XB-ART-24260
Cell
1991 Dec 20;676:1111-20. doi: 10.1016/0092-8674(91)90288-a.
Show Gene links
Show Anatomy links
Molecular nature of Spemann's organizer: the role of the Xenopus homeobox gene goosecoid.
???displayArticle.abstract???
This study analyzes the function of the homeobox gene goosecoid in Xenopus development. First, we find that goosecoid mRNA distribution closely mimics the expected localization of organizer tissue in normal embryos as well as in those treated with LiCl and UV light. Second, goosecoid mRNA accumulation is induced by activin, even in the absence of protein synthesis. It is not affected by bFGF and is repressed by retinoic acid. Lastly, microinjection of goosecoid mRNA into the ventral side of Xenopus embryos, where goosecoid is normally absent, leads to the formation of an additional complete body axis, including head structures and abundant notochordal tissue. The results suggest that the goosecoid homeodomain protein plays a central role in executing Spemann's organizer phenomenon.
???displayArticle.pubmedLink??? 1684739
???displayArticle.pmcLink??? PMC3102583
???displayArticle.link??? Cell
???displayArticle.grants??? [+]
HD 07273 NICHD NIH HHS , HD 21502-06 NICHD NIH HHS , R37 HD021502-13 NICHD NIH HHS , R37 HD021502 NICHD NIH HHS , R01 HD021502 NICHD NIH HHS
Species referenced: Xenopus laevis
Genes referenced: fgf2 gsc mif
???attribute.lit??? ???displayArticles.show???
|
|
Figure 1 Whole-Mount In Situ Hybridization of goosecoid Expression in Stage 10½ Gastrulae (A) antisense probe, vegetal view; (B) antisense probe, side view; (C) control sense probe, vegetal view; (D) sagittal section through the dorsal lip. Note that goosecoid hybridization is located in the deep layer of the upper lip of the blastopore. The fate of this region is to become head and notochord mesoderm. The arrow indicates the dorsal blastopore lip. |
|
|
Figure 2 goosecoid Expression Follows the Expected Behavior of the Organizer Field in Experimentally Treated Embryos These embryos have been rendered transparent with Murray’s solution (see Experimental Procedures). (A) untreated stage 10½ gastrula; note that the goosecoid field encompasses about 60° of arc of the marginal zone. (B) LiCI-treated gastrula (0.12 M for 40 min at the 32-cell stage); goosecoid expression has become radially symmetric. (C) UV-treated gastrula (60 s, see Experimental Procedures); note that goosecoid expression is abolished. (D) RA-treated embryo (10−6 M, starting at the 2-cell stage); goosecoid expression is inhibited but still weakly detectable. |
|
|
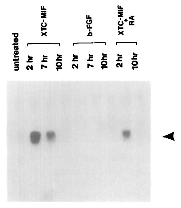
Figure 3 goosecoid Expression in Animal Cap Fragments Treated with Peptide Growth Factors and RA Note that goosecoid mRNA (arrowhead) is induced transiently by XTC-MIF (activin), that it is not induced at all by bFGF, and that XTC-MIF induction is inhibited by RA (compare lanes incubated with growth factor for 2 hr). XTC-MIF was used at 1:3 dilution. FGF was used at 200 ng/ml and RA at 10−6 M. Total RNA extracted from 20 animal caps was loaded in each lane and processed as described (Blumberg et al., 1991). |
|
|
Figure 4 Time Course and Protein Synthesis Independence of the Induction of goosecoid mRNA by XTC-MIF in Animal Caps (A) Groups of 20 animal caps isolated from stage 8 blastulae were incubated with XTC-MIF for the indicated times and analyzed by Northern blot. Note that goosecoid induction is detectable after 30 min. (B) Inhibition of protein synthesis by cycloheximide (CHX) does not prevent goosecoid expression. Animal caps were preincubated for 30 min with or without cycloheximide and then induced for 90 min with XTC-MIF, following the protocol of Rosa (1989). |
|
|
Figure 5 Comparable Results Are Obtained by goosecoid mRNA Microinjection and by Dorsal Lip Transplantation Experimental diagram and embryos resulting from (A) microinjection of goosecoid mRNA into the two ventral blastomeres (as close as possible to the first cleavage plane) and (B) a traditional Spemann organizer transplantation experiment. Note that the resulting embryos resemble each other and have extensive secondary neural tubes (dark lines) at the late neurula stage. In both embryos the two axes originate independently from each other in the posterior region, i.e., two sites of dorsal invagination were present during gastrulation. |
|
|
Figure 6 Phenotypic Effect of Microinjecting goosecoid or Δgsc mRNA into the Two Ventral Blastomeres at the 4-Cell Stage (A) Δgsc control, only one dorsal lip is present at early gastrula. (B) goosecoid mRNA injection, two dorsal lip–like structures are present (arrows). (C) Top, two embryos that received goosecoid mRNA; secondary neural axes are visible. The two bottom embryos were injected with Δgsc mRNA, and no secondary axis is present. (D) Twinned embryo produced by goosecoid mRNA injection; note that a complete head structure containing eyes, hatching gland, and cement gland has been induced. |
|
|
Figure 7 The Additional Axis Induced by goosecoid mRNA Contains Massive Notochord Structures Two transverse sections from the same animal are shown. Note that the notochord is much larger in the secondary axis (2°nc) than in the primary axis (1 °NC). Note that in more posterior regions (B), two small additional neural tubes (cns) have formed in close proximity to the ectopic notochordal tissue in the ventral side of the embryo. |
References [+] :
Amaya,
Expression of a dominant negative mutant of the FGF receptor disrupts mesoderm formation in Xenopus embryos.
1991, Pubmed,
Xenbase
Amaya, Expression of a dominant negative mutant of the FGF receptor disrupts mesoderm formation in Xenopus embryos. 1991, Pubmed , Xenbase
Blumberg, Organizer-specific homeobox genes in Xenopus laevis embryos. 1991, Pubmed , Xenbase
Busa, Lithium-induced teratogenesis in frog embryos prevented by a polyphosphoinositide cycle intermediate or a diacylglycerol analog. 1989, Pubmed , Xenbase
Cho, Differential activation of Xenopus homeo box genes by mesoderm-inducing growth factors and retinoic acid. 1990, Pubmed , Xenbase
Cho, Overexpression of a homeodomain protein confers axis-forming activity to uncommitted Xenopus embryonic cells. 1991, Pubmed , Xenbase
Cho, Differential utilization of the same reading frame in a Xenopus homeobox gene encodes two related proteins sharing the same DNA-binding specificity. 1988, Pubmed , Xenbase
Cooke, Mesoderm-inducing factors and Spemann's organiser phenomenon in amphibian development. 1989, Pubmed , Xenbase
Cooke, Properties of the primary organization field in the embryo of Xenopus laevis. II. Positional information for axial organization in embryos with two head organizers. 1972, Pubmed , Xenbase
Cooke, The organization of mesodermal pattern in Xenopus laevis: experiments using a Xenopus mesoderm-inducing factor. 1987, Pubmed , Xenbase
Dent, A whole-mount immunocytochemical analysis of the expression of the intermediate filament protein vimentin in Xenopus. 1989, Pubmed , Xenbase
De Robertis, Gradient fields and homeobox genes. 1991, Pubmed
De Robertis, Homeobox genes and the vertebrate body plan. 1990, Pubmed , Xenbase
Dixon, Cellular contacts required for neural induction in Xenopus embryos: evidence for two signals. 1989, Pubmed , Xenbase
Driever, The bicoid protein determines position in the Drosophila embryo in a concentration-dependent manner. 1988, Pubmed
Durston, Retinoic acid causes an anteroposterior transformation in the developing central nervous system. 1989, Pubmed , Xenbase
Elinson, The Location of Dorsal Information in Frog Early Development: (dorsoventral polarity/organizer/mesoderm/dorsal). 1989, Pubmed
Fritz, Duplicated homeobox genes in Xenopus. 1989, Pubmed , Xenbase
Gehring, Homeo boxes in the study of development. 1987, Pubmed
Gerhart, Cortical rotation of the Xenopus egg: consequences for the anteroposterior pattern of embryonic dorsal development. 1989, Pubmed , Xenbase
Gimlich, Early cellular interactions promote embryonic axis formation in Xenopus laevis. 1984, Pubmed , Xenbase
Gimlich, Acquisition of developmental autonomy in the equatorial region of the Xenopus embryo. 1986, Pubmed , Xenbase
Green, Graded changes in dose of a Xenopus activin A homologue elicit stepwise transitions in embryonic cell fate. 1990, Pubmed , Xenbase
Hemmati-Brivanlou, Localization of specific mRNAs in Xenopus embryos by whole-mount in situ hybridization. 1990, Pubmed , Xenbase
Kao, The entire mesodermal mantle behaves as Spemann's organizer in dorsoanterior enhanced Xenopus laevis embryos. 1988, Pubmed , Xenbase
Keller, Vital dye mapping of the gastrula and neurula of Xenopus laevis. I. Prospective areas and morphogenetic movements of the superficial layer. 1975, Pubmed , Xenbase
Keller, Vital dye mapping of the gastrula and neurula of Xenopus laevis. II. Prospective areas and morphogenetic movements of the deep layer. 1976, Pubmed , Xenbase
Kessel, Murine developmental control genes. 1990, Pubmed
Klein, The first cleavage furrow demarcates the dorsal-ventral axis in Xenopus embryos. 1987, Pubmed , Xenbase
Krieg, Functional messenger RNAs are produced by SP6 in vitro transcription of cloned cDNAs. 1984, Pubmed , Xenbase
Mathews, Expression cloning of an activin receptor, a predicted transmembrane serine kinase. 1991, Pubmed
Melton, Pattern formation during animal development. 1991, Pubmed , Xenbase
Newport, A major developmental transition in early Xenopus embryos: I. characterization and timing of cellular changes at the midblastula stage. 1982, Pubmed , Xenbase
Niehrs, Ectopic expression of a homeobox gene changes cell fate in Xenopus embryos in a position-specific manner. 1991, Pubmed , Xenbase
Nieuwkoop, The organization center of the amphibian embryo: its origin, spatial organization, and morphogenetic action. 1973, Pubmed
Nüsslein-Volhard, Determination of the embryonic axes of Drosophila. 1991, Pubmed
Rosa, Mix.1, a homeobox mRNA inducible by mesoderm inducers, is expressed mostly in the presumptive endodermal cells of Xenopus embryos. 1989, Pubmed , Xenbase
Ruiz i Altaba, Retinoic acid modifies mesodermal patterning in early Xenopus embryos. 1991, Pubmed , Xenbase
Ruiz i Altaba, Interaction between peptide growth factors and homoeobox genes in the establishment of antero-posterior polarity in frog embryos. 1989, Pubmed , Xenbase
Savage, Signals from the dorsal blastopore lip region during gastrulation bias the ectoderm toward a nonepidermal pathway of differentiation in Xenopus laevis. 1989, Pubmed , Xenbase
Simeone, Sequential activation of HOX2 homeobox genes by retinoic acid in human embryonal carcinoma cells. 1990, Pubmed
Sive, Identification of a retinoic acid-sensitive period during primary axis formation in Xenopus laevis. 1990, Pubmed , Xenbase
Sive, Retinoic acid perturbs the expression of Xhox.lab genes and alters mesodermal determination in Xenopus laevis. 1991, Pubmed , Xenbase
Slack, The role of fibroblast growth factor in early Xenopus development. 1989, Pubmed , Xenbase
Smith, Inducing factors and the control of mesodermal pattern in Xenopus laevis. 1989, Pubmed , Xenbase
Smith, Cell lineage labels and region-specific markers in the analysis of inductive interactions. 1985, Pubmed , Xenbase
Spemann, [Not Available]. 1931, Pubmed
Stewart, The anterior extent of dorsal development of the Xenopus embryonic axis depends on the quantity of organizer in the late blastula. 1990, Pubmed , Xenbase
Tautz, A non-radioactive in situ hybridization method for the localization of specific RNAs in Drosophila embryos reveals translational control of the segmentation gene hunchback. 1989, Pubmed
Thomsen, Activins are expressed early in Xenopus embryogenesis and can induce axial mesoderm and anterior structures. 1990, Pubmed , Xenbase
Wolpert, Positional information revisited. 1989, Pubmed
Yuge, A cytoplasmic determinant for dorsal axis formation in an early embryo of Xenopus laevis. 1990, Pubmed , Xenbase
