Shape
and Cell Polarity
(A) Membrane localization of Xdsh-GFP in
the DMZ of a normal embryo. Cell membrane
can be visualized by memRFP (A#). Colocalization
is apparent in the merged image (A$).
(B) Xdsh-GFP is entirely sequestered in the
cytoplasm in the DMZ of embryos expressing
Xdsh-MA. (B#) shows coexpressed
memRFP. (B$) shows a merged image.
(C) Control embryo showing clone of cells
from injection of fluorescent dextran (green)
at the 256-cell stage. Labeled clone is more
obvious in the fluorescent view in panel (C#).
(D) Labeled clones at late gastrulation have
undergone significant convergence and extension
(compare to panel [C]). Fluorescent
view is in panel (D#).
(E) Confocal image of cells in the boxed region
of panel (D#). Because of mediolateral
cell intercalation, labeled cells are intermingled
with unlabeled cells. These cells are
mediolaterally elongated and aligned.
(F) Xdsh-MA-injected embryo showing a
labeled clone of cells that is not elongated
at early gastrulation (fluorescent view in
panel [F#]).
(G) Labeled clones at late gastrulation in Xdsh-MA-injected embryos have failed to elongate (fluorescent view in panel [G#]).
(H) Confocal image of cells in the boxed region of panel (G#). In embryos expressing Xdsh-MA, labeled cells are not intermingled with
unlabeled cells. These cells are not mediolaterally elongated and are randomly oriented (see Figure S3).
Figure 3. Removal of Dvl from the Cell Membrane Prevents Nonnal
Activation of Rho and Rac during Convergent Extension
To assess activation of Rho and Rac, we employed GST-pulldown
assays utilizing GST-RDB (Rho binding domain) and GST-PBD (Pak
binding domain) fusion proteins, which bind specifically to activated
(GTP-bound) Rho and Rac, respectively.
(A) Activation of Rho and Rac in dorsal marginal zones expressing
constructs listed at top of panel. The mild reduction of Rac activation
by Dvi-KM-caax was observed in most but not all cases.
(B) localization of RhoA-GFP in cells of the dorsal marginal zone
in a control embryo; inset shows Rac-GFP localization in control
animal-cap cells.
(C) Xdsh-MA expression does not change the subcellular localization
of RhoA-GFP or Rac-GFP (inset).
(D) Activation of Rho and Rae in ventral marginal zones expressing
constructs listed at top of panel.
Figure 4. Constitutive Membrane Localization
of Dishevelled Enhances Its Gain-of-
Function Disruption of Convergent Extension
(A) Normal control embryo.
(B) Embryo expressing Dvl-KM-caax and
displaying a mild phenotype.
(C) Embryo expressing Dvl-KM-caax and
displaying a severe phenotype. The phenotypes
(B and C) are independent of effects
on dorsal cell-fate specification, given that
normal expression of Sonic Hedgehog and
the somite marker 12/101 was observed
(data not shown).
(D and E) Frequency of normal, mild, and severe
phenotypes (as indicated in panels [A]â
[C]) after injection of indicated mRNAs.
Figure 5. Both Membrane-Targeted and Constitutively Cytoplasmic Dishevelled Are Potent Activators of Canonical Wnt Signaling
(A) Injection of 50 pg Xdsh-MA or Dvl-KM-caax is sufficient to induce secondary axes when injected ventrally into 8-cell Xenopus embryos.
Injection of equivalent doses of wild-type Xdsh-GFP or Dvl-1 fails to induce secondary axes. Many of the secondary axes induced by Dvl-
KM-caax or Xdsh-MA were complete, as judged by the presence of a secondary cement gland (B, arrow).
(C) Injection of 50 pg Xdsh-MA or Dvl-KM-caax in animal caps is sufficient to activate transcription of the direct Wnt target genes Xnr-3 and
siamois. Injection of equivalent doses of wild-type Xdsh-GFP or Dvl-1 fails to activate transcription of these genes.
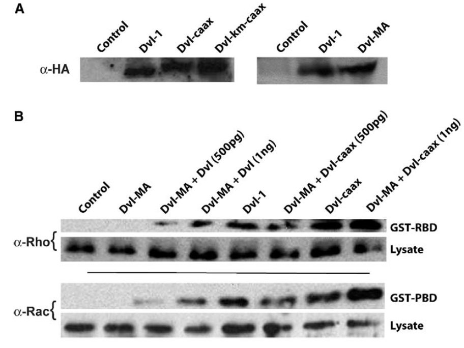
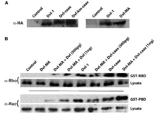
Figure S1. Translation and Rho/Rac Activation
of Dishevelled Construct
(A) Anti-HA Western blotting to assess translation
of injected mRNAs, as indicated above
the panels.
(B) Failure of Rho and Rac activation by Dvl-
MA is overcome by the addition of Dvl-1 or
Dvl-Caax.
Figure S2. Quantification of Xdsh-GFP Membrane Association
To quantify the degree of membrane association of Xdsh-GFP, we
calculated its colocalization with membrane-tethered RFP
(memRFP [S9]). The plot in this figure shows the ratio of pixels in
which GFP and RFP signals are colocalized to the total pixels. A
threshold is applied to remove low-intensity signal that is likely
to be nonspecific. This ratio, the âcolocalization coefficient,â was
attained with Zeiss LSM5 software.
First, as a control, we measured colocalization of Xdsh-GFP and
memRFP in control animal caps (column 1). Expression of unlabeled
Dvl-KM-caax resulted in a dramatic increase in Xdsh-GFP colocalization
with memRFP (column 2), demonstrating the efficacy of this
quantification method (see also Figures 1D and 1F in the main text).
We next quantified colocalization in DMZ cells. As compared to
normal animal caps cells, DMZ cells display a much higher fraction
of Xdsh-GFP colocalized with memRFP (column 3). However, in
DMZ cells expressing unlabeled Xdsh-MA, we observe as much as
a 10-fold reduction in the colocalization of Xdsh-GFP and memRFP
(column 4). These data indicate that Xdsh-MA effectively removes
wild-type Dvl from the cell membrane in cells undergoing convergent
extension.
Figure S3. Effects of Xdsh-MA on Convergent
Extension
(A) Dorsal view of control embryo at stage 24.
(B) Control embryo at stage 10.5, hybridized
to the Xnot probe (dorsal is up).
(C) Control embryo (stage 24), hybridized to
the xSHH probe.
(D) Dorsal view of Xdsh-MA-injected embryo
at stage 24; note the reduced axis elongation
and open neural tube.
(E) Xdsh-MA-injected embryo at stage 10.5;
expression of Xnot is normal (dorsal is up).
(F) Xdsh-MA-injected embryo expression of
xSHH is normal at stage 24. It should be noted
that despite the ability of Xdsh-MA to activate
canonical Wnt signaling (see Figure 5 in the
main text), expression of the dorsal markers
Xnot and xSHH is not significantly affected
(axial-protocadherin expression was also unaffected
but was not shown). Expression of
Dvl-caax likewise activates canonical Wnt
signaling (Figure 5) but did not significantly
affect expression of dorsal markers (xSHH
and Xnot, data not shown). Both constructs
also disrupt convergent extension, but activation
of the canonical Wnt pathway is not
likely to be the cause of the convergentextension
defects because hyperactivation of
canonical Wnt signaling downstream of Dishevelled
does not inhibit convergent extension
[S12, S15]; instead, enhanced canonical
signaling likely accelerates convergent extension
by activating expression of Xnr3 [S16].
(G) Morphometrics of cells in the notochord and somites of stage-13 embryos. Plot shows length-to-width ratio (LWR) of cells plotted against
the orientation of the long axis of that cell. Control cells (red) are highly polarized; cell axes are oriented mediolaterally, and cells have high
LWR (2.06 0.087; mean SEM). Cells in Xdsh-MA-injected embryos (black) are not polarized; cell axes are randomly oriented, and cells
have low LWR (1.62 0.067; mean SEM).
(H) All cells in control embryos have their long axes oriented mediolaterally (e.g., within 45 of perpendicular to the embryonic anteroposterior
axis). Cells in embryos expressing Xdsh-MA have their long axes distributed evenly between mediolateral and anteroposterior orientations.