|
Fig. 1. Zebrafish gremlin (grm) nucleotide sequence and protein sequence comparison. (A) Full-length sequence of grm, and 5′ and 3′ UTR regions. Start and stop codons are underlined and bold. (B) Amino acidic sequence alignment of the Gremlin proteins, from zebrafish (Zf), human (Hs), mouse (Mm), chicken (Gg), and X. laevis (Xl). Residues from 96 to 170 constitute the Can domain (70–75% identity). Dark gray background indicates identical residues, light gray conservative substitutions, and white non-conservative substitutions. |
|
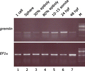
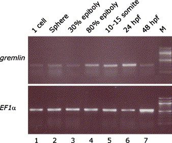
Fig. 2. grm expression during zebrafish development, shown by RT-PCR performed on RNA extracted from harvested embryos, from 1-cell to 48 hpf stages (lanes 1–7). Elongation factor 1α (EF1α) serves as a loading control. |
|
Fig. 3. grm maternal and zygotic expression during early stages of development and gastrulation. Expression pattern of grm as shown by whole-mount in situ hybridization at 1-cell (A), 2-cell (B), 40% epiboly (C), 70% epiboly (D,E), and 80% epiboly (F,G) stages. Black arrow heads point to the grm expression spot on the animal hemisphere (D–G), and white arrow heads in (E,G) indicate grm expression in the ventral mesoderm. (A–C,E,G) are lateral views, (D,F) animal views. Embryos are oriented with dorsal to the right and ventral to the left (D–G). |
|
Fig. 4. grm expression pattern during somitogenesis. grm mRNA is detected at 10-somite (A–C), 12-somite (D–F), and 17-somite (G–I) stages, in whole-mounted embryos (A,B,D,E,G,H), and trunk transverse sections (C,F,I). Squares in (A,D,G) are high magnifications of the developing somites (dorsal view), arrows in (B,E) indicate grm expression in the anterior mesoderm, and arrow heads point to the forming longitudinal kidney ducts (C,F,I). Black lines in (B,E,H) indicate the cut position in the correspondent transverse sections (C,F,I). (A,D,G) are dorsal views, anterior to the top, and (B,E,H) are lateral views, anterior to the left. Abbreviations: kd, kidney ducts; n, notochord; nt, neural tube; s, somites. |
|
Fig. 5. Expression domain of grm at 24 hpf. Shown is a whole-mounted (A) and a flat-mounted (D) embryo, and trunk transverse sections (B,C). The arrow heads in (B) indicate the developing kidney ducts, and the arrow in (D) points to grm expression in the pectoral fin bud. Black lines in (A) indicate the cut position in the correspondent transverse sections (B,C). Embryos are oriented with anterior to the top (A) and to the left (D). (A) is a lateral and (D) a dorsal view. Abbreviations: kd, kidney ducts; m, myotome; n, notochord; nt, neural tube; s, somites. |
|
Fig. 6. Zebrafish Grm localization pattern at late stages of development. Localization of Grm protein in the developing somites as shown by immunodetection, on transverse trunk sections at 24 hph (A), 48 hpf (B,C), and 72 hpf (D,E) stages. (D) is the anterior-most section at the hindbrain level, (B) is a section of the anterior spinal cord, and (A,C,E) are posterior trunk sections. Abbreviations: n, notochord; nt, neural tube; s, somites. |
|
Fig. 7. Expression pattern of grm in WT, fgf8 and shh mutant embryos during somitogenesis and at 22 hpf. Shown are wild-type (A,D,G), aceti282a (B,E,H), and syutbx392 (C, F, I) embryos, stained with a grm probe. Arrows in (D,F) point to grm expression in the anterior mesoderm, and arrow heads in (D,E) to the nascent somites. In (H,I), the arrow heads indicate grm staining in the anterior mesoderm and ventral neural tube, and the arrows point to the restricted grm signal in the posterior region of the mutant embryos. Embryos are oriented with anterior to the top (A–C,G–I), or to the left (D–F). (A–C) are dorsal views, (D–I) lateral views. |
|
Supplement figure 1 |