|
Fig. 1. Clay models of a right inner ear of Xenopus at
three successive stages in the formation of the semicircular
canals. Lateral views above, medial views below. (A) Stage
44: slight indentations represent the axial protrusions
beginning to extend into the ear lumen. (B) Stage 47: three
stubby semicircular canals have formed through the fusion
of the axial protrusions. The dorsal structure is the
endolymphatic sac at the end of the endolymphatic duct.
(C) Stage 48+: The semicircular canals have extended and
become thinner. (Endolymphatic duct and sac not shown). |
|
Fig. 2. Schematic cut-away views of three stages in the
formation of a semicircular canal. (A) Initial outpocketing
of otocyst epithelium. (B) Axial protrusions extend into
lumen. (C) Axial protrusions meet and fuse, creating a
semicircular canal. |
|
Fig. 3. Dorsal view of an intact tadpole at stage 46, showing the location of the ears adjacent to the hindbrain. A blue
pigment (monastral blue) has been injected into the lumen of the ear to make its outline clear. Scale bar=100um. |
|
Fig. 4. Araldite sections showing the formation of a
semicircular canal. (A) A pair of axial protrusions (arrows)
filled with extracellular matrix grow into the ear lumen.
Note the thickened appearance of the epithelium covering
the rounded tips of the protrusions. (B) The protrusions
extend and meet, fusing at their tips. Cell death occurs at
the fusion plate (arrow). (C) Epithelial remodelling occurs
creating a smooth cylinder of epithelium covering a column
whose core, initially acellular, later becomes seeded with
mesenchymal cells. The completed canal lies perpendicular
to the plane of the page. Scale bar=80um. |
|
Fig. 5. S.E.M. of an axial protrusion with its apical
epithelium removed, viewed end-on from the luminal side.
Note the finely fibrous matrix in the core. Scale
bar=10um. |
|
Fig. 6. Fibrowax sections stained with alcian blue at pH 2.5 and counterstained with neutral red. (A) Control section.
(B) Adjacent section treated with Streptomyces hyaluronidase (lmgml1) for 4h at 37°C before alcian blue staining. The
enzyme has removed most of the alcian-blue-stainable material from the core of the axial protrusion (arrow). Scale
bar = 75um |
|
Fig. 7. Graph showing the amount of alcian-blue stainable
material remaining in the core of an axial protrusion
following a 4-h digestion with Streptomyces hyaluronidase
at various concentrations. The intensity of stain was
measured photometrically as described in 'Materials and
methods'; the 'relative stain intensity' plotted along the
abscissa is the stain intensity for the given enzyme
concentration divided by the intensity for an adjacent
control section exposed to zero enzyme concentration.
(Thus the relative stain intensity for zero enzyme
concentration is exactly 1.0 by definition). The solid circles
represent a series of measurements made on multiple
sections of a single tadpole. The hollow square at
l.Omgml"1 represents a set of measurements on sections
of 10 different tadpoles. The error bars represent the
standard error of the mean. The curve is drawn by eye. |
|
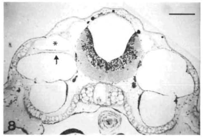
Fig. 8. Transverse section of a tadpole 2 days after an
injection of Streptomyces hyaluronidase (â0.01 nl,
lmgml"1) into the lateral axial protrusion in the right ear.
On the control (left) side, the axial protrusions have met
and fused to form the hub (arrow) of a semicircular canal
(asterisk). By looking at serial sections, we confirmed that
nothing remained of the injected protrusion and its partner
except the two low pimples visible in this section. On the
injected side, the protrusions have regressed and no canal
has been formed. Scale bar=160um. |
|
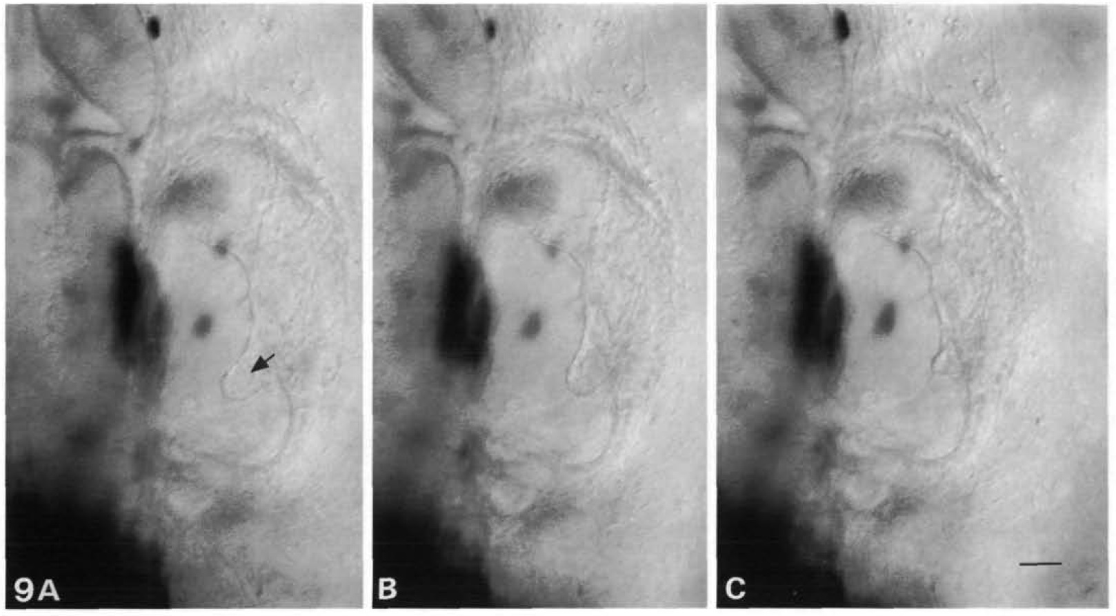
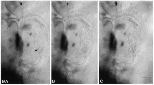
Fig. 9. Collapse of an axial protrusion after Streptomyces hyaluronidase (0.01 nl, lmgml ') is injected into its core, as seen
in dorsal views of the ear of a live, anaesthetised stage 46.5 tadpole. (A) Just before injection of enzyme into the lateral
posterior axial protrusion (arrow). (B) The same specimen Imin after injection: the protrusion is already beginning to
deflate. (C) After 10min the protrusion has collapsed to less than half its former size. Scale bar=70um. |
|
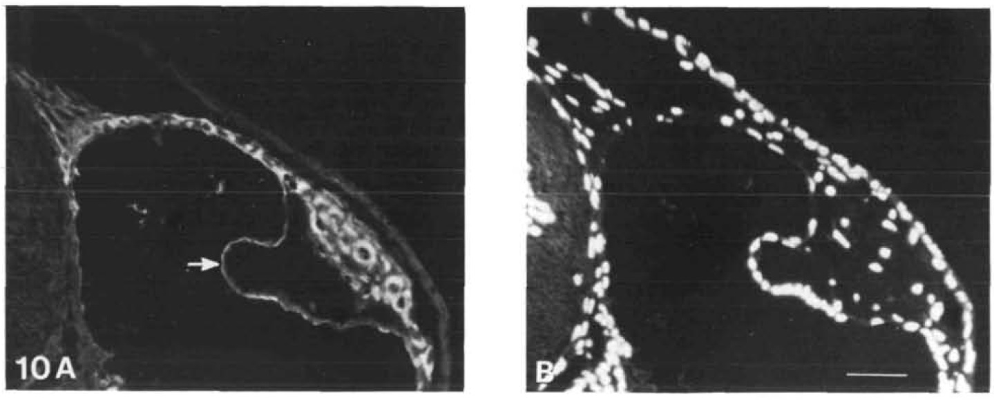
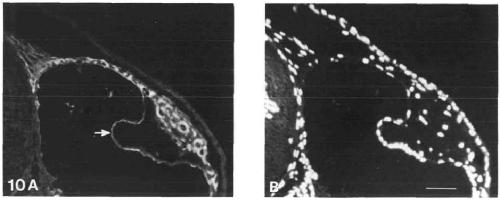
Fig. 10. (A) The chondroitin-sulphate distribution in the inner ear at stage 46.5 as revealed by immunofluorescence with
the CS56 antibody. (B) The pattern of cell nuclei revealed by DAPI staining. Note that there is CS56 immunoreactivity in
the epithelium of an axial protrusion (arrow) and as expected in the cartilage around the ear but not in the core of the
protrusion. Scale bar=50um. |
|
Fig. 11. T.E.M. sections showing (A) a portion of the squamous epithelium near the base of an axial protrusion, and (B) a
portion of the rather thicker epithelium covering the tip of the same protrusion. In (A) one can see a well-defined basal
lamina; in (B) only an amorphous basal fuzz is present. Scale bar=um. |
|
Fig. 12. Immunofluorescence with an anti-laminin
antiserum on fibrowax sections, viewed with a confocal
scanning microscope. (A) An axial protrusion just
beginning to form: there appears to be a continuous layer
of laminin beneath the epithelium. (B) A well-developed
axial protrusion: the layer of laminin appears discontinuous
beneath the epithelium covering the distal part of the
protrusion. Scale bar=45um. |
|
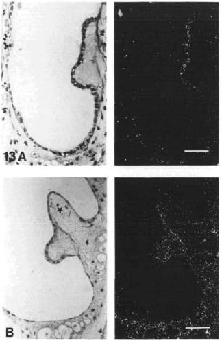
Fig. 13. Autoradiographs showing the pattern of
[3H]glucosamine incorporation in extending axial
protrusions and adjacent tissues. Bright-field views on the
left, dark-field views on the right. (A) Explant pulsed with
[3H]glucosamine at stage 46 and fixed after lh. The
epithelium of two rudimentary axial protrusions is heavily
labelled; neighbouring regions of otic epithelium are not.
Scale bar=50,um. (B) Explant pulsed for lh with
[3H]glucosamine at stage 46 and then cultured for 20 h in
nonradioactive medium before fixation. Most of the label
has cleared from the epithelium and is seen instead in the
extracellular matrix, both in the acellular core of the
protrusion and in other tissues such as cartilage, which is
also rich in GAGS. In this specimen, the starred region
(less heavily labelled) is not a growing axial protrusion but
an already formed axis of a semicircular canal, with
flattened, inactive epithelium and mesenchymal cells
already populating its core. Scale bar=50um. |