Click here to close
Hello! We notice that you are using Internet Explorer, which is not supported by Xenbase and may cause the site to display incorrectly.
We suggest using a current version of Chrome,
FireFox, or Safari.
Membrane-associated lamins in Xenopus egg extracts: identification of two vesicle populations.
Lourim D, Krohne G.
???displayArticle.abstract???
Nuclear lamin isoforms of vertebrates can be divided into two major classes. The B-type lamins are membrane associated throughout the cell cycle, whereas A-type lamins are recovered from mitotic cell homogenates in membrane-free fractions. A feature of oogenesis in birds and mammals is the nearly exclusive presence of B-type lamins in oocyte nuclear envelopes. In contrast, oocytes and early cleavage embryos of the amphibian Xenopus laevis are believed to contain a single lamin isoform, lamin LIII, which after nuclear envelope breakdown during meiotic maturation is reported to be completely soluble. Consequently, we have reexamined the lamin complement of Xenopus oocyte nuclear envelopes, egg extracts, and early embryos. An mAb (X223) specific for the homologous B-type lamins B2 of mouse and LII of Xenopus somatic cells (Höger, T., K. Zatloukal, I. Waizenegger, and G. Krohne. 1990. Chromosoma. 99:379-390) recognized a Xenopus oocyte nuclear envelope protein biochemically distinct from lamin LIII and very similar or identical to somatic cell lamin LII. Oocyte lamin LII was detectable in nuclear envelopes of early cleavage embryos. Immunoblotting of fractionated egg extracts revealed that approximately 20-23% of lamin LII and 5-7% of lamin LIII were membrane associated. EM immunolocalization demonstrated that membrane-bound lamins LII and LIII are associated with separate vesicle populations. These findings are relevant to the interpretation of nuclear reconstitution experiments using Xenopus egg extracts.
Figure I. Identification of Xenopus lamin Ln in oocyte nuclear
envelopes. Nuclear envelopes from 50 oocytes (A-D), or follicle
ceils derived from 25 oocytes (E) were salt washed and proteins
electrophoretically separated by two-dimensional gel electrophoresis
(first dimension, NEPHGE; second dimension, SDS-PAGE).
Proteins were transferred to nitrocellulose filters and stained with
Ponceau S to determine the position of the coelectrophoresed
marker proteins actin, BSA, and PGK. The filters were probed with
the antilamin Lm antibody 46F7 (A), the antilamin LII antibody
X223 (B and E), or the antilamin Ln/Lm antibody X155 (D). The
filter shown in A was reprobed with the antilamin LII antibody
X223 (C). Arrowheads (A-C and F) mark the position of the quantitatively
major isoelectric variant of oocyte lamin Ln. Brackets
(D), indicate the isoelectric variants of L~ and Lm recognized by
the antibody X155.
Figure 2. Immunolocalization of lamin La in ovary. Indirect immunofluorescence microscopy on Xenopus ovary sections after incubation
with antilamin Lm antibody 46F7 (A) or antilamin Lu antibody X223 (B). Chromatin staining (A~ B') by HOECHST. Bar, 50um.
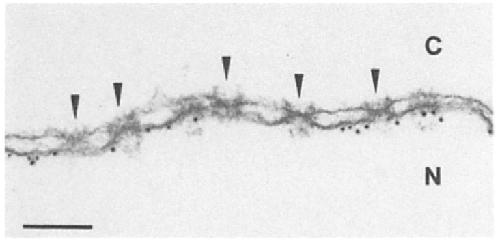
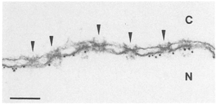
Figure 3. EM immunolocalization of lamin L~ to the oocyte nuclear
lamina. Isolated oocyte nuclear envelopes were incubated
with antilamin LI~ antibody X223 followed by secondary antibodies
conjugated to 10-nm colloidal gold. Gold particles are observed
exclusively on the nucleoplasmic (N) side of the envelope. Nuclear
pore complexes are marked by arrowheads. C, cytoplasmic side.
Bar, 0.2 um.
Figure 4. Immunolocalization of lamins in two-cell-stage embryos by indirect immunofluorescence microscopy. Squashed preparations
of in vitro fertilized embryos halted in interphase at the two-cell stage by cycloheximide were incubated with antilamin Lm antibody 46F7
(A) or antilamin LI~ antibody X223 (B), followed by Texas red-conjugated secondary antibodies. Chromatin staining (.4' and B') by
HOECHST. Bar, 50um.
Figure 5. EM analysis of egg extract fractionated by ultracentrifugation.
Representative examples of materials found in the S~oo Sup.
(A), $2oo Cytosol (B), and $2oo Pellet (C) are shown. Bar, 0.2 um.
Figure 6. Distribution of nuclear envelope proteins in egg extract
fractionated by ultracentrifugation. Proteins from the $1o0 Sup.
(lane 1 ), serial dilutions of $2oo Cytosol (lanes 2-5), and $20o Pellet
(lanes 6-8) were separated by 11% SDS-PAGE. Proteins were
transferred to nitrocellulose filters then probed with anti-gp62 antiserum
(A), anti-p54 antiserum (B), antilamin L./L,I antibody
X155 (C), and antilamin Lm antibody 46F7 (D). Units refers to
the relative amount of St0o Sup. (1.0 U equals 2.4 #1 of Si0o Sup.,
lane 1) contained in the $20o Cytosol (lanes 2-5) and $20o Pellet
(lanes 6-8) aliquots used for gel separation.
Figure 7. Immunoabsorption of vesicles to magnetic beads coated
with antilamin antibodies. EM analysis of vesicles from S~0o Sup.
immunoabsorbed to magnetic beads coated with control goat
anti-mouse antibody (A), antilamin L~I antibody X223 (B), or antilamin
Lm antibody 46F7 (C; D, higher magnification image of
46F7-absorbed vesicles). Bars, 0.2 #m (A-C); 0.1 #m (D).
Figure 8. Immunological
analysis of lamins absorbed
to antibody-coated magnetic
beads. An aliquot of S~0o
Sup.- (lane 1 ) and proteins absorbed
to control (lane 2)-, antilamin
Lm antibody 46F7
(lane 3)-, and antilamin Ln
antibody X223 (lane 4)-
coated magnetic beads were
solubilized, separated by 8 %
SDS-PAGE, then transferred
to nitrocellulose filters for
probing with the antilamin
LII/Lm antibody X155. Arrowheads
indicate the migration
position of the antibody
heavy chains (HC) and lamins
Lm and Ln are noted on the
right of the panel.
Figure 9. EM immunolocalization of lamins Ln and Lm on membranes present in the $200 Pellet. Membranes were immobilized onto glass
coverslips and incubated with the antibodies X223 (A-E) or 46F7 (F-L). Bound antibodies were visualized with secondary antibodies conjugated
to 12-nm colloidal gold. Overviews A (X223) and F (46F7) are shown at identical magnifications. Arrows in the overviews (A
and F) designate vesicles labeled with gold particles. Higher magnification images of antibody X223-1abeled vesicles (B-E) and 46FTlabeled
vesicles (G-L) are also presented. Bars, 0.2 #m (A and F); 0.1 #m (B-E and G--L).
Bailer,
Characterization of A 54-kD protein of the inner nuclear membrane: evidence for cell cycle-dependent interaction with the nuclear lamina.
1991, Pubmed
Bailer,
Characterization of A 54-kD protein of the inner nuclear membrane: evidence for cell cycle-dependent interaction with the nuclear lamina.
1991,
Pubmed Beams,
Effects of ultracentrifugation on the interphase nucleus of somatic cells with special reference to the nuclear envelope-chromatin relationship.
1970,
Pubmed Beck,
Isoprenylation is required for the processing of the lamin A precursor.
1990,
Pubmed Benavente,
Cell type-specific expression of nuclear lamina proteins during development of Xenopus laevis.
1985,
Pubmed
,
Xenbase Benavente,
Involvement of nuclear lamins in postmitotic reorganization of chromatin as demonstrated by microinjection of lamin antibodies.
1986,
Pubmed Burke,
A cell free system to study reassembly of the nuclear envelope at the end of mitosis.
1986,
Pubmed Cordes,
Nuclear pore complex glycoprotein p62 of Xenopus laevis and mouse: cDNA cloning and identification of its glycosylated region.
1991,
Pubmed
,
Xenbase Dabauvalle,
Identification of a soluble precursor complex essential for nuclear pore assembly in vitro.
1990,
Pubmed
,
Xenbase Dabauvalle,
Assembly of nuclear pore complexes in Xenopus egg extract.
1991,
Pubmed
,
Xenbase Dabauvalle,
Spontaneous assembly of pore complex-containing membranes ("annulate lamellae") in Xenopus egg extract in the absence of chromatin.
1991,
Pubmed
,
Xenbase Döring,
Gene structure of nuclear lamin LIII of Xenopus laevis; a model for the evolution of IF proteins from a lamin-like ancestor.
1990,
Pubmed
,
Xenbase Furukawa,
cDNA cloning of a germ cell specific lamin B3 from mouse spermatocytes and analysis of its function by ectopic expression in somatic cells.
1993,
Pubmed Gerace,
The nuclear envelope lamina is reversibly depolymerized during mitosis.
1980,
Pubmed Gieffers,
In vitro reconstitution of recombinant lamin A and a lamin A mutant lacking the carboxy-terminal tail.
1991,
Pubmed
,
Xenbase Glass,
Lamins A and C bind and assemble at the surface of mitotic chromosomes.
1990,
Pubmed Höger,
Characterization of a second highly conserved B-type lamin present in cells previously thought to contain only a single B-type lamin.
1990,
Pubmed
,
Xenbase Höger,
Immunolocalization of lamins in the thick nuclear lamina of human synovial cells.
1991,
Pubmed Hutchison,
The control of DNA replication in a cell-free extract that recapitulates a basic cell cycle in vitro.
1988,
Pubmed
,
Xenbase Krohne,
Nuclear lamin LI of Xenopus laevis: cDNA cloning, amino acid sequence and binding specificity of a member of the lamin B subfamily.
1987,
Pubmed
,
Xenbase Krohne,
A monoclonal antibody against nuclear lamina proteins reveals cell type-specificity in Xenopus laevis.
1984,
Pubmed
,
Xenbase Krohne,
The nuclear lamins. A multigene family of proteins in evolution and differentiation.
1986,
Pubmed
,
Xenbase Kyhse-Andersen,
Electroblotting of multiple gels: a simple apparatus without buffer tank for rapid transfer of proteins from polyacrylamide to nitrocellulose.
1984,
Pubmed Laemmli,
Cleavage of structural proteins during the assembly of the head of bacteriophage T4.
1970,
Pubmed Laskey,
Assembly of the cell nucleus.
1990,
Pubmed Lebel,
Lamins A and C appear during retinoic acid-induced differentiation of mouse embryonal carcinoma cells.
1987,
Pubmed Lebkowski,
Non-histone proteins and long-range organization of HeLa interphase DNA.
1982,
Pubmed Lehner,
Differential expression of nuclear lamin proteins during chicken development.
1987,
Pubmed
,
Xenbase Lourim,
Expression of nuclear lamin A and muscle-specific proteins in differentiating muscle cells in ovo and in vitro.
1989,
Pubmed Lourim,
Expression of wild-type and nuclear localization-deficient human lamin A in chick myogenic cells.
1992,
Pubmed Ludérus,
Binding of matrix attachment regions to lamin B1.
1992,
Pubmed McKeon,
Homologies in both primary and secondary structure between nuclear envelope and intermediate filament proteins.
,
Pubmed Meier,
The role of lamin LIII in nuclear assembly and DNA replication, in cell-free extracts of Xenopus eggs.
1991,
Pubmed
,
Xenbase Newport,
Characterization of the membrane binding and fusion events during nuclear envelope assembly using purified components.
1992,
Pubmed
,
Xenbase Newport,
A lamin-independent pathway for nuclear envelope assembly.
1990,
Pubmed
,
Xenbase Nigg,
The nuclear envelope.
1989,
Pubmed O'Farrell,
High resolution two-dimensional electrophoresis of basic as well as acidic proteins.
1977,
Pubmed Peter,
Cloning and sequencing of cDNA clones encoding chicken lamins A and B1 and comparison of the primary structures of vertebrate A- and B-type lamins.
1989,
Pubmed Röber,
Differential timing of nuclear lamin A/C expression in the various organs of the mouse embryo and the young animal: a developmental study.
1989,
Pubmed Schatten,
Nuclear lamins and peripheral nuclear antigens during fertilization and embryogenesis in mice and sea urchins.
1985,
Pubmed Stewart,
Teratocarcinoma stem cells and early mouse embryos contain only a single major lamin polypeptide closely resembling lamin B.
1987,
Pubmed Stick,
The fates of chicken nuclear lamin proteins during mitosis: evidence for a reversible redistribution of lamin B2 between inner nuclear membrane and elements of the endoplasmic reticulum.
1988,
Pubmed Stick,
cDNA cloning of the developmentally regulated lamin LIII of Xenopus laevis.
1988,
Pubmed
,
Xenbase Stick,
The gene structure of Xenopus nuclear lamin A: a model for the evolution of A-type from B-type lamins by exon shuffling.
1992,
Pubmed
,
Xenbase Stick,
Changes in the nuclear lamina composition during early development of Xenopus laevis.
1985,
Pubmed
,
Xenbase Ulitzur,
Lamin activity is essential for nuclear envelope assembly in a Drosophila embryo cell-free extract.
1992,
Pubmed Vigers,
Regulation of nuclear envelope precursor functions during cell division.
1992,
Pubmed
,
Xenbase Vigers,
A distinct vesicle population targets membranes and pore complexes to the nuclear envelope in Xenopus eggs.
1991,
Pubmed
,
Xenbase Vorburger,
Modification of nuclear lamin proteins by a mevalonic acid derivative occurs in reticulocyte lysates and requires the cysteine residue of the C-terminal CXXM motif.
1989,
Pubmed Weber,
Maturation of nuclear lamin A involves a specific carboxy-terminal trimming, which removes the polyisoprenylation site from the precursor; implications for the structure of the nuclear lamina.
1989,
Pubmed Wilson,
A trypsin-sensitive receptor on membrane vesicles is required for nuclear envelope formation in vitro.
1988,
Pubmed
,
Xenbase Wolin,
A new lamin in Xenopus somatic tissues displays strong homology to human lamin A.
1987,
Pubmed
,
Xenbase Zewe,
Gene structure and chromosomal localization of the murine lamin B2 gene.
1991,
Pubmed
,
Xenbase