Click here to close
Hello! We notice that you are using Internet Explorer, which is not supported by Xenbase and may cause the site to display incorrectly.
We suggest using a current version of Chrome,
FireFox, or Safari.
???displayArticle.abstract???
Epithelial-mesenchymal interactions are of major importance during development to direct correct differentiation and morphogenesis of embryonic tissues. One subset of lateralmesoderm-derived mesenchymal cells will form the smooth muscle (SM) layer of the primary epithelial lining of hollow internal organs. It has been previously reported that the differentiation of SM cells in Xenopus laevis can be followed by the expression of alpha-SM actin. It was also shown that basic fibroblast growth factor (bFGF) had the ability to induce this actin isoform in isolated blastula animal caps. In this paper, by injection at the two-cell stage of mRNA encoding a truncated form of the FGF receptor which can act as a dominant negative inhibitor, we have analyzed the role of the FGF signaling pathway in the formation of the SM lineage. We have observed that mutated embryos presented significant delay in the differentiation of the SM cells compared to control embryos, demonstrating the importance of this signaling pathway for the formation of the lateralmesoderm-derived SM cells. Moreover, a correlation could be established between this delay and the dramatic defects observed in the morphogenesis of the intestine with which mesenchyme-derived SM cells are normally associated. This phenotype was efficiently rescued by coinjection of the wild-type FGF receptor. Our data suggest that the differentiation of SM cells at the correct time could be an essential event for the proper morphogenesis of the endoderm-derived digestive tract.
FIG. 1. Profile of in vitro transcribed mRNAs from the wild-type and
the truncated FGF-receptor constructs. In vitro transcribed capped
mRNAs were resolved on a denaturing agarose gel. Lane 1, RNA ladder;
lane 2, mRNA corresponding to the full-length Xenopus FGF receptor;
lane 3, mRNA corresponding to the mutated XED receptor.
FIG. 2. Macroscopic analysis of the phenotype displayed by embryos injected with a truncated form of the FGF receptor. (A) At stage 20,
mutated embryos presented the characteristics of the phenotype previously reported (Amaya et aL, 1991), neurulae displaying an open blastopore
that end dorsally behind the head (arrows). (B) Control stage 20 embryos. (C) At stage 47, in comparison with a control embryo (top),
mutated embryos (bottom) presented a dramatic reduction of the posterior structures, with a rudiment of tail bent anteriorly, whereas head
structures appeared to be normal. (D) A high magnification of the ventral side of mutated (E) and control (F) stage 47 embryos indicates that
mutated embryos presented a hypertrophic heart (arrow) and a digestive tract which did not display the spiral shape characteristic at this
stage of development. Vessels (arrowhead) and blood cells appear to be formed.
FIG. 3. Rescue of the mutated phenotype by eoinjeetion of the wildtype
FGF receptor. (A) Stage 22 embryo injected with a mix of fulllength
and XFD mRNAs present a normal phenotype (top). Mutated
embryo at the same stage injected with XFD mRNA, displaying the
mutated phenotype with an open blastopore dorsally (bottom). (B)
Stage 45 embryo injected with a mix of full-length and XFD mRNAs
present a normal phenotype, whereas (C) an embryo at an equivalent
stage presents severely truncated posterior structures after injection
of XFD mRNA. Scale bar in A, 0.8 mm; scale bar in B and C, 1.4 mm.
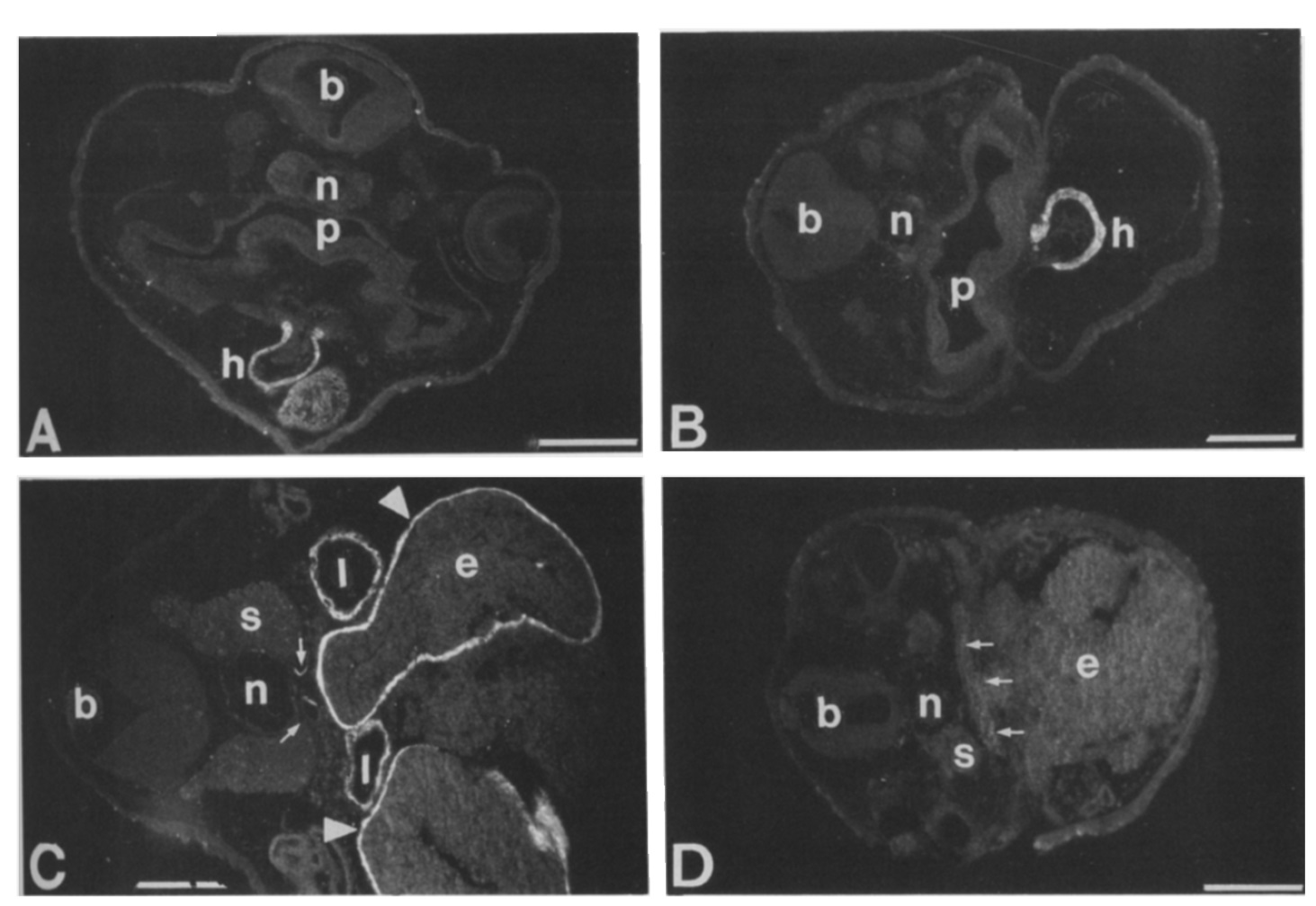
FIG. 4. a-SM actin expression on transversal sections of control and mutated Xenopus embryos at stage 42. In control embryos, a-SM actin
can be detected in the heart, lungs, and aorta (arrows) (A) and at the level of the presumptive intestine in a layer of cells that surrounds the
undifferentiated endodermal mass (arrowheads) (C). In mutated embryos, a-SM aetin has been detected only in the heart (B), whereas the
periphery of the undifferentiated endodermal mass, aorta, and the lung anlage (arrows) (D) remain devoid of any staining, b, brain; p, pharynx;
s, somite; n, notochord, 1, lung; h, heart; e, undifferentiated endodermal mass. Scale bar in A, B, and D, 0.3 mm; scale bar in C, 0.6 mm.
FIG. 5. c~-SM actin expression on transversal sections of control and mutated Xenopus embryos at stage 47. In control embryos, a-SM actin
expression covers each loop of the intestine (arrowheads); the SM cells of the lungs and the aorta are also stained (A, D); heart is negative (F).
Mutated embryos present an expression of a-SM actin in the outer layer of the incompletely differentiated intestine (arrowheads), the lumen of
which is still full of yolk (B, C, E); the SM cells of lungs and the aorta are also expressed a-SM actin (E); heart is negative (G). a, aorta; h, heart;
b, brain; n, notochord; 1, lung. Scale bar in A, B, C, F, and G, 0.3 mm; scale bar in D and E, 0.6 ram.