Click here to close
Hello! We notice that you are using Internet Explorer, which is not supported by Xenbase and may cause the site to display incorrectly.
We suggest using a current version of Chrome,
FireFox, or Safari.
???displayArticle.abstract???
We have identified localized transcripts in full-grown Xenopus oocytes by differential display PCR. One clone, An4a, has two transcripts, which localize to the animal half of the stage VI oocyte. The transcripts are expressed throughout early development, with embryonic expression primarily in anterior neural tissues. An4a has a high degree of sequence identity to a human cDNA clone of unknown function. Another clone, the previously identified beta-transducin repeat containing protein (beta-TrCP), has three transcripts with a unique pattern of localization, one localized to the animal half and two localized primarily to the vegetal cortex. This cDNA has previously been shown to rescue a yeast cell division cycle mutant, raising the possibility that the different Xenopus transcripts are involved in animal and vegetal cell cycles. Embryonic expression is primarily in the cement gland. These new localized transcripts contribute to the general observation that the vegetal cortex, but not the animal cortex, is a specific site for RNA localization.
Fig. 1. An4a localization in the Xenopus stage VI oocyte. (a) The
RNA blot was hybridized with a randomly primed An4a cDNA probe.
Lanes are: 0-total RNA from 5 oocyte equivalents; Vh-total RNA
from 10 vegetal halves; Ah-total RNA from 10 animal halves; Vctotal
RNA from 10 vegetal cortices; Ac-total RNA from 10 animal
cortices. The equivalence and integrity of the RNA were monitored by
ethidium bromide staining. (b) This Northern blot was probed with
An4a cDNA and repmbed with histone (H4) cDNA. Lanes are: &total
RNA from 10 oocyte equivalents, Ah-total RNA from 10 animal
halves; Vl-total RNA from 30 vegetal halves.
Fig. 2. (b). An alignment of the predicted amino acid sequence of
An4 cDNAs with the human KIA0095 protein sequence. The alignment
was created using the CLUSTAL program within PCGENE.
Modifications were made by hand where necessary. Shown are
changes relative to the amino acid sequence of An4a with numbering
according to the amino acid position within Anla. Dashes are indicative
of deletions or no sequence relative ta An4a. The translational
start codons are shown in bold, with the shorter An4b sequence start
site in bold type and underlined. Termination signals are indicated by
an *
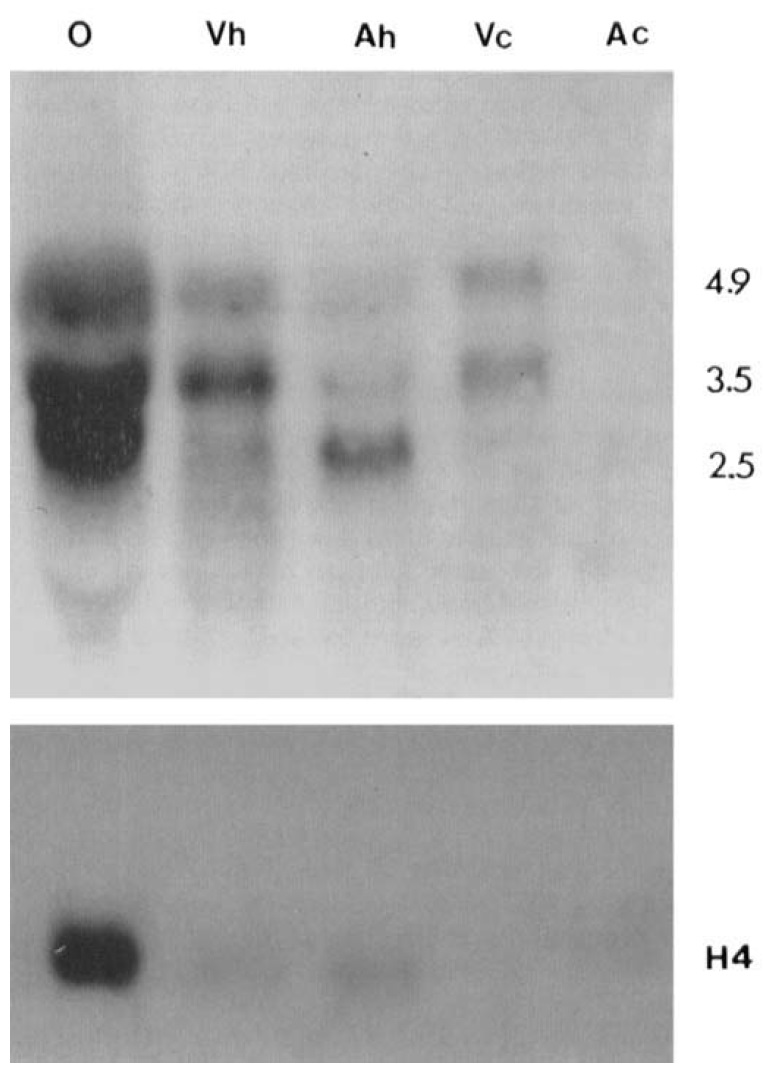
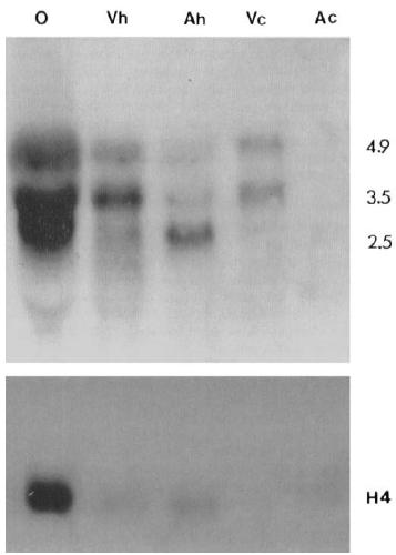
Fig. 3. pWP localization in the Xenopus stage VI oocyte. The
RNA blot was hybridized with a randomly primed pTrCP-2 cDNA
probe and then with a histone (H4) probe. Lanes are 0-total RNA
from 10 oocyte equivalents; Vh-total RNA from 10 vegetal halves;
Ah-total RNA from 10 animal halves; Vc-total RNA from 10 vegetal
cortices; Ac-total RNA from 10 animal cortices.
Fig. 4. (a). An alignment of the nucleotide sequences of PTrCP
cDNAs. The alignment was created using the CLUSTAL program
within PCGENE. Modifications were made by hand as necessary.
Shown are changes relative to the nucleotide sequence of PWP. The
putative translational stop signal is shown by bold type. Dashes arc
indicative of deletions relative to pTrCP. GenBank accession number
for pTrCP-2 is U63921 and for PTrCP-3, U63922. (b) An alignment of
the predicted amino acid sequence of pnCP cDNh. The alignment
was created using the CLUSTAL program within PCGENE. Modifications
were made by hand where necessary. Shown are changes relative
to the amino acid sequence of pTrCP with numbering according
to the amino acid position within pTrCP [Spevak et al. 19931. Amino
acid residues shown in bold are key residues within WD40 repeat
units. DaRhea are indicative of deletions relative to PTrCP and termination
signals are indicated by an *.
Fig. 6. Developmental expression of the An4 transcripts in Xenopus.
The RNA blot was hybridized with a randomly primed An4a
cDNA probe. Ten oocyte or embryo equivalents were loaded as follows:
0-wcyte; F-fertilized egg; 32 cell; St. 8/9-stages 8-9; St. 10-
stage 10; St. 12/13-&ages 12-13; St. 15-stage 15; St. 22125-stages
22-25; St. 32133-stages 32-33. The equivalence and integrity of the
RNA were monitored by ethidium bromide staining.
Fig. 6. (a) Expression of the An4 transcripts in Xenopus stage 26
embryo. After whole-mount in situ with a digoxigenin labelled An4a
cRNA probe, this stage 26 embryo was cleared. Staining of the forming
brain (arrows) including the optic cups (0) is seen through the
cleared head. (b) Expression of the An4 transcripts in Xenopus stage
33 embryo. Uncleared whole-mount in situ shows staining in brain (b)
and branchial arches (ba), but not in cement gland (c) or spinal cord
(8). (c) Expression of pTrCP transcripts in the Xenopus stage 25 embryo.
Uncleared whole-mount in situ of a stage 25 embryo with a
digoxigenin labelled antisense pTrCP-3 cRNA probe shows staining
in cement gland (c) of the head.
Fig. 7. Localization of transcripts within the stage VI Xenopus
oocyte. Shown is a full-grown stage VI oocyte with the animal (AP)
and vegetal (VP) poles labelled. When viewed in section, the germinal
vesicle (GV) is in the animal half and a mass of large yolk platelets
occupies most of the vegetal half. The vegetal cortex contains germ
plasm (stippled islands). Previously known localized RNAs include
Vgl (V), Xcat-2 (X), and Xwnt-11 (W) in the vegetal cortical region
and Anl, An2, and An3 in the animal half. As described in the text,
two transcripts of An4 are found in the animal half. A 4.9 kb (B4.9)
and a 3.5 kb 033.5) transcript of pTrCP are highly enriched in vegetal
cortex, although we have not determined whether they are distributed
like Vgl, Xcat-2, or Xwnt-11, each with a unique localization
pattern. A 2.5 kb (B2.5) transcript of pTrCP is found primarily in the
animal half, although some level of each pTrCP transcript (B2.5,
B3.5, B4.9) also may be present in the vegetal yolk mass (not drawn
in).
nup93 (nucleoporin 93kDa) gene expression in Xenopus laevis embryo, assayed via in situ hybridization, NF stage 33, lateral view, anteriorright, dorsal up.