Click here to close
Hello! We notice that you are using Internet Explorer, which is not supported by Xenbase and may cause the site to display incorrectly.
We suggest using a current version of Chrome,
FireFox, or Safari.
???displayArticle.abstract???
The dorsoventral axis is established early in Xenopus development and may involve signaling by Wnts, a family of Wnt1-protooncogene-related proteins. The protein kinase shaggy functions in the wingless/Wnt signaling pathway, which operates during Drosophila development. To assess the role of a closely related kinase, glycogen synthase kinase 3 beta (GSK-3 beta), in vertebrate embryogenesis, we cloned a cDNA encoding a Xenopus homolog of GSK-3 beta (XGSK-3 beta). XGSK-3 beta-specific transcripts were detected by Northern analysis in Xenopus eggs and early embryos. Microinjection of the mRNA encoding a catalytically inactive form of rat GSK-3 beta into a ventrovegetal blastomere of eight-cell embryos caused ectopic formation of a secondary body axis containing a complete set of dorsal and anterior structures. Furthermore, in isolated ectodermal explants, the mutant GSK-3 beta mRNA activated the expression of neural tissue markers. Wild-type XGSK-3 beta mRNA suppressed the dorsalizing effects of both the mutated GSK-3 beta and Xenopus dishevelled, a proposed upstream signaling component of the same pathway. These results strongly suggest that XGSK-3 beta functions to inhibit dorsoventral axis formation in the embryo and provide evidence for conservation of the Wnt signaling pathway in Drosophila and vertebrates.
FIG. 1. Deduced XGSK-3P3 amino acid sequence and its comparison
with the Drosophila shaggy and rat GSK-3f3 proteins.
FIG. 2. XGSK-3f transcripts are present maternally and are uniformly
distributed in the early embryo. (A) Northern analysis of
XGSK-3,3 expression throughout embryogenesis. Developmental
stages: 2, two-cell stage; 9, late blastula; 11, midgastrula; 12, late
gastrula; and 20, late neurula. (B) Spatial distribution of the XGSK-3f3
transcripts in stage 10 gastrulae. Explants were isolated from the
animal pole region (AP), the dorsal marginal zone (DM), the ventral
marginal zone (VM), and the vegetal pole region (VP). Two embryo
equivalents of RNA are loaded per lane for Northern analysis; 18S
RNA and fibronectin bands reflect loading. Antisense probes:
brachyury, general mesodermal marker; Xwnt8, ventrolateral marker;
and goosecoid, dorsal marginal zone marker. The bar on the right of
A indicates position of 28S rRNA.
FIG. 3. Effects of GSK-3,B RNAs on embryonic development.
Embryos were injected with 1 ng of K85R GSK-3,3 mRNA (A) or
wild-type GSK-3p mRNA (B) into a ventrovegetal blastomere at the
eight-cell stage. (X6.) (C) Representative transverse section of an
embryo injected with K85R mRNA; b, brain; nc, notochord; s, somite.
(Scale bar = 150 ,um.) (D) Effect of K85R RNA on early mesodermal
markers in the marginal zone. Dorsal (D) and ventral (V) halves were
dissected from normal embryos or from embryos injected with K85R
or rat GSK-3,B RNAs and subjected to Northern analysis (RNA from
four explants is in each lane).
FIG. 4. Enzymatic activities of different forms of GSK-3f3. Lysates
were prepared at late blastula stages from embryos injected with
Myc-tagged RNA constructs: lanes 1, Xenopus GSK-3,B; lanes 2, rat
GSK-3p3; lanes 3, K85R GSK-3p3; and lanes 4, no injection. (A) Immune
complex kinase assays with anti-Myc antibodies and with myelin basic
protein (MBP) as substrate. (B) Western analysis of embryonic lysates
with anti-Myc antibodies.
FIG. 5. Wild-type XGSK-3f overcomes the effect of the K85R
mutant on dorsoventral axis formation. Embryos were injected with
0.5 ng of K85R RNA in the ventrovegetal blastomere at the eight-cell
stage (A) or with a mixture of 0.5 ng of K85R RNA and 0.25 ng of the
wild-type XGSK-3,B RNA (B) and allowed to develop until stage 39.
(x5.)
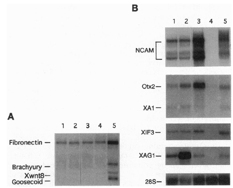
28SFIG.
6. Neuralization of ectodermal explants by K85R GSK-303.
Both blastomeres of the two-cell embryos were injected with different
mRNAs as indicated. Animal cap explants were isolated at stage 8 and
cultured until stage 11 (A) for early marker analysis or until stage 28
(B) for late marker analysis. Early mesodermal markers are the same
as in Fig. 2. Otx2 and XIF3 are anterior neural markers, XAG1 is a
cement gland marker, XA1 is an anterior ectoderm marker, and
NCAM is a panneural marker. Fibronectin mRNA and 28S rRNA
bands reflect loading. Animal cap RNA was derived from uninjected
embryos (lane 4) or from embryos injected with 1 ng of K85R mRNA
(lane 1), with 1 ng of Xdsh mRNA (lane 2), with 100 pg of noggin
mRNA (lane 3). Sibling embryo RNA is in lane 5. Total RNA from
10 animal caps or from 2 embryos is loaded per lane. The same blot
was stripped and reprobed with different probes.
Berra,
Protein kinase C zeta isoform is critical for mitogenic signal transduction.
1993, Pubmed,
Xenbase
Berra,
Protein kinase C zeta isoform is critical for mitogenic signal transduction.
1993,
Pubmed
,
Xenbase Cho,
Molecular nature of Spemann's organizer: the role of the Xenopus homeobox gene goosecoid.
1991,
Pubmed
,
Xenbase Christian,
Xwnt-8, a Xenopus Wnt-1/int-1-related gene responsive to mesoderm-inducing growth factors, may play a role in ventral mesodermal patterning during embryogenesis.
1991,
Pubmed
,
Xenbase Dickinson,
The role of Wnt genes in vertebrate development.
1992,
Pubmed Elinson,
A transient array of parallel microtubules in frog eggs: potential tracks for a cytoplasmic rotation that specifies the dorso-ventral axis.
1988,
Pubmed
,
Xenbase Gerhart,
Cortical rotation of the Xenopus egg: consequences for the anteroposterior pattern of embryonic dorsal development.
1989,
Pubmed
,
Xenbase Hanks,
The protein kinase family: conserved features and deduced phylogeny of the catalytic domains.
1988,
Pubmed Harwood,
Glycogen synthase kinase 3 regulates cell fate in Dictyostelium.
1995,
Pubmed He,
Glycogen synthase kinase-3 and dorsoventral patterning in Xenopus embryos.
1995,
Pubmed
,
Xenbase Heasman,
Overexpression of cadherins and underexpression of beta-catenin inhibit dorsal mesoderm induction in early Xenopus embryos.
1994,
Pubmed
,
Xenbase Holowacz,
Cortical cytoplasm, which induces dorsal axis formation in Xenopus, is inactivated by UV irradiation of the oocyte.
1993,
Pubmed
,
Xenbase Horton,
Gene splicing by overlap extension: tailor-made genes using the polymerase chain reaction.
1990,
Pubmed Kessler,
Vertebrate embryonic induction: mesodermal and neural patterning.
1994,
Pubmed
,
Xenbase Kintner,
Expression of Xenopus N-CAM RNA in ectoderm is an early response to neural induction.
1987,
Pubmed
,
Xenbase Kolch,
Raf-1 protein kinase is required for growth of induced NIH/3T3 cells.
1991,
Pubmed Krieg,
Developmental regulation of a gastrula-specific gene injected into fertilized Xenopus eggs.
1985,
Pubmed
,
Xenbase Krieg,
Functional messenger RNAs are produced by SP6 in vitro transcription of cloned cDNAs.
1984,
Pubmed
,
Xenbase Lamb,
Neural induction by the secreted polypeptide noggin.
1993,
Pubmed
,
Xenbase Lemaire,
Expression cloning of Siamois, a Xenopus homeobox gene expressed in dorsal-vegetal cells of blastulae and able to induce a complete secondary axis.
1995,
Pubmed
,
Xenbase McCrea,
Induction of a secondary body axis in Xenopus by antibodies to beta-catenin.
1993,
Pubmed
,
Xenbase Newport,
A major developmental transition in early Xenopus embryos: I. characterization and timing of cellular changes at the midblastula stage.
1982,
Pubmed
,
Xenbase Nusse,
Wnt genes.
1992,
Pubmed Pannese,
The Xenopus homologue of Otx2 is a maternal homeobox gene that demarcates and specifies anterior body regions.
1995,
Pubmed
,
Xenbase Perrimon,
The genetic basis of patterned baldness in Drosophila.
1994,
Pubmed Pierce,
Regulation of Spemann organizer formation by the intracellular kinase Xgsk-3.
1995,
Pubmed
,
Xenbase Plyte,
Glycogen synthase kinase-3: functions in oncogenesis and development.
1992,
Pubmed Ruel,
Drosophila shaggy kinase and rat glycogen synthase kinase-3 have conserved activities and act downstream of Notch.
1993,
Pubmed Sasai,
Xenopus chordin: a novel dorsalizing factor activated by organizer-specific homeobox genes.
1994,
Pubmed
,
Xenbase Sharpe,
XIF3, a Xenopus peripherin gene, requires an inductive signal for enhanced expression in anterior neural tissue.
1989,
Pubmed
,
Xenbase Sive,
Progressive determination during formation of the anteroposterior axis in Xenopus laevis.
1989,
Pubmed
,
Xenbase Smith,
Injected Xwnt-8 RNA acts early in Xenopus embryos to promote formation of a vegetal dorsalizing center.
1991,
Pubmed
,
Xenbase Smith,
Mesoderm-inducing factors in early vertebrate development.
1993,
Pubmed Smith,
Expression cloning of noggin, a new dorsalizing factor localized to the Spemann organizer in Xenopus embryos.
1992,
Pubmed
,
Xenbase Smith,
Expression of a Xenopus homolog of Brachyury (T) is an immediate-early response to mesoderm induction.
1991,
Pubmed
,
Xenbase Sokol,
Injected Wnt RNA induces a complete body axis in Xenopus embryos.
1991,
Pubmed
,
Xenbase Sokol,
Mesoderm formation in Xenopus ectodermal explants overexpressing Xwnt8: evidence for a cooperating signal reaching the animal pole by gastrulation.
1993,
Pubmed
,
Xenbase Sokol,
Interaction of Wnt and activin in dorsal mesoderm induction in Xenopus.
1992,
Pubmed
,
Xenbase Sokol,
Dorsalizing and neuralizing properties of Xdsh, a maternally expressed Xenopus homolog of dishevelled.
1995,
Pubmed
,
Xenbase Wang,
Glycogen synthase kinase-3 beta is a dual specificity kinase differentially regulated by tyrosine and serine/threonine phosphorylation.
1994,
Pubmed