|
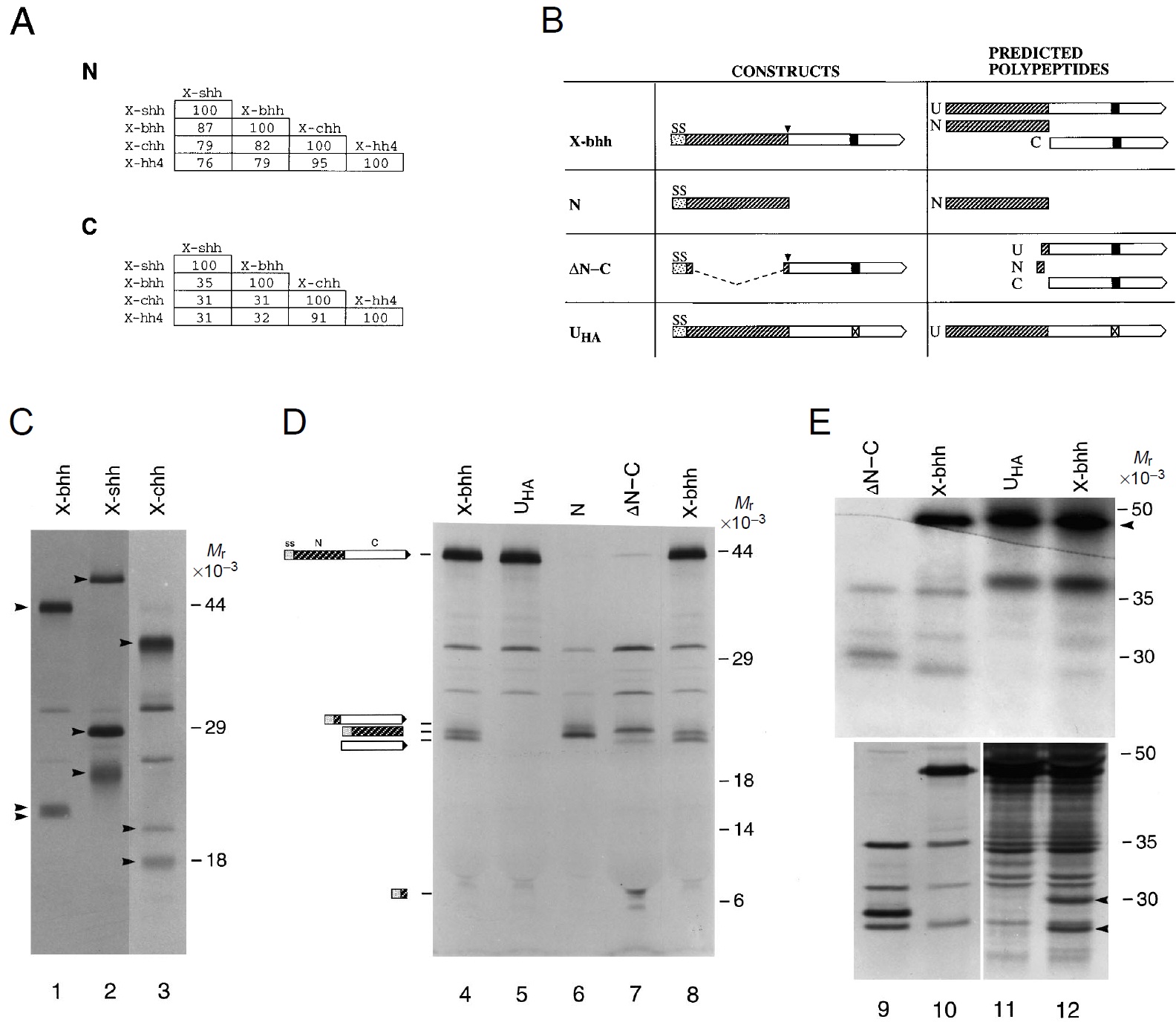
Fig. 1. Autoproteolytic cleavage of Xenopus hh proteins in vitro and
in embryos. (A) Percentage of amino acid identity between the
predicted N and C domains of the Xenopus hh gene family members
(Ekker et al., 1995). (B) Depiction of constructs encoding full-length
X-bhh, N, DN-C, and UHA. The polypeptides predicted to be formed
in vivo after translation and cleavage of the signal sequence, and the
autoproteolytic cleavage of the full-length polypeptide, are shown to
the right, and are described in Materials and methods. SS denotes the
signal sequence, U refers to the unprocessed polypeptide after
cleavage of the signal sequence, N depicts the amino-terminal region
after signal sequence cleavage and after autoproteolysis (at the site
indicated by the downward arrowhead), and C denotes the carboxyterminal
domain after autoproteolysis. The filled box in C denotes a
histidine at position 270, and the box with a check denotes mutation
of histidine 270 to an alanine. (C) Processing of X-bhh (lane 1), Xshh
(lane 2), and X-chh (lane 3) upon translation in vitro. Each lane
contains three hh-associated protein products (indicated by
arrowheads), of which the two smaller products arise by
autoproteolytic cleavage of the larger unprocessed form (see text and
D below). The two X-bhh cleavage products are of similar size, and
appear as a doublet in lane 1 (see D below). (D) Detailed analysis of
X-bhh processing in vitro. The X-bhh open reading frame was
mutated to yield UHA, N, and DN-C constructs as diagrammed in B.
Cartoons clarifying the region of X-bhh present in the translation
product are shown to the left of lane 4. Lanes 4 and 8: translation of
wild-type X-bhh. Lane 5: translation of UHA. Lane 6: translation of
N. The protein product comigrates with a fragment generated by
autoproteolysis of X-bhh (compare lane 6 with lanes 4 and 8). Lane
7: translation of DN-C whose primary translation product undergoes
autoproteolysis (refer to cartoon). The lower of the two bands within
the doublet comigrates with a fragment generated by autoproteolysis
of X-bhh (compare lanes 7 and 8 with reference to the cartoon), and
the band migrating near the 6´103 Mr marker is the small N-terminal
fragment remaining after autoproteolysis (refer to cartoon). (E)
Processing of X-bhh in embryos. X-bhh or UHA were co-injected
with [35S]methionine into embryos and the resulting extracts were
immunoprecipitated with an antibody to the carboxy region of X-bhh
(see Materials and methods). The upper gel is useful solely for
showing the presence of full-length X-bhh denoted by an arrowhead.
The lower gel was overexposed to resolve lower molecular mass
species arising by processing of X-bhh. Lane 9 (both gels): proteins
generated from in vitro translation of DN-C. Lane 10 (both gels): in
vitro translation of X-bhh. Lane 11 (both gels): Immunoprecipitation
of embryo extracts with a C-terminal antibody after injection of UHA
demonstrates the presence of full-length X-bhh polypeptide
(arrowhead, upper gel), but no bands co-migrating with C-terminal
polypeptides (lower gel). Lane 12 (both gels): Immunoprecipitation
of embryo extracts after injection of X-bhh RNA demonstrates the
presence of full length X-bhh in the upper gel. In lane 12 of the
lower gel, two lower molecular mass bands (arrowheads) are noted,
which are absent from the UHA-injected embryos (lane 11), and
absent from uninjected embryos (not shown). The lower of these two
bands comigrates with C generated by in vitro translation of X-bhh
(lane 10) or DN-C (lane 9). The approximately 30´103 Mr band in
lane 12 (arrowhead) is presumed to be a modification of the C
protein, possibly glycosylation at a predicted N-linked glycosylation
site (Ekker et al., 1995). Unmarked bands are not hh-derived as
determined by immunoprecipitation of labeled embryos not injected
with X-bhh RNAs (not shown). |
|
Fig. 2. Inductive activities of X-bhh-derived
polypeptides in animal cap explants.
Animal caps from embryos injected with
various RNAs were cultured until sibling
embryos had reached stage 25, at which
time samples were processed for RT-PCR
for the markers shown. Minus (-) lanes are
controls omitting reverse transcriptase in
the first strand synthesis, and plus (+) lanes
contain reverse transcriptase. Lanes 1, 2:
stage 25 embryos as positive controls.
Lanes 3, 4: animal caps from uninjected
embryos as negative controls. Lanes 5, 6:
animal caps from embryos injected with Xbhh
RNA. Lanes 7, 8: animal caps from
embryos injected with N. Lanes 9, 10:
animal caps from embryos injected with
UHA. Lanes 11, 12: animal caps from
embryos injected with a frame-shifted
version of X-shh (X-shhfs) as a negative
control. Lanes 13, 14: Animal caps from
embryos injected with noggin RNA for
comparison of induced neural markers.
Note the high-level induction by active
constructs (X-bhh, N, and UHA) of the
cement gland marker XAG-1 and the
relatively lower level induction of the
anterior neural markers XANF-2 and Otx-A,
without induction of the general neural
marker, N-CAM. |
|
Fig. 3. X-bhh modifies the anteroposterior pattern of neural gene expression in explants under the influence of endogenous neural inducers.
(A) Isolation of dorsal explants from injected embryos for the preparation of Keller sandwiches (Keller and Danilchik, 1988; Doniach et al.,
1992; redrawn from Doniach, 1993). (B) Keller sandwiches were made from uninjected (lanes 1 and 2) and X-bhh-injected (lanes 3 and 4)
embryos, total RNA was isolated when control embryos reached stage 20, and RT-PCR was used to analyze the expression of XAG-1 and
neural markers. XAG-1 is a cement gland marker, XANF-2 is an anterior pituitary marker, Otx-A is a forebrain marker, En-2 demarcates the
midbrain-hindbrain boundary, Krox-20 marks rhombomeres 3 and 5 of the hindbrain, and XlHbox-6 is a spinal cord marker. N-CAM is a
general neural marker whose expression is not restricted along the anteroposterior axis. The EF-1a control demonstrates that a comparable
amount of RNA was assayed in each set. Note that expression of XAG-1 and anterior neural markers is stimulated by X-bhh treatment, whereas
expression of posterior neural markers is suppressed. |
|
Fig. 4. X-bhh and derived polypeptides modify the anteroposterior pattern of neural
gene expression in activin-treated animal caps. Embryos were injected with X-bhh or
prolactin RNA and animal cap explants were isolated from blastulae and incubated in
the presence or absence of activin. (A) Explants were processed when the sibling
embryos reached stage 11, and total RNA was assayed by RT-PCR for the mesodermal
markers brachyury (Xbra), goosecoid, and Xwnt-8 and the control EF-1a. Lanes
designated plus and minus refer to the presence or absence of reverse transcriptase in
the first strand cDNA synthesis. Lanes 1, 2, 5, 6: control animal caps from uninjected
embryos. Lanes 3, 4, 7, 8: animal caps from embryos injected with X-bhh. Lanes 9, 10:
animal caps from embryos injected with bovine prolactin RNA. Animal caps in lanes 5-
10 were treated with activin A. Note that no mesodermal markers are induced by X-bhh.
(B) A second group of explants from the same experiment and in the same order as in
A, were cultured until tailbud (stage 25) and assayed for the expression of anteriorposterior
neural markers. The actin acted as a control for induction of mesoderm.
Expression of anterior neural markers was enhanced by combined treatment with
activin and X-bhh relative to either treatment alone; note also the reduction in
expression of posterior neural markers by X-bhh in activin-treated explants. (C) In
independent experiments, embryos were injected with N or DN-C, and some animal cap
explants were treated with activin before culturing until sibling embryos reached tailbud
stage. Lanes 1, 2: control animal caps from uninjected embryos. Lanes 3, 4: control
animal caps from uninjected embryos, treated with activin. Lanes 5, 6: animal caps
from embryos injected with N and treated with activin. Lanes 7, 8: animal caps from
embryos injected with DN-C and treated with activin. Whereas N displays activities in
activin-treated explants similar to those of X-bhh (see B) DN-C produces the opposite
effect, decreasing anterior and increasing posterior neural marker expression. |
|
Fig. 5. DN-C interferes with X-bhh and N activity in animal cap
explants. Embryos were injected with various RNAs, animal cap
explants were cultured until sibling embryos reached tailbud (stage
25), at which time RT-PCR was used to analyze the expression of the
cement gland marker XAG-1 and the control RNA, EF-1a. Lanes 1,
2: control animal caps from uninjected embryos. Lanes 3, 4: animal
caps from embryos injected with both X-bhh and prolactin RNAs.
Lanes 5, 6: animal caps from embryos injected with both X-bhh and
DN-C. Lanes 7, 8: animal caps from embryos injected with both N
and prolactin RNAs. Lanes 9, 10: animal caps from embryos injected
with both N and DN-C. The N and X-bhh experiments were
conducted independently and thus absolute levels in lanes 3-6 should
not be compared to those in lanes 7-10. Note that the induction of
XAG-1 expression by X-bhh or N is reduced by co-injection of DN-C. |
|
Fig. 6. Distinct effects of expression of N and DN-C in Xenopus embryos.
Uninjected embryos (WT), and embryos injected with N, or DN-C were
photographed at tadpole stage (A) or analyzed by in situ hybridization (B,
C). (A) Cement glands (arrow) and other anterior structures are enlarged in
N-injected embryos. In contrast, embryos injected with DN-C display a
smaller cement gland, reduced anterior structures, and enhanced posterior
structures. (B) In situ hybridization was performed with a pan neural RNP
marker. Arrows indicate the otic vesicle. The neural tissue anterior to the
otic vesicle is enlarged in N-injected embryos, and reduced in DN-Cinjected
embryos as compared to control embryos. (C) In situ hybridization
was performed with the forebrain marker Otx-A. The pattern of Otx-A
expression (arrows) is expanded in N-injected embryos while expression in
DN-C-injected embryos is similar, but reduced in comparison to that of
control embryos. |