Click here to close
Hello! We notice that you are using Internet Explorer, which is not supported by Xenbase and may cause the site to display incorrectly.
We suggest using a current version of Chrome,
FireFox, or Safari.
???displayArticle.abstract???
Masculinization of the larynx in Xenopus laevis frogs is essential for the performance of male courtship song. During postmetamorphic (PM) development, the initially female-like phenotype of laryngeal muscle (slow and fast twitch fibers) is converted to the masculine form (entirely fast twitch) under the influence of androgenic steroids. To explore the molecular basis of androgen-directed masculinization, we have isolated cDNA clones encoding portions of a new Xenopus myosin heavy chain (MHC) gene. We have detected expression of this gene only in laryngeal muscle and specifically in males. All adult male laryngeal muscle fibers express the laryngeal myosin (LM). Adult female laryngeal muscle expresses LM only in some fibers. Expression of LM during PM development was examined using Northern blots and in situ hybridization. Males express higher levels of LM than females throughout PM development and attain adult levels by PM3. In females, LM expression peaks transiently at PM2. Treatment of juvenile female frogs with the androgen dihydrotestosterone masculinizes LM expression. Thus, LM appears to be a male-specific, testosterone-regulated MHC isoform in Xenopus laevis. The LM gene will permit analysis of androgen-directed sexual differentiation in this highly sexually dimorphic tissue.
FIG. 1. Northern blot analysis of total RNA isolated from pooled
laryngeal muscle from female (F) or male (M) frogs. (A) Hybridization
was performed for 18 hr at 42°C with a âP-labeled PstI/EcoRl
fragment of F3 (f3-500). Exposure time was 2 hr. (B) Verification that
each lane of the blot contains similar amounts of RNA by reprobing
the membrane with a cardiac actin probe (Dworkin-Rastl et al, 1986).
Exposure was overnight.
FIG. 2. Nucleotide and derived amino acid sequences of the f3-500 MHC cDNA clone. The sequence is aligned as in the chicken embryonic MHC
cDNA clone 251 (Kavinskv et aL. 1983). * indicates the termination codon. Sequence data from this article have been deposited with the
EMBL/GenBank Data Libiaries underAccession No. L01495.
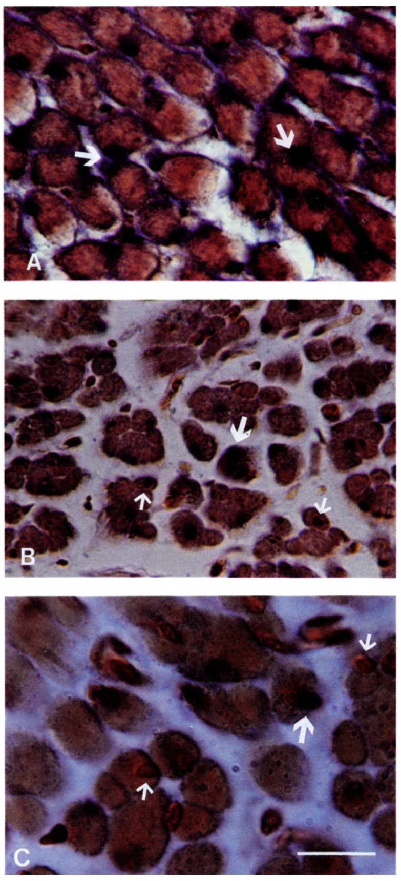
FIG. 3. Expression of LM in adult larynx of X Zuouk as determined
by in situ hybridization. Digoxigenin-labeled, antisense strand of f3-
500 was used as a riboprobe. (A) Male laryngeal muscle. (B and C)
Female laryngeal muscle. Big arrows indicate nuclei surrounded by
the digoxigenin-labeled myosin probe. Small arrows indicate unlabeled
nuclei. Scale bar: A and B, 30 Grn; C, 12 um.
FIG. 4. LM expression in different skeletal and cardiac muscles of the frogxenopus Levis. Dark-field (left) and the corresponding bright-field
(right) views are shown. All sections were hybridized using 35S-labeled antisense strand except for C and D where the sense strand of f3-500 was
used. A-D, dilator laryngis; E and F, geniohyoideus internus; G and H, tibialis anterior; I and J, sternoradialis; K and L, cardiac muscle. Scale
bar: 100 um.
FIG. 5. Northern analysis of laryngeal muscle RNA from developing
frogs. Lanes 2,3, and 6 are from postmetamorphic stages 2,3, and 6,
respectively. Hybridization conditions are as described in the legend
to Fig. 1. The blots were stained with ethidium bromide to verify that
each lane contained ssmilar amounts of RNA (5 pg). Blots A and B
were exposed overnight; blot C is a 72-hr reexposure of the blot shown
in B.
FIG. 6. LM expression during postmetamorphic laryngeal development as determined by in situ hybridization. Antisense probe is as described
in the legend to Fig. 4. No signal was ever observed with the sense strand (see also Figs. 4C and 4D). Photomicrographs were prepared using
dark-field illumination. Left panels show hemisections of male larynx; right panels show hemisections of female larynx. A and B, postmetamorphic
stage (PM) 0; C and D, PMl; E and F, PM2; G and H, PM3; I and J, PM5. Note that hybridization signal is confined to muscular tissue and is
not seen in cartilage or connective tissue (e.g., left-hand portion of A and B). Scale bar: 100 um.
FIG. 7. LM expression in PM2 female and male frogs treated with DHT for 3 weeks as determined by in situ hybridization. Antisense probe is
as described in the legend to Fig. 4. A and B, control PM2 females and males, respectively, raised without hormone treatment for 3 weeks. C and
D, DHT-treated females and males, respectively. Scale bar: 100 Um.
Blau,
Plasticity of the differentiated state.
1985, Pubmed
Blau,
Plasticity of the differentiated state.
1985,
Pubmed Cox,
Detection of mrnas in sea urchin embryos by in situ hybridization using asymmetric RNA probes.
1984,
Pubmed Dix,
Distribution of myosin mRNA during development and regeneration of skeletal muscle fibers.
1991,
Pubmed Dworkin-Rastl,
Localization of specific mRNA sequences in Xenopus laevis embryos by in situ hybridization.
1986,
Pubmed
,
Xenbase Evans,
The steroid and thyroid hormone receptor superfamily.
1988,
Pubmed Gorlick,
The ontogeny of androgen receptors in the CNS of Xenopus laevis frogs.
1986,
Pubmed
,
Xenbase Gutmann,
Effect of androgens on histochemical fibre type. Differentiation in the temporal muscle of the guinea pig.
1970,
Pubmed Hannigan,
Androgen-induced alterations in vocalizations of female Xenopus laevis: modifiability and constraints.
1986,
Pubmed
,
Xenbase He,
Molecular cloning of androgen receptors from divergent species with a polymerase chain reaction technique: complete cDNA sequence of the mouse androgen receptor and isolation of androgen receptor cDNA probes from dog, guinea pig and clawed frog.
1990,
Pubmed
,
Xenbase John,
Detection of myosin heavy chain mRNA during myogenesis in tissue culture by in vitro and in situ hybridization.
1977,
Pubmed Jolesz,
Development, innervation, and activity-pattern induced changes in skeletal muscle.
1981,
Pubmed Kavinsky,
Cloned mRNA sequences for two types of embryonic myosin heavy chains from chick skeletal muscle. I. DNA and derived amino acid sequence of light meromyosin.
1983,
Pubmed Kelley,
Development and hormone regulation of androgen receptor levels in the sexually dimorphic larynx of Xenopus laevis.
1989,
Pubmed
,
Xenbase Kintner,
Expression of Xenopus N-CAM RNA in ectoderm is an early response to neural induction.
1987,
Pubmed
,
Xenbase Lännergren,
Contractile properties and myosin isoenzymes of various kinds of Xenopus twitch muscle fibres.
1987,
Pubmed
,
Xenbase Lyons,
Testosterone-induced changes in contractile protein isoforms in the sexually dimorphic temporalis muscle of the guinea pig.
1986,
Pubmed McMaster,
Analysis of single- and double-stranded nucleic acids on polyacrylamide and agarose gels by using glyoxal and acridine orange.
1977,
Pubmed McNally,
Full-length rat alpha and beta cardiac myosin heavy chain sequences. Comparisons suggest a molecular basis for functional differences.
1989,
Pubmed Molina,
The sequence of an embryonic myosin heavy chain gene and isolation of its corresponding cDNA.
1987,
Pubmed Morano,
Regulation of myosin heavy chain expression in the hearts of hypertensive rats by testosterone.
1990,
Pubmed Pette,
Cellular and molecular diversities of mammalian skeletal muscle fibers.
1990,
Pubmed Radice,
Expression of myosin heavy chain transcripts during Xenopus laevis development.
1989,
Pubmed
,
Xenbase Rubinstein,
Sexual dimorphism in the fibers of a "clasp" muscle of Xenopus laevis.
1983,
Pubmed
,
Xenbase Sassoon,
Androgen regulation of muscle fiber type in the sexually dimorphic larynx of Xenopus laevis.
1987,
Pubmed
,
Xenbase Sassoon,
The sexually dimorphic larynx of Xenopus laevis: development and androgen regulation.
1986,
Pubmed
,
Xenbase Stedman,
The human embryonic myosin heavy chain. Complete primary structure reveals evolutionary relationships with other developmental isoforms.
1990,
Pubmed Tobias,
Vocalizations by a sexually dimorphic isolated larynx: peripheral constraints on behavioral expression.
1987,
Pubmed
,
Xenbase Tobias,
Development of functional sex differences in the larynx of Xenopus laevis.
1991,
Pubmed
,
Xenbase Tobias,
Temporal constraints on androgen directed laryngeal masculinization in Xenopus laevis.
1991,
Pubmed
,
Xenbase Watson,
Testicular masculinization of vocal behavior in juvenile female Xenopus laevis reveals sensitive periods for song duration, rate, and frequency spectra.
1992,
Pubmed
,
Xenbase Wetzel,
Androgen and gonadotropin effects on male mate calls in South African clawed frogs, Xenopus laevis.
1983,
Pubmed
,
Xenbase Wieczorek,
Co-expression of multiple myosin heavy chain genes, in addition to a tissue-specific one, in extraocular musculature.
1985,
Pubmed