Click here to close
Hello! We notice that you are using Internet Explorer, which is not supported by Xenbase and may cause the site to display incorrectly.
We suggest using a current version of Chrome,
FireFox, or Safari.
???displayArticle.abstract???
We report the identity of a major component of Triton-insoluble extracts from Xenopus oocytes and early embryos. In a previous paper we showed that an antibody, Z9, cross-reacts with two polypeptides from such extracts (Mr 56,000 and 57,000) as well as Xenopus vimentin. Direct microsequencing of the Mr 57,000 protein shows near identity of three tryptic fragments with regions of the predicted amino acid sequence of XCK1(8), a basic cytokeratin whose mRNA is known to be expressed in Xenopus oocytes. We have raised an antibody, CK7, against a fusion protein generated from this cDNA. The specificity of this antibody has been tested using 1- and 2-dimensional immunoblotting, which show that it is specific for the Mr 56,000 and 57,000 proteins, suggesting that these two proteins may be the products of two non-allelic XCK1(8) genes. The antibody does not cross-react with vimentin. We have used CK7 to follow the distribution of XCK1(8) throughout development by immunoblotting and immunocytochemistry. In larval stages, strong staining is seen in the notocord, the apical epithelia of the gut, the mesentery, and a few cells in the spinal cord. In oocytes and early embryos, two distinct intermediate filament (IF) networks can be distinguished: a cortical cytokeratin network, and a deeper vimentin one. In addition, the oocytegerm plasm stains with Z9 but not CK7. We propose that such distinct distributions of each IF protein reflect functional differences during early development.
Fig. 1. Sequences of three tryptic fragments obtained from
the Mr 57,000 protein, arbitarily named PI, P2 and P3. A
comparison of these with XCK1(8) is shown. Amino acid
positions within the XCK1(8) clone are given above each
comparison, mismatches are in bold type.
Fig. 2. 2-D immunoblots of Triton-insoluble extracts from stage 5 (A), stage 17 (B), and stage 38 (C) Xenopus embryos,
using affinity-purified CK7 antibody (2/ig/ml). MT 56,000 and 57,000 proteins can be seen in each case (indicated in A).
Arrows in C mark three smaller, more acidic cross-reacting proteins. D shows a Coomassie blue stain of stage 38 Tritoninsoluble
proteins. CK7 immunoreactive proteins are arrowed, and the position of vimentin shown (v).' Loadings: A-C, 5
embryos; D, 20 embryos.
Fig. 3. (A and B) show immunoblots of Triton-insoluble
proteins from 10 defolliculated oocytes, either uninjected
(-) or injected with 5ng of synthetic vimentin mRNA 20
hours prior to preparation of the extract (+). A is blotted
with affinity-purified CK7 antibody (2^g/ml), and B with
affinity-purified Z9 (5/^g/ml). Arrows show MT 55, 56 and
57,000 proteins. Overexpressed vimentin is detected by Z9
(B; lane 1), but not by CK7 (A; lane 1). C shows Triton
extracts of 5 stage 5, 10, 17, 23 embryos, and 2 stage 38
embryos blotted with CK7 (2ug/ml)
Fig. 4. RNase protection assay using the CK22 probe (see
Materials and methods) demonstrating the levels of
XCK1(8) during development (CK). RNA recovery is
controlled for using a 5 S RNA probe (5 S). Size markers
are 220 and 150 nucleotide fragments of ^P-labelled Hinfldigested
pBR322.
Fig. 5. Comparison of CK7 (A, D) and Z9 (B, E) staining of larval tissues. (A, B and C) show the neural tube (nt),
notocord (no), and somites (s) stained with 4fytg/ml CK7 (A), 80/ig/ml Z9 (B). (C) is the same section as in B viewed
under phase contrast. (D, E and F) show the dorsal body wall and aorta (a), somites (s), and mesentry (m) stained with
CK7 (D), Z9 (E). (F) is the same section as in E viewed under phase contrast showing the aorta (a), somite (s), kidney
(k) and mesentry (m). Vimentin staining is seen only around the somite, in cells within the developing kidney, and the wall
of the aorta. All these tissues are negative with CK7 (D).xl60.
Fig. 6. Further analysis of CK7 and Z9 in larval tissues.
High power view of three different sections of a loop of
gut: (A) under phase contrast, (B) stained with 40/ig/ml
CK7, and (C) stained with 80^g/ml Z9. Lu, lumen of gut.
x600.
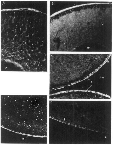
Fig. 7. Immunostaining of sections of ethanol-fixed ovary with Z9 at 80^g/ml (A and D) and CK7 at 40/<g/ml (B, C and E).
(A and B) show Z9 (A) and CK7 (B) staining of the animal pole of stage 6 oocytes (gv, germinal vesicle). (C) shows CK7
staining of two oocyte corticies (f, folicle cell layers). (D and E) Views of the vegetal pole stained with Z9 (D; gp, germ
plasm) and CK7 (E). Cytokeratin staining is arrowed. Note that both antibodies stain cells within the folicle cell layers (f).
X550.
Fig. 8. (A, B and C) Grazing sections through the animal pole of a fully grown oocyte stained with CK7 (A; f, follicle cell
layers) and with Z9 (B). (C) is the same section as in A viewed under phase contrast. (D) shows CK7 staining in the
surface of one vegetal blastomere of a stage 7 embryo stained as a whole mount. x200.