Click here to close
Hello! We notice that you are using Internet Explorer, which is not supported by Xenbase and may cause the site to display incorrectly.
We suggest using a current version of Chrome,
FireFox, or Safari.
???displayArticle.abstract???
By nuclear transplantation we have generated embryos from enucleated Xenopus eggs and nuclei of stably transfected Xenopus cell lines. We have devised a novel method of transplantation in which cell permeabilization is controlled by a temperature effect on streptolysin O-treated cells. This method is easier and quicker to operate than the conventional cell rupture technique. Single nuclei from cell lines transfected with the lacZ reporter gene were transplanted to Xenopus eggs in which the egg nuclei were destroyed by UV irradiation. We show that the lacZ transgene is transmitted from donor cells to nuclear transplant embryos. Expression of the lacZ transgene has been controlled by the elongation factor 1-alpha promoter (Krieg et al., Dev. Biol. 133: 93-100, 1989). In the nuclear transplant embryos, beta-galactosidase transcripts are expressed at the expected time of development, that is after the mid-blastula transition. In addition, we show that early embryo-specific genes, not expressed in cultured cells, are normally activated in nuclear transplant embryos. Therefore, expression of these genes can be used to monitor the effects of transfected test genes. Although most of the nuclear transplant embryos do not develop beyond the gastrula stage, explants of equatorial tissue from these embryos can undergo differentiation characterized by the expression of muscle and notochord markers. The use of nuclear transplantation, as described here, provides a means of avoiding the mosaic expression of DNA or mRNA injected into Xenopus eggs.
???displayArticle.pubmedLink???
8793614 ???displayArticle.link???Int J Dev Biol ???displayArticle.grants???[+]
Fig. 1. Structure of the Xenopus
ptkneo-EF1lacZ plasmid construct.
Expression of the lacZ gene
is controlled by rhe 4.5 kb S'
lIpstream sequence of the Xenopus
elongation factor 1-a gene {Krieget
al.. 1989}. The 4.5 kb fragment
includes the S'-untranslated region
(+ 1 to +37) of rhe EF-Ja gene. The
neomycin resistance gene (neaR) is
driven by the HSV thymidine kinase
(tk) promoter. Plasmid DNA was
transfected into Xenopus XL177 cell
line by electroporation. The upper
panel shows the design of the antisense
lacZ probe for RNase protection
assay. Probes protected by !acZ
transcriprs give rise to a band of362
bp
Fig. 2. Nuclear transplant embryos at gastrula stages. (A! Nuclear
transplant embryos derived from lacl expressing cell line. (B) Close up
of two gastrula stage nuclear transplants. The embryos show normal
blastopore /ips and yolk plugs.
Fig. 3. Transmission of the lacZ transgene from single transplanted nuclei to nuclear transplants. A PCR-detection assay was performed on
DNA extracted from single nuclear transplant embryos. The PCR products were labeled wirh 1 ).lCi la-32PldATP to enhance the sensiriviry of detection.
Blastula stage nuclear transplanrs derived from (A) lacZ expressing cell lines 2. 1 and 2.14. or (8) dissociated cells from a first generation nuclear
transplant; both showed a strong lacZ signal in the PCR assay. The presence of the lacZ signa! in nuclear transplants indicates stable transmission of
the lacZ transgene from donor nuclei to nuclear transplant embryos. Primers specific to the endogenous EF-la gene served as internal controls for
the PCR reaction
Fig. 4. Expression of a JacZ transgene in nuclear transplants. An
RNase protection assay was performed on gasrrula stage nuclear transplants
derived from the laeZ expressing cell line 2.14. Transplant numbers
,. 2. 3 and 4 were harvested at stage 10.25 and numbers5. 6 and
7 at stage 10.5. All samples gave a protected fragment of expected size
(362 bp) indicating rhe presence of {aeZ transcripts rather than DNA. FGF
receptor was used as a loading control. The pBR322 Hinf I size marker
onlyappliesto the upperpanel.
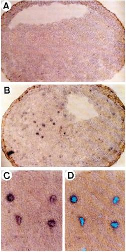
Fig. 5. In situ hybridization of nuclear transplant embryos for lacZ
expression. In situ hybridization was performed on sections of control
embryos (AJ and nuclear transplants derived from cell/;ne 2.14 IBI by
using a digoxygenin-fabeled anti-sense {aeZprobe. The level of the facZ
rransgene expression is variable among the positively.srained cells. (CI
Enlarged view of a separate section to show the perinuclear location of
laeZ mRNA The same section is shown under both normal illumination
and UV (D) to reveal nuclei stained with Hoechst.
Fig. 6. Reprogramming of gene expression in nuclear transplants.
RNase protection assays were performed on the same batch of RNA
samples prepared from nuclear transplants as in fig 4. The RNA probes
used were specific to EF-1a. Xbra, gsc. Xwnt-B and Mix. I. For gsc,
Xwnt-B and Mix. 1, no transcripts were detected in unfertilized eggs or in
lacZ expressing cell line 2.14 by this method. It has been shown that
there is a low level of maternal Xbra transcripts in eggs (Smith et al..
1991). Xbra expression was not detected in cell Ime 2.14 (data not
shown). The early genes EF-la. Xbra. Xwnt-B and Mix. 1 are activated in
the nuclear transplants. The increased level of endogenous EF.la tran.
scripts in embryos compared to unfertilized eggs indicates the activation
of zygotic transcription. The expression of EF-1a. Xbra, gsc. Xwnt-B and
Mix. 1 shows that zygotic transcription of early genes has been activated
in transplanted cultured cell nuclei. Thus. the transplanted nuclei have
been reprogrammed to adopt to a new pattern of transcription.
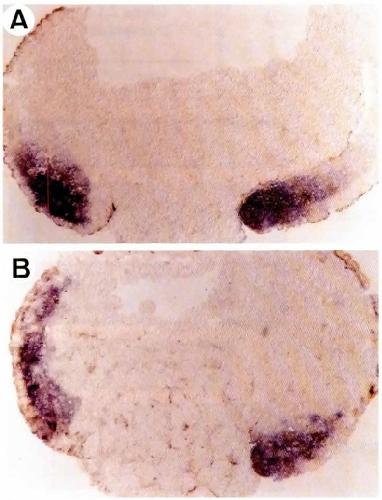
Fig. 7. In situ hybridization of nuclear transplant embryos using an
Xbra probe. In situ hybridization was performed on sections of control
embryos (AI and gastrula stage nuclear transplant embryos derived from
eel/line 2.14 (8), using a digoxygenin-Iabeled anti~sense Xbra probe.
Note the positive staining in region of rhe in vagina ring marginal zone.
The dorsal side is to the right.
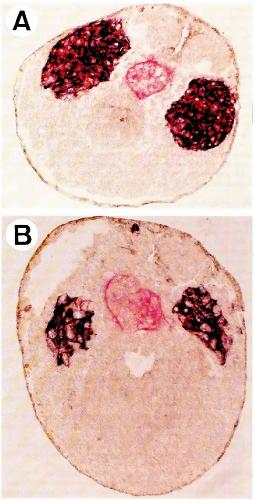
Fig. 8. Immunostaining of sections of equatorial explants derived
from nuclear transplants. The equatorial regions of an early gastrula
control embryo (AI or of a nuclear transplant embryo derived from cell
Ime 2. 74 fBI were explanted and cultured until siblmg embryos from fertilized
eggs has reached stage 26. The explants were sectioned and
stained with the muscle-specific antibody 12/101 (dark blue), and with
the notochord-specdlc antibody MZ15 (red), The section of the nuclear
transplant embryo is positive for muscle and notochord as is the case of
the control, Indicating that mesodermal differentiation has occurred in
the correct germ layer of nuclear transplant embryos.