Click here to close
Hello! We notice that you are using Internet Explorer, which is not supported by Xenbase and may cause the site to display incorrectly.
We suggest using a current version of Chrome,
FireFox, or Safari.
???displayArticle.abstract??? Bone morphogenetic proteins (BMPs), which have been implicated in the patterning of mesoderm, are members of the transforming growth factor-beta (TGF-beta) superfamily. We have investigated the roles of Xenopus BMP-7 (XBMP-7) and BMP-4 (XBMP-4), and activin (another TGF-beta-related molecule) in early development by generating dominant-negative versions of these growth factors. Mutations were generated by altering the cleavage sites that are required for maturation of the active dimeric forms of XBMP-7, XBMP-4, and activin. These mutant constructs, designated Cm-XBMP-7, Cm-XBMP-4, and Cm-activin, result in polypeptides that allow for dimerization of the subunits, but are incapable of maturation. Expression of Cm-XBMP-7 and Cm-XBMP-4, but not Cm-activin, in the ventral marginal zone of the Xenopus embryo results in the development of a secondary axis, similar to that seen by ectopic expression of the truncated BMP receptor. These results suggest that the cleavage mutants interfere with BMP signaling during mesodermal patterning. We also found that expression of Cm-XBMP-7 or Cm-XBMP-4 in animal cap ectoderm directly induces neuroectoderm. The neural induction was specific for Cm-XBMP-7 and Cm-XBMP-4 because ectopic expression of Cm-activin or Vg-1 did not mimic the same phenotype. Molecular study of neural patterning by Cm-XBMP-7 and Cm-XBMP-4 revealed that only anterior neuroectodermal markers are expressed in response to these Cm-XBMPs. These results suggest that the BMPs are involved in the specification of ectoderm in Xenopus development, and that neural induction requires the removal of BMP signals in the ectoderm. We propose that neural induction occurs by a default mechanism, whereby the inhibition of BMP signaling is required for the conversion of ectoderm to neuroectoderm in the developing Xenopus embryo.
???displayArticle.pubmedLink???
7498789 ???displayArticle.link???Genes Dev ???displayArticle.grants???[+]
Figure 1. Whole-mount in situ hybridization
analysis of XBMP-7 transcripts. (A]
Animal view of stage 9 embryos. (Left)
Sense RNA-hybridized embryo; (right) antisense
RNA-hybridized embryo. (B-Dl
Stage 10.5 embryos. (3)A nimal (left] and
vegetal (right] views; (C] lateral view; (Dl
vegetal view. (E,F) Stage 20 embryos. (E)
Dorsal view; (F) anterior view. (G,H) Stage
22 embryos. (GI Lateral view; (HI dorsal
view. XBMP-7 transcripts are detectable in
the entire marginal zone mesoderm including
the organizer region (arrows in B-Dl.
Note that the ectoderm of both blastulae
and gastrulae strongly express XBMP-7
mRNA and the expression is lacking in the
endoderm. XBMP-7 transcripts are expressed
predominantly in the cement gland
and eye anlagen (arrowheads in E,F). At
early tailbud stages XBMP-7 is expressed in
the cement gland, heart anlage, proctodeum,
eyes, and midline of the anterior
neuroectoderm (arrowheads in G,H]. Dorsal
is to the top in D, F, and G, and to the
right in B and C. Anterior is to the left in E,
G, and H.
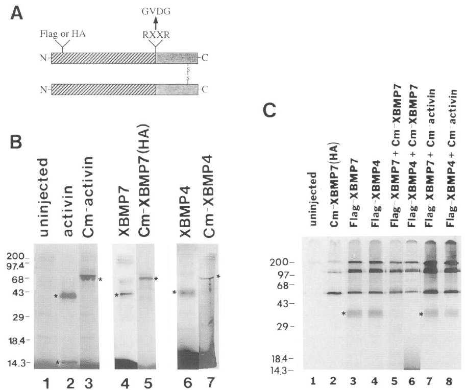
Figure 2. Expression of synthetic mRNAs af.
ter oocyte injection. {A) Schematic representa·
tion of wild-type and mutated BMP and ac·
tivin molecules. The RXXR amino acid cleav·
age site sequences in the BMP and acti vin
molecules were mutated to GVDG in the
cleavage mutant constructs. Native molecules
form dimers {the disulfide bond is indicated),
which are then cleaved to form the carboxyterminal
mature ligand {shaded region) and
the amino-terminal precursor remainder pep·
tide (hatched region). The cleavage mutants do
not mature; thus, oocytes injected with the
cleavage mutant constructs only generate the
high molecular weight uncleaved polypeptide.
The relative positions of HA and Flag epitopes
within the pro-domain are indicated. (B) In
vivo translation of wild-type and cleavage mutant
mRNAs. Media from oocytes injected
with 50-200 ng of the indicated mRNAs were
pulse labeled (3 hrs) with (35S)methionine
and then analyzed by 14% SDS-PAGE. under
reducing conditions. Wild-type activin is
cleaved to form two polypeptides (37 and 14
kD) {asterisks, lane 21, whereas Cm- activin is
not {51 kD) (asterisk, lane 3). Both XBMP-7
and XBMP-4 mRNA·injected oocytes produced
cleaved amino-terminal peptides [34 and 35 kD, respectively) {asterisks, lanes 4,6). HA- Cm- XBMP-7 and Cm-XBMP-4 mRNA·
injected oocytes failed to generate the cleaved polypeptides and produced only the uncleaved form (S 1 and 48 kD, respectively)
(asterisks, lanes 5,7). Medium from HA- Cm- XBMP-7-injected oocytes was immunoprecipitated before SDS·PAGE {lane 5). Uninjected
oocytes are shown in lane 1. HA·tagged Cm- XBMP-7 was found to have activity similar to Cm- XBMP-7. (C) Maturation of FlagXBMP
· 7 and Flag- XBMP-4 proteins is inhibited by expression of Cm-XBMP-7. (Lane 1) Uninjected oocytes; (lane 2) HA- Cm-XBMP-7
mRNA {50 ng)·injected oocytes. {Lanes 3 and 4, respectively) Injection of Flag- XBMP-7 or Flag- XBMP-4 mRNA {SOng) results in the
formation of cleaved precursor remainder peptides (asterisk at 34 and 3S kD, respectively) in addition to uncleaved monomers
(arrowhead at 51 and 48 kD, respectively) and uncleaved dimers farrow at 102 and 96 kD, respectively). {Lanes 5 and 6, respectively)
Coinjection of Cm- XBMP-7 mRNA (200 ng) with Flag- XBMP-7 mRNA ISO ng) or Flag-XBMP-4 mRNA ISO ng) results in a decreased
amount of precursor remainder peptide. This indicates that processing of Flag-XBMP· 7 and Flag-XBMP-4 is inhibited in the presence of
Cm- XBMP-7. 1Lanes 7 and 8, respectively) Coinjection of Cm- activin mRNA (200 ng) with Flag-XBMP-7 mRNA (SOng) or Flag- XBMP-4
mRNA ISO ng) does not significantly reduce the formation of the precursor remainder peptide, indicating that the inhibition of processing
is specific to the BMPs. Flag-tagged XBMP-7 and XBMP-4 were found to have similar, although slightly weaker, activity compared to native
XBMP· 7 and XBMP-4. All samples are run under nonreducing conditions. All lanes are immunoprecipitated with either the HA flane 2 only)
or Flag antibodies.
Figure 3. Ectopic expression of Cm-XBMP-7 induces secondary axes and large heads. [A) Lateral view of a stage 35 embryo. Expression
of Cm-XBMP-7 mRNA (4.0 ng) in the ventral marginal zone induces a secondary axis (arrow). (B) Transverse section of a stage
35 Cm-XBMP-7 injected embryo. (lo) The primary axis; (2") the secondary axis. Both the primary and secondary axes contain a neural
tube and notochord.~(CT) he large-head phenotype of stage 25 embryos. The bottom two embryos are Cm-XBMP-7 mRNA (4.0
ng)-injected embryos. At the top is a control embryo. The open arrows indicate the posteriorly expanded hatching glands. Note that
the Cm-XBMP-7 mRNA-injected embryos are shorter relative to the control embryo. (D) The large-head phenotype of stage 30
embryos. The eyes are larger (as measured by diameter of the optic vesicle in transverse cross section shown in F and G), and the
embryos are twisted in Cm-XBMP-7 mRNA-injected embryos relative to the control embryo. The arrows indicate the extended
cement glands, and the control embryo is at the top. ( E ) Anterior view of large-head and control embryos. The large open arrow
indicates the enlarged Cm-XBMP-7 hatching gland; the small open arrow indicates the normal size hatching gland of the control. (F)
Transverse sections of control and (G) large-head phenotype embryos under identical magnification. Note that the eyes and head
diameters are larger in Cm-XBMP-7 embryos than in the controls. (me) Mesencephalon. All embryos are oriented anterior to the left
and dorsal to the top.
Figure 4. Cm-XBMP-7 induces cement
glands in animal cap ectoderm. Animal cap
explants from embryos injected with dominant-
negative constructs. Uninjected control
animal caps, at stage 35 equivalent, remain
as atypical epidermis (A). Animal cap
explants, at stage 35 equivalent, from Cm-
XBMP-7 mRNA (0.8 ng)-injected embryos
differentiate into cement glands (BJ, as revealed
by pigment aggregation. (C] Histological
sections of animal caps from Cm-
XBMP-7 injected embryos at stage 40 equivalent.
Open arrows indicate ectopic cement
glands. (D) Coinjection of wild-type XBMP-7
mRNA (0.8 ng) with Cm-XBMP-7 mRNA
(0.8 ng] blocks cement gland formation. (E)
Ectopic expression of wild-type activin
mRNA (0.5 ng) results in elongation of animal
cap explants. (F) Coinjection of wildtype
activin mRNA (0.5 ng] with Cm-activin
mRN
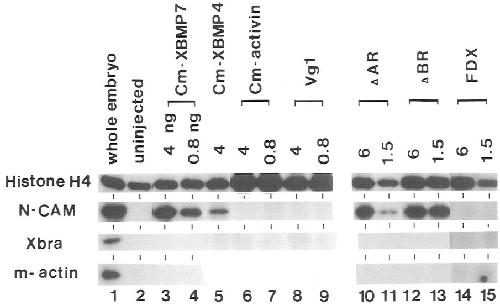
Figure 5. Specificity of neural induction by CmXBMPs.
RT-PCR analysis of N·CAM, Xbra, and
muscle actin marker expression. Whole embryo
control IIane 1) and uninjected control animal
caps (lane 2). Injection of Cm-XBMP-7 mRNA at
4.0 and 0.8 ng Ilanes 3,4) and Cm- XBMP-4
mRNA at 4.0 ng !lane 5) induces N·CAM but not
Xbra or muscle actin. Injection of Cm- activin or
Vg-1 mRNAs at 4.0 and 0.8 ng (lanes 6-9) fails to
induce N-CAM. Injection of truncated activin
{~R) and BMP receptor (tiBR) mRNAs 16.0 and
1.5 ng} induces N-CAM (lanes 10-13). Injection of
truncated FGF receptor {FDX) mRNA at 6.0 and
1.5 ng does not induce N-CAM expression (lanes
14,15). All samples are stage 30 equivalent.
Figure 6. Neuralization by Cm-XBMP-7 occurs independently
of noggin and mesoderm induction. RT-PCR analysis of histone
H4, Xotx2, Xbra, and noggin markers. Whole embryos at gastrula
stage (lane I ) and uninjected control animal caps (lane 2).
Animal cap explants from embryos injected with Cm-XBMP-7
mRNA (4.0 and 1.0 ng) induce Xotx2 expression without the
induction of Xbra or noggin [lanes 3,4). All samples are stage 11
equivalent.
Figure 7. Neuralization by Cm-XBMPs is rescued by either
wild-type XBMP-7 or XBMP-4. RT-PCR analysis of N-CAM,
Xbra, and keratin markers using RNA samples isolated at stage
30 equivalent. Whole control embryos (lane I ) and uninjected
control animal caps (lane 2). Although ectopic expression of
Cm-XBMP-7 mRNA (0.8 ng) induces N-CAM and inhibits keratin
expression (lane 31, coinjection with wild-type XBMP-7
[lane 4) or XBMP-4 (lane 5) mRNA (0.8 ng) blocks neural induction
and rescues keratin expression. Ectopic expression of Cm-
XBMP-4 mRNA also induces N-CAM [lane 61, and coinjection
with wild-type XBMP-4 (lane 7) or XBMP-7 [lane 8) mRNA (0.8
ng) again represses neural induction.
Figure 8. Cm-XBMP-7 induces anterior neuroectoderm markers
but not posterior ones. RT-PCR analysis of XAG1, Xotx2,
KroxZO, and XlHbox6 markers. Whole control embryos (lane I)
and uninjected control animal caps (lane 2). Injection of Cm-
XBMP-7 mRNA at 4.0 and 0.8 ng induces XAGI, but Xotx2 is
induced only at 4.0 ng (lanes 3,4). Injection of 6.0 and 1.5 ng
truncated activin (AAR) and BMP (ABR) receptor mRNAs induce
anterior (XAG1, Xotx2) but not posterior markers (Krox 20,
XlHbox6) (lanes 5-8). All samples are stage 25 equivalent.