Click here to close
Hello! We notice that you are using Internet Explorer, which is not supported by Xenbase and may cause the site to display incorrectly.
We suggest using a current version of Chrome,
FireFox, or Safari.
???displayArticle.abstract???
We have isolated and characterized Xenopus cDNA clones for a new transcription factor that represents an early marker for the developing heart. The cDNAs encode a protein that we have designated GATA-4; it contains the highly conserved DNA-binding domain that characterizes this family of cell-type restricted transcriptional activators. Whole-embryo in situ analysis of Xenopus embryos demonstrates that the GATA-4 gene is transcribed in presumptive cardiac ventral mesoderm at the time that bilateral progenitors fuse and form the cardiac tube. GATA-4 is therefore the earliest molecular marker of cardiogenesis yet characterized. By stage 30, the GATA-4 mRNA is expressed in the developing atria and ventricles; at stage 38, cross-sections reveal that the gene is active in the endocardial layer, but not in myocardium. By stage 40, GATA-4 message is detected in the great vessels. In the adult frog, the GATA-4 gene is highly transcribed in heart and gut; lower levels of message are detected in various endoderm-derived tissues and gonads. Expression in the stomach is largely confined to the epithelium. The GATA-4 gene is first activated at stage 11; mRNA is initially present throughout the marginal zone of explants and later partially localized to the ventral marginal zone. GATA-4 mRNA is also detected at high levels in cultured endodermal explants derived from the vegetal region of early embryos. In mesoderm induction experiments, GATA-4 transcription is not induced in animal caps treated with activin or bFGF. The GATA-4 gene may provide a new early marker for studying the inductive processes that lead to the formation of the cardiovascular system and for the specification of the endocardial lineage.
Fig. 1. The amino acid sequence of Xenopus GATA-4 as
predicted from the cDNA clones is shown compared to the other
known Xenopus GATA factors. Numbering refers to amino acids
and is relative to xGATA-4a. Brackets indicate the highly
conserved DNA-binding domain containing the two characteristic
related fingers. Genbank nucleotide accession numbers are
xGATA-4a: L13701, xGATA-4b: L13702.
Fig. 2. GATA-4 binds specifically to a GATA cis-element. Gel
mobility-shift assays were performed using a labeled oligomer
probe (P) containing a GATA cis-element from the chicken aDglobin
promoter [TE72/73 (Evans and Felsenfeld, 1991)]. The
probe was incubated in the absence of added extract (-) or with 1
or 2 ml (left to right) of nuclear extract prepared from chicken
erythroid cells containing cGATA-1 (RBC), COS cells transfected
with the pXM expression vector without an insert (COS), or COS
cells transfected with the xGATA-4 expression plasmid (xG4). All
other samples included 2 ml of the xG4 nuclear extract in addition
to competitor. Competitors were a 30- or 60-fold excess (left to
right) of unlabeled TE72/73 oligomer as a specific DNA
competitor (Sp), the same amounts of unlabeled TE78/79 (Evans
and Felsenfeld, 1991), which is identical to TE72/73 except for a
mutation of the GATA motif, as a non-specific DNA competitor
(Ns), 1 or 2 ml of pre-immunized rabbit serum (pb), 1 or 2 ml of
polyclonal rabbit anti-GATA-4 serum (pAb), 1, 2 or 4 ml of
protein A affinity-purified monoclonal antibody directed against
GATA-4 (mAb). Note that the complex formed by xGATA-4
(arrow) is of slightly higher mobility compared to that formed
with cGATA-1 (arrowhead), consistent with the larger molecular
weight of xGATA-4. The asterisk indicates a complex formed to a
partial degradation product of GATA-4, which retains binding
activity.
Fig. 3. The GATA-4 gene is transcribed in heart, gonads and
endodermal derivatives. Northern blots containing 10 mg of total
cellular RNA were hybridized first to a GATA-4 cDNA probe.
After exposure, the blots were stripped and reprobed using an EF-
1a cDNA probe to demonstrate RNA integrity. RNA standards
(not shown) were used to determine an approximate size of the
GATA-4 message as 1.8 kb. The arrow indicates a faint but
reproducible slightly larger message found in ovary and testis.
Additional minor higher molecular weight RNA species are
evident in tissues that express high levels of GATA-4. Small
intestine was divided into duodenum (f, female; m, male) and a
distal or proximal (prox) segment of the ileum. Additional tissues
were derived from 2-week-old tadpoles (tp). In the experiment
shown, transcription in the lung was unusually high. Also,
although not obvious in the reproduction, the GATA-4 message
was consistently detected in liver.
Fig. 4. GATA-4 is highly transcribed in gut epithelium. Sections of adult Xenopus stomach were hybridized in situ to antisense (A-D) or
control sense (E,F) 35S-labeled RNA probes derived from the GATA-4a cDNA. (A,C,E) Bright-field photographs; (B,D,F) corresponding
dark-field views. Indicated in A are the lumen (l), epithelium (e), submucosa (s) and smooth muscle (m). C is a higher magnification view
of the section shown in A. The arrows in C indicate regions of the lumenal crypts with particularly high levels of GATA-4 RNA.
Fig. 5. Activation of the GATA-4 gene during development.
Northern blots were used to detect RNA from whole embryos
taken at the indicated stage of development. Each lane contained
20 mg of total RNA. The blot was reprobed for EF-1a message.
Note that zygotic EF-1a begins to accumulate at stage 8; GATA-4
is first detected around stage 11.
Fig. 6. GATA-4 is an early marker for the developing heart.
Embryos were analyzed by whole-mount in situ hybridization for
GATA-4 RNA. Stages are as follows: 18 (A,B); 26 (C,D); 34
(E,F); 40 (G,H). The photographs shown in B,D,F and H are high
magnification views of the embryos shown in A,C,E and G,
respectively. Arrows indicate detection of GATA-4 message by
alkaline phosphatase staining in the region of the developing
heart; non-specific staining around the residual blastocoel (for
example, in A) is seen with control sense-strand probes. Note that
by stage 40, GATA-4 message is detected in other organs where
transcription is high in adults, such as the stomach. In all cases,
dorsal is towards the top. In C and D, anterior is to the left,
otherwise anterior is to the right. Large arrows in F and H indicate
staining in the developing heart (h). For reference, cg indicates the
position of the cement gland.
Fig. 7. The GATA-4 gene is activated in the endocardium of the
developing heart. Shown is a sagittal section of a stained stage 38
embryo which has undergone the whole-mount in situ
hybridization procedure. Ventral is towards the bottom and
anterior is to the left. Note that only the inner layer (endocardium)
of the developing heart is stained. In this sample, the endocardial
cells have separated from the overlying primitive myocardium in
the region consisting of cardiac jelly (arrow).
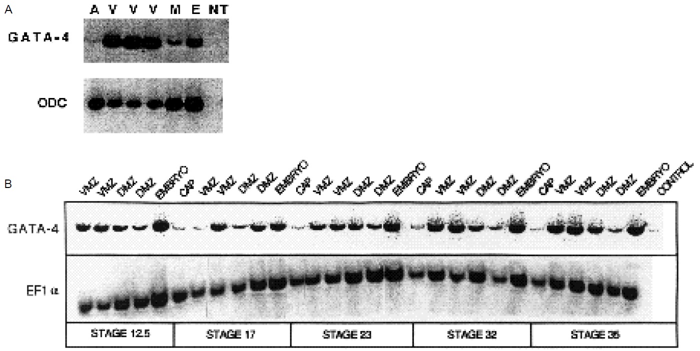
Fig. 8. Quantitative RT/PCR analysis of GATA-4 RNA in embryo explants. (A) The GATA-4 gene is activated in the presumptive
mesoderm and vegetal explants. Embryos were dissected at stage 8 and explants were incubated in 0.1´ MBS until 30 hours
postfertilization. RNA was then prepared and analyzed as described in Materials and
Methods. Multiplex PCR employed primers specific for either GATA-4 cDNA or ornithine
decarboxylase (ODC) cDNA. The latter transcripts were co-analyzed as an internal control.
A, animal caps; V, vegetal explants (three independent experiments are shown); M,
presumptive mesoderm; E, whole embryo; NT, no RT included control. (B) The GATA-4
gene is activated in both the ventral marginal zone (VMZ) and the dorsal marginal zone
(DMZ). Marginal zones were dissected at stage 12.25 and incubated in buffer alone until
control embryos reached the indicated stages. RNA was analyzed as above. Two
independent experiments are shown for each VMZ and DMZ explant. In the control lane
reaction, RT was omitted.