|
Fig. 1. BMP-4 represses dorsal-specific gene expression during
gastrula stages. (A) Embryos were injected at the 1-cell stage with
RNA encoding BMP-4. RNA was prepared from a large batch of
embryos at each of the indicated stages and analysed for expression
of the various markers by RNAase protection. The organizer-specific
genes goosecoid, Xnot, noggin and pintallavis are all induced in
BMP-4-injected embryos, but expression of goosecoid, Xnot and
noggin is subsequently suppressed. In contrast, Xhox-3 expression is
precociously increased under the influence of BMP-4 in the same
embryos. C, control injected embryos; B, BMP-4 RNA injected
embryos. (B) Overexpression of BMP-4 under the control of the
cytoskeletal actin promoter has no effect on the expression of
goosecoid, but Xhox-3 levels are increased in late gastrulae. See
Table 1 for details of CSKA:BMP-4 injections. C, control injected
embryos; B, CSKA:BMP-4-injected embryos. EF1-a serves as a
control for RNA integrity in all lanes. |
|
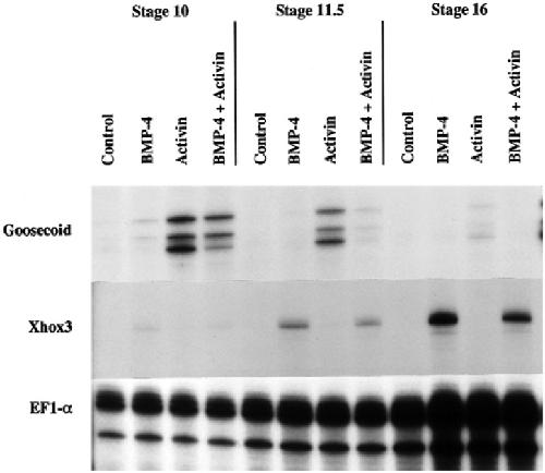
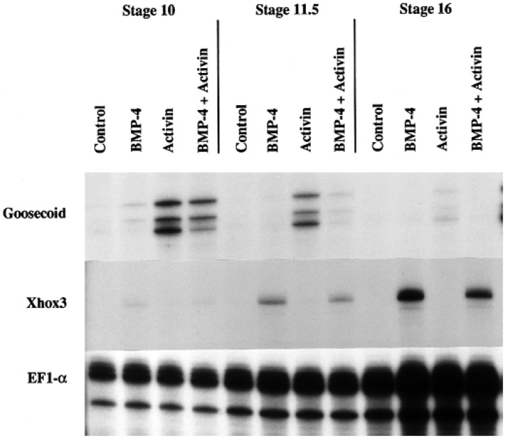
Fig. 2. BMP-4 mediated repression of goosecoid in activin-induced
animal caps. Embryos were injected with BMP-4 RNA and caps
were isolated from injected or control embryos at blastula stages and
treated with activin, or used as controls. Stage 10 samples
demonstrate that in animal caps, initial induction of goosecoid by
activin is largely unaffected by the presence of BMP-4. By stage
11.5, the actions of BMP-4 repress goosecoid expression, which
becomes completely eliminated by stage 16. Simultaneously, BMP-4
induces a dramatic increase in the levels of Xhox-3, which is
maintained well into neurula stages (stage 16). EF1-a demonstrates
equal RNA loading among samples at each stage. |
|
Fig. 3. Effects of a wild-type organizer grafted into BMP-4-injected
embryos. (A) Morphological appearance of BMP-4-injected
embryos. (B) Normal embryo following implantation of an organizer
at the early gastrula stage. Note the primary (1°) and secondary (2°)
axes. (C) BMP-4-injected embryos following implantation of a
normal organizer. Control grafted embryos are induced to form
secondary dorsal axes, while grafted embryos expressing BMP-4 are
indistinguishable from BMP-4-injected embryos that have not
received a transplant. |
|
Fig. 4. Histological analysis of control
(A,C,E) and BMP-4-injected (B,D,F)
embryos that have received
fluorescently labelled organizer
transplants. Differential interference
contrast optics reveals the general
architecture of representative samples
of control (A) and BMP-4-injected (B)
host embryos. Lineage tracing analysis
of grafted organizers demonstrates
that, in control embryos (C), the
fluorescent organizer tissue contributes
mostly to axial mesoderm in the
secondary axis. In contrast, no axial
mesoderm is formed in BMP-4-
injected hosts (D) and the organizer
itself becomes ventralized and
differentiates into tissues
indistinguishable from those forming
in the ventralized host. DAPI staining
shows overall nuclear staining in each
section (E,F). |
|
Fig. 5. Immunolocalization of notochord using antibody MZ15 in
control embryos (A) and BMP-4-injected embryos into which a wildtype
organizer has been grafted (B). Grafted embryos (B) are
representative cases in which organizer tissue was isolated at stage
10, cultured to stage 12 and then transplanted into a stage 10 BMP-4-
injected host. Approximately 95% (n=56) of all organizers
transplanted at either stage 10, 11 or 12 become ventralized and
contain no MZ15 immunopositive cells. The positive case displaying
weak notochord staining was one of two such embryos from twenty
hosts receiving transplants after culture to stage 12. not, notochord. |
|
Fig. 6. Muscle differentiation in control and BMP-4-injected VMZ explants juxtaposed to wild-type DMZs. VMZs derived from control (A-C)
or from BMP-4-injected (D-F) early gastrulae were juxtaposed with fluorescently labelled DMZs from wild-type embryos. In each case, the
DMZ tissue is marked by fluorescence (A,D) and forms characteristic tissues which include notochord (arrow, use as a reference point in each
panel) and muscle. 12/101 antibody staining localises muscle tissue in each explant conjugate (B,E). In control explants (B), substantial muscle
differentiation is detected in tissues arising from the VMZ (not marked by fluorescence). In the case of recombinants where the VMZ overexpresses
BMP-4 (E), muscle is only formed in the DMZ itself, and never in the BMP-4-injected VMZ. DAPI staining (C,F) illuminates nuclei
throughout each section. |
|
Fig. 7. Zygotically expressed BMP-4 attenuates noggin-induced dorsalization of ventral mesoderm. Ventral marginal zones derived from
control (A,D), CSKA:Noggin (B,E), or CSKA:Noggin/CSKA:BMP-4 injected (C,F) embryos were cultured to stage 17 (A-C) or stage 35
(D-F). Noggin induces extensive morphogenetic movements (B), compared with controls (A) or with tissues expressing both noggin and BMP-
4 (C). Histological analysis (D-F) demonstrates that noggin (E) induces large muscle blocks (mus) while controls (D) form loosely packed
mesenchyme (mes). When BMP-4 is over-expressed simultaneously with noggin (F), no muscle differentiation is observed and the tissue
resembles controls, although they always remain more compact. ym, yolk mass. |
|
Fig. 8. BMP-4 blocks noggin-induced differentiation of muscle in
explants of ventral marginal zone tissue. VMZs were isolated from
early gastrulae (stage 10) previously injected with either
CSKA:Noggin or both CSKA:Noggin and CSKA:BMP-4 together.
They were then cultured until tailbud stages and subsequently
assayed for the presence of muscle-specific actin transcripts by
RNAase protection. This probe also detects cytoskeletal actin, which
serves as a control. |