Click here to close
Hello! We notice that you are using Internet Explorer, which is not supported by Xenbase and may cause the site to display incorrectly.
We suggest using a current version of Chrome,
FireFox, or Safari.
???displayArticle.abstract???
We report the cloning of a cDNA (xnf7) coding for a maternally expressed Xenopus protein that becomes highly enriched in nuclei of the central nervous system during later development and in nuclei of adult brain. The protein also shows stage-specific nuclear/cytoplasmic partitioning and phosphorylation that may be related to its function. In addition, it binds to double-stranded DNA in vitro. The conceptual protein produced by the xnf7 clone contains several acidic domains, a novel zinc finger domain, three putative p34cdc2 protein kinase phosphorylation sites, and a bipartite basic nuclear localization signal. The xnf7 mRNA was detected as a maternal transcript that decreased in abundance during development through the gastrula stage. It was reexpressed at the neural stage in mesoderm and neural tissues, and its reexpression was not dependent upon the normal juxtaposition of the mesoderm and ectoderm that occurs during neural induction as demonstrated by high titer in exogastrulae. In situ hybridization showed enrichment of the mRNA in the neural tube and a small amount in the mesoderm at the late neurula stage. Xnf7 is normally phosphorylated during oocyte maturation. The bacterially expressed xnf7 protein was phosphorylated in vitro by purified maturation-promoting factor at a threonine in a small N-terminal domain containing one of the p34cdc2 protein kinase phosphorylation sites, but not by several other protein kinases. The structural domains present in the protein and its localization in nuclei suggest that the xnf7 gene product performs an important nuclear function during early development, perhaps as a transcription factor or a structural component of chromatin.
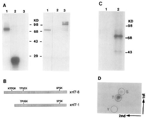
FIG. 1. Cloning of cDNA for protein 7. (A) P-galactosidase fusion proteins from the X gtll cDNA clones xnf7-1 (lane 1) and xnf7-8 (lane 2) were
prepared, electrophoresed on 7.5% SDS-polyacrylamide gels, and blotted onto nitrocellulose membranes. Identical blots were reacted separately
with the monoclonal antibodies 37-lA9 or b6-2A12. (B) cDNA inserts from clones xnf7-1 and xnf7-8 were subcloned in the plasmid PET3A
and proteins were expressed as described under Materials and Methods. Protein extracts from 100 ~1 of E. coli cells, separated into pellet and
supernatant fractions, were electrophoresed on a 6% SDS-polyacrylamide gel and stained with Coomassie blue. The recombinant proteins
produced by clones xnf7-1 and xnf7-8 were detected predominantly in pellet fractions (indicated by dots). Lane 1, supernatant; lane 2, pellet
fractions of bacterially expressed protein from xnf7-8; lane 3, supernatant; lane 4, pellet fractions of bacterially expressed protein from xnf7-I.
(C) Oocyte extract (lane l), bacterially produced proteins from clones xnfâi-1 (lane 2) and xnf7-8 (lane 3), and brain extract (lane 4) were
electrophoresed on SDS-polyacrylamide gels and blotted onto nitrocellulose membrane. The Western blot was treated with the polyclonal
antibody L24 produced against the bacterially produced protein from xnf7-8. The protein molecular size markers used are indicated.
FIG. 2. Characterization of the xnf7 cDNA clones. Nucleotide sequence of the xnf7 cDNA clone and the deduced amino acid sequence of the
encoded protein are presented. *The in-frame stop codons present upstream of the first AUG initiation codon. The acidic domains are boxed,
putative zinc finger regions are underlined, and the putative ~34~~” protein kinases are marked with double underlines.
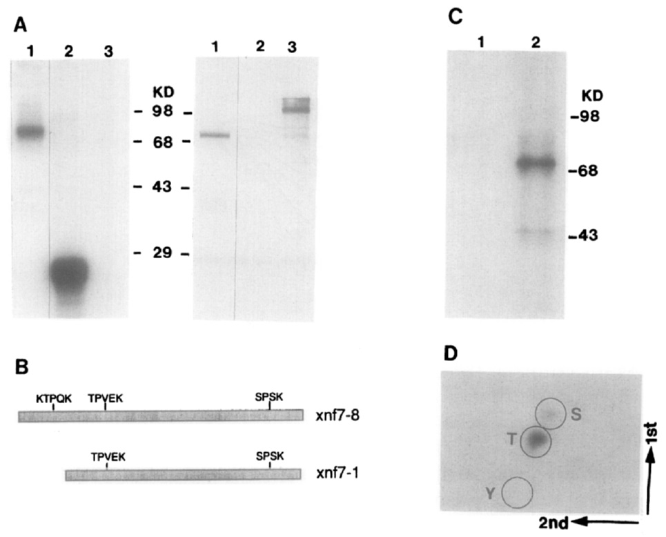
FIG. 3. Phosphorylation of bacterially expressed xnf7 protein with purified MPF. (A) Two micrograms of xnf7 protein from clone xnf7-8 (lane
l), histone Hl (lane 2), or xlcaax-1 (lane 3) was treated with MPF as described under Materials and Methods, electrophoresed on 10%
SDS-polyacrylamide gels, and blotted onto nitrocellulose membrane. The blot was first exposed to X-ray film (autoradiogram at left) and later
treated with mab 37-IA9 (Western blot on right). (B) Diagrammatic representation of xnf7 protein from clone xnf7-1 and clone xnf7-8
indicating the positions of the potential ~34~~ protein kinase sites. (C) Two micrograms of xnf7 protein produced from clone xnf7-1 (lane 1) and
clone xnf7-8 (lane 2) was treated with MPF and subjected to electrophoresis on 7.5% SDS-polyacrylamide gels. The gel was dried and exposed to
X-ray film. (D) The xnf7 protein phosphorylated by MPF was eluted from the acrylamide gel (lane 2-C) and subjected to phosphoaminoacid
analysis. S, phosphoserine; T, phosphothreonine; Y, phosphotyrosine marker positions.
FIG. 5. Effect of neural induction on reexpression of xnf7. Ten micrograms of total RNA isolated from stage 16 normal (N) or exogastrulated
(E) embryos was electrophoresed and blotted onto Nytran membrane. The blot was hybridized with random prime-labeled xnf7 cDNA probe.
FIG. 6. IN situ hybridization of xnf7 to stage 26 embryos. Sectioned embryos at stage 26 were hybridized as described under Materials and
Methods using [s35]methionine-labeled single-stranded xnf7 cRNA probe. (A) Antisense probe. (B) Sense probe. NT, neural tube; N, notochord.
FIG. 7. Analysis of xnf7 transcript in adult tissues. Ten micrograms
of total RNA from various adult tissues of X laevis was electrophoresed,
blotted onto Nytran membrane, and hybridized with xnf7 cDNA
probe. K, kidney; H, heart; M, muscle; B, brain; G, gut; Sk, skin; L,
liver; Sp, spleen. RNA degradation was monitored by ethidium bromide
staining of the gel prior to blotting.