Click here to close
Hello! We notice that you are using Internet Explorer, which is not supported by Xenbase and may cause the site to display incorrectly.
We suggest using a current version of Chrome,
FireFox, or Safari.
???displayArticle.abstract???
A characteristic feature of the obligatory control of amphibian metamorphosis by thyroid hormones is the early acquisition of response of tadpole tissues to these hormones well before the latter are secreted, with 'exponentially' increasing hormonal sensitivity upon the onset of metamorphosis. We have therefore analyzed the expression of the two thyroid hormone receptor genes (TR alpha and beta) before, during and after metamorphosis in Xenopus tadpoles and froglets. Using non-cross-hybridizing cRNA probes for 5' and 3' sequences of Xenopus TR alpha and beta transcripts for RNAase protection assays, the two mRNAs can be detected in tadpoles as early as stage 39. Their concentration increases abruptly at stage 44 and continues to increase differentially at the onset of metamorphosis (stage 55) and through metamorphic climax at stages 58-62, after which they decline upon completion of metamorphosis at stage 66. Quantitative densitometric scanning of autoradiograms showed that, although the concentration of TR beta transcripts is about 1/30th of that of TR alpha mRNA at stages 44-48, depending on the region, it accumulates 3-10 times more rapidly than does the alpha isoform during further development. A substantial proportion of the increase in TR beta mRNA is localized to the head region of tadpoles. Using the hormone-binding domain (HBD) and 3' end of Xenopus TR alpha cRNA as probe for in situ hybridization, the highest concentration of TR transcripts in stage 44 tadpoles is seen in the brain and spinal cord. High concentrations of mRNA are also present in the intestinal epithelium and tail tip, tissues programmed for regression. At later stages (55 onwards), strong hybridization signals are also exhibited by hindlimb buds. This pattern persists through metamorphic climax, after which TR mRNAs decline in all tissues to low levels in froglets at stage 66. In developing froglets, TR transcripts were detected in large amounts in the cytoplasm of stage 1 and 2 oocytes but the rate of their accumulation did not increase with further oocyte growth. This observation raises the possibility that the response to thyroid hormones at early stages of tadpoles (42-44) may be due to TR synthesized on maternally derived mRNA. Exposure of tadpoles at premetamorphic stages (48-52) to exogenous thyroid hormone (T3) substantially enhanced the accumulation of TR mRNA, especially that of TR beta message, which could explain the accelerated increase in sensitivity of tadpoles to thyroid hormones at the onset of natural metamorphosis.(ABSTRACT TRUNCATED AT 400 WORDS)
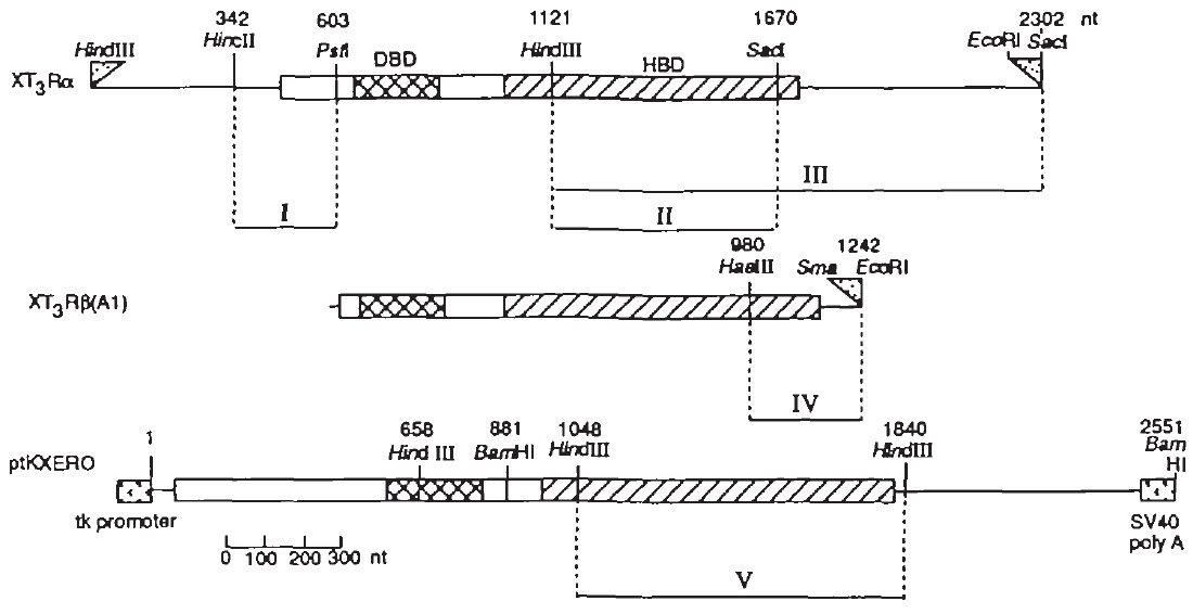
Fig. 1. Diagrammatic
representation of fragments of
cloned cDNAs to Xenopus TRa
and P, and ER mRNAs to
generate cRNA probes for
RNAase protection assay
(fragments I and IV) and in situ
hybridization (fragments II, III,
V). HBD: hormone-binding
domain (•); DBD: DNAbinding
domain (S); The length
of the fragments and their
position is given by nucleotide
numbers and restriction sites.
Cloning sites ( • ) are also
indicated. Details of these and
other probes are given in
Materials and methods.
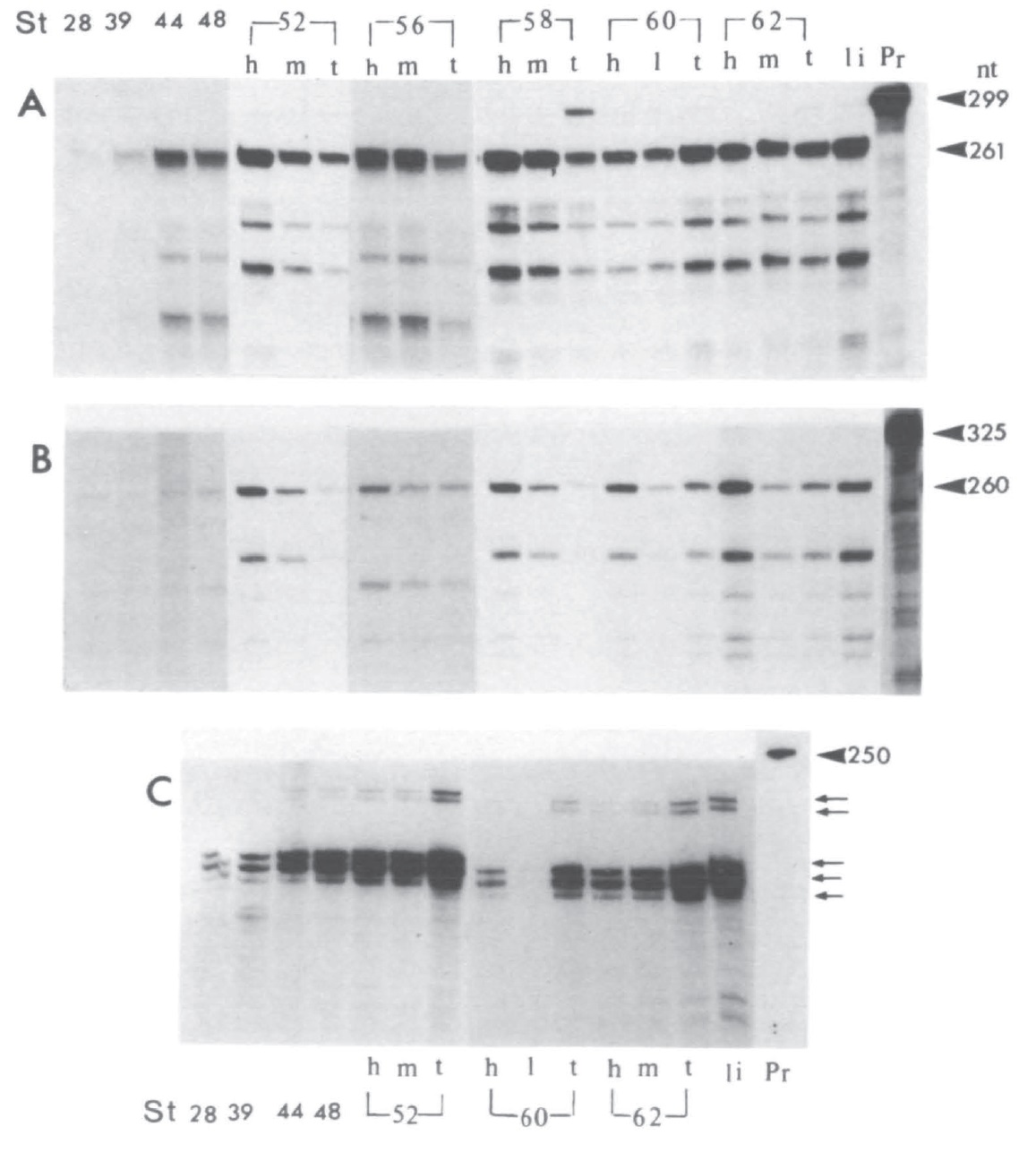
Fig. 2. Detection by RNAase
protection assay of TRa- and fi
transcripts in different regions
and tissues of Xenopus
tadpoles and froglets at
different developmental stages
before, during and after
metamorphosis. 10 (C) or 20
(A,B) ng of total RNA from
whole tadpoles (stages 28, 39,
44, 48), the head (h), middle
(m) and tail (t) portions of
tadpoles, hindlimbs (li) of
froglets and liver (1) of adult
Xenopus were hybridized to
lxlCPctsmin"1 of 32P-labelled
cRNA probes (Pr) for (A)
TRa- cRNA, (B) TR/3 or (C)
cardiac actin cRNA.
Unhybridized RNA and probe
were digested with RNAase A
and Tl and the protected
fragments resolved by
electrophoresis on sequencing
gels with appropriate size
markers (Zinn et at. 1985).
tRNA was used as a negative
control (not shown) and the
complete digestion of the
unprotected probe was verified
for each run. Autoradiograms
were exposed for 16 h for A
and B and for 30min for C.
Arrow indicates the cRNA
probe lengths and the expected
size of the protected probes
(260, 261 nt, respectively) for
TRa-, TR0 CRN As (see Fig. 1).
The multiple protected bands
of actin cRNA probe are
indicated by small arrows in C.
Fig. 3. Dark-field imaging of localization by in situ
hybridization of TR mRNA in different tissues of stage 44
(premetamorphosis) and 55 (prometamorphosis) Xenopus
tadpoles. Sagittal sections were prepared from different
regions of tadpoles hybridized to a mixture of antisense
35S-labelled cRNA probe 3 (1x10^5 cts min-1 uL-1), as
shown in Fig. 1, unhybridized probe digested with RNAase
and the distribution of transcripts visualized by
autoradiography. Sense probes gave virtually no
hybridization and the autoradiographs are not shown here.
(A) Head region of stage 44 tadpole; (B) middle or trunk
region, stage 44; (C) tail, stage 44; (D) trunk and tail with
hindlimb bud in stage 55 (prometamorphosis). Left and
right sides of each image are the ventral and dorsal sides of
the tadpoles, respectively. Bright-field micrographs were
also prepared (not shown) and used for identifying the
different organs and tissues for which the abbreviations are
as follows: Br, brain; Ct, connective tissue; Gi, gill; He,
heart; Hlb, hindlimb bud; In, intestinal epithelium; Ki,
kidney; Li, liver; Mu, muscle; No, notochord; Pf,
pharyngeal floor epithelium; Ph, pharyngeal cavity; Sc,
spinal chord; Sk, skinj.Tf, tailfin; Tm, tailmuscle. Note
that pigmented layers (Pi) and food particles (Fp) appear
as bright zones, also seen with sense probe controls.
Autoradiograms exposed for 9 days.
Fig. 4. Composite assembly of sagittal sections of (A) bright- and (B) dark-field imaging of Xenopus tadpoles at different
developmental stages to show the localization of TR mRNA using the labelled TRa cRNA as probe. (1) Stage 44; (2) stage
56 (prometamorphosis); (3) stage 62 (late-metamorphic climax). The three stages shown are to the same scale.
Abbreviations: Ne, nasal epithelium; Oe, oesophagus; Gb, gall bladder; Go, gonad; Hlc, hindlimb connection. Other
abbreviations as in Fig. 3.
Fig. 5. Localization of TR mRNA in stages 1 and 2 oocytes visualized in sections
through Xenopus froglet ovary hybridized to Xenopus TRa cRNA. (A) Antisense probe;
(B) sense probe. Autoradiograms exposed for 3 and 9 days for antisense and sense
probes, respectively.
Fig. 6. Preferential autoinduction of TRb mRNA by T3 in
different regions of Xenopus tadpoles, as revealed by
RNAase protection assays. 20 fig of RNA from head,
middle and tail regions of stage 52 tadpoles, treated or not
with 2X10~9M T3 or 10~8M oestrogen (E2) were hybridized
to 32P-labelled TRo- or TR/3 cRNA probes and analyzed as
described in Fig. 2. Autoradiograms of TRa and TRb
probes were exposed for 16 and 40 h, respectively. AH
abbreviations and sizes of probes and protected fragments
also as in Fig. 2.