Click here to close
Hello! We notice that you are using Internet Explorer, which is not supported by Xenbase and may cause the site to display incorrectly.
We suggest using a current version of Chrome,
FireFox, or Safari.
Genes Cells
2005 Feb 01;102:139-50. doi: 10.1111/j.1365-2443.2005.00825.x.
Show Gene links
Show Anatomy links
Identification of DRG family regulatory proteins (DFRPs): specific regulation of DRG1 and DRG2.
Ishikawa K, Azuma S, Ikawa S, Semba K, Inoue J.
???displayArticle.abstract??? DRG1 and DRG2 comprise a highly conserved subfamily of GTP-binding proteins and are thought to act as critical regulators of cell growth. Their abnormal expressions may trigger cell transformation or cell cycle arrest. Our aim is to clarify their physiological functions and regulatory mechanisms. Here we report identification of novel proteins, DRG family regulatory protein (DFRP) 1 and DFRP2, which regulate expression of DRG proteins through specific binding. In transient transfection experiments, DFRP1 specifically binds DRG1, and DFRP2 preferentially binds DRG2. DFRPs provide stability to the target DRG proteins through physical association, possibly by blocking the poly-ubiquitination that would precede proteolysis of DRG proteins. DFRPs are highly conserved in eucaryotes, and the expression patterns of dfrp1 and drg1 transcripts in Xenopus embryos and tissues are similar, indicating that these genes work cooperatively in various types of eukaryotic cells. Immunofluorescence experiments have revealed that the interaction between DRG1 and DFRP1 may occur in the cytoplasm. We generated dfrp1- knockout cells and found that endogenous expression of DRG1 is regulated by DFRP1, confirming that DFRP1 is a specific up-regulator of DRG1 in vivo. On the basis of these results, we propose that DRG1 and DRG2 are regulated differently despite their structural similarities.
Figure 1 Identification of DFRPs. (A) Domain architecture of mouse DFRP2 (GIR2) and DFRP1 (LEREPO4) and partial sequence alignments. DFRP1 and DFRP2 share a highly homologous region that we termed the ‘DFRP domain’ (hatched boxes). Multiple alignments of peptide sequences of M. musculus (Mm), D. melanogaster (Dm), and S. cerevisiae (Sc) DFRP2 and DFRP1. NCBI accession numbers: XP_125585 (DFRP2_Mm), NP_651227 (DFRP2_Dm), NP_010436 (DFRP2_Sc), NP_081210 (DFRP1_Mm), NP_610401 (DFRP1_Dm), and NP_014734 (DFRP1_Sc). Other domains are described in the text. (B) Interaction of DFRP2 (GIR2) or DFRP1 (LEREPO4) with the DRG proteins. Extracts of 293T cells co-transfected with expression vectors for FLAG-tagged mouse DRG1 or DRG2 or empty control and Myc-tagged mouse DFRP2 or DFRP1 were incubated with anti-FLAG antibody.The immunoprecipitated (IP) complexes or cell lysates onWestern blots were then probed with anti-Myc antibody to detect the DFRPs.The same membranes were stripped and reprobed with anti-FLAG antibody to detect the DRG proteins. (C) In vivo binding assay. Protein extracts from HeLa S3 cells were incubated with antibodies against DFRP1, DRG1, and control IgG.The immunoprecipitated complexes were then probed with anti-DRG1 antibody. The same membrane was stripped and reprobed repeatedly with anti-DFRP1 and anti-DRG2 antibodies. (D) Immunofluorescence analysis of the subcellular localization of DFRP1 and DRG1. HeLa S3 cells were stained with polyclonal antibodies against DFRP1 and DRG1.
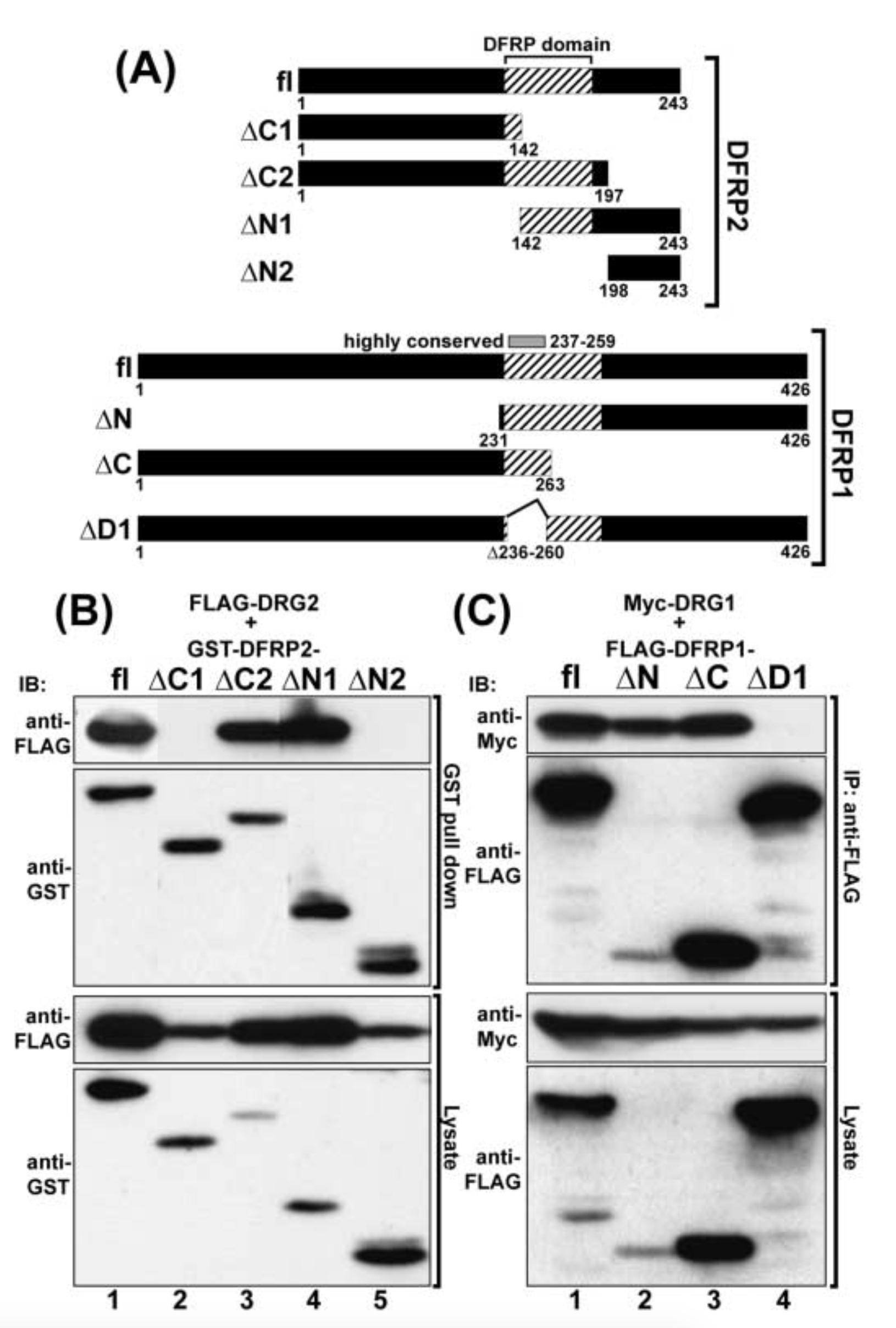
Figure 2 Requirement of the DFRP domain for association of DFRPs with DRG proteins. (A) Structural maps of DFRP2 (upper section) and DFRP1 mutants (lower section). Hatched boxes indicate DFRP domain. Gray solid bar corresponds to a highly conserved region of DFRP1s in eucaryotes as depicted in Figure 1A. (B) Determination of the essential region in DFRP2 for interaction with DRG2. Extracts from 293T cells co- transfected with expression vectors for GST-fusion DFRP2 fl or its mutants and FLAG-tagged DRG2 were incubated with glutathione sepharose beads. The pull- down precipitates or the cell lysates were then probed with anti-FLAG antibody to detect FLAG-DRG2.The membrane was stripped and reprobed with anti-GST antibody to detect GST-DFRP2 fl and its mutants. (C) Determination of the essential region in DFRP1 for interaction with DRG1. Extracts from 293T cells co-transfected with expression vectors for FLAG-tagged DFRP1 fl or its mutants and Myc-tagged DRG1 were incubated with anti-FLAG antibody.The immunoprecipitates (IP) or the cell lysates were then probed with anti- Myc antibody to detect Myc-DRG1.The membrane was stripped and reprobed with anti-FLAG antibody to detect FLAG- DFRP1 fl and its mutants.
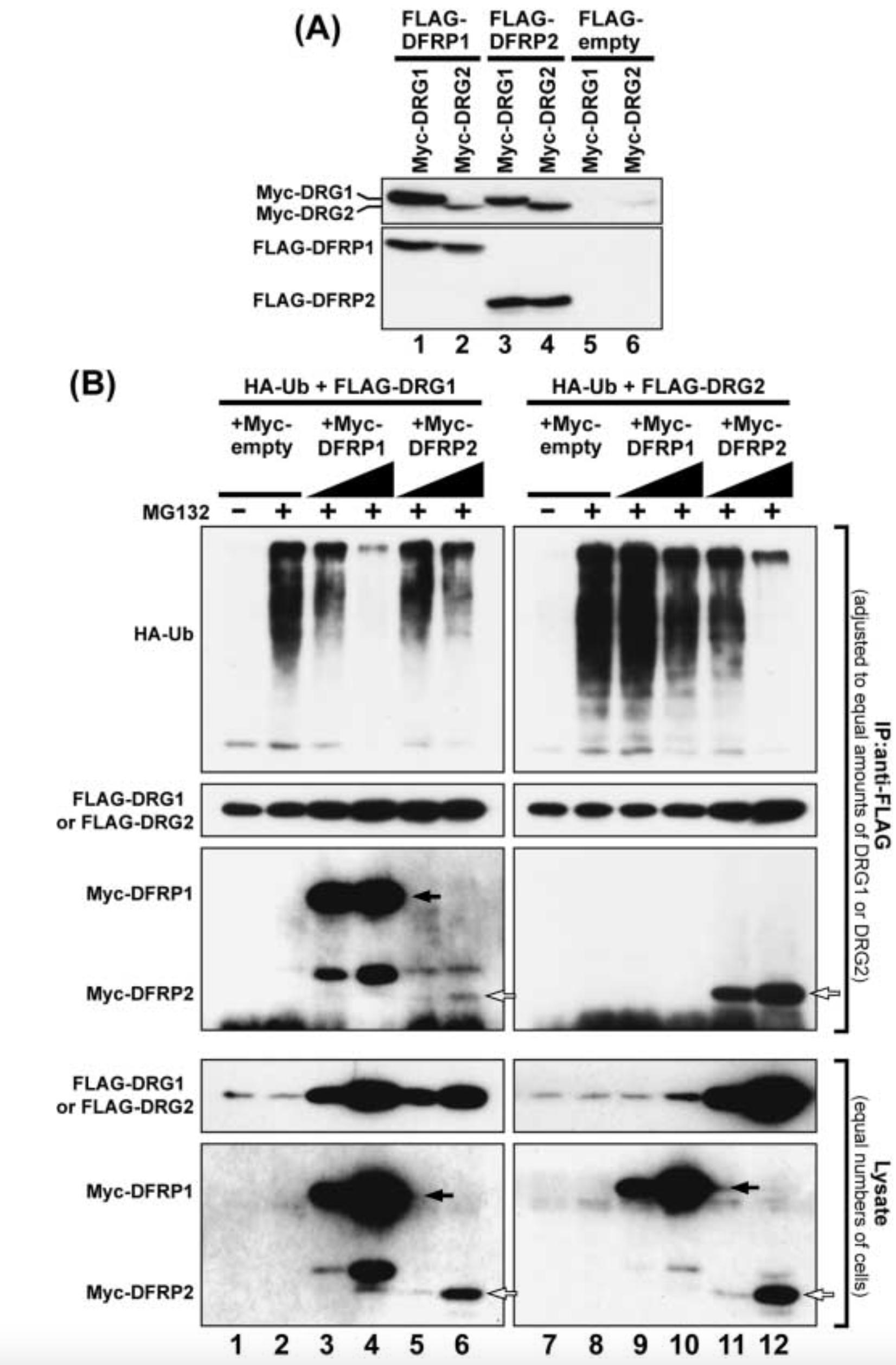
Figure 3 Regulation of expression of DRG proteins by DFRPs. (A) Increased expression of DRG proteins by coexpression with DFRPs. Extracts of 293T cells trans- fected with an expression vector for Myc- tagged DRG1 or DRG2 alone or together with an expression vector for FLAG-tagged DFRP1 or DFRP2 were analyzed by Western blotting with anti-Myc and anti-FLAG antibodies. (B) Inhibition of ubiquitination of DRG proteins by associ- ation of DFRPs. 293T cells transfected with the expression vectors encoding HA- Ubiquitin (Ub) (3 μg) and FLAG-DRG1 (left panels) or DRG2 (right panels) (3 μg), and together with Myc-DFRP1 or DFRP2 (1 or 5 μg) were treated with (+) or without (–) 10 μm of MG132 3 h before harvest. IP panels, cell lysates were incubated with anti-FLAG antibody, and immuno- precipitated complexes were probed with anti-HA antibody to detect ubiquitin con- jugates.The same membrane was stripped and reprobed repeatedly with anti-FLAG and anti-Myc antibody to detect DRGs and DFRPs, respectively. Black arrows and white arrows indicate full-length Myc- DFRP1 and Myc-DFRP2, respectively. On these membranes, the amounts of FLAG-DRG1 and FLAG-DRG2 were equalized on all lanes.To do this, the loading amount of each sample was determined by preliminary assessment of the concentration on another blot with the same samples. Lysate panels, cell lysates used for immunoprecip- itation reactions were analyzed by Western blotting with anti-Myc antibody to detect DFRPs.The same membrane was stripped and reprobed with anti-FLAG antibody to detect DRG1 and DRG2. On SDS-PAGE, we loaded extracts of equal numbers of cells.
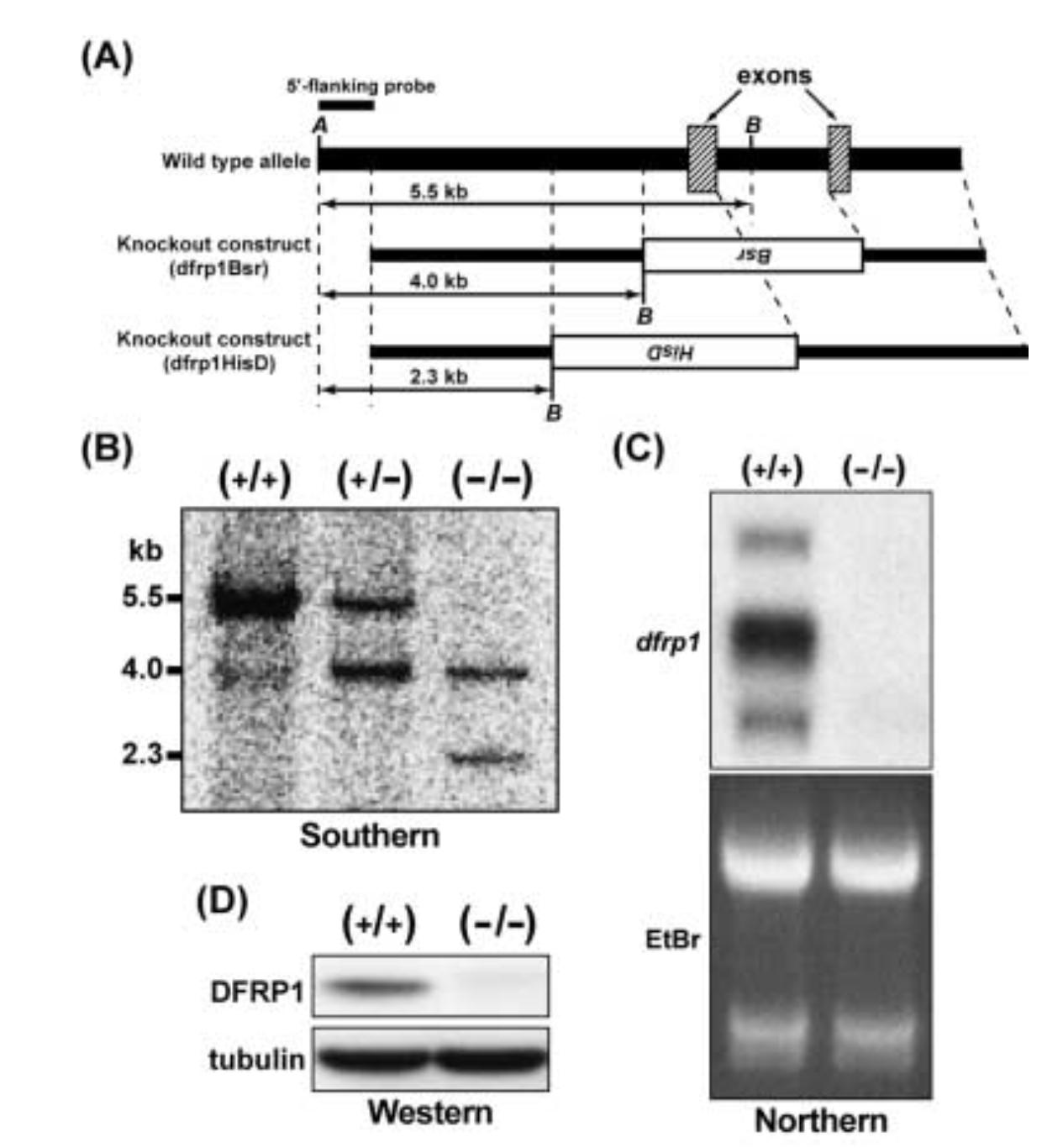
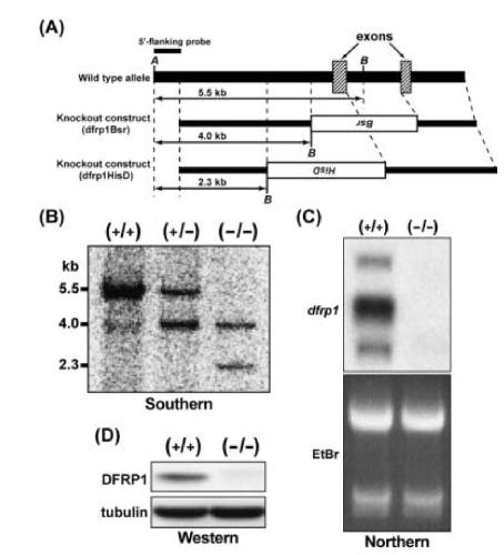
Figure 4 Disruption of the dfrp1 gene in DT40 cells. (A) Structure of the partial chicken (Gallus gallus) dfrp1 gene locus and knockout constructs. Hatched boxes represent exons of the chicken dfrp1 gene.The left exon contains the ZnF-1 domain.To target this exon, blasticidin (Bsr)- and histidinol (HisD)-resistance genes were flanked by the upstream and downstream genomic arms.The resultant targeting vectors were termed dfrp1Bsr and dfrp1HidD, respectively.The locations of the ApaI (A) and BamHI (B) restriction sites, used in the Southern blot analysis of possible recombinant clones are shown beside the maps. (B) Southern blot analysis of ApaI-BamHI-double digested genomic DNA prepared from DT40 wild-type (+/+) and dfrp1+/– or dfrp1–/– cells. (C) Northern blot analysis of dfrp1 mRNA expression in DT40 wild- type (+/+) and dfrp1–/– cells. Ethidium bromide (EtBr)-stained rRNAs are shown as loading controls. (D) Western blot analysis of DT40 wild-type (+/+) and dfrp1–/– cells.Tubulin was stained as an internal loading control.
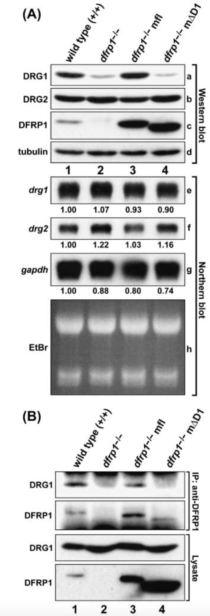
Figure 5 Regulation of DRG1 expression by DFRP1 in vivo. (A)Western blot (upper panels) and Northern blot (lower panels) analysis of DT40 wild-type, dfrp1–/–, dfrp1–/–mfl, and dfrp1–/– m∆D1 cells. Whole-cell extracts were separated by SDS-PAGE and then transferred to a membrane that was immunoblotted repeatedly with antibodies against DRG1, DRG2, DFRP1, and tubulin (for internal loading control).Total cell numbers per lane were equalized (2.5 × 105 cells/lane). For Northern blot analysis, cells were collected from the same culture dish used for Western blot analysis. Total RNA was isolated, separated through a 1.2% formaldehyde denaturing gel, transferred to a nylon membrane, and probed with radiolabelled chicken drg1, drg2, or gapdh (for internal control) partial cDNA probes.The same membrane was used repeatedly. Band intensity was quantified on a Fujifilm BAS2000 bio-imaging autoanalyser. Results are displayed as the ratio of expression in dfrp1–/–, dfrp1–/–mfl, or dfrp1–/–m∆D1 cells to that in wild-type cells. (B) Immunoprecipitation analysis for association between DFRP1 and DRG1. Numbers of DT40 wild-type, dfrp1–/–, dfrp1–/–mfl, and dfrp1–/–m∆D1 cells were adjusted to 1 : 7 : 1 : 7, respectively, to equalize the total amount of DRG1 protein in each extract. Cell extracts were incubated with anti-DFRP1 antibody, and the immunoprecipitated complexes and cell lysates were then probed with either anti- DRG1 or anti-DFRP1 antibody on Western blot analysis.
Figure 6 Expression analysis of dfrp1 and drg1 in X. laevis. (A) Spatial expression of dfrp1 and drg1 transcripts during Xenopus embryonic development. (a,b) Ventral views, anteriorleft; (c,d) Dorsal views, anteriorleft; (eâj) Lateral views, anteriorleft; (gâ² and hâ²) Higher magnification images of the anterior part of the embryo depicted in g and h, respectively; (i, j) Clearing of embryo by benzyl alcohol:benzyl benzoate (2 : 1). Abbreviations: ba, branchial arch; bcs, branchial crest segment; bi, blood islands; de, developing eyes; e, eyes; fb, forebrain; hb, hindbrain; hcs, hyoid crest segment; le, lens; mb, midbrain; mcs, mandibular crest segment; nc, notochord; ov, otic vesicle; pr, pronephros; sc, spinal cord; sm, somite; tnc, trunk neural crest. (B) Tissue-specific expression of dfrp1 mRNAs in adult Xenopus.Total RNAs were isolated from the indicated adult tissues for Northern blotting. (C) Temporal expression of dfrp1 transcripts during X. laevis embryonic development.Total RNAs were isolated from Xenopus embryos at the indicated stages for Northern blotting. In (B,C), the same membrane that was used in our previous paper (Ishikawa et al. 2003) was reprobed.Therefore, quality and amount of RNA loaded were confirmed.