Click here to close
Hello! We notice that you are using Internet Explorer, which is not supported by Xenbase and may cause the site to display incorrectly.
We suggest using a current version of Chrome,
FireFox, or Safari.
Activities of the Wnt-1 class of secreted signaling factors are antagonized by the Wnt-5A class and by a dominant negative cadherin in early Xenopus development.
???displayArticle.abstract???
When overexpressed in Xenopus embryos, Xwnt-1, -3A, -8 and -8b define a functional class of Wnts (the Wnt-1 class) that promotes duplication of the embryonic axis, whereas Xwnt-5A, -4, and -11 define a distinct class (the Wnt-5A class) that alters morphogenetic movements (Du, S., S. Purcell, J. Christian, L. McGrew, and R. Moon. 1995. Mol. Cell. Biol. 15:2625-2634). Since come embryonic cells may be exposed to signals from both functional classes of Wnt during vertebrate development, this raises the question of how the signaling pathways of these classes of Wnts might interact. To address this issue, we coexpressed various Xwnts and components of the Wnt-1 class signaling pathway in developing Xenopus embryos. Members of the Xwnt-5A class antagonized the ability of ectopic Wnt-1 class to induce goosecoid expression and a secondary axis. Interestingly, the Wnt-5A class did not block goosecoid expression or axis induction in response to overexpression of cytoplasmic components of the Wnt-1 signaling pathway, beta-catenin or a kinase-dead gsk-3, or to the unrelated secreted factor, BVg1. The ability of the Wnt-5A class to block responses to the Wnt-1 class may involve decreases in cell adhesion, since ectopic expression of Xwnt-5A leads to decreased Ca2+-dependent cell adhesion and the activity of Xwnt-5A to block Wnt-1 class signals is mimicked by a dominant negative N-cadherin. These data underscore the importance of cell adhesion in modulating the responses of embryonic cells to signaling molecules and suggest that the Wnt-5A functional class of signaling factors can interact with the Wnt-1 class in an antagonistic manner.
Figure 1. Xwnt-5A antagonizes Wnt-1 class activity. (A) Control embryos possess single axes at stage 25. (B) Embryos injected with prolactin
followed by Xwnt-8 RNA have duplicated axes. (C) Embryos injected with Xwnt-5A followed by Xwnt-8 RNA have single axes.
(D) Uninjected stage 10 control embryos possess a single site of gsc expression. (E) Embryos injected with prolactin followed by Xwnt-8
RNA display multiple sites of gsc expression. (F) Embryos injected with Xwnt-5A followed by Xwnt-8 RNA have a single site of gsc expression.
(Arrows) Axes (A, B, and C) and sites of gsc expression (D, E, and F).
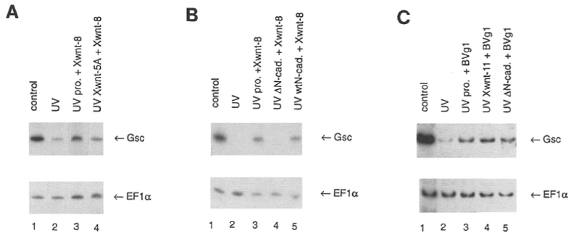
Figure 2. Detection of gsc
transcripts by RT-PCR in
stage 10 embryos ventralized
by UV irradiation. (A)
Xwnt-5A inhibits the rescue
of gsc expression by Xwnt-8.
(B) AN-cadherin blocks the
rescue of gsc expression by
Xwnt-8. ( C) Neither Xwnt-ll
nor AN-cadherin block the
rescue of gsc expression by
BVgl. (A, B, and C; lane 1)
Control embryos. (A, B, and
C; lane 2) Uninjected embryos
UV irradiated to eliminate
endogenous gsc expression.
(Lane 3) UV-irradiated embryos injected with prolactin followed by Xwnt-8 RNA (A and B) or prolactin followed by BVgl RNA
(C). (Lane 4) UV-irradiated embryos injected with Xwnt-5A (A), AN-cadherin (B), or Xwnt-ll (C) RNA followed by Xwnt-8 (A and B)
or BVgl (C) RNA. (Lane 5) UV-irradiated embryos injected with wild type N-cadherin (B) or AN-cadherin RNA (C) followed by
Xwnt-8 (B) or BVgl RNA (C). All EFla lanes serve as controls for RT-PCR (see Materials and Methods).
Figure 3. Xwnt-4 antagonizes the activity of Xwnt-8 after MBT.
The ability of CSKA-Xwnt-8 to interfere with notochord formation
(Christian and Moon, 1993) was scored in stage 25 embryos
by anti-Tor 70 whole mount immunocytochemistry to detect the
notochord and by F-spondin in situ hybridization to detect the
floorplate. (A) Uninjected embryos possess a normal notochord
and floorplate. (B) Transcription of Xwnt-8 from the cytoskeletal
actin promoter vector after MBT leads to loss of notochord and
floorplate staining. (C) Xwnt-4 interferes with the Xwnt-8 activity,
restoring the formation of the notochord and the floorplate. (Arrowheads)
F-spondin floorplate staining. (Straight arrows) Tor 70 notochord
staining. (Curved arrows) anterior limit of the notochord.
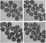
Figure 4. Overexpression of Xwnt-5A inhibits open face dorsal lip explant elongation and decreases Ca2+-dependent cell reaggregation.
(A) Uninjected control dorsal lip explants elongate normally. (B) Dorsal lip explants overexpressing Xwnt-5A RNA do not elongate.
(C) Xwnt-8 does not inhibit dorsal lip explant elongation. (D) Xwnt-5A blocks dorsal lip explant elongation when coexpressed
with Xwnt-8 at a 1:1 ratio of injected RNAs. (E) Dissociated control dorsal lip explants reaggregate in a CaZ÷-dependent manner. In the
absence of Ca 2÷, reaggregation is inhibited (inset). (F) Xwnt-5A inhibits Ca2÷-dependent cell reaggregation, which can be rescued by
co-expressing Xwnt-5A with N-cadherin (inset). (G) Xwnt-8 has no appreciable effect on caa÷-dependent cell reaggregation. (H) Xwnt-
5A blocks Ca2÷-dependent cell reaggregation when coexpressed with Xwnt-8 at a 1:1 ratio of injected RNAs. dN-cadherin blocks Ca 2÷dependent
cell reaggregation in a manner similar to Xwnt-5A (inset).
Figure 5. The inhibition of elongation of the gastrula organizer explants by Xwnt-5A does not require Xwnt-5A to be expressed in all
cells of the explant. Embryos were injected into the marginal zone of one dorsal cell at the four-cell stage with either fl-galactosidase
RNA mixed with rhodamine dextran (A), or with Xwnt-5A RNA mixed with rhodamine dextran (B). Open face explants of the entire
dorsal marginal zone were prepared at stage 10 and visualized by fluorescence microscopy after control embryos had developed to stage
13-15. Control explants (A) elongate extensively (6 of 8 explants), while explants expressing Xwnt-5A (B) display no convergence and
extension movements (10 of 15 explants), or reduced elongation (3 of 15 explants). In both panels, pseudocolor imaging reveals that the
injected dextran and RNAs were restricted to the yellow-red cells.
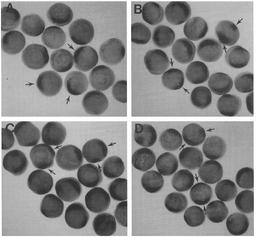
Figure 6. AN-cadherin but not N-cadherin inhibits the induction of ectopic gsc expression by Xwnt-8 as assayed by in situ hybridization
for gsc in stage 10 gastrula embryos. (A) Uninjected control embryos possess a single site of gsc expression. (B) Embryos injected with
prolactin followed by Xwnt-8 RNA possess two sites of gsc expression. (C) Embryos injected with AN-cadherin followed by Xwnt-8
RNA possess a single site of gsc expression. (D) Embryos injected with N-cadherin followed by Xwnt-8 RNA possess two sites of gsc expression.
(Arrows) Representative sites of gsc expression.
Figure 7. Members of the Wnt-5A class and AN-cadherin do not block the induction of ectopic gsc expression by BVgl, as assayed by in
situ hybridization for gsc in stage 10 gastrula embryos. (A) Uninjected control embryos possess a single site of gsc expression. (B) Embryos
injected withprolactin followed by BVgl RNA possess two sites ofgsc expression. (C) Embryos injected with Xwnt-ll or AN-cadherin
(D) RNA followed by BVgl RNA also possess multiple sites of gsc expression. (Arrows) Sites of gsc expression.
Tortes et al. Wnt Antagonism 1133
Downloaded from jcb.rupress.org on May 8, 2015
Published June 1, 1996
Behrens,
Loss of epithelial differentiation and gain of invasiveness correlates with tyrosine phosphorylation of the E-cadherin/beta-catenin complex in cells transformed with a temperature-sensitive v-SRC gene.
1993, Pubmed
Behrens,
Loss of epithelial differentiation and gain of invasiveness correlates with tyrosine phosphorylation of the E-cadherin/beta-catenin complex in cells transformed with a temperature-sensitive v-SRC gene.
1993,
Pubmed Bejarano,
Mutants shed light on plant development.
1992,
Pubmed Bradley,
Expression of Wnt-1 in PC12 cells results in modulation of plakoglobin and E-cadherin and increased cellular adhesion.
1993,
Pubmed Brieher,
Regulation of C-cadherin function during activin induced morphogenesis of Xenopus animal caps.
1994,
Pubmed
,
Xenbase Cho,
Overexpression of a homeodomain protein confers axis-forming activity to uncommitted Xenopus embryonic cells.
1991,
Pubmed
,
Xenbase Chomczynski,
Single-step method of RNA isolation by acid guanidinium thiocyanate-phenol-chloroform extraction.
1987,
Pubmed Christian,
Interactions between Xwnt-8 and Spemann organizer signaling pathways generate dorsoventral pattern in the embryonic mesoderm of Xenopus.
1993,
Pubmed
,
Xenbase Christian,
Xwnt-8, a Xenopus Wnt-1/int-1-related gene responsive to mesoderm-inducing growth factors, may play a role in ventral mesodermal patterning during embryogenesis.
1991,
Pubmed
,
Xenbase Cui,
Xwnt-8b: a maternally expressed Xenopus Wnt gene with a potential role in establishing the dorsoventral axis.
1995,
Pubmed
,
Xenbase Dealy,
Wnt-5a and Wnt-7a are expressed in the developing chick limb bud in a manner suggesting roles in pattern formation along the proximodistal and dorsoventral axes.
1993,
Pubmed Detrick,
The effects of N-cadherin misexpression on morphogenesis in Xenopus embryos.
1990,
Pubmed
,
Xenbase Dominguez,
Role of glycogen synthase kinase 3 beta as a negative regulator of dorsoventral axis formation in Xenopus embryos.
1995,
Pubmed
,
Xenbase Du,
Identification of distinct classes and functional domains of Wnts through expression of wild-type and chimeric proteins in Xenopus embryos.
1995,
Pubmed
,
Xenbase Fujimori,
Ectopic expression of N-cadherin perturbs histogenesis in Xenopus embryos.
1990,
Pubmed
,
Xenbase Funayama,
Embryonic axis induction by the armadillo repeat domain of beta-catenin: evidence for intracellular signaling.
1995,
Pubmed
,
Xenbase Guger,
beta-Catenin has Wnt-like activity and mimics the Nieuwkoop signaling center in Xenopus dorsal-ventral patterning.
1995,
Pubmed
,
Xenbase Hamaguchi,
p60v-src causes tyrosine phosphorylation and inactivation of the N-cadherin-catenin cell adhesion system.
1993,
Pubmed Harland,
In situ hybridization: an improved whole-mount method for Xenopus embryos.
1991,
Pubmed
,
Xenbase He,
Glycogen synthase kinase-3 and dorsoventral patterning in Xenopus embryos.
1995,
Pubmed
,
Xenbase Heasman,
Overexpression of cadherins and underexpression of beta-catenin inhibit dorsal mesoderm induction in early Xenopus embryos.
1994,
Pubmed
,
Xenbase Hemmati-Brivanlou,
Follistatin, an antagonist of activin, is expressed in the Spemann organizer and displays direct neuralizing activity.
1994,
Pubmed
,
Xenbase Hinck,
Wnt-1 modulates cell-cell adhesion in mammalian cells by stabilizing beta-catenin binding to the cell adhesion protein cadherin.
1994,
Pubmed Holt,
Cadherin-mediated cell interactions are necessary for the activation of MyoD in Xenopus mesoderm.
1994,
Pubmed
,
Xenbase Huguet,
Differential expression of human Wnt genes 2, 3, 4, and 7B in human breast cell lines and normal and disease states of human breast tissue.
1994,
Pubmed Huguet,
Regulation of Wnt5a mRNA expression in human mammary epithelial cells by cell shape, confluence, and hepatocyte growth factor.
1995,
Pubmed Keller,
Early embryonic development of Xenopus laevis.
1991,
Pubmed
,
Xenbase Kelly,
Zebrafish wnt8 and wnt8b share a common activity but are involved in distinct developmental pathways.
1995,
Pubmed
,
Xenbase Kessler,
Induction of dorsal mesoderm by soluble, mature Vg1 protein.
1995,
Pubmed
,
Xenbase Kintner,
Regulation of embryonic cell adhesion by the cadherin cytoplasmic domain.
1992,
Pubmed
,
Xenbase Klar,
F-spondin: a gene expressed at high levels in the floor plate encodes a secreted protein that promotes neural cell adhesion and neurite extension.
1992,
Pubmed Klingensmith,
The segment polarity phenotype of Drosophila involves differential tendencies toward transformation and cell death.
1989,
Pubmed Klingensmith,
The Drosophila segment polarity gene dishevelled encodes a novel protein required for response to the wingless signal.
1994,
Pubmed Koster,
Analysis of Wnt/Engrailed signaling in Xenopus embryos using biolistics.
1996,
Pubmed
,
Xenbase Krieg,
Functional messenger RNAs are produced by SP6 in vitro transcription of cloned cDNAs.
1984,
Pubmed
,
Xenbase Ku,
Xwnt-11: a maternally expressed Xenopus wnt gene.
1993,
Pubmed
,
Xenbase Lamb,
Neural induction by the secreted polypeptide noggin.
1993,
Pubmed
,
Xenbase Levine,
Selective disruption of E-cadherin function in early Xenopus embryos by a dominant negative mutant.
1994,
Pubmed
,
Xenbase Matsuyoshi,
Cadherin-mediated cell-cell adhesion is perturbed by v-src tyrosine phosphorylation in metastatic fibroblasts.
1992,
Pubmed McCrea,
A homolog of the armadillo protein in Drosophila (plakoglobin) associated with E-cadherin.
1991,
Pubmed
,
Xenbase McGrew,
Analysis of Xwnt-4 in embryos of Xenopus laevis: a Wnt family member expressed in the brain and floor plate.
1992,
Pubmed
,
Xenbase Moon,
Xwnt-5A: a maternal Wnt that affects morphogenetic movements after overexpression in embryos of Xenopus laevis.
1993,
Pubmed
,
Xenbase Moon,
In pursuit of the functions of the Wnt family of developmental regulators: insights from Xenopus laevis.
1993,
Pubmed
,
Xenbase Nagafuchi,
Transmembrane control of cadherin-mediated cell adhesion: a 94 kDa protein functionally associated with a specific region of the cytoplasmic domain of E-cadherin.
1989,
Pubmed Noordermeer,
dishevelled and armadillo act in the wingless signalling pathway in Drosophila.
1994,
Pubmed Nusse,
Wnt genes.
1992,
Pubmed Ozawa,
The cytoplasmic domain of the cell adhesion molecule uvomorulin associates with three independent proteins structurally related in different species.
1989,
Pubmed Parr,
Mouse Wnt genes exhibit discrete domains of expression in the early embryonic CNS and limb buds.
1993,
Pubmed Peifer,
The segment polarity gene armadillo encodes a functionally modular protein that is the Drosophila homolog of human plakoglobin.
1990,
Pubmed Pierce,
Regulation of Spemann organizer formation by the intracellular kinase Xgsk-3.
1995,
Pubmed
,
Xenbase Riddle,
Induction of the LIM homeobox gene Lmx1 by WNT7a establishes dorsoventral pattern in the vertebrate limb.
1995,
Pubmed Riggleman,
Spatial expression of the Drosophila segment polarity gene armadillo is posttranscriptionally regulated by wingless.
1990,
Pubmed Rijsewijk,
The Drosophila homolog of the mouse mammary oncogene int-1 is identical to the segment polarity gene wingless.
1987,
Pubmed Sanes,
Use of a recombinant retrovirus to study post-implantation cell lineage in mouse embryos.
1986,
Pubmed Sater,
Induction of neuronal differentiation by planar signals in Xenopus embryos.
1993,
Pubmed
,
Xenbase Siegfried,
wingless signaling acts through zeste-white 3, the Drosophila homolog of glycogen synthase kinase-3, to regulate engrailed and establish cell fate.
1992,
Pubmed Smith,
Expression of a Xenopus homolog of Brachyury (T) is an immediate-early response to mesoderm induction.
1991,
Pubmed
,
Xenbase Smith,
Injected Xwnt-8 RNA acts early in Xenopus embryos to promote formation of a vegetal dorsalizing center.
1991,
Pubmed
,
Xenbase Sokol,
Dorsalizing and neuralizing properties of Xdsh, a maternally expressed Xenopus homolog of dishevelled.
1995,
Pubmed
,
Xenbase Sokol,
Injected Wnt RNA induces a complete body axis in Xenopus embryos.
1991,
Pubmed
,
Xenbase Takada,
Wnt-3a regulates somite and tailbud formation in the mouse embryo.
1994,
Pubmed Theisen,
dishevelled is required during wingless signaling to establish both cell polarity and cell identity.
1994,
Pubmed Thomsen,
Processed Vg1 protein is an axial mesoderm inducer in Xenopus.
1993,
Pubmed
,
Xenbase Wolda,
Overlapping expression of Xwnt-3A and Xwnt-1 in neural tissue of Xenopus laevis embryos.
1993,
Pubmed
,
Xenbase Wong,
Differential transformation of mammary epithelial cells by Wnt genes.
1994,
Pubmed