Click here to close
Hello! We notice that you are using Internet Explorer, which is not supported by Xenbase and may cause the site to display incorrectly.
We suggest using a current version of Chrome,
FireFox, or Safari.
???displayArticle.abstract???
The tissue-specific transcription factors LFB1 (HNF1) and LFB3 (vHNF1) mainly expressed in liver, kidney and intestine are homeoproteins that interact with the regulatory element HP1. The HP1 sequence constitutes one of the most important cis-acting elements in liver-specifically expressed genes, while its function in other cell types containing LFB1 and LFB3 is not fully understood. In mammals, LFB1 activity is modulated by DCoH, a cofactor that stimulates the LFB1 transactivation significantly. Using the rat cDNA probe, we cloned the corresponding Xenopus sequence XDCoH, encoding a 104 amino acid protein, that is 85% identical to the rat protein. XDCoH enhances the LFB1-dependent transactivation potential in transfection experiments and interacts in vitro directly with LFB1 and its variant form LFB3. The protein is detectable in liver and kidney extracts of adult frogs and in small amounts also in lung and stomach, organs expressing LFB1 and/or LFB3 protein as well. To investigate the possible involvement of XDCoH in Xenopus development, we analyzed its temporal and spatial expression pattern during early embryogenesis. XDCoH is a maternal factor, although LFB1 is absent in the egg. In early cleavage stages, the protein is detectable in the cytoplasm of each blastomere and enters the nuclei of the cells as early as the zygotic transcription in the Xenopus embryo starts. The amount of XDCoH increases dramatically following neurulation, when the formation of liver, pronephros and other organs takes place. Whole-mount immunostaining demonstrates that, in the developing larvae, XDCoH is localized in the nuclei of the hepatocytes, the gut cells and the pronephric cells, tissues of mesodermal and endodermal origin known to contain LFB1 and LFB3. Surprisingly it is also present in the pigmented epithelium surrounding the eye of the embryo, which is derived from the anterior part of the ectodermal neural plates and lacks LFB1. The tissue distribution of XDCoH during embryogenesis suggests that XDCoH is involved in determination and differentiation of various unrelated cell types. It seems likely that XDCoH interaction is not only essential for the function of LFB1 and LFB3 but also for certain other transcription factors.
Fig. 7. Localization of XDCoH in the Xenopus embryo. Whole-mount staining of different development stages was performed using an affinity-purified polyclonal XDCoH specific antiserum as the rst antibody and an enzyme linked secondary antibody. (A) The upper 4-cell stage embryo is a control for antibody speciï¬ty and was incubated with the XDCoH-speciï¬c antiserum that was depleted using recombinant XDCoH protein. (B,C) A lateral and animal view of a 48-cell stage embryo (stage 6.5),
respectively. (D,E) Blastulae at stage 8 and 9, respectively, and (F) a gastrula (stage 11). (G,H) XDCoH-specific stained organs are the pronephros (p), eye vesicle (e), gut and liver (g, l) and the pigmented epithelium (pe).
Fig. 9. Whole-mount in situ hybridization of a stage 37/38 embryo using an antisense XDCoH RNA (upper embryo) or a sense XDCoH RNA (lower embryo) as the probe. The pronephros (p), the liver (l) and the gut (g) as well as the pigmented epithelium (pe) of the eye are specifically stained, whereas the hybridization with the sense probe reveals no signal.
Fig. 1. Comparison between the amino acid sequences of XDCoH
and rat DCoH. Amino acids that differ in the rat sequence from the
Xenopus sequence are indicated and conservative changes are
underlined.
Fig. 2. Stimulation of LFB1 transactivation by XDCoH and rat
DCoH. CAT assays were performed with extracts from Neuro2A
cells transfected with expression vectors encoding XLFB1, XDCoH
and rat DCoH as indicated. (HP1)3-TATA-CAT was used as the
reporter construct. The amount of transfected DNA was maintained
constant by the addition of Rc/CMV, the expression vector without a
cDNA insert. The CAT activity of each extract is indicated as the
percentage of acetylated chloramphenicol. Data of two independent
experiments are shown.
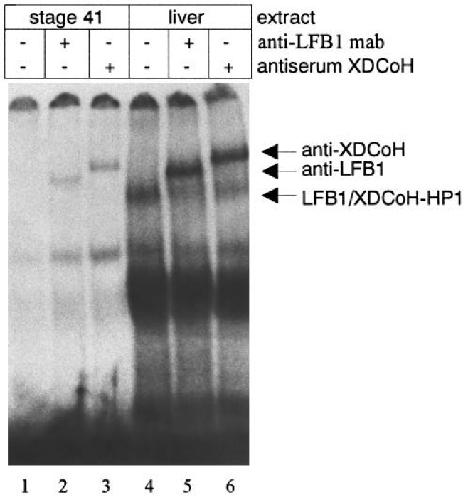
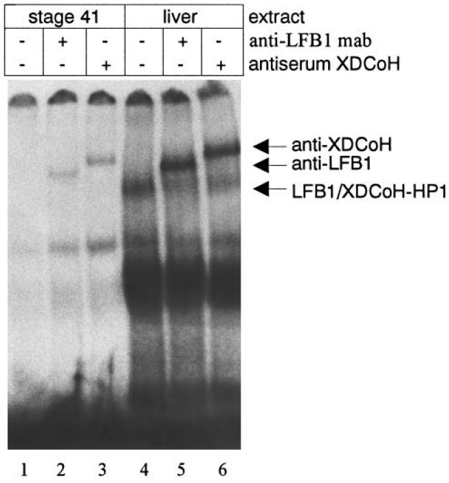
Fig. 3. Simultanous binding of LFB1 and DCoH to HP1 in extracts
of Xenopus embryos and of adult liver. Band shift assays were
performed using an oligonucleotide containing the LFB1 recognition
sequence HP1. Binding assays were done in the presence of the
monoclonal antibody XAD5 specific for LFB1 or the polyclonal
XDCoH-specific antiserum as indicated.
Fig. 4. Tissue-specific expression of XDCoH. Aliquots (20 ml) from
cleared extracts (20% w/v) of lung (Lu), heart (He), spleen (Sp),
kidney (Ki), liver (Li), stomach (St), small and thick intestine (In),
muscle (Mu), ovary (Ov), blood cells (Bl), testis (Te) and brain (Br)
were separated on a 15% SDS gel and the blot was incubated with a
XDCoH-specific antiserum as the primary antibody.
Fig. 5. Immuncytochemistry to
localize XDCoH in the adult
Xenopus liver. Cryostat sections
of adult liver were incubated
with XDCoH-specific
polyclonal antiserum as the first
antibody. (A,C)
Immunofluorescence pictures
showing XDCoH positive
hepatocytes. (B) Corresponding
phase contrast to A
demonstrating the localization
of blood cells (bc). Note also
the immunostaining of the
biliary duct (b). The bar
corresponds to 50 mm. Using
XDCoH-specific antiserum, that
was depleted by binding to
recombinant XDCoH protein,
gave no staining (data not
shown).
Fig. 6. Expression pattern of XDCoH during Xenopus development. Embryo extracts of different developmental stages (200 mg or 20 mg as
indicated) were analyzed by Western blotting using an affinity purified polyclonal XDCoH-specific antiserum as the first antibody. The
developmental stages examined were egg (e), 2-cell stage (2) and various stages up to the three days old larvae that were determined as
described by Nieuwkoop and Faber (1975). Stage 24 is a very early tail bud stage. The lanes to the right show the Western blot analysis from
extracts (50 mg each) of stage 41 larvae dissected into head (h), middle (m), and tail (t).
Fig. 7. Localization of XDCoH in the Xenopus embryo. Whole-mount staining of different development
stages was performed using an affinity-purified polyclonal XDCoH-specific antiserum as the first
antibody and an enzyme linked secondary antibody. (A) The upper 4-cell stage embryo is a control for
antibody specifity and was incubated with the XDCoH-specific antiserum that was depleted using
recombinant XDCoH protein. (B,C) A lateral and animal view of a 48-cell stage embryo (stage 6.5),
respectively. (D,E) Blastulae at stage 8 and 9, respectively, and (F) a gastrula (stage 11). (G,H) XDCoHspecific
stained organs are the pronephros (p), eye vesicle (e), gut and liver (g, l) and the pigmented
epithelium (pe).
Fig. 8. XDCoH is nuclear localized in tissues of a
stage 37/38 embryo. To perform a laser scanner
analysis the XDCoH-specific whole-mount staining
was performed using a flourescent secondary antibody.
(A-D) The celluar localization of XDCoH in the
tissues identified to express XDCoH in the larvae
(compare to Fig. 7H). XDCoH-specific staining is
detected in the nuclei of pronephric cells (p), the
hepatocytes (h), the gut cells (g) and in the pigmented
epithelium of the eye (pe). Staining of a larvae without
primary antibodies gave no signal.
Fig. 9. Whole-mount in situ hybridization of a stage 37/38 embryo
using an antisense XDCoH RNA (upper embryo) or a sense XDCoH
RNA (lower embryo) as the probe. The pronephros (p), the liver (l)
and the gut (g) as well as the pigmented epithelium (pe) of the eye
are specifically stained, whereas the hybridization with the sense
probe reveals no signal.