Click here to close
Hello! We notice that you are using Internet Explorer, which is not supported by Xenbase and may cause the site to display incorrectly.
We suggest using a current version of Chrome,
FireFox, or Safari.
???displayArticle.abstract???
The distribution of dystrophin in Xenopus myotomal muscle cells was examined in conventional and confocal immunofluorescence microscopy. By labeling dissociated single muscle fibers with a monoclonal or a polyclonal antibody against dystrophin, we found that dystrophin is ten times more concentrated at the myotendinous junction (MTJ) than at the extrajunctional sarcolemma. At the MTJ, dystrophin lines the membrane invaginations where myofibrils attach to the membrane. It is colocalized with talin, but is not related to the distribution of acetylcholine receptors (AChRs) which are clustered at the postsynaptic membrane in the vicinity of the MTJ in these fibers. We found that the localization of dystrophin can be induced in cultured Xenopus myotomal muscle cells by treating them with polystyrene latex beads. Dystrophin is discretely localized at the bead-muscle contacts. With electron microscopy, a sarcolemma specialization with all the salient features of the MTJ, including basal lamina-lined membrane invaginations along which myofibrils make attachment. Although these beads also induce clustering of AChRs, the patterns of dystrophin and AChR localization are distinct. The appearance of dystrophin at the bead-contacted sarcolemma is coincident with the development of the membrane invaginations. This, together with its concentration along membrane invaginations at the MTJ in vivo, suggests a role for dystrophin in the formation of this junctional specialization. Since the signal for MTJ development can be presented to cultured muscle cells in a temporally and spatially controlled manner by beads, this system offers a simple model for analyzing the mechanism of this sarcolemma specialization.
Fig. 1. Western blots of Xenopus
muscle membrane sample (M) and
Torpedo AChR-rich membrane
sample (T) probed with antidystrophin
antibodies: mAb 1958
(A) and anti-60 kDa polyclonal
antiserum (B). A band at a
molecular mass of about 300 kDa
was recognized in each sample
(arrow). This value was
extrapolated from the positions of
the molecular mass standards
indicated on the left (from top to
bottom): 200 kDa, 116.25 kDa,
97.4 kDa, 66.2 kDa, 45 kDa. The
broad band in B-T was a result of
sample overloading.
Fig. 2. Localization of dystrophin at
the MTJ of dissociated Xenopus
myotomal muscle fibers in whole
mount with conventional fluorescence
microscopy. (a) mAb 1958 labeling;
(c) anti-60 kDa labeling. A series of
streaky structures (arrows) at the ends
of these fibers were labeled.
(b and d) show the ends of these
fibers in phase-contrast.
Fig. 3. Confocal stereo views of
dystrophin localization at the MTJ
in vivo (a, b) and at the bead-muscle
contacts in vitro (c). These samples
were labeled with mAb 1958. They
were optically sectioned at a
thickness of 2 mm (a), 1 mm (b) or
0.5 mm (c) to obtain a stack of
images from each cell with a
confocal microscope. These images
were then combined and shifted by
1 pixel to generate the stereo views.
The number of sections represented
in each image were 23 in a, 41 in b
and 15 in c. In c, the white arrows
point to bead-muscle contacts and
the black-on-white arrowheads point
to sites of cell-substratum contacts
that were also dystrophin-positive.
Bars, same for a and b.
Fig. 4. Relationship of dystrophin (as
revealed by mAb 1958 labeling) and
other proteins at the MTJ.
(a, b) Dystrophin (left) and talin
(right). The colocalization is exact.
(c, d) Dystrophin (left) and AChR
clusters (right). Although both proteins
are present at the end of this myotomal
fiber, they show very different,
sometimes complementary,
localization. An example is indicated
by the arrowheads. At this site, the
AChR cluster was located in a
dystrophin-free area. (e, f) A noninnervated
end of the myotomal fiber.
Despite the absence of AChRs (f), the
presence of dystrophin at the MTJ
remains the same.
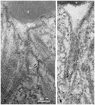
Fig. 5. Fine structure of the bead-muscle contacts in cultured muscle cells. Deep membrane invaginations are prominent features of these
contacts with the bead (B). Along these invaginations, attachment of myofibrils with the sarcolemma (white arrows) can be seen. Basal
lamina (open arrowheads) lines the extracellular surface of the invaginations. In b, a portion of the membrane along the invagination
(between black-on-white arrowheads) is associated with an electron-density and basal lamina, but is not associated with myofibrils. This
area is probably occupied by AChRs, based on its similarity to the structure of the NMJ in vivo in these myotomal fibers. These two beadmuscle
contacts were 48 h old.
Fig. 6. Development of dystrophin localization at bead-muscle
contacts in relationship to membrane invagination and AChR
cluster formation in cultured muscle cells. For dystrophin and
AChR labeling, cultures were double labeled with R-BTX and
mAb 1958 followed by FITC-conjugated secondary antibody.
(a) Percentage of bead-muscle contacts that were associated with
AChR clusters (filled bars) and the percentage of those clusters
that also showed dystrophin accumulation (open bars). At each
time point, 20 cells with an average of 8 bead-muscle contacts per
cell were scored. (b) Percentage increase in the length of
membrane profile as a result of bead-induced invagination. An
average of 11 bead-associated membrane profiles was analyzed
for each time point from electron micrographs according to the
formula given in Materials and methods. (c) Data in a and b are
replotted by normalizing to their respective 96 h values for
comparison. The error bars in all three graphs represent standard
error of the mean.
Fig. 7. Localization of dystrophin induced
by beads in cultured muscle cells.
Dystrophin is present at the bead-muscle
contacts (a, mAb 1958 labeling; d, anti-60
kDa labeling). These sites also show an
aggregation of AChRs (b and e), although
the patterns of dystrophin and AChR
localization are different. (c and f) show
the phase-contrast images of beads.
Fig. 8. Comparison of the patterns of dystrophin and AChR
localization induced by beads. Left column shows the dystrophin
pattern revealed by mAb 1958 labeling. Right column shows
AChR clusters. The differences in these two patterns are evident
at all the bead-muscle contacts (indicated by numbers) in these
two cells. Complementary patterns of these two proteins can be
observed in c and d at areas indicated by arrows.