Click here to close
Hello! We notice that you are using Internet Explorer, which is not supported by Xenbase and may cause the site to display incorrectly.
We suggest using a current version of Chrome,
FireFox, or Safari.
???displayArticle.abstract???
Temporal constraints on androgen regulated masculinization of three sexually dimorphic laryngeal properties--tension, fiber type, and fiber recruitment--were examined in Xenopus laevis frogs. Endocrine state was manipulated at PM0 when the larynx is similar in males and females, at PM2 when the larynx begins sexual differentiation, and at PM6 when sexual differentiation is complete. Removing the testes in developing males (PM0 or PM2) completely arrests laryngeal masculinization. Masculinization resumes when testosterone is replaced later in development (PM2 or PM6, respectively). Thus, testicular secretions, in particular androgens, are required for laryngeal masculinization. The ability of androgens to masculinize tension, fiber type, and fiber recruitment in developing and adult larynges was also determined. Five weeks of testosterone treatment in PM0 or PM2 males and females completely masculinizes laryngeal tension and fiber type, but only partially masculinizes fiber recruitment. However, fiber recruitment can be fully masculinized in PM6 males castrated at PM2. We conclude that androgen induced masculinization of tension and fiber type are not temporally constrained but that androgen induced masculinization of fiber recruitment is. Prolonged androgen treatment can override the temporal constraints on masculinization of the larynx. Testosterone treatment for more than 6 months fully masculinizes fiber recruitment in developing (PM0 or PM2) females. In addition, prolonged treatment (greater than 9 months) completely masculinizes tension, fiber type, and fiber recruitment in adult females; these properties were not fully masculinized by shorter (1-3 months) treatments in adult females. Testosterone induced masculinization in females is maintained for up to 8 months following testosterone removal; thus androgen effects are long lasting and possibly permanent.
FIG. 1. Laryngeal tension and EMG reeords from control, castrated,
sham operated, and androgen treated males. (a, e) Intact PM2 males;
(b, f) PM6 males castrated at PM2; (e, g) PM6 males that had received
sham operations at PM2; (d, h) androgen treated PM6 males castrated
at PM2. Castration at PM2 prevents maseulinization (compare top
two traces); larynges from both groups produce mostly maintained
tension and little EMG potentiation. Androgen treatment in PM6 castrates
reinitiates maseulinization (eompare bottom two traces); larynges
from both groups produce entirely transient tension and
marked EMG potentiation. Calibration bar: 50 ms.
FIG. 2. Effect of castration at PM2 on male laryngeal masculinization
with and without testosterone treatment at PM6. Means _+ standard
deviations for the percentage of transient tension and EMG potentiation
are shown for intact PM2 males, PM6 males castrated at
PM2, PM6 males that had received a sham operation at PM2, and
androgen treated PM6 males castrated at PM2. Asterisks indicate a
statistically significant difference between groups; NS indicates that
there is no statistical difference between groups.
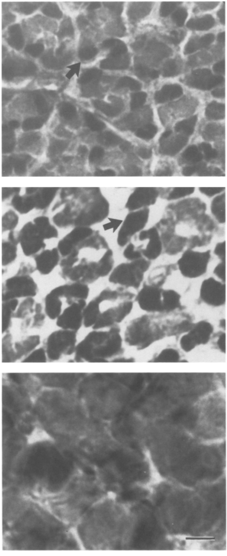
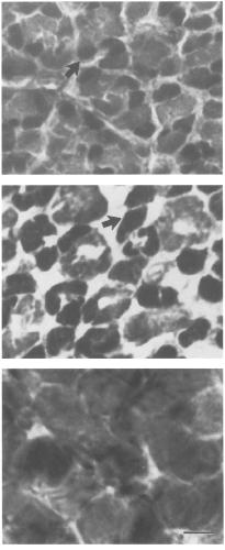
FIG. 3. ATPase histochemistry of control, castrated, and androgen
treated male laryngeal muscle. (Top) intact PM2 male; both fast and
slow (arrow) twitch fibers are present. (Middle) PM6 male castrated
at PM2; fiber composition similar to intact PM2 males (a slow twitch
fiber is indicated by the arrow). (Bottom) androgen treated PM6 male
castrated at PM2; no slow twitch fibers are present. Calibration bar:
10 ~m.
FIO. 4. Effect of 5 weeks testosterone treatment on male and female
laryngeal tension and fiber recruitment at PM2. Testosterone treated
groups can be compared with PM6 male values (column at far right)
and untreated frogs of the same age and sex. The percentage of transient
tension is fully masculinized by testosterone treatment in both
sexes. EMG potentiation is only partially masculinized by testosterone
treatment in both sexes. Asterisks indicate a significant difference
between groups. NS indicates no significant difference between
groups.
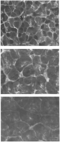
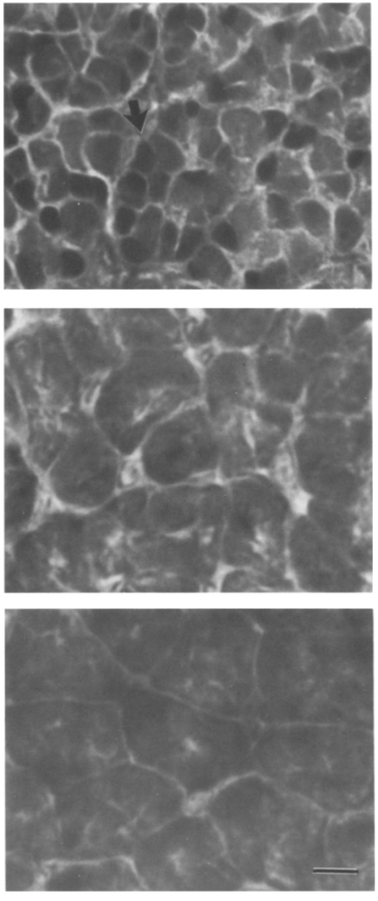
FIG. 5. Effect of 5 weeks testosterone treatment on male fiber type
at PM2. (Top) intact PM2 male; heterogeneous population of fast and
slow (arrow) twitch fibers. (Middle) testosterone treated PM2 male;
homogeneous population of fast twitch fibers. (Bottom) intact PM6
male; homogeneous population of fast twitch fibers. Calibration bar:
10 Um.
FIG. 6. Effect of 5 weeks testosterone treatment on male and female
laryngeal tension and fiber recruitment at PM0. Testosterone treated
groups can be compared with PM6 male values (column at far right)
and untreated frogs of the same age and sex. Testosterone treatment
fully masculinizes the percentage of transient tension and partially
masculinizes EMG potentiation in both sexes. Asterisks indicate a
significant difference between groups. NS indicates no significant difference
between groups.
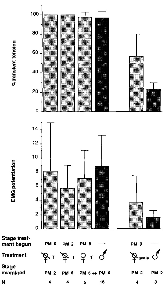
FIG. 7. Effect of long duration testosterone treatment on laryngeal
tension and EMG potentiation in females. Means + standard deviations
are given for the percentage of transient tension and EMG potentiation
for females ovariectomized at PM0 and given testosterone
until PM2, females ovariectomized at PM2 and given testosterone until
PM6, and PM6 females that received testosterone pellets for 9
months or longer. No error bar for the percentage of transient tension
indicates that all animals tested produced 100% transient tension.
Values for PM6 males (solid bar) are included for comparison. Means
_+ standard deviations are also shown for females ovariectomized at
PM0 and given one testis until PM2; values for PM2 males (solid bar)
are included for comparison.
Erulkar,
5 alpha-dihydrotestosterone has nonspecific effects on membrane channels and possible genomic effects on ACh-activated channels.
1989, Pubmed,
Xenbase
Erulkar,
5 alpha-dihydrotestosterone has nonspecific effects on membrane channels and possible genomic effects on ACh-activated channels.
1989,
Pubmed
,
Xenbase Gorlick,
Neurogenesis in the vocalization pathway of Xenopus laevis.
1987,
Pubmed
,
Xenbase Herrera,
Mechanisms of elimination, remodeling, and competition at frog neuromuscular junctions.
1990,
Pubmed
,
Xenbase Herrera,
Postmetamorphic development of neuromuscular junctions and muscle fibers in the frog cutaneous pectoris.
1991,
Pubmed Jordan,
Critical period for the androgenic block of neuromuscular synapse elimination.
1990,
Pubmed Kelley,
Auditory and vocal nuclei in the frog brain concentrate sex hormones.
1980,
Pubmed
,
Xenbase Kelley,
Development and hormone regulation of androgen receptor levels in the sexually dimorphic larynx of Xenopus laevis.
1989,
Pubmed
,
Xenbase Lyons,
Testosterone-induced changes in contractile protein isoforms in the sexually dimorphic temporalis muscle of the guinea pig.
1986,
Pubmed Marin,
Hormone-sensitive stages in the sexual differentiation of laryngeal muscle fiber number in Xenopus laevis.
1990,
Pubmed
,
Xenbase Sassoon,
Androgen regulation of muscle fiber type in the sexually dimorphic larynx of Xenopus laevis.
1987,
Pubmed
,
Xenbase Tobias,
Temporal constraints on androgen directed laryngeal masculinization in Xenopus laevis.
1991,
Pubmed
,
Xenbase Tobias,
Vocalizations by a sexually dimorphic isolated larynx: peripheral constraints on behavioral expression.
1987,
Pubmed
,
Xenbase Tobias,
Electrophysiology and dye-coupling are sexually dimorphic characteristics of individual laryngeal muscle fibers in Xenopus laevis.
1988,
Pubmed
,
Xenbase Trussell,
The regulation of synaptic strength within motor units of the frog cutaneous pectoris muscle.
1985,
Pubmed Wetzel,
Androgen and gonadotropin effects on male mate calls in South African clawed frogs, Xenopus laevis.
1983,
Pubmed
,
Xenbase