Click here to close
Hello! We notice that you are using Internet Explorer, which is not supported by Xenbase and may cause the site to display incorrectly.
We suggest using a current version of Chrome,
FireFox, or Safari.
???displayArticle.abstract???
Using an expression cloning strategy that relies on a functional assay, we have cloned a novel Xenopus homeobox-containing gene, Siamois. Embryos injected in a ventral-vegetal blastomere with as little as 5 pg of Siamois mRNA develop a complete secondary axis, but the progeny of the injected cells do not participate in the secondary axis formation. In normal development, Siamois mRNA is first detected shortly after the midblastula transition, which is earlier than mRNAs for goosecoid or Xbrachyury, and is present most abundantly in the dorsal endoderm of early gastrulae. The activation of this gene can be obtained cell autonomously in dispersed embryo cells. These results indicate that Siamois may play an important role in the formation of the Nieuwkoop center.
Figure 1. Cloning of a cDNA That Can Create a Complete Secondary
Axis
(A) Schematic map of the pBluescript RN3 vector.
(13) Embryo injected with 5 ng of synthetic mRNA from the whole dorsalized
gastrula library; note that the secondary axis lacks the most
anterior structures.
(C) Embryo injected with 50 pg of synthetic mRNA from Siamois cDNA;
the secondary axis is now complete with cement gland. Similar embryos
were cultured further, until it was possible to see that the secondary
heads were morphologically normal (data not shown).
Figure 2. Ventral Injection of noggin mRNA Generates Partial Secondary
Axes
Normal embryos at the 4- to 8-cell stages were injected in a ventralvegetal
position with 10 pg of noggin mRNA (A), 200 pg of noggin
mRNA (B), or 5 pg of Xwnt-8 mRNA (C). Embryos were fixed at the
late tailbud stage. The secondary axes generated by noggin (arrows
in A and B) lack a cement gland; those in (C) possess well-developed
cement glands (arrows). Note that embryos in (B) and (C) lack posterior
structures.
Figure 3. Siamois Encodes a Homeobox Protein Similar to mix. 1 and
HD1
(A) DNA and deduced protein sequence of the coding region of Siatools.
The homeodomain is boxed, and a potential glycosylation site
is underlined.
(8) Comparison of the homeodomains of Siamois and the two most
closely related genes found in the GenEMBL data base, Xenopus
mix. 1 and human HD1. The three helices typical of homeodomains
are underlined. Percentages of amino acid identity (conservation) are
given on the right hand side of the panel. Colons indicate conservative
amino acid changes; asterisks indicate amino acids conserved in all
homeodomains.
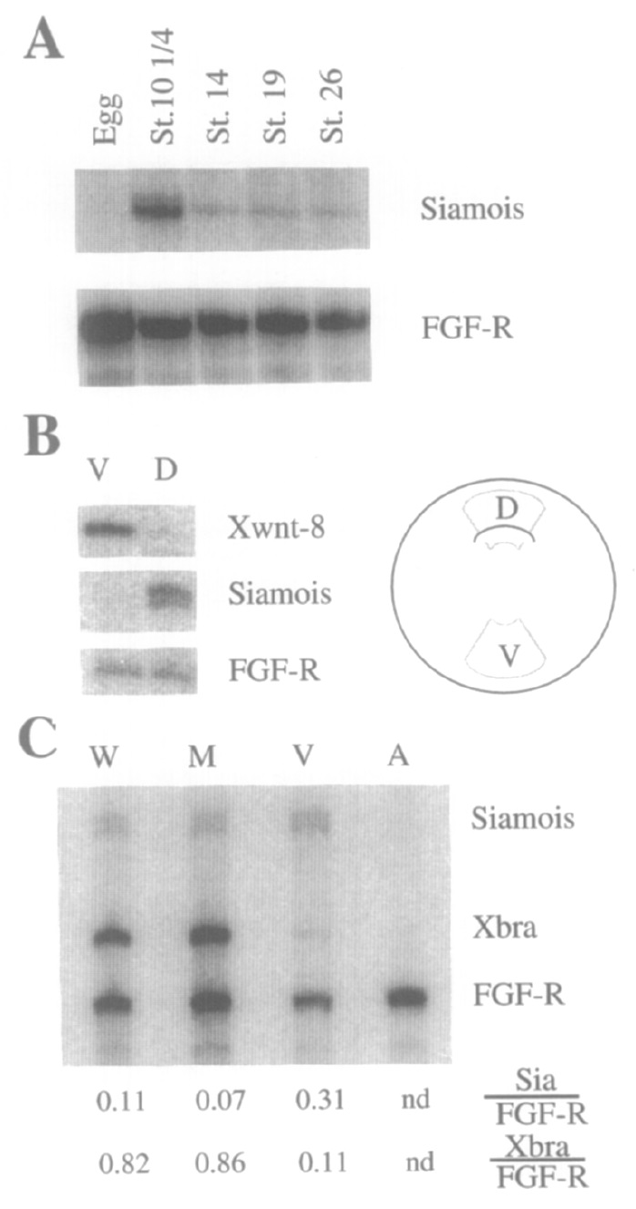
Figure 4. Siamois Is Expressed Transiently in the Dorsal Cells of Early
Gastrulae
(A), (B), and (C) display results of RNase protection assays. In all
panels, the fibroblast growth factor receptor (FGF-R) is used as a
loading control.
(A) Analysis of the temporal expression of Siamois.
(B) Expression of Siamois and Xwnt-8 along the dorsoventral axis of
early gastrulae (stage 10); D, dorsal tissue; V, ventraltissue. To the
right, a diagram shows the regions taken for analysis.
(C) Siamois is enriched in the vegetal regions of stage 10.25 embryos:
W, whole embryo; M, marginal zone explant; V, vegetal pole explant;
A, animal cap explant. The two bottom lines present a quantitation of
the signals. Sia, Siamois.
Figure 5. Comparison of the Patterns of Expression of Siamois and
Xbra on Sagital Sections from Normal or Dorsalized Early Gastrulae
Sections of normal (left panels) or dorsalized with lithium (right panels)
stage 10 embryos were probed for Siamois (A and D) or Xbra (B and
E) transcripts. (C) and (F) show computer generated diagrams of the
expression domains of Siamois (green) or Xbra (open red). The position
of the blastopore lip is indicated by an arrow in (D) and (F).
Figure 6. Siamois mRNA Accumulates Very Rapidly after the Midblastula
Transition and Is Activated in Dispersed Embryonic Cells
(A) Comparison by RNase protection of the rate of accumulation of
mRNAs for the early genes Siamois, mix.l, Xlim-1, gsc, and Xbrs.
The constant content of the fibroblast growth factor receptor (FGF-R)
mRNA was used as a loading control. The fast development of the
embryos (stage 10 was obtained 7 hr after fertilization) was due to
incubation at 25°C. p.f., postfertilization.
(B) Comparison by RNase protection of the expression of Siamois and
Xbra in eggs and in dispersed (D) or whole ON) stage 10 animal caps.
Embryos cultured in calcium- and magnesium-free medium from fertilization
onward were dissociated from stage 6 to stage 10. The expression
of Xbra, Siamois, and the FGF-R gene was assayed. The two bottom
lines present a quantitation of the signals obtained. Sia, Siamois.
Figure 7. Siamois-Expressing Ventral-Vegetal Cells Induce an Ectopic
Spemann Organizer
Embryos were injected ventrally at the 4-cell stage with 1 ng of mRNA
coding for NLS-~-Gal either alone (A) or in combination with 50 pg of
Siamois mRNA (B and C). They were fixed at the tadpole (A and B)
or early gastrula (C) stages, stained for I~-Gal activity with X-Gal, and
cleared to reveal the position of the stained cells. The diffuse staining
throughout the endoderm is due to endogenous ~-Gal activity. The
specific NLS-~-Gal staining is nuclear. (A) shows that the progeny of
NLS-I~-Gal mRNA injected ventral-vegetal cells is found in the posterior
endoderm. (B) shows that the progeny of ventral-vegetal cells
injected with Siamois and NLS-I~-Gal mRNA is found in the anterior
endoderm. (D) Vegetal view of an early gastrula showing the primary
(1 o) and secondary (2 °) dorsal blastopore lips and the position of the
progeny of a ventral-vegetal blastomere injected with Siamois and
NLS-13-Gal (blue cells underneath the secondary dorsal lip).