Click here to close Hello! We notice that you are using Internet Explorer, which is not supported by Xenbase and may cause the site to display incorrectly. We suggest using a current version of Chrome, FireFox, or Safari.
XB-ART-2079
BMC Genomics 2005 Apr 01;6:48. doi: 10.1186/1471-2164-6-48.
Show Gene links Show Anatomy links

Identification and characterization of a novel mammalian Mg2+ transporter with channel-like properties.

Goytain A, Quamme GA.


???displayArticle.abstract???
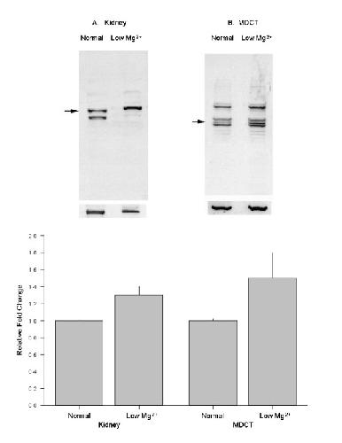
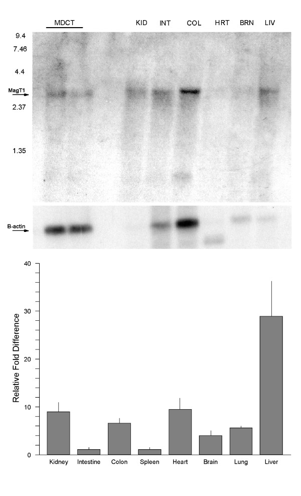
Intracellular magnesium is abundant, highly regulated and plays an important role in biochemical functions. Despite the extensive evidence for unique mammalian Mg2+ transporters, few proteins have been biochemically identified to date that fulfill this role. We have shown that epithelial magnesium conservation is controlled, in part, by differential gene expression leading to regulation of Mg2+ transport. We used this knowledge to identify a novel gene that is regulated by magnesium. Oligonucleotide microarray analysis was used to identify a novel human gene that encodes a protein involved with Mg2+-evoked transport. We have designated this magnesium transporter (MagT1) protein. MagT1 is a novel protein with no amino acid sequence identity to other known transporters. The corresponding cDNA comprises an open reading frame of 1005 base pairs encoding a protein of 335 amino acids. It possesses five putative transmembrane (TM) regions with a cleavage site, a N-glycosylation site, and a number of phosphorylation sites. Based on Northern analysis of mouse tissues, a 2.4 kilobase transcript is present in many tissues. When expressed in Xenopus laevis oocytes, MagT1 mediates saturable Mg2+ uptake with a Michaelis constant of 0.23 mM. Transport of Mg2+ by MagT1 is rheogenic, voltage-dependent, does not display any time-dependent inactivation. Transport is very specific to Mg2+ as other divalent cations did not evoke currents. Large external concentrations of some cations inhibited Mg2+ transport (Ni2+, Zn2+, Mn2+) in MagT1-expressing oocytes. Ca2+and Fe2+ were without effect. Real-time reverse transcription polymerase chain reaction and Western blot analysis using a specific antibody demonstrated that MagT1 mRNA and protein is increased by about 2.1-fold and 32%, respectively, in kidney epithelial cells cultured in low magnesium media relative to normal media and in kidney cortex of mice maintained on low magnesium diets compared to those animals consuming normal diets. Accordingly, it is apparent that an increase in mRNA levels is translated into higher protein expression. These studies suggest that MagT1 may provide a selective and regulated pathway for Mg2+ transport in epithelial cells.

???displayArticle.pubmedLink??? 15804357
???displayArticle.pmcLink??? PMC1129089
???displayArticle.link??? BMC Genomics


Species referenced: Xenopus laevis
Genes referenced: actl6a magt1 tusc3


???attribute.lit??? ???displayArticles.show???
References [+] :
Bui, The bacterial magnesium transporter CorA can functionally substitute for its putative homologue Mrs2p in the yeast inner mitochondrial membrane. 1999, Pubmed