Click here to close
Hello! We notice that you are using Internet Explorer, which is not supported by Xenbase and may cause the site to display incorrectly.
We suggest using a current version of Chrome,
FireFox, or Safari.
???displayArticle.abstract???
We cloned cDNAs coding for the Xenopus counterparts of a type I activin receptor. The cDNA clones were predicted to encode 56kd proteins, namely XAR3 and XAR4 proteins. The two proteins are highly homologous to each other, showing 96% identity in the amino acid sequences. The GST-fused kinase domain of XAR3 autophosphorylated itself in vitro on threonine residues. The expression of XAR4 was found throughout embryogenesis, from oocytes to tailbud embryos, and also in adult tissues. By whole mount in situ hybridization, the XAR4 transcripts were detected in the animal half of blastulae and dorsally in gastrulae and neurulae. In tadpoles, the transcript was seen in the brain and around the otic vesicles. These results show that the activin type I receptor is expressed during Xenopus embryogenesis and suggest that the type I and II receptors are expressed together both temporally and spatially, supporting the idea that activin induces mesoderm in the embryo through activation of the two types of receptors.
FIG. 1. The nucleotide and deduced amino acid sequences of XAR4. Amino acids are shown by single letters. The signal
sequence and the potential N-linked glycosylation sites are underlined (thin lines). The transmembrane domain is underlined
by thick lines. The conserved SGSGSG motif in the GS domain is shown in bold letters. Cystein residues in the extracellular
domain are boxed. The putative kinase domain is shown between arrows.
FIG. 2. Sequence alignment of XAR4, XAR3, Tsk7L, and ALK-2. Amino acids identical to XAR4 are shown by dashes.
The conserved cystein residues in the extracellular domain are indicated by dots. The signal sequence and putative
transmembrane regions are overlined. The putative kinase domains are shown between arrows.
FIG. 3. Phosphoamino acid analysis of in vitro phosphorylated kinase domain of XAR3 fused to GST. The GST-fusion
protein was incubated in the presence of [g-32P]ATP. After SDS/8.5% PAGE, the autophosphorylated protein was eluted
from the gel and subjected to phosphoamino acid analysis. Positions of unlabeled phosphoamino acids are also indicated
by dotted circles.
FIG. 4. Expression patterns of XAR4 genes. A: Expression of the XAR4 transcript during development. Poly(A)+ RNA
from different embryonic stages was loaded at one mg per lane. The whole cDNA sequence of XAR4 was used as the
probes. A single band is detected. Lane 1, cleavage embryos; 2, blastulae; 3, gastrulae; 4, neurulae; 5, tailbud embryos; 6,
tadpoles. B: Expression of the XAR4 transcript during oogenesis. Total RNAs from oocytes were reverse-transcribed and
subjected to PCR using primer pairs from XAR4 and EF-1a. Lane B, no cDNA; 1, oocyte stage IâIII; 2, stage IV; 3, stage
V; 4, stage VI.
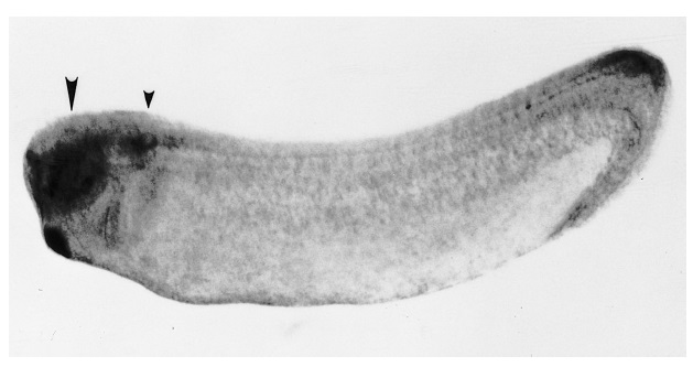
FIG. 5. Spatial expression pattern of XAR4 transcripts. Whole mount in situ hybridization was performed using DIG
labeled riboprobes. The result from a tadpoleembryo is shown. Strong expression is seen at the brain (large arrowhead),
around the otic vesicles (small arrowhead), and notochord.