Click here to close
Hello! We notice that you are using Internet Explorer, which is not supported by Xenbase and may cause the site to display incorrectly.
We suggest using a current version of Chrome,
FireFox, or Safari.
???displayArticle.abstract???
The ectoderm of early Xenopus gastrula is competent to become induced to neural tissue, but dorsal ectoderm is more neural competent than ventralectoderm. It is a tenable, but as yet untested possibility that the higher neural competence of dorsal gastrulaectoderm is dependent on the presence of the dorsal mesoderm. To test this hypothesis we overexpressed Xwnt-8 in order to ectopically induce dorsal mesoderm in the ventral side of the embryo. We found that this elevated the level of neural competence of ventralectoderm to that of dorsal ectoderm. The effect of Xwnt-8 on neural competence of ventralectoderm was strictly correlated with its ability to enhance the amount of dorsal structures. The data indicate that the presence of dorsal mesoderm is a prerequisite for establishing the differences in neural competence between gastrula dorsal and ventralectoderm.
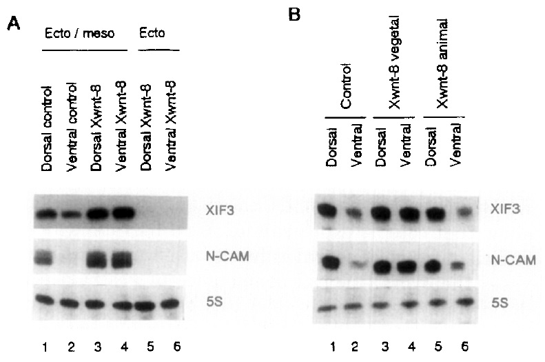
FIG. 1. Effects of injected X’/c’ttf-X mRNA on the neural compctc~ncc~
of early gastrulu dorsal and ventral ectoderm. (A) Fertilized eggs
vxrc injected with 30 pgXw,//-8 mRNA and culturcti to stage 10 earl)
gastrula. Recomhinatw \vere madr between clorsxl mcsotlerm and
stage 10 dorsal or ventral ectoderm, which was pwparotl hy cutting
the whole animal cap into two equal pieces. For dorsal mesoderm, onI>
thr inner. mesodcrmal cell layers from the blastoporc region of a
stage 10 early gastrula wrc used. Rccombinates \vcrc cultured to
stage 24 twforc RNA was isolatctl. The cxprcssion of neural-spccilic
gicnes in 10 pg RNA n-as monitored by RN;w protection. using the
protws for the neural-spccilic genes XII”3 and N-CA1CI. The tts\el of 5S
transcripts leas monitor4 to dtmonstratc cquat amounts of RNA. (BI
5 pg X/r,t//-8 mRNrl !vas injccteti into either a ticar. 1 ventral animal
hlastomere or ;I tier 1 ventral vvgtital hlastonicrc of‘ a 32-cvll cmhryo.
Thv emt)ryos n-rrcs cultured to stag,’ 10 gastrnla anti rccomt)in;ttt~s
wow made and cultured as in A.
2. The expression of the epidermal marker Epi 1 aftcar owrexprcwion
of X/at/f-8. Fertilized eggs were injected with 50 pg Xwi/t-S
mRNA and cultured to stage 10 early gastrula. Dorsal and ventral
wtoderm explants, prepared by cutting the whole animal cap into two
cclual pieces, were cultured to stage 11. The explants were then prowssed
for immunocgtochcmistr~ using the monoclonal antibody Epi 1
which specilicallg stains epidermal tissue (London et trl.. 19881. Staining
was visualised using indirect immunofluorescence.