Click here to close
Hello! We notice that you are using Internet Explorer, which is not supported by Xenbase and may cause the site to display incorrectly.
We suggest using a current version of Chrome,
FireFox, or Safari.
???displayArticle.abstract???
LIM homeobox genes are characterized by encoding proteins in which two cysteine-rich LIM domains are associated with a homeodomain. We report the isolation of a gene, named Xlim-5 in Xenopus and lim5 in the zebrafish, that is highly similar in sequence but quite distinct in expression pattern from the previously described Xlim-1/lim1 gene. In both species studied the lim5 gene is expressed in the entire ectoderm in the early gastrulaembryo. The Xlim-5 gene is activated in a cell autonomous manner in ectodermal cells, and this activation is suppressed by the mesoderm inducer activin. During neurulation, expression of the lim5 gene in both the frog and fish embryo is rapidly restricted to an anterior region in the developing neural plate/keel. In the 2-day Xenopus and 24-hr zebrafish embryo, this region becomes more sharply defined, forming a strongly lim5-expressing domain in the diencephalonanterior to the midbrain-forebrain boundary. In addition, regions of less intense lim5 expression are seen in the zebrafish embryo in parts of the telencephalon, in the anteriordiencephalon coincident with the postoptic commissure, and in restricted regions of the midbrain, hindbrain, and spinal cord. Expression in ventralforebrain is abolished from the 5-somite stage onward in cyclops mutant fish. These results imply a role for lim5 in the patterning of the nervous system, in particular in the early specification of the diencephalon.
Fie. 1. Sequenc~ comparison between Xlim-5 and zebrallsh lim5 pro·
teins predicted frorn eDNA sequences. (A) Sequence alignment: XI, X
!ae'tlis; zf, 2ebrafish. Identities are indicated by dots and spaces inserted
for alignment by dashes. The asterisk denotes the stop codon.
TheLtM and hom codomains and :<n arginine-rich region are indi~ated
above the sequence. The nucleotide sequences have been submitted to
GenBank under Accession Nos. L42546 and L42547. Schematic representations
of the cDNAs are shown below the sequences, with LIM
domains identified as type A orB (Dawid et al., 1995). (B) Comparison
of Xenopus and zebrafish (zf) lim1 and lim5 proteins. Percentage o(
amino acid sequence identity between entire proteins and individual
domains is indicated. Light hatched boxes, LIM domains; solid boxes,
homeodomains; dark hatched boxes, arginine-rich regions.
FIG. 2. Accumulation patterns of Xlim-S and zebrafish lim.~ mRNA. Ten micrograms of total RNA at the indicated stages was analyzed by
Northern blotting. Two major transcripts of 3.4 and 3.1 kb were detected in Xenopus (A), and a 2.1-kb transcript was detected in the zebrafish
(B). (Bottom) The ethidium bromide staining of ISS ribosomal RNA in the same gels. Xeno]M stages: 9-9.5, blastula; 10- 12.75, gastrula; 13-20.
neurula; from 25, tailbud. Zebrafish stages: 4 hr, sphere (blastula); 6 hr, shield; 9.5 hr, 90% epiboly (gastrula); 12-24 hr, segmentation stages.
FIC. 3. Expression of Xlim-5 mRNA in Xenopus embryos as revealed by whole-mount in situ hybridization. (A) Stage 11; left, sense probe; right, antisense probe. (B) Stage 20, head region, anterodorsal view. (C) Stage 25. anterior region, lateral view. (D) Stage 81, lateral view. (E) Stage 31, dorsal view. The forebrain signal is marked by a filled triangle. Arrows indicate signal in midbrain (m) and hindbrain (h). Eye vesicle (e).
Fig. 4. Spatial distribution of Xlim-5 mRNA in gastrula embryos.
Stage 11 Xenopus embryos were dissected into ectoderm (Ec) and endoderm
plus mesoderm (En + M) or into ventral (Ven) and dorsal
(Dor) halves. Ten micrograms of total RNA was applied on each lane,
and filters were hybridized with Xlim-5, Xlim-1, and with EF-la as
loading control. Reanalysis of filters shown as Fig. 3 in Taira et al.
( 1992) hy hybridization with Xlim-5.
FIG. 5. Expression of linl-5 mRNA in zebrafish embryos as revealed by whole-mount in situ hybridization. (A) Shield stage, lateral view. Lim.S
mRNA is found in the entire blastoderm except the margin (arrows). (B) Bud stage, lateral view. The lim5 signal is l~alized in the anterior part
of the embryo. The polster region is li·nl.5 negative (filled triangle). (C and D) Five-somite stage, lateral view (C) and anter ior view (D). An open
triangle indicates the lim5-positive cells in the neural keel in the region of the presumptive hindbrain. Anterior extent of the embryonic axis is
indicated by bar. Pax-2 expression (red, in D) at the presumptive midbrain-hindbrain boundary is marked by two arrows. (E-I) 24· to 27-hr
embryos. (E) Head region, anterior view. Small arrows (also in F) point to staining corresponding to the POC (postoptic commissure). (F) Head
region, lateral view, double stained with zn12 antibody (brown) and #mS (blue}. Insert sho1vs lateral view of limS single staining, developed for
a longer time. (G) Lateral view and (H) dorsal view show midbrain and hindbrain expression of lim.5 visualized by longer staining, the diencephalon
being overstained. Double staining with Pax.-2 (red). Arrow points to midbrain-hindbrain boundary. (I) Trunk region, lateral view of
spinal cord staining. (J and K) Cyclop.~ mutant ~;mbryos. (J) Five-somite stage. By comparing to C it is apparent that the anterior-ventral
staining domain and the weakly staining domain indicated by the open triangle are absent in the mutant, while the major transverse stripe is
maintained. (K) Head r~gion at 24 hr; no ven tral dien~phalic staining is seen (compare to F). Arrow indicates midbrain-hindbrain boundary.
Anterior {An), epiphysis (e), ftoorplate (fp), hindbrain (h), midbrain (m), notochord (nt ), otic vesicle (ov), tailbud (tb), telencephalon (t), trigeminal
ganglia (tg).
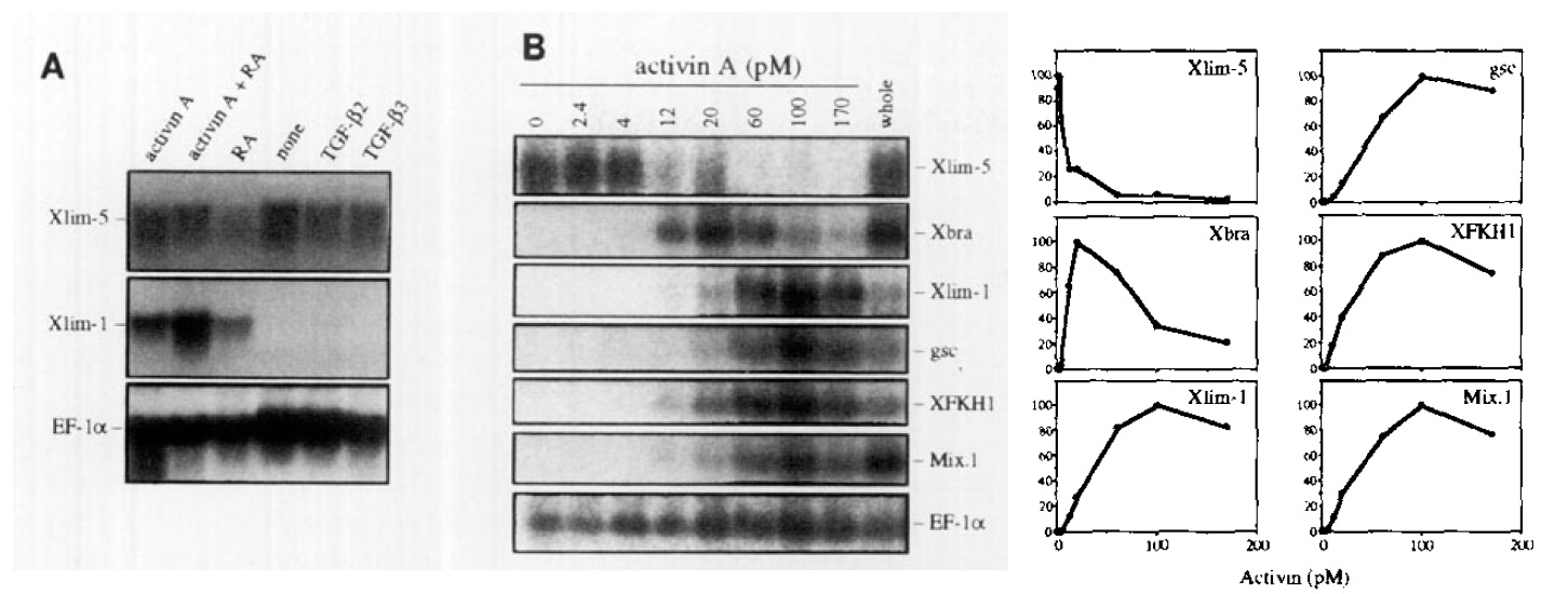
FIG. 6 xlim-5 expression in explants and dispersed cells in the presence of inducing factors. (A) Stage 8.5 animal explants were incubated for 4 hr with the !actors shown, and the RNA was isolated and analyzed as described under Materials and Methods. This experiment is a rehybridization of the filter shown as Fig. 5A in Taira et al. (1992). (B) Animal explants were dispersed and treated with various concentrations of activin A as indicated, and the RNA was isolated and analyzed as described under Materials and Methods. The blots were hybridized with different probes as shown in the Figure and quantit.ated with the aid of a Phosphorlmager; the results are plotted at the right. For each probe, the highest level of hybridization was set at 100% after normalization for the level of EF-la; whole, RNA from whole stage 11 embryos.