Click here to close
Hello! We notice that you are using Internet Explorer, which is not supported by Xenbase and may cause the site to display incorrectly.
We suggest using a current version of Chrome,
FireFox, or Safari.
???displayArticle.abstract???
SH-PTP2, the vertebrate homolog of Drosophila corkscrew, associates with several activated growth factor receptors, but its biological function is unknown. We assayed the effects of injection of wild-type and mutant SH-PTP2 RNAs on Xenopus embryogenesis. An internal phosphatase domain deletion (delta P) acts as a dominant negative mutant, causing severe posterior truncations. This phenotype is rescued by SH-PTP2, but not by the closely related SH-PTP1. In ectodermal explants, delta P blocks fibroblast growth factor (FGF)- and activin-mediated induction of mesoderm and FGF-induced mitogen-activated protein (MAP) kinase activation. Our results indicate that SH-PTP2 is required for early vertebrate development, acting as a positive component in FGF signaling downstream of the FGF receptor and upstream of MAP kinase.
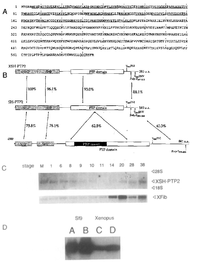
Figure 1. Molecular Cloning and Expression of XSH-PTP2
(A) Deduced amino acid sequence for XSH-PTP2. SH2 domains are
indicated by solid lines and the PTP domain by italics.
(13) Comparison of the structure of XSH-PTP2 to HSH-PTP2 and csw,
indicating a high degree of conservation. Percent identities are indicated.
XSH-PTP2 and HSH-PTP2 lack an insert in the phosphatase
domain. Two potential tyrosine phosphorylation sites are conserved
from XSH-PTP2 to HSH-PTP2; one is also found in csw. All three
homologs retain a proline-rich sequence within their C-termini.
(C) Northern blot of SH-PTP2 expression in early Xenopus development.
Numbers across the top indicate developmental stage. XSHPTP2
is expressed as an approximately 3 kb transcript, present in
oocytes (M) and fertilized eggs (stage 1) through tadpole (stage 38).
The blot was reprobed with Xenopus fibronectin to control for RNA
integrity. Fibronectin RNA levels increase in the later stages of normal
embryogenesis. The apparent decrease in XSH-PTP2 RNA expression
in mid-embryonic stages is not observed reproducibly.
(D) Maternal expression of XSH-PTP2 protein. Recombinant HSHPTP2
(50 and 100 ng) in total cell lysates from baculovirus-infected
Sf9 cells (lanes A and B, respectively) and soluble protein from the
equivalent of one-half (1/2) or one oocyte (lanes C and D, respectively)
were detected by immunoblotting with anti-PTPID/SH-PTP2 monoclonal
antibody.
Figure 2. Microinjection Constructs
Shown are schematics of human and Xenopus SH-PTP1 and SH-PTP2
including the N- (SH2-N) and C-terminal (SH2-C) SH2 domains, the
PTP domain, and the C-terminal tail. HSH-PTP2 mutant constructs
are also depicted including the PTP-inactive construct (AP), containing
a 31 amino acid deletion in the critical catalytic core, and three
C-terminal tyrosine to phenylalanine point mutants, consisting of two
single point mutations (Y542F, Y580F) and the double point mutant
(Y542,580F).
Figure 3. AP RNA Injection Results in Embryos with Severe Tail Truncations
Four- to eight-cell embryos were injected in the dorsal marginal zone
with wild-type XSH-PTP2 or AP RNA and allowed to developâ¢
(A-D) Morphology of injected embryos. Embryos were scored for developmental
abnormalities at stage 18 (A and B) and stage 44 (C and
D): embryos injected with XSH-PTP2 RNA (A and C); embryos injected
with AP RNA (B and D). The phenotype of AP-injected embryos at
stage 18 reflects failure of blastopore closure at the end of gastrulation.
At stage 44, the extreme tail truncation of AP-injected embryos is
evidentâ¢
(E and F) Histological analysis. A transverse section at the back of
the head of a normal, XSH-PTP2 RNA-injected tadpole is shown in
(E). Brain (b), somites (s), and notochord (nc) are indicated. The scale
bar in (E) represents 100 I~m, For comparison, in a more posterior
section, a AP RNA-injected embryo is shown (F). Split notochord and
neural tube (nt) are evident; somites are not duplicatedâ¢
(G) Dose response of AP RNA injection. Increasing amounts of AP
RNA were injected into 4- to 8-cell embryos, which were allowed to
develop to stage 18 and scored for tail truncation.
(H) Inhibition of Xbra expression by injection of AP RNA. Northern
blot of RNA from stage 11 embryos, injected in the marginal zone of
all four blastomeres at the 4-cell stage with water control (C), SH-PTP2
PTP domain mutant RNA (AP), wild-type XSH-PTP2 RNA (WT), dominant
negative FGFR RNA (FRD), or wild-type FGFR RNA (FR), andprobed with the indicated early mesodermal markers. Injection of either
AP or FRD inhibits Xbra expression. The same blot rehybridized
with a fibronectin probe (FN) serves as a control for RNA loading and
integrity.
Figure 4. AP-Injected Embryos Are Rescued By Coinjection of Wild-
Type XSH-PTP2
(A-C) Embryos were injected at the 4- to 8-cell stage with the indicated
RNAs. (A) Embryos injected with wild-type XSH-PTP2. (B) Embryos
coinjected with AP and wild-type XSH-PTP1 (5 ng AP:2.5 ng XSHPTP1);
all of the embryos shown display the mutant phenotype. (C)
Coinjection of AP with wild-type XSH-PTP2 RNA (5 ng AP:2.5 ng XSHPTP2)
rescues almost all the embryos; in the top left corner is an
embryo that was not rescued.
(D) Immunoblot analysis of injected embryos. Embryos coinjected with
AP RNA and wild-type HSH-PTP1 RNA (5 ng AP:2.5 ng HSH-PTP1)
were harvested at stage 11 for protein analysis. (Left panel) Anti-
SH-PTP1 immunoblot: no HSH-PTP1 is detectable in the uninjected
lane (1), but full-length HSH-PTP1 is found in the coinjected lane (2).
This blot was reprobed with anti-PTP1D/SH-PTP2 monoclonal antibody
(right panel). AP protein is detected in the coinjected lane (2).
Cross-reaction of this antibody with XSH-PTP2 (upper band seen in
both lanes 1 and 2, right panel) acts as a control for protein loading
and shows the relative levels of AP and endogenous XSH-PTP2.
Figure 5. AP Injection Blocks FGF-Mediated Elongation of Animal
Caps
One- to two-cell embryos were injected with AP RNA, then allowed
to develop to stage 8. Animal caps were treated for 3 hr with 100
ng/ml bFGF or 5 ng/ml human recombinant activin A. (a) Untreated
controls; (b) uninjected animal caps treated with bFGF; (c) animal caps
from embryos injected with AP FIN& treated with bFGF; (d) animal
caps from embryos injected with wild-type XSH-PTP2 RNA, treated
with bFGF; (e) untreated controls; (f) uninjected animal caps treated
with activin; (g) animal caps from embryos injected with AP RNA,
treated with activin; (h) animal caps from embryos injected with wildtype
XSH-PTP2 RNA, treated with activin.
Figure 6. AP Inhibits Expression of Early and Late Mesodermal Markers
in Animal Caps
(A) Inhibition of Xbra expression. One- to two-cell embryos were injected
with AP or wild-type XSH-PTP2 RNA, then allowed to develop
to stage 8. Animal caps were either left untreated (minus) or treated
for 3 hr with 100 ng/ml bFGF (~olus F) or 5 ng/ml activin A (plus A),
and RNA was prepared at stage 11. The resulting Northern blot was
probed with the early marker Xbra and fibronectin (FN). Expression
of these markers in total embryos (TE) is also shown. Injection of Ap
RNA inhibits Xbra expression, whereas injection of wild-type XSHPTP2
(WT) has no effect. Xbra expression is not detected in ~Pinjected
embryos even upon longer exposure of the blot.
(B) Inhibition of muscle actin expression. One- to two-cell embryos
were injected with AP or wild-type XSH-PTP2 RNA, and animal caps,
prepared at stage 8 as in (A), were either left untreated (minus) or
treated for 3 hr with 100 ng/ml bFGF or 5 ng/ml activin A, as indicated.
RNA prepared at stage 11 was used for Northern analysis with an actin
probe. In both the uninjected and XSH-PTP2 RNA-injected lanes,
induction of muscle-specific actin (arrow) is evident upon bFGF treatment.
Ap injection blocks muscle actin induction. An analogous result
is seen for activin-induced muscle actin expression. The actin probe
cross-hybridizes with cytoplasmic actin (the two upper bands seen in
both blots), which is not induced by either bFGF or activin A treatment,
thus providing a control for RNA loading.
Figure 7. Ap RNA Injection Blocks MAPK Activation by FGF
One- to two-cell embryos were injected in the animal pole with Ap
RNA and allowed to develop to stage 8. Animal caps were dissociated
in calcium-free, magnesium-free, normal amphibian media (see Experimental
Procedures), treated with 100 nglml bFGF for 5 min, and pelleted
and frozen for protein analysis. Total lysates from these cells
were separated by SDS-PAGE and transferred to Immobilon. The
blot was probed with anti-Xenopus MAPK rabbit polyclonal antibodies
followed by anti-rabbit-horseradish peroxidase secondary antibodies
and development by ECL. Duplicate experiments are shown. The decrease
in electrophoretic mobility denotes MAPK activation. MAPK
activation is blocked in animal cap cells from AP-injected embryos.