|
Fig. 1. Schematic representation of Xl-fli gene exon-intron structure. The exons are represented as boxes, with solid outlines when they are precisely identified, dotted lines when no information
or only partial information is available. The coding sequence is hatched and the ETS-domain is doubly hatched. The numbers at the corners of boxes refer to the nucleotidc positions in the
eDNA. The amino acids limiting the exons are indicated under the boxes. The genomic sequence corresponding to nucleotides 331 to 837 (residues E78 to G246 of the protein) contains = 1.2 kb
of intronic sequence(s), the position(s) of which is not yet established. The length of the intron just in front of the first 'miniexon' is unknown but is probably large, as no PCR amplification could
be made to work across that intron. |
|
Fig. 2. Nucleotide sequence of the 4.4 kb Xl-fli cDNA. The initiation (nucleotide 100) and stop codons (nucleotide 1459) are in italics. The
nuclear polyadenylation signals are in bold type. The putative cytoplasmic polyadenylation elements are boxed. The ATTTA mRNA
destabilization motifs are shadowed and the AT rich regions which may lead to mRNA instability are underlined. The complete nucleotide
sequence of the Xl-fli cDNA has been submitted to the EMBL data library under the accession number X66979. |
|
Fig. 3. Sequence homologies in the 5' and Y-UTR regions of the cDNA. (A) Comparison of the 5'-UTR sequences of Xenopus, murine
(Ben-David et al., 1991) and human (Watson et al., 1992) cDNAs: conserved nucleotides are in bold type. (B) Homology between the 3'-UTR
region of the Xl-fli cDNA and sequences encountered in Eg mRNAs (Duval et al., 1990), which may be associated with the rapid degradation of
the mRNA after the mid-blastula transition: conserved nucleotides are in bold type. |
|
Fig. 4. Comparison of the amino acid sequences of the Xenopus, mouse (Ben-David et al., 1991) and human (Watson et al., 1992) Fli proteins.
The XI-FIi polypeptide is used as a reference; only the divergent amino acids are indicated in the two other sequences. Shadowed boxes indicate
gaps introduced to optimize the alignment. The ETS-domain is boxed. The conserved tryptophan residues are in italics. |
|
Fig. 5. Comparison of the peptide sequences in the vicinity of the ETS-domain, for the ets-1, ets-2, erg and fli genes. The ETS-domain is limited
by the two vertical lines. The Xl-fli sequence is boxed. Sequences were obtained from the following papers: 1: Watson et al. (1988); 2:
Duterque-Coquillaud et al. (1988); 3: Gunther et al. (1990); 4: Stiegler et al. (1990); 5: Boulukos et al. (1988); 6: Wolff et a1.(1991); 7: Rao et al.
(1987); 8: this paper; 9: Ben-David et al. (1991); 10: Watson et al. (1992). |
|
Fig. 6. Northern blot analysis of Xl-fli expression during embryogenesis. (A) Northern blot analysis of Xl-fli expression during embryogenesis,
with 5/zg of poly(A) + RNA per lane. (B) Control experiment in which the nitrocellulose membrane of panel A was rehybridized with an ets-2
probe. The figures at the right side of panels A and B indicate the lengths of RNA standards in kb. |
|
Fig. 7. In situ hybridization experiments to a stage 38 embryo parasagittal section. (A) Bright-field illumination of a stage 38 embryo.
Hybridization was performed with a fli antisense probe; br: brain; ch: chord; ey: eye cup; h: heart; ph: pharynx; sc: spinal chord; st: stomodeum;
vc: ventricular cavity; y: yolk. 1, 2, 3 and 4 show the branchial buds region, where a marked hybridization is observed. (B) Dark-field
photomicrograph of panel A using polarized epi-illumination. The silver crystals appear as bright spots. (solid arrow-heads): discrete islets of
strongly hybridizing cells in the head region; (small open arrows): triangular dorsal hybridizing area, revealing a metamerized Xl-fli expression;
(larger open arrow): apparent 'intersomitic penetration' of Xl-fli transcripts; (curved arrows): faint but apparently significant expression of Xl-fli
in the ventral region of the tail. Note the faint general subcutaneous hybridization underlining the overall shape of the embryo, Bar equaJs 0,2
mm. (C) Section parallel to section of panel A; hybridization with a sense probe; no significant signal can be detected above background. |
|
Fig. 8. In situ hybridization experiment to the head region of a stage 38 embryo parasagittal section (dorsal on top). (A) Bright-field
photomicrograph of the head region, in a section parallel to section of Fig. 8A, but closer to the side of the embryo; the section was hybridized
with an antisense probe; ey: eye; le: lens. (B) Dark-field polarized epi-illumination. Arrow identifies hybridization at the level of the future lens. |
|
Fig. 9. In situ hybridization to a stage 32 embryo transverse section (dorsal on top). (A) Transverse-section of a stage 32 embryo, at the level of
the otic cup, hybridized with an antisense Xl-fli transcript; bright field picture; ev: ear vesicle; nc: notochord; rh: rhombencephalon; rv:
rhombencephalic ventricle; so: somite. (B) Dark-field polarized epi-illumination; hybridization of the Xl-fli antisense probe is observed as a
necklace-shaped signal (arrowheads), under the rhombencephalon; distinct hybridization signals are observed on both sides of the pharyngeal
region; resolution of the signal in several areas (open arrows) suggests a plane of section crossing the branchial buds at an angle. Note the
subcutaneous signal in the ventral region. Sections hybridized with a sense probe failed to show any signal above background (not shown), as in
the case of the parasagittal section of Fig. 7C. |
|
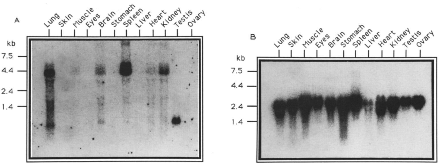
Fig. 10. Northern blot analysis of Xl-fli expression in adult organs. (A) Autoradiography of the nitrocellulose membrane; figures at the left side of
the picture indicate the lengths of RNA standards in kb. (B) Control hybridization of the same blot with a probe specific for actin transcripts. |