Click here to close
Hello! We notice that you are using Internet Explorer, which is not supported by Xenbase and may cause the site to display incorrectly.
We suggest using a current version of Chrome,
FireFox, or Safari.
Differentiation
1992 May 01;501:15-23. doi: 10.1111/j.1432-0436.1992.tb00481.x.
Show Gene links
Show Anatomy links
The multiple beta-tubulin genes of Xenopus: isolation and developmental expression of a germ-cell isotype beta-tubulin gene.
Bieker JJ, Yazdani-Buicky M.
???displayArticle.abstract???
In this report, we demonstrate the presence of multiple beta-tubulin genes in Xenopus and begin to explore the regulation of isotypes within the beta-tubulin family by focusing on the characterization of a specific beta-tubulin cDNA derived from a Xenopus oocyte library. This clone (XLOT: Xenopus laevis oocyte beta-tubulin) contains the entire protein coding and 3'-untranslated regions of the gene, and is only missing approximately eleven nucleotides from the start of transcription. The XLOT transcript is ubiquitously expressed, but steady-state amounts are highest in immature oocytes and in testes. Consistent with the present understanding of this type of autoregulation, levels of oocyte beta-tubulin transcript vary in accordance with fluctuating polymeric/monomeric tubulin protein ratios both in the developing oocyte and as the late stage oocyte matures to an unfertilized egg. In addition, steady-state levels of the oocyte beta-tubulin transcript do not increase as the total number of cells per embryo increase during embryogenesis. Although one major and three minor transcriptional start sites are utilized in immature oocytes and adult tissues, usage of each individual site varies during oogenesis and embryogenesis. The preferential expression in germ cells indicate that the oocyte beta-tubulin transcript may provide a useful marker for gonadal differentiation in early amphibian development.
Fig. 1. Blot hybridization of Xenopus genomic DNA and oocyte
RNA with the avian probe. (A) Amphibian genomic DNA
(1 2.5 pg) was digested with EcoRl, resolved by electrophoresis,
transferred to nitrocellulose, and hybridized with the Hind11 insert
from pPT2. Filters were serially washed under conditions of increasing
stringencies. The figure shows an autoradiograph resulting
from exposure to film performed after a low stringency wash (see
Methods). Sizes of the hybrids formed are indicated to the right
of the photograph (in base pairs). The wash resistance indicates
the highest stringency level to which the hybrid band was resistant.
The 5'-end-containing fragments were determined on a separate
blot by hybridization with a Puul/EgIII segment from pPT2 followed
by a low stringency wash. (B) Total RNA from mixed-stage
oocytes (10 pg) was resolved by electrophoresis, transferred to nitrocellulose,
and hybridized with the Hind11 insert from pPT2.
The figure shows the autoradiograph resulting from analysis performed
after a low stringency wash. Location of the 18s and 28s
RNA bands are indicated to the right of the figure
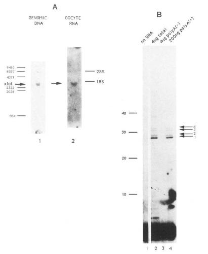
Fig. 2. DNA and RNA analyses of Xenopus
oocyte /?-tubdin. (A) EcoRl -digested genomic
DNA (12.5 pg; lane 1) or mixed-stage oocyte
RNA (10 wg; lane 2) was resolved by electrophoresis
and blotted to nitrocellulose. The
probe was an 186-nucleotide fragment from
pXLOT that contained the 5’-untranslated
portion of the oocyte tubulin gene. The figure
shows the autoradiographs resulting from
exposure to film performed after a high stringency
wash. Markers to the left of lane 1 (in
base pairs) are derived from HindlII-digested
lambda DNA. Markers to the right of lane 2
indicate the location of ribosomal bands. The
location of the specific band is indicated with
an arrow marked “xlot”. (B) Primer extension
analyses were performed using oligonucleotide
XLO and: no RNA (lane I ) , 4 pg total
RNA (lane 2), 4 pg polyA(-) RNA (lane
3), or 200 ng polyA(+) RNA (lane 4 ) from
mixed staged oocytes. The markers to the left
of the figure (in bases) were derived from a
sequencing ladder co-electrophoresed in an
adjacent lane; length of the primcr is defined
as 1. Arrows to the right indicate the four apparent
start sites of transcription present in
both the total and poly(A)+ RNA samples
Fig. 3. In vitro translation of RNA derived from pXLOT. Equivalent
amounts of sense (lane I) or antisense (lane 2) RNA strands,
generated as described in the text, were used along with brome
mosaic virus RNA (lane 3; positive control) to program reticulocyte
lysate translation in the presence of 35S-labeled methionine.
The products were electrophoresed on SDS/polyacrylamide gels
along with purified oocyte microtubule protein (lane 4 ) and molecular
weight markers (lane 5). Lanes 1-3 were separated from the
gel and exposed to autoradiography. Lanes 4-5 were stained with
Coomasie blue; arrows to the right of the figure indicate the molecular
weight (in daltons) of marker proteins and identify the location
of z- and p-tubulin
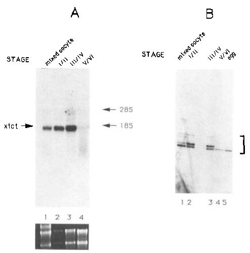
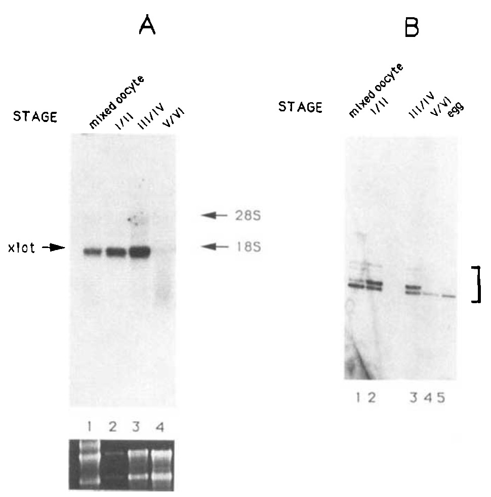
Fig. 4. Expression of Xenopus oocyte fi-tubulin during oogenesis.
(A) 4 pg of mixed-stage oocyte RNA (lane I) or 3 oocyte-equivalents
of stages 1/11 (lane 2), stages III/IV (lane 3), or stages vjV1
(lane 4) RNA was electrophoresed, transferred, and probed with
oligonucleotide XLO. The location of the specific band is indicated
by the arrow marked âxlorâ to the left of the figure, and the
markers to the right of the figure indicate the location of the ribosomal
RNA bands. Below each lane is the ethidium bromide stain
of the ribosomal bands in each sample (one oocyte equivalent)
visualized on a separate gel as described in the text. Note the increase
in amount of ribosomal RNA per oocyte as maturation
proceeds. (B) Primer extension analyses were performed using oligonucleotide
XLO and the same amounts of RNA used in panel
(A), and also includes RNA from 3 unfertilized egg-equivalents
(lane 5). Quantitation of these data are as follows (in arbitrary
units): lane 1, 65; hne 2, 7 3 ; lane 3, 50; lane 4, 13; lane 5, 15.
The bracket indicates the correctly extended products based on
data shown in Fig. 2B
Fig. 5. Expression of Xenopus oocyte /?-tubdin during early cmbryogenesis.
Four micrograms of mixed-stage oocyte RNA (lane
I ) , or 1.5 embryo-equivalents of unfertilized egg RNA (fane 2)
or staged embryo RNA (lunes 3-12) were clectrophoresed, blotted,
and probed with oligonucleotide XLO. The arrow to the left of
the figure marked "xlot" indicates the specific RNA band, while
the arrows to the right of the figure indicate the location of ribosomal
RNA. Embryonic stages [42] are indicated at the top of
the figure. A portion of each sample (one embryo equivalent) was
electrophoresed on a separate gel and the ribosomal RNA was
visualized with ethidium bromide as shown below each lane. Levels
of oocyte p-tubulin message from two experiments that used different
preparations of staged embryo RNA were estimated by densitometry,
averaged, and graphed as shown. The level of oocyte /?-
tubulin transcript in the egg was given an arbitrary value of 1 ;
all othcr levels were normalized to that amount
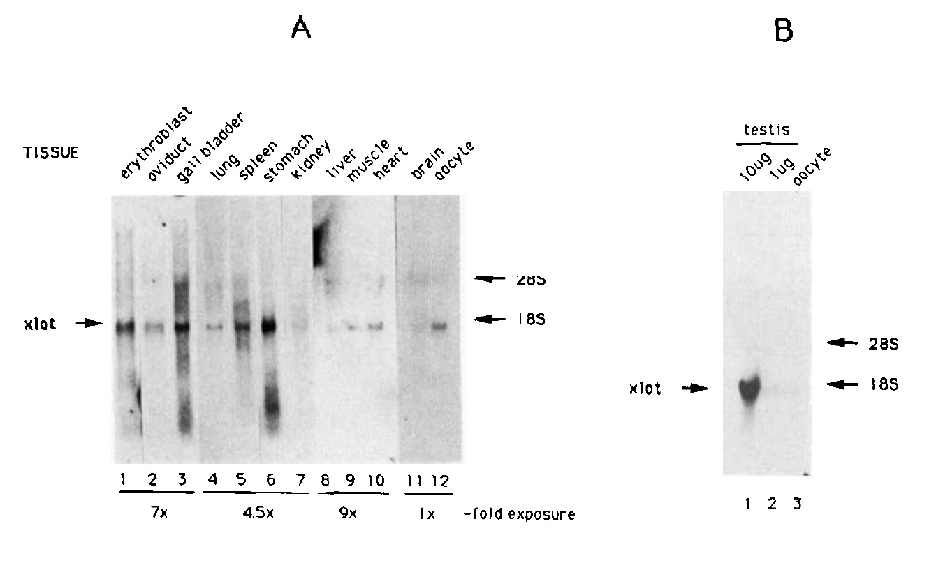
Fig. 6. Tissue distribution of Xenopus
oocyte P-tubulin expression. Arrows to
the right of the figure indicate the location
of ribosomal RNA, while arrows to
the left of the figure marked âxlotâ indicate
the specific RNA band. (A) 4 pg
of mixed-stage oocyte RNA (lane 12) or
10 pg total RNA from various tissues
(lanes I-I I) were electrophoresed, blotted,
and probed with oligonucleotide
XLO. Hybridization to tissues became
apparent only with increased exposure
time as indicated below the figure. â I x -
foldâ exposure was equivalent to 24 h.
(B) 10 pg (lane 1 ) or 1 pg (lane 2) total
testis RNA, and 4 pg total RNA from
mixed-stage oocytes ( h e 3) were electrophoresed,
blotted, and probed with
XLO. The autoradiograph shown was
exposed for 14 h