Click here to close
Hello! We notice that you are using Internet Explorer, which is not supported by Xenbase and may cause the site to display incorrectly.
We suggest using a current version of Chrome,
FireFox, or Safari.
Development
1996 Jun 01;1226:1975-84. doi: 10.1242/dev.122.6.1975.
Show Gene links
Show Anatomy links
Mesoderm and endoderm differentiation in animal cap explants: identification of the HNF4-binding site as an activin A responsive element in the Xenopus HNF1alpha promoter.
???displayArticle.abstract???
The gene encoding the tissue-specific transcription factor HNF1alpha (LFB1) is transcriptionally activated shortly after mid-blastula transition in Xenopus embryos. We have now shown that the HNF1alpha protein is localized in the nuclei of the liver, gall bladder, gut and pronephros of the developing larvae. In animal cap explants treated with activin A together with retinoic acid, we induced HNF1alpha in pronephric tubules and epithelial gut cells, i.e. in mesodermal as well as in endodermal tissues. HNF1alpha can also be induced by activin A, but not by retinoic acid alone. To define the promoter element responding to the activin A signal, we injected various HNF1alpha promoter luciferase constructs into fertilized eggs and cultured the isolated animal caps in the presence of activin A. From the activity profiles of the promoter mutants used, we identified the HNF4-binding site as an activin-A-responsive element. As HNF4 is a maternal protein in Xenopus and localized in an animal-to-vegetal gradient in the cleaving embryo, we speculate that the activin A signal emanating from the vegetal pole cooperates with the maternal transcription factor HNF4 to define the embryonic regions expressing HNF1alpha.
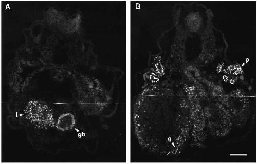
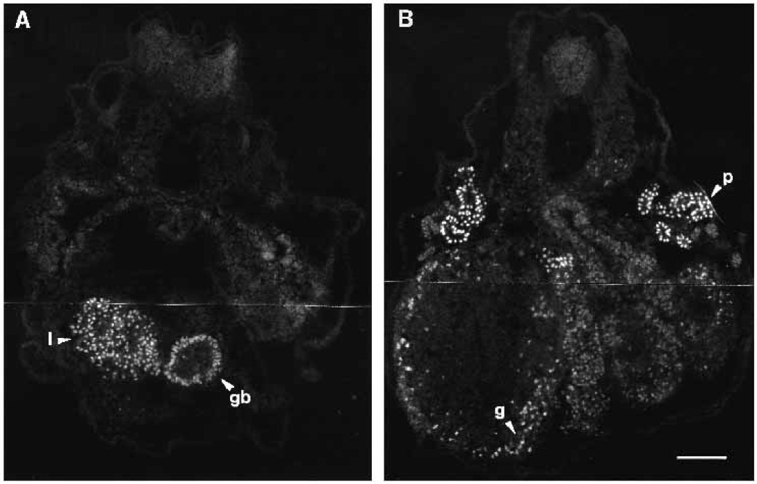
Fig. 1. Localization of the HNF1a protein in the hatched Xenopus larvae. HNF1a was detected
on cryosections of a stage 42 larvae by indirect immunofluorescence using the monoclonal
antibody XAD5 (Bartkowski et al., 1993). (A,B) Transversal sections demonstrating HNF1a-
specific staining in the liver (l), gall bladder (gb), pronephric tubules (p) and the epithelial cells of
the gut (g). Bar, 100 mm.
Fig. 2. Localization of the HNF1a protein in animal cap explants upon induced
differentiation. Explants were incubated in the absence (A) or presence (B-F) of activin A
together with retinoic acid and harvested for indirect immunofluorescence analysis after a
culture period of four days. Cryosections of explants were incubated with (A,B,D,F) the
HNF1a-specific antibody XAD5 (Bartkowski et al., 1993), (C) an antibody specifically
recognizing pronephric tubules and nephrostomes (3G8; Vize et al.,1995) and (E) an
antibody recognizing the gut (4G8; Jones et al., 1993). (A) Atypical epidermis lacking
HNF1a-specific staining. (B) HNF1a-specific staining in pronephric tubules (arrow) and
other cell types (arrowhead) induced by activin A and retinoic acid. (C) Pronephric tubules
stained by the 3G8 antibody. (D) Same section as in C demonstrating that HNF1a is
localized in the nuclei of pronephric tubules and in other cell types lacking the 3G8
pronephric antigen. (E) Epithelial gut cells detected by the 4G6 antibody. (F) Same section
as in E demonstrating HNF1a-specific staining in the nuclei of gut cells. Bar, 50 mm.
Fig. 3. Appearance of the HNF1a protein during differentiation of
the animal cap. Animal caps were incubated with activin A together
with retinoic acid and harvested at the time points indicated. Under
the temperature conditions used, embryos developed to stage 12, 31,
37/38 and 42 after 6, 24, 48 and 72 hours, respectively. For each time
point, extracts of 21 animal caps were analyzed in a western blot
using the monoclonal antibody XAD5 specific for HNF1a.
Migration of the hepatic HNF1a is marked (compare Fig. 6B) and
the identity of the broad band with higher mobility found in all
samples is unknown.
Fig. 4. Specific activation of the luciferase gene driven by the HNF1a promoter (-886/-46) in
ectoderm explants treated with activin A and retinoic acid. (A) Luciferase activities in individual
animal caps incubated in the absence or presence of inducers are given as relative values compared to
the mean activity in untreated explants. The mean value was 2100, 3300 and 1200000 light units for
the HNF1a, the tk and the cytomegalo virus promoter, respectively. Relative activities are scored into
four groups beginning with less than 2-fold activated (white colour) up to more than 18-fold activated
(black colour) as indicated by the dotted lines. (B) Diagram showing the percentage of animal caps
scored into the groups as defined in (A).
Fig. 5. Activation of the luciferase gene driven by
HNF1a promoter mutants in ectoderm explants
treated with activin A and retinoic acid. Shown
are the HNF1a promoter constructs used for
injection experiments. The numbers indicate the
distance to the translation initiation site and the
locations of the binding sites for OZ-1, HNF1a
and HNF4 are given (Zapp et al., 1993). Mutated
binding sites are marked by a cross. The
percentage of animal caps scored into the groups
as defined in Fig. 4A is shown for explants
incubated in the absence or presence of inducers.
Each bar corresponds to 30-40 explants analyzed.
Fig. 6. Activation of the HNF1a gene by either activin A or retinoic
acid. (A) Stimulation of the HNF1a promoter construct -594/-207
(Fig. 5C) in animal cap explants incubated in the absence of inducers
(control), with 10-5 M retinoic acid (RA), 10 ng/ml activin A
(activin) or combination of both. The percentage of animal caps
scored into groups as defined in Fig. 4A is shown. Each bar
corresponds to 11 explants analyzed. (B) Animal caps were
incubated with inducing factors as described in A and cultured 3
days. Extracts of 21 animal cap equivalents from each pool were
analyzed in a western blot using the monoclonal antibody XAD5
specific for HNF1a (Bartkowski et al., 1993). In lane 1 the
comigration of HNF1a from adult Xenopus liver is shown.
Fig. 7. Activation of the luciferase gene driven by HNF1a promoter mutants in ectoderm
explants treated with activin A. The injected promoter mutants (A-G) correspond to the
schemes represented in Fig. 5. Each bar corresponds to the data derived from 30-40
explants.