Click here to close
Hello! We notice that you are using Internet Explorer, which is not supported by Xenbase and may cause the site to display incorrectly.
We suggest using a current version of Chrome,
FireFox, or Safari.
???displayArticle.abstract???
The frog (Xenopus laevis) retina has been an important model for the analysis of retinal circadian rhythms. In this paper, several isoforms of X. laevis casein kinase I (CKI) were analyzed to address whether they are involved in the phosphorylation and degradation of period protein (PER), as they are in the circadian oscillators of other species. cDNAs encoding two splice variants of CKI(delta) (a full-length form and deletion isoform, which is missing an exon that encodes a putative nuclear localization signal and two evolutionarily conserved protein kinase domains) were isolated and analyzed, together with a previously isolated CKI(epsilon) isoform. Both CKI(delta) and CKI(epsilon) were shown to be constitutively expressed in the photoreceptors of the retina, where a circadian clock has been localized. Both the full-length CKI(delta) and CKI(epsilon) were shown to have kinase activity in vitro, and the full-length CKI(delta) phosphorylated and degraded Drosophila PER when expressed in Drosophila S2 cells. The expression and biochemical characteristics of these CKIs are consistent with an evolutionarily conserved role for CKI in the Xenopus retinal clock. The CKI(delta) deletion isoform did not exhibit kinase activity and did not trigger degradation of PER. Subcellular localization of both CKI(delta) isoforms was cytoplasmic in several cell culture lines, but the full-length CKI(delta) , and not the deletion CKI(delta) isoform, was localized to both the nucleus and the cytoplasm in Drosophila S2 cells. These results indicate that the sequences missing in the deletion CKI(delta) isoform are important for the nuclear localization and kinase activity of the full-length isoform and that one or both of these features are necessary for degradation of Drosophila PER.
Fig. 1. Comparison of two Xenopus CKIy sequences with other CKIy/q sequences. The conceptual translations of the cDNAs sequenced in this study (Genbank
accession numbers AY926534 and AY926535) are shown on the top line (bFrogy Q). These sequences are aligned with the conceptual translations of CKIys
from human (Genbank accession number P48730) and rat (Genbank accession number BAB60852), of CKIqs from frog (Genbank accession number
AF183394) and hamster (Genbank accession number AAF65549; the circadian tau mutant is a mutation of the hamster CKIq gene; [34]), and of a Drosophila
(fly) CKIq/y (Genbank accession number AAC39134; DBT, which is mutated in a number of circadian mutants; [27]). Identical amino acids are noted with a
dash (–), while amino acids which differ from the frog CKIy conceptual translation are given. Gaps are indicated with asterisks (*). The amino acids which are
missing from the sequence of the frog CKIyD deletion isoform are boxed, and the putative NLS is bracketed. This region comprises one complete exon in the
human ckid genomic sequence (exon boundaries in the human gene are denoted with triangles). The frog CKIy conceptual translation is most similar to the
human and rat CKIy conceptual translations and less similar to the frog and hamster CKIq conceptual translations, especially in the C-terminal region. The fly
DBT/CKI sequence is equivalent in its sequence identity to both CKIy and CKIq, with no homology to either in the C-terminal tail.
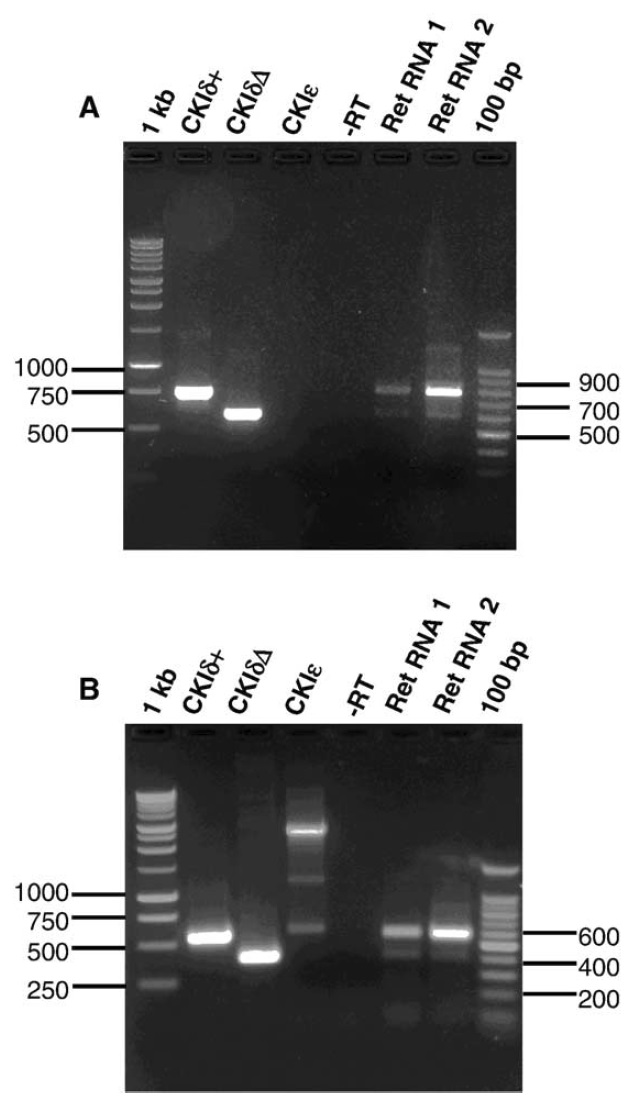
Fig. 2. Both the full-length and deletion isoforms of ckid are expressed in the
Xenopus retina. RT-PCR was performed on retinal RNA from wild-type X.
laevis adults. Primers were designed to flank the deletion region of ckid.
Products were analyzed on a 1.5% agarose gel. Templates for PCR were:
plasmid containing full-length CKIy (CKIy+); plasmid containing the
deletion isoform of CKIy (CKIyD); plasmid containing CKIq; a minus
reverse transcriptase RNA sample ( RT); cDNA from X. laevis retinal RNA
(2 different samples). (A) Predicted product sizes were 774 bp for full-length
and 604 bp for the deletion form using primers F4 and B31. (B) Predicted
product sizes were 582 bp and 412 bp using primers F5 and B23. DNA size
standards were the 1 kilobase (kb) ladder and 100 bp ladder. RET = retinal.
Fig. 3. ckie and ckid are expressed constitutively in the photoreceptors of the
Xenopus retina. (A) Total RNA was isolated from retinas collected at 4-h
intervals throughout a circadian cycle (Zeitgeber time [ZT] 0, 4, 8, 12, 16,
20). Three micrograms of pooled RNA (R) or RNA isolated at ZT 4, 8, 16,
and 20 were subjected to Northern blot analysis. Blots were probed with ckid
or ckie. Following the cki probes, the filters were stripped and reprobed with
a h-actin probe. Exposure time was 24 h for the cki panels. (B) X. laevis eyes
were dissected and fixed at ZT 16, and 12 Am sections were prepared. In situ
hybridization analysis was done with digoxygenin-labeled antisense or sense
ckid riboprobes. The white arrow indicates the labeling in the inner segments
of the photoreceptor cells. Retinal layers are labeled on the left: RPE, retinal
pigment epithelium; OS, photoreceptor outer segments; ONL, outer nuclear
layer (photoreceptor cell nuclei); INL, inner nuclear layer; and GCL,
ganglion cell layer.
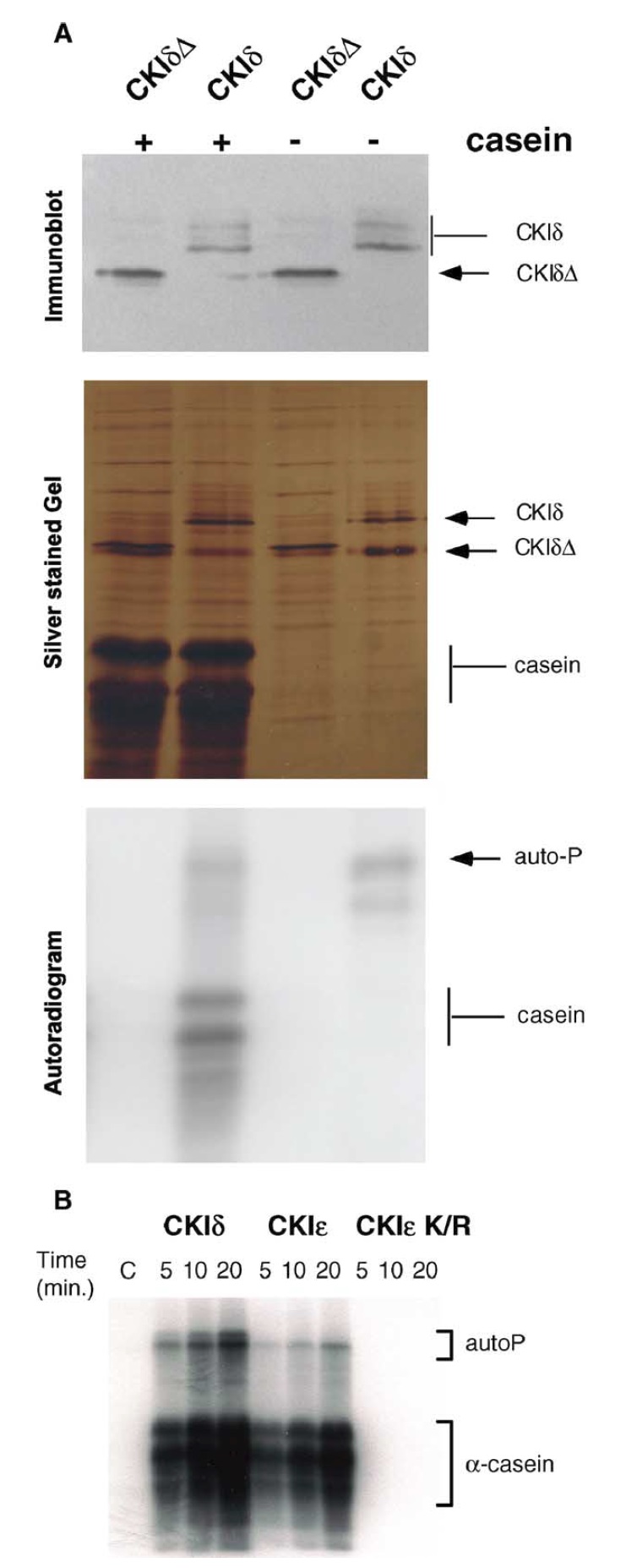
Fig. 4. Recombinant full-length CKIy and CKIq purified from E. coli
exhibit casein kinase activity, while the deletion CKIyD isoform and a CKIq
K/R mutant do not. The reading frames for these proteins were fused to an S
tag sequence in the pET30a vector and expressed in E. coli. The S-tagged
proteins were purified from E. coli on S tag sepharose. The sepharose beads
with purified protein were incubated with g-32P-ATP with or without casein
for 5 min or the time indicated at 37 8C, and aliquots of the reactions were
heated to 95 8C in SDS sample buffer and electrophoresed on an SDS–10%
polyacrylamide gel. (A) Analysis of the CKIy isoforms. One aliquot was
immunoblotted with an anti-CKIy antibody and chemiluminescent detection
(top). The deletion isoform typically produced higher yields but is
diluted here to give comparable levels in the reaction. The more slowly
migrating form of the full-length CKIy may be an autophosphorylated form.
The middle panel is a silver-stained gel containing aliquots of the same
reactions. The mobilities of the two CKIy isoforms and casein are indicated.
Another aliquot of each reaction was analyzed directly by autoradiography
of the gel (bottom panel). There is a weak autophosphorylation signal
(bauto-PQ) and a strong casein signal (bcaseinQ) in the reactions containing
the full-length CKIy, but no signal in the reactions containing the deletion
CKIyD isoform (bCKIyDQ). (B) Autoradiography of a gel containing
aliquots of reactions in which the indicated proteins were incubated for the
amounts of time indicated. Both CKIy and CKIq produced comparable
autophosphorylation and casein phosphorylation, while a K/R mutation at
amino acid number 38 of CKIq abolished both kinase activities. C, a control
reaction containing the material isolated from E. coli expressing the S tag
fused to the first 9 amino acids of CKIy (see Materials and methods),
instead of full-length or deletion isoform of CKIy.
Fig. 5. Coexpression of Drosophila DBT or full-length CKIy with PER in
Drosophila S2 cells triggers degradation of PER, while the CKIyD deletion
isoform does not have this effect. Plasmids expressing HA-tagged PER or
V5-tagged LACZ constitutively from an actin promoter (pAC) were
transfected into Drosophila S2 cells as indicated, with or without plasmids
expressing MYC-tagged DBT or V5-tagged CKIy from the metallothionein
promoter (pMT). Variable levels of DBT or CKI expression were achieved
by altering the amount of the pMT plasmid in the transfection and by
altering the amount of CuSO4 used for the induction. The height of the
triangle over the lane indicates the degree of induction. 48 h after the
addition of CuSO4, the cells were harvested and lysed in 1 SDS sample
buffer. Aliquots of the lysates were electrophoresed on SDS–10%
polyacrylamide gels for detection of DBT/CKI and LACZ or on SDS–
5.7% polyacrylamide gels for detection of PER. The gels were immunoblotted
with antibodies that recognized the epitope tag and processed for
chemiluminescent detection. Panel A shows a representative experiment
with Drosophila DBT, while panel B shows a representative experiment
with Xenopus CKIys. The extracts in the first lane of panel B came from
cells which were not transfected with pMT-CKIy, while the extracts in the
last lane came from cells which were not transfected with any plasmid. The
lack of CKIy signal in the first lane, the lack of any transgenic signals in
the last lane, the relative electrophoretic mobilities of the antigens, and the
antibodies with which they are detected allow the unambiguous identification
of each transgenic protein.
Fig. 6. CKIyD is exclusively cytoplasmic, while CKIy is distributed in both cytoplasmic and nuclear compartments in Drosophila S2 cells. Plasmids expressing
the indicated isoforms of CKIy were transiently transfected into the Drosophila S2 cell culture line, and immunofluorescent subcellular localization was
accomplished with an antibody to a V5 epitope tag at the C-terminus. Nuclei were visualized with DAPI, and the images were merged digitally.