Click here to close Hello! We notice that you are using Internet Explorer, which is not supported by Xenbase and may cause the site to display incorrectly. We suggest using a current version of Chrome, FireFox, or Safari.
XB-ART-2157
Genes Cells 2005 Apr 01;104:345-56. doi: 10.1111/j.1365-2443.2005.00838.x.
Show Gene links Show Anatomy links

Generation of an antibody specific to Xenopus fertilized eggs by subtractive immunization.

Sakakibara K, Sato K, Iwasaki T, Kitamura K, Fukami Y.


???displayArticle.abstract???
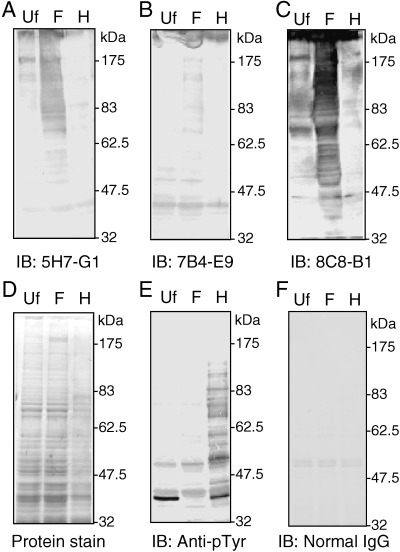
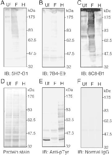
Here we report the generation and characterization of a monoclonal antibody, mAb 5H7-G1, which recognizes egg antigens in the animal cortex of fertilized, but not unfertilized, Xenopus eggs. The mAb 5H7-G1 was generated by subtractive immunization of mice: primary immunization with unfertilized egg extract followed by immunosuppression treatment with cyclophosphamide and repeated immunization with fertilized egg extract. In immunoblotting analysis, mAb 5H7-G1 recognizes multiple protein bands of fertilized (but not unfertilized or the ionophore-activated) Xenopus eggs. N-linked polysaccharide is most likely the target of mAb 5H7-G1 because immunoreactivity of mAb 5H7-G1 is effectively diminished when protein samples are treated with N-glycosidase F. Moreover, mAb 5H7-G1 recognizes some, but not all, tyrosine-phosphorylated proteins in eggs treated with H2O2, an artificial activator of the egg tyrosine kinase Src, suggesting that these proteins also contain N-linked sugars. When microinjected into fertilized Xenopus embryos, mAb 5H7-G1 causes a retardation or complete inhibition of first cell cleavage, suggesting that the mAb 5H7-G1-reactive antigens play an important role in this event. These results demonstrate that mAb 5H7-G1 is useful to analyze differential proteome display during fertilization and early development. More generally, subtractive immunization may work as a strategy to uncover cellular events that operate during different cellular conditions of interest.

???displayArticle.pubmedLink??? 15773897
???displayArticle.link??? Genes Cells


Species referenced: Xenopus laevis
Genes referenced: mbp
GO keywords: fertilization [+]
???displayArticle.antibodies??? Fertilized Egg Ab1


???attribute.lit??? ???displayArticles.show???