Click here to close
Hello! We notice that you are using Internet Explorer, which is not supported by Xenbase and may cause the site to display incorrectly.
We suggest using a current version of Chrome,
FireFox, or Safari.
???displayArticle.abstract???
We have searched for homeo box-containing genes expressed during gastrulation in Xenopus embryos with the expectation that analysis of the spatial and temporal expression of these genes will lead to greater understanding of the regionalization of the mesoderm. We describe the cloning and expression of Xnot, a novel homeo box-containing gene expressed primarily in the gastrula organizing region. We have studied the regulation of Xnot by signaling molecules involved in mesoderm induction and regionalization. Surprisingly, we found that FGF signaling is required for expression of Xnot in the gastrula organizing region, clearly implicating FGF in the induction of dorsal mesoderm. Furthermore, we found that Xnot is initially expressed throughout the embryo and that progressive translation of an unknown protein restricts expression of Xnot to the organizing region. Our results provide experimental evidence supporting the proposed division of Spemann's organizer into independently regulated organizing centers.
???displayArticle.pubmedLink???
8095482 ???displayArticle.link???Genes Dev
Figure 1. (A) The nucleotide sequence of
Xnot and its predicted amino acid sequence.
The homeo box sequence is indicated by a
solid underline, and the acidic region is indicated
by a broken underline. The predicted initiation
codon and 5' nucleotides that match
the consensus translational initiation sequence
(Kozak 1987) are indicated in boldface
type. (B) Comparison of the Xnot homeo box
sequence to other homeo box sequences
(Laughon 1991). The four predicted helices
within the borneo box region are indicated
(Laughon 1991). (C) Schematic illustration of
the Xnot clone, with the boxed region indicating
the open reading frame. The positions of
the homeo box and acidic regions are indicated.
The portion of the cDNA used to produce
an RNase protection probe is also shown.
Figure 2. Developmental expression of Xnot. Poly(A) + RNA
was isolated from 50 unfertilized eggs and 50 embryos each at
different stages, separated on a gel, blotted, and hybridized with
a full-length probe made from the Xnot cDNA. (Lane 1) Unfertilized
egg; (lane 2) stage 10 (early gastrula); (lane 3) stage 12 (late
gastrula); (lane 4) stage 15 (neural plate stage); (lane 5) stage 19
(neural tube stage); (lane 6) stage 24 (tailbud). The blot was
rehybridized with an EF1-~ probe (Krieg et al. 1989) to verify the
loading of RNA in each lane.
Figure 3. Analysis of Xnot expression by RNase protection. (A)
RNA was isolated from five unfertilized eggs and five embryos
each at different stages of development. RNA was analyzed by
RNase protection using a mixture of Xnot and EFI-a probes,
with the EFI-a probe at a reduced specific activity. Note that
the MBT occurs at 7 hr and that 10 hr corresponds to a stage 10
(early gastrula) embryo. Stage 12 is late gastrula stage, stage 15
is neural plate stage, stage 19 is neural tube stage, and stage 24
is tailbud stage. (B) Distribution of Xnot in a stage 9 (late blastula)
embryo. Stage 9 embryos were dissected into animal (An),
middle {Mid), and vegetal (Veg) thirds and analyzed as in A.
Figure 4 Spatial distribution of Xnot transcripts during early development. Xnot expression was analyzed by the whole-mount in situ
procedure using albino embryos. (A) Vegetal view of stage 10.5 embryos. The dorsal lip is at the top. Note the intense staining just
above the dorsal lip and the equatorial staining well above the blastopore lip (arrow). (B) Close-up of stage 10.5 embryo. The sharply
delimited staining of Xnot is apparent above the blastopore lip in the prenotochordal territory. The staining does not extend all the way
to the lip (arrow) as with other organizer-specific genes (Cho et al. 1991; Dirksen and Jamrich 1992; Ruiz i Altaba and Jessell 1992;
Taira et al. 1992). (C) Dorsal view of stage 12 embryos. The equatorial expression is no longer present. Xnot is found only along the
dorsal midline in the region that will give rise to the notochord. Anterior is at the top. (D) Close-up of a stage 12 embryo demonstrating
the gradient of expression at the anterior end and the sharp termination of expression at the blastopore. Anterior is at the top. (E) Stage
16 embryo. Xnot expression extends from the anterior (top) to the posterior along the dorsal midline, with the strongest expression in
the posterior. Two new spots of Xnot expression appear on either side of the neural plate. (F) Stage 23 embryos. Xnot is expressed only
in the posterior part of the notochord and floor plate along the body axis. In the anterior region, the two spots of Xnot expression have
almost converged as the neural plate folds up. Anterior is at the top. (Leftembryo) Dorsal is at left; (middle embryo) dorsal view; (rightembryo) dorsal is at right. (G) Stage 30 embryos. Only the most posterior tip of the body axis (the tailbud, t) contains Xnot transcripts.
In the anterior region, the two spots of Xnot expression have converged in the epiphysis (e), the precursor of the pineal body. Faint
expression in other regions of the brain is also apparent.
Figure 5. Expression of Xnot along the dorsal midline. Embryos
were processed for whole-mount in situ hybridization and
embedded in paraffin, and transverse sections were cut. (A) Section
through the middle of a stage 12.5 (late gastrula) embryo.
Staining is observed only at the dorsal midline in all three germ
layers. The archenteron was slightly deformed during sectioning.
(B) Posterior section of a stage 16 (neural plate stage) embryo.
Xnot expression is observed along the dorsal midline in
the notochord (n), archenteron roof (a), and in the floor plate (f)
of the neural tube. (C) Posterior section of a stage 18 (neural fold
stage) embryo. The same regions expressed Xnot as in B. Dorsal
is at the top of each section.
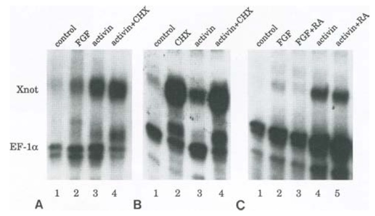
Figure 6. Activation of Xnot expression by mesoderm-inducing
agents. Animal caps were removed at stage 8 and cultured
with various treatments. RNA was isolated at the equivalent of
stage 12 for RNase protection analysis using a mixture of Xnot
and EFI-a probes, with the EFI-a probe at a reduced specific
activity. (A) Both FGF and activin induce Xnot expression. (Lane
1) No factors added; (lane 2) FGF added; (lane 3) activin added;
(lane 4) activin and cycloheximide (CHX) added. (B) Addition of
cycloheximide alters the levels of Xnot. (Lane 1) No factors
added; (lane 2) cycloheximide added; (lane 3) activin added;
(lane 4) activin and cycloheximide added. (C) Retinoic acid (RA)
does not significantly affect the expression of Xnot. (Lane 1) No
factors added; (lane 2) FGF added; (lane 3) FGF and retinoic acid
added; (lane 4) activin added; (lane 5) activin and retinoic acid
added.
Figure 7. Xnot expression is altered by
cycloheximide and injected Xwnt-8, DVR-
4, and FGF dominant-negative receptor
RNAs. Xnot expression was analyzed by
the whole-mount in situ procedure using
pigmented embryos. (AI Cycloheximide
was added to stage 9 embryos that were
then left to develop until control embryos
reached stage 12. Lateral view with the animal
pole at top. The lack of staining in
the vegetal region is an artifact of the
whole-mount procedure. (B} Cycloheximide
was added to stage 10 embryos that
were then left to develop until control embryos
reached stage 12. Vegetal view with
dorsal side at top. (C) Embryos were injected
with Xwnt-8 RNA in one of the ventral
vegetal cells of an 8- to 16-cell embryo.
Embryos were fixed at stage 11. Vegetal
view. Note the two sites of Xnot expression
at the equator (arrows). (D) Embryos
were injected with DVR-4 RNA at the
equator in the two dorsal cells of four-cell embryos. Embryos were fixed at the equivalent of stage 11. Vegetal view with dorsal side
at top. Note the lack of Xnot expression. (E) Embryos were injected with RNA encoding the dominant-negative mutant of the Xenopus
FGF receptor in the two dorsal cells of four-cell embryos. Embryos were fixed at the equivalent of stage 12. Vegetal view with dorsal
side at top. No Xnot expression was detected.
Figure 8. Summary of the regulation of Xnot expression. Both
FGF and activin are able to induce the expression of Xnot,
which is suggested to occur by the inhibition of a negative regulator
of Xnot, which could either be a transcriptional repressor
or a protein that leads to the degradation of Xnot RNA. DVR-4
can inhibit the expression of Xnot and could work directly or by
the activation of the inhibitor of Xnot. Retinoic acid does not
regulate the levels of Xnot transcription and, rather, is suggested
to work at a later time in development or on a parallel pathway.
Because Xnot is a likely transcription factor, its expression in
the prenotochordal region is suggested to regulate other notochord-
and floor plate-specific genes.