Click here to close
Hello! We notice that you are using Internet Explorer, which is not supported by Xenbase and may cause the site to display incorrectly.
We suggest using a current version of Chrome,
FireFox, or Safari.
???displayArticle.abstract???
The frog integumentary mucin B.1 (FIM-B.1), discovered by molecular cloning, contains a cysteine-rich C-terminal domain which is homologous with von Willebrand factor. With the help of the polymerase chain reaction, we now characterize a contiguous region 5' to the von Willebrand factor domain containing the short consensus repeat typical of many proteins from the complement system. Multiple transcripts have been cloned, which originate from a single animal and differ by a variable number of tandem repeats (rep-33 sequences). These different transcripts probably originate solely from two genes and are generated presumably by alternative splicing of an huge array of functional cassettes. This model is supported by analysis of genomic FIM-B.1 sequences from Xenopus laevis. Here, rep-33 sequences are arranged in an interrupted array of individual units. Additionally, results of Southern analysis revealed genetic polymorphism between different animals which is predicted to be within the tandem repeats. A first investigation of the predicted mucins with the help of a specific antibody against a synthetic peptide determined the molecular mass of FIM-B.1 to greater than 200 kDa. Here again, genetic polymorphism between different animals is detected.
FIG. 1. Nucleotide sequences and predicted amino acid sequence of part of the FIM-B.l precursors
as derived from cDNA clones pFIM-5'-21, pFIM-6.2-13, 14, 11, 15, and 17 from a single animal. For
comparison, the 5' end of cDNA clone pREP1218 (Probst et al., 1990) is shown. Within the variable region (from
the third to the fifth row) asterisks were introduced to maximize homology (representing gaps), whereas bars
indicate identical nucleic acid residues. Restriction sites, repetitive elements (GESTPAPSETT), and potential Nglycosylation
sites are underlined. Cysteine residues are encircled. The sequence selected for the synthetic peptide
(FIM-1) is indicated by the dotted line.
FIG. 2. Schematic representation of GFLM-B-24(H-A1) consisting of a 3.6-kilobase long genomic
Hind111 fragment cloned into pBluescript-II/KS-. Potential exons (B, VPS) and restriction sites are marked.
Also shown are all subclones generated for sequencing. Arrows herein indicate sequenced regions.
FIG. 3. Nucleotide sequence of the
genomic subclone GFIM-B-24(HAl).
Potential exon sequences encoding
type-B repeats or the tripeptide VPS are
shown in bold type. Regions are underlined
which are homologous with cDNA
sequences but do not contain correct
splice junctions. Also marked are restriction
sites for HindIII and SphI.
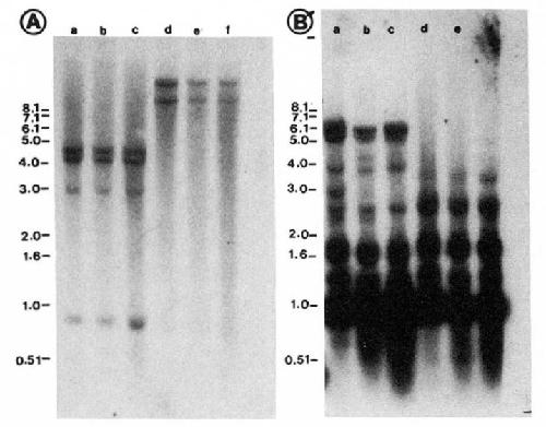
FIG. 4. Southern analysis. Shown are restriction digestions with
EcoRI (lanes a-c) or HindIII (lanes d-j) from genomic DNA of three
different animals. The same blot was hybridized repeatedly either
with the 383-bp long HindIII-fragment of pREP-3'-64 (vWF domain,
A) or with the insert of pREP-5'-119 (rep-33 sequence, B). As size
marker, a 1-kilobase ladder (Bethesda Research Laboratories) was
used. Genomic DNA loaded in lanes b and c originates from the same
individuals as the secretions investigated in Fig. 5 (lanes a and b,
respectively).
FIG. 5. Western analysis. Polyacrylamide gel electrophoresis
(5%) of skin secretions from five different animals (lunes d and f
originate from the same individual) and subsequent analysis either
with the anti-FIM-B.la ntiserum FIM-1( lanes a-e) or the preimmune
serum (lane j ) . Skin secretions in lunes a and b originate from the
same animals as the genomic DNA investigated in Fig. 4 (lanes b and
c, respectively). Secretions from lane d were from the same individual
used in Fig. 6 also.