Click here to close
Hello! We notice that you are using Internet Explorer, which is not supported by Xenbase and may cause the site to display incorrectly.
We suggest using a current version of Chrome,
FireFox, or Safari.
???displayArticle.abstract???
Expression of the Xsna gene during Xenopus laevis embryogenesis has been analysed by in situ hybridisation. Like its homologue snail in Drosophila, Xsna is expressed zygotically in all early mesoderm. Expression starts during stage 9 in the dorsal marginal zone and spreads to the ventral side by stage 10. During gastrulation, each cell begins to express as it involutes so that cells newly expressing Xsna are added to the forming mesoderm mantle in an anterior-to-posterior progression. Xsna expression is then down-regulated in a tissue-specific fashion that reveals the subdivision of the mesoderm before its derivatives are overtly differentiated; e.g., the appearance of the notochord, myotomes, and pronephroi are preceded by the disappearance of Xsna mRNA, while undifferentiated mesoderm remains labelled, even into tadpole stages. Xsna is expressed in the suprablastoporal endoderm during gastrulation and in its derivatives, the prechordal and sub-notochordal endoderm, during neurulation. Relationships between Xbra, Xtwi, and Xsna expression are examined. Xsna is also expressed in the prospective neural foldectoderm from stage 11 in a low arc above the dorsal marginal zone, precisely identifying a distinct band of cells that surrounds the prospective neural plate that we designate the neural plate border. The anterior transverse neural fold, which becomes forebrain, ceases Xsna expression during neurulation. In the longitudinal neural folds, the deep and superficialectoderm compartments labelled by Xsna expression are the prospective neural crest and prospective roof of the neural tube, respectively. Xsna expression persists in the neural crest during migration and in some derivatives at least until metamorphosis but ceases in the roof of the neural tube soon after neurulation.
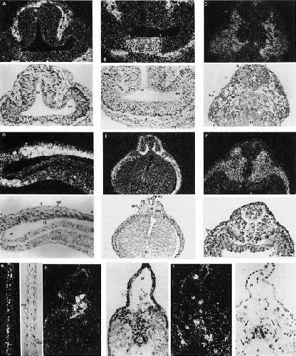
Fig. 1. Onset of Xsna expression in Xenopus mesoderm and ectoderm. Distribution of Xsna blastulae and gastrulae shown by in situ hybridisation under dark field illumination, with corresponding bright field
views below. A-D, and F are sagittal sections with the most dorsal side on the left in D and on the right in F. Scale bar = 400 pm in A-D, F; 190 pm in E. A: Stage 9. First appearance of Xsna transcripts, in most-
vegetal tier of marginal zone (z) on dorsal side (d), before external blastopore formation. B: Stage 10. Labelling is more intense and extensive on
dorsal side (d) in involuted mesoderm (i) above forming blastopore lip (b).
Arrows indicate movement of mesoderm. Xsna transcripts are also in
most-vegetal tier of ventral (v) marginal zone (2). C: Stage 10.5. Xsna
transcripts detected in involuting suprablastoporal endoderm (superficial
layer of marginal zone; se, small arrowheads) and in all involuted mesoderm (i), but not in un-involuted mesoderm (u), with a sharp boundary to
the labelling (large arrowheads) in blastopore lip (b). D: Stage 11. Involuting suprablastoporal endoderm (se, small arrowheads) and involuted
mesoderm (i) are labelled. First appearance of Xsna transcripts in ectoderm (ec, arrows). E: Stage 11.5. Sharp boundary (large arrowheads)
between expressing involuted mesoderm (i) and non-expressing un-involuted prospective mesoderm (u) still found in blastopore lip in mid-gastrulation. Ectoderm (ec) containing Xsna transcripts indicated (arrows). F: Stage 12. Mesoderm (m) lining nearly entire late-gastrula
contains Xsna transcripts, including pre-chordal mesoderm (pm) anteriorly (a). Arrows indicate ectodermal (ec) Xsna expression. a = anterior;
ac = animal cap; b = blastopore lip; bc = blastocoel: d = dorsal; e = endoderm; ec = ectoderm; i = involuted mesoderm; m = mesoderm; p = posterior; pm = pre-chordal mesoderm; se = suprablastoporal endoderm; u = un-involuted prospective mesoderm; v = ventral; z = marginal zone.
Fig. 2 (Fig. 2 appears on page 111). Expression pattern of Xsna
shown by whole mount in situ hybridisation. A: Stage 10.25, vegetal view.
Mesodermal Xsna expression is in a ring around the bottom of the em-
bryo, with intensity of signalling decreasing towards the ventral side (v).
b = blastopore lip. B: Stage 11. Lateral aspect of embryo showing me-
soderm (m) and broad band of ectodermal expression (e). d = dorsal. C:
Stage 11, view from dorsal side showing break in the expression of Xsna
in the involuted mesoderm behind the blastopore lip (b) and the arc of
ectodermal expression (e). D: Stage 12, view from dorsal side showing
lack of mesodermal expression where the notochord is starting to differ-
entiate (n) and with pre-chordal mesoderm in the upper dorsal mid-line
(pc). Ectodermal expression (e) in the prospective cranial folds is now
further from the blastopore (compared with Fig. 2C) as a result of con-
vergent extension. E: Stage 12.5, top dorsal side. Bottom, side view.
Expression in the prospective cranial folds (d) and in a contiguous stripe
of cells that is probably superficialectoderm (s) extending to the blasto-
pore (b). Notochord is visible as an unstained region (n). Down regulation
of mesoderm expression towards anterior is visible. F: Stage 14, strong
Xsna expression in the cranial neural folds (cf), and a weaker longitudinal
stripe in the superficial layer (t). Note lack of mesodermal expression
below anterior neural plate but increasing towards posterior. Strong me-
sodermal expression in the lateral plate mesoderm. G: Stage 17, neural
tube almost closed with Xsna expression on roof of the neural tube (r).
Mesoderm shows indications of segmentation (s) in mid-dorsal region.
Cranial folds strongly labelled (c). H: Tailbud stage (cleared). Labelling in
sclerotorne persisting together with posteriormesoderm (p). I: Tailbud
stage. Branchial arches (b). Trunk neural crest (t). Mesoderm in tailbud
(m).
Fig. 3. Relationship between Xbra and Xsna expression in Xenopus. Distribution of Xsna or Xbra mRNA shown by in situ hybridisation under dark field illumination, with corresponding bright field views to the right (A,B) or below (CE). Scale bar = 400 pm in CE; 200 pm in A,B. A,B: Stage 10.5. Para-sagittal (A) Xbra is expressed in involuted (i) and uninvoluted (u) mesoderm, to left and right of internal blastopore lip (arrow)respectively. Suprablastoporal endoderm (arrowheads, se) also labelled.B: Xsna is expressed only to left of internal blastopore lip (arrow) in involuted mesoderm (i), including cells migrated towards animal cap (ac). C,D: Stage 12. Mid-embryo transverse section. Xbra transcripts detected only in notochord (arrow, n) and sub-notochordal endoderm (arrowheads, se). D: Xsna expressed in all mesoderm (m) except notochord
(arrow, n). E: Stage 23. Ventral horizontal section. Xbra expressed strongly in posterior (p), in tailbud (tb). a = anterior; ac = animal cap; b
= blastopore lip; bc = blastocoel; d = dorsal; e = endoderm; ec = ectoderm; ep = epidermis; i = involuted mesoderm; Ip = lateral plate mesoderm; m = mesoderm; n = notochord; p = posterior; se = supra-
blastoporal endoderm; tb = tailbud; u = un-involuted prospective mesoderm; us = unsegmented mesoderm; v = ventral.
Fig, 4. Xsna expression during Xenopus neurulation. Distribution of
Xsna mRNA in neurulae shown by in situ hybridisation under dark field
illumination, with corresponding bright field views below. Single large
arrowheads, dorsal midline; small arrowheads, Xsna-expressing supra-
blastoporal endoderm; arrows, ectodermal Xsna expression. Scale bar =
400 pn in A,B,D; 200 pm in C,E,F. A: Stage 12. Anterior transverse
section. Ring of mesodermal mantle (m) and sub-notochordal endoderm
(se, small arrowheads) are labelled. Cross sections of stripes of Xsna
expression (arrows) in deep (dp) and superficial (sf) ectoderm shown,
symmetrical about midline (large arrowhead). 8: Stage 12. Transverse
section near blastopore of embryo in (A). Gap in labelling of mesodermal
mantle (m) on dorsal midline (large arrowhead) reveals prospective no-
tochord (n). Stripe of Xsna expression in deepectoderm (dp, arrows-
seen only on right, as left-ventral shows un-involuted mesoderm) is ven-
tral (v) and separate from superficialectoderm (sf) expression (arrows).
C: Stage 13. Prospective trunk transverse section. Stripes of Xsna ex-
pression (arrows) in superficial (sf) and deep (dp) ectoderm are nearer
dorsal midline (large arrowhead). All mesoderm (m) except notochord (n)
is labelled. Archenteron (ar) roof except sub-notochordal endoderm (se,
small arrowheads) is unlabelled. D: Stage 14. Prospective head trans-
verse section. Stripes of ectodermal Xsna expression (arrows) are in
neural folds (f) on either side of neural plate (np). E: Stage 18. Transverse
section at level of headsomites. Like notochord (n), rotated myotome
(my) has become unlabelled, leaving dorso-lateral and ventro-medial
somite compartments, probably dermatome (dm) and sclerotome (s), and
both layers of lateral plate mesoderm (Ip) labelled. Superficialectoderm
on tips of neural folds (f), almost touching above neural groove (ng), and
lateral aggregate of pre-migratory cephalic neural crest (c) are also la-
belled. F: Stage 18. Mid-trunk transverse section of embryo in (E). Pos-
terior paraxial mesoderm either side of unlabelled notochord (n) is un-
segmented (us) and, like lateral plate mesoderm (Ip), still contains Xsna
transcripts. Xsna-expressing ectodermal cells occupy same positions as
in the head (see E; f, c), but deep layer (dp) expression zone is very thin.
ar = archenteron; c = neural crest; d = dorsal; dm = dermatome; dp =
deepectoderm; e = endoderm; ec = ectoderm; ep = epidermis; f =
neural fold; Ip = lateral plate mesoderm; m = mesoderm; my = myo-
tome; n = notochord; ng = neural groove; np = neural plate; s =
sclerotome; se = sub-notochordal endoderm; sf = superficialectoderm;
us = unsegmented paraxial mesoderm; v = ventral.
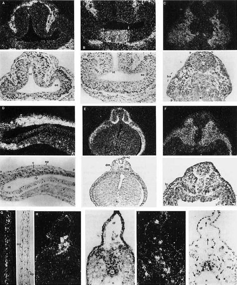
Fig. 6. Xsna expression during neural crest migration in Xenopus.
Distribution of Xsna mRNA shown by in situ hybridisation under dark field
illumination, with corresponding bright field views below (A-F) or to the
right (G-I). Scale bar = 400 pm in E, G; 200 pm in A-D,F; 100 pm in H,I.
A: Stage 23. Transverse head section showing strongly labelled mandib-
ular aggregates of cephalic neural crest (c) migrating around the pro-
spective brain (nt) and eyeprimordia (ee). B: Stage 22. Transverse head
section. Arrows indicate Xsna expression in ventral prospective forebrain.
C: Stage 24. Horizontal head section showing hyoid and branchial ag-
gregates of cephalic neural crest (c) migrating into the prospective bran-
chial arch region (ba). The hybridisation signal in the surrounding visceral
arch mesoderm (v) conceals the outline of the aggregates. D: Stage 21.
Anterior of sagittal section. Distinct expression in neural tube roofplate
(rp) and trunk neural crest (c) above. Labelling in mesoderm (pm) and
endoderm of pre-chordal plate also. E: Stage 23. Transverse anteriortrunk section. No labelling in notochord (n), myotomes (my) and proneph-
roi primordia in dorsal lateral plate (pn), while transcripts are still detected
in sclerotome (s), dermatome (dm), and the rest of lateral plate (Ip).
Labelling in neural tube roofplate (rp) and trunk neural crest (c). F: Stage
23. Extreme posterior transverse section of embryo in (E). Paraxial me-
soderm not yet segmented (us) and notochord (n) is undifferentiated
mesoderm. G: Stage 28. Horizontal trunk section. Strong expression in
pre-migratory trunk neural crest cells (c) along midline between muscle
blocks (my). H: Stage 28. Transverse trunk section. Strong expression in
pre-migratory trunk neural crest cells (c) above the neural tube (nt). I:
Stage 35. Transverse trunk section. Strongly labelled trunk neural crest
cells (c) migrating (arrows) dorsally into fin (df) and ventrally around
neural tube (nt) and notochord (n). a = anterior: ba = branchial arch
region: c = neural crest; df = dorsal fin; dm = dermatome; e = endo-
derm; ee = eye; ep = epidermis; Ip = lateral plate mesoderm: my =
myotome; n = notochord; nt = neural tube; p = posterior; pm = pre-
chordal mesoderm; pn = pronephros; rp = roofplate; s = sclerotome; us
= unsegmented paraxial mesoderm; v = visceral arch mesoderm.
Fig. 7. Xsna expression after neural crest migration in Xenopus. Distribution of Xsna mRNA in tadpoles shown by in situ hybridisation under dark field illumination, with corresponding bright field views below (A-C)or to the right (D,E). Scale bar = 400 pm in 8; 200 pm in A,C-E. A:Stage 39. Ventral horizontal head section. Xsna transcripts in forming
branchial arch cartilages (arrowheads, ba). B: Stage 39. Dorsal horizon-
tal head section. Headmesenchyme (h) labelled. C: Stage 47. Trans-
verse head section. Xsna transcripts in parts of eye (arrowheads, ee) and
headmesenchyme cells (arrows, h). D: Stage 47. Anteriortrunk trans-
verse section. Labelling in some sclerotome (arrowheads, s) around neu-
ral tube (nt) and in dorsal aortae walls (arrow, ar). E: Stage 47. Same
anteriortrunk transverse section as in (D). Individual labelled cells (ar-
rowheads) in splanchnic gutmesentery (y, probably enteric ganglia) and
in pronephros (pn). a = anterior; ar = dorsal aortae; ba = branchial arch
region; bc = branchial cartilages; ee = eye; ep = epidermis; g = gut: h = headmesenchyme; my = myotome; n = notochord; nt = neural tube;
o = otic vesicle; op = oro-pharyngeal cavity; p = posterior; pn = pronephros; s = sclerotome; y = splanchnic gutmesentery.
Fig. 8. Xtwi expression in Xenopus. Distribution of Xtwi mRNA shown by in situ hybridisation under dark field illumination, with corresponding bright field views below. Arrows indicate ectodermal Xtwi expression.
Scale bar = 400 km in C; 200 km in A,B,F; 160 pm in E; 130 pm in D.
A: Stage 12. Anterior transverse section. Xtwi transcripts present in lat-
eral region (arrows) of deepectoderm (dp) and in dorsal mesoderm (m).
8: Stage 13. Anterior transverse section. Labelling in lateral region (ar-
rows) of deepectoderm (dp) and in dorsal mesoderm (m) including no-
tochord (n). C: Stage 18. Anterior transverse section. Xtwi expression in
lateral aggregates of pre-migratory cephalic neural crest (arrows, c) and
in dorsal mesoderm (Ip, n) except myotomes (my). D: Stage 18. Trans-
verse trunk section. Xtwi transcripts in sub-notochordal endoderm (small
arrowheads, se), notochord (n) and dorso-lateralsomite (large arrow-
heads), probably dermatome (dm). E: Stage 23. Transverse trunk sec-
tion. Xtwi transcripts in ventro-medialsomite, probably sclerotome (s). F:
Stage 24. Horizontal head section. Xfm transcripts in cephalic neural
crest (c) migrating around prospective forebrain (nt) and, in aggregates,
into prospective branchial arch region (ba), with no expression in sur-
rounding visceral arch mesoderm (v). a = anterior; ar = archenteron; ba
= branchial arch region; c = cephalic neural crest; d = dorsal; dm =
dermatome; dp = deepectoderm; e = endoderm; ep = epidermis; f =
neural fold; Ip = lateral plate mesoderm; m = mesoderm; my = myo-
tome; n = notochord; ng = neural groove; nt = neural tube; p = pos-
terior; s = sclerotome; se = sub-notochordal endoderm; sf = superficialectoderm; v = visceral arch mesoderm.