XB-ART-22044
Dev Biol
1993 Nov 01;1601:157-64. doi: 10.1006/dbio.1993.1294.
Show Gene links
Show Anatomy links
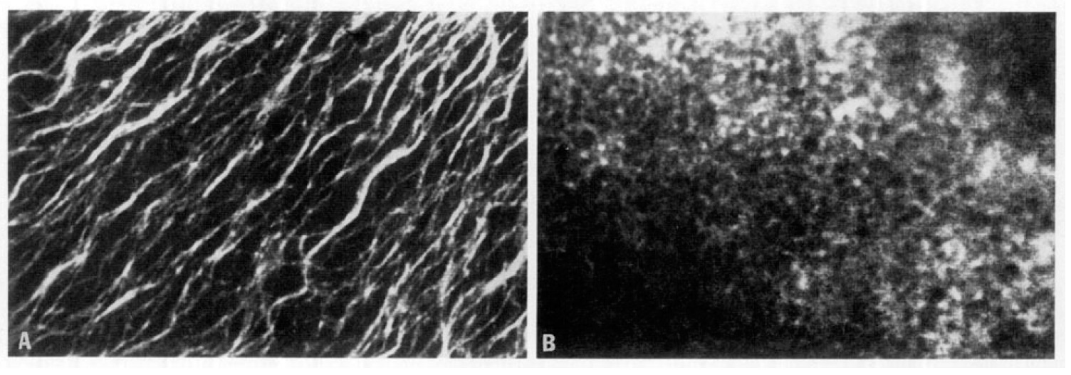
Deep cytoplasmic rearrangements in axis-respecified Xenopus embryos.
???displayArticle.abstract???
In fertilized eggs of the frog Xenopus, the vegetal yolk mass rotates away from the future dorsal side (J. P. Vincent and J. Gerhart, 1987, Dev. Biol. 123, 526-539), and a major rearrangement of the deep animal hemisphere cytoplasm produces a characteristic swirl in the prospective dorsal side (M. V. Danilchik and J. M. Denegre, 1991, Development 111, 845-856). The relationship between this swirl and determination of the dorsal-ventral axis was further investigated by attempting to experimentally separate the positions of the swirl and the dorsal-ventral axis. Eggs were obliquely oriented in the gravity field to respecify the direction of yolk mass rotation and the position of the dorsal-ventral axis. When yolk mass rotation occurred in the absence of a sperm, as in activated eggs, a swirl pattern formed on the side away from which the yolk mass had rotated. In fertilized eggs tipped with the sperm entry point (SEP) down or to the side, swirl patterns were always found to form on the side away from which the yolk mass was displaced. However, in eggs tipped SEP up, in which the yolk mass was forced to rotate away from the SEP, more complicated rearrangements were observed in addition to the rotation-oriented swirl. Because the direction of yolk mass rotation was found to be influenced by both gravity and the actual position of the SEP in obliquely oriented eggs (SEP to the side), such complicated rearrangement patterns may result from opposing forces generated by both yolk mass rotation and the expanding sperm aster. Thus, except in cases in which the influences of SEP position and unit gravity opposed each other, it was not possible to experimentally separate the position of the deep cytoplasmic swirl from the direction of yolk mass rotation, and therefore the position of the prospective dorsal side.
???displayArticle.pubmedLink??? 8224533
???displayArticle.link??? Dev Biol
Species referenced: Xenopus laevis
Genes referenced: tubb
???displayArticle.antibodies??? Tubb Ab1
???attribute.lit??? ???displayArticles.show???
