Click here to close
Hello! We notice that you are using Internet Explorer, which is not supported by Xenbase and may cause the site to display incorrectly.
We suggest using a current version of Chrome,
FireFox, or Safari.
???displayArticle.abstract???
Polyclonal antibodies to Xlim-1 homeodomain protein of Xenopus laevis were used to study the developmental expression pattern of this protein in Xenopus, rat and mouse. Western blotting of embryo extracts injected with different Xlim-1 constructs confirmed the specificity of the antibody. Beginning at the gastrula stage, Xlim-1 protein was detected in three cell lineages: (i) notochord, (ii) pronephros and (iii) certain regions of the central nervous system, in agreement with earlier studies of the expression of Xlim-1 RNA (Taira et al., Development 120: 1525-1536, 1994a). In addition, several new locations of Xlim-1 expression were found, including the olfactory organ, retina, otic vesicle, dorsal root ganglia and adrenal gland. Similar expression patterns were seen for the Lim-1 protein in frog and rodent tissues. These observations implicate the Xlim-1 gene in the specification of multiple cell lineages, particularly within the nervous system, and emphasize the conserved nature of the role of this gene in different vertebrate animals.
Fig. 1. Synthesis of full-length and truncated Xlim-1 proteins in vivo
and in vitro. (A) Constructs used for injection (see Taira et al., 1994b).
The full-length construct contains (!,-globin UTRs; three truncated constructs
of decreasing size were prepared from X{!,m-Xlim ,. (B)
Electrophoretic separation of proteins translated from the constructs
shown in !A), detected by Western blotting with anti-Xlim-1 antibody of
embryo extracts (lanes 1-5), and by radioautography of 35S-labeled in vitro
translation products of the same constructs (lanes 6--9). m, markers;
lane 1, un injected embryos; lanes 2 and 6, X{!,m-Xlim 1; lanes 3 and 7,
,1NK; lanes 4 and 8, ,1NC: lanes 5 and 9, ,1NA.
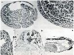
Fig. 2. Specificity of anti-Xlim-1 antibody. !A.B) In situ
hvbndization of Xlim-5 35$-probe, and. (C.D! in situ hvbridizarion
of Xllm-1 35$_probe, to saggital sections of Xenopus st 37
embryos. !A,C), bright field. (B,Dj, dark field. IE) Immunostaining
of similar section with anti-Xlim-1 antibodv. Arrows
point to a region in rhe telencephalon which is positive for
Xlim-5 and negative for Xlim-1 bV in situ hVbridlzation; this
region does not stain wirh rhe antibodv (E).
Fig. 3. Expression of Xlim-1 in Xenopus gastrula and tailbud embryos. (A,B) Midgastrula embryos (st 11,5) show expression in the nuclei of dorsal
mesoderm, and in a few nuclei of the underlying endoderm. (C.D) In cross sections at st 25 (CI and st 28 (DI, expression is seen in spinal cord
(sc). notochord (no) and pronephros (pn). (E) Intense expression of Xlim-1 in many areas of the brain is seen in this parasaggital section at st 32.
Fig. 4. lim-1 protein expression in sensory
organs and certain regions of the brain. (AHI
Xenopus tadpoles at sf 52. (A) Olfactory
organ, stained nuclei arranged on entire circumference
at variable density. as indicated by
arrows. (B) Retina. stained nuclei arranged in
single layer (arrows). Nore dense plgmenr layer
ar rhe periphery of olfactory organ and rerina.
tCI Otic vesicle, asymmetric arrangement
of Xlim-l-positive cells. ID,EI Opric tectum,
high level of Xlim-l expression in many but not
all cell nuclei. tF,G) Olfactory bulb, Xlim~1
found in sparse population of cell nuclei. (HI
Xenopus cerebellum, and, (I) rat cerebellum;
stained nuclei represent Purkinje cells.
Alkaline phospharase was used as rhe secondary
reagenr in all panels.
Fig. 5. Urn.' expression in adrenal. kidney.
ganglia and testes. (A,B) In the medulla of
adult rat adrenal gland. the Lim-l antibody
stains multiple nuclei; the blue nuclei are indicated
by arrows in (BI. while the tan dots represent
erythrocytes. (C,D) Rat embryonic kidney
at �14.5 shows Lim-l expression In the
nuclei of coma-shaped bodies. IE,F) Adult
Xenopus mesonephric kidney, showing
nuclear staining in collecting ducts. (G) A section
from a mouse embryo at �16.5 illustrates
Lim-1 expression in the metanephric kidney
where it is seen in coma-shaped and S-shaped
bodies. and in dorsal root ganglia (indicated by
arrows). (H) Rat testes at �14.5 showing Lim-
1 staining in most nuclei. Panels A, B show
alkaline phosphatase stained sections, all other
sections in this figure were stained with
horse radish peroxidase as secondary reagent.