Click here to close
Hello! We notice that you are using Internet Explorer, which is not supported by Xenbase and may cause the site to display incorrectly.
We suggest using a current version of Chrome,
FireFox, or Safari.
???displayArticle.abstract???
We describe a Xenopus mRNA, Xrel1, that is related to the avian protooncogene c-rel, the embryonic pattern gene dorsal of Drosophila, and the mammalian transcription factor NK-kappa B/KBF1. The sequence of Xrel1 is homologous to the other rel-related proteins in the large amino-terminal region that defines this class of transcriptional regulators, but the carboxyl-terminal part of the protein is quite different. Xrel1 mRNA is present throughout oogenesis and during early embryogenesis at 4 x 10(5) transcripts per oocyte or embryo. Xrel1 transcripts are present in all of the dissected parts of early embryos that we have examined. They are enriched in the animal hemisphere compared to the vegetal hemisphere of oocytes and blastulae.
FIG. 1. (A) cDNA sequence of Xrell. The poly(A) addition signal is boxed and the stop codon is denoted by an asterisk. The region of
homology to the other members of the rel family is underlined. (B) Comparison of the predicted protein sequence of Xrell with those of other
members of the rel family. The Xrell sequence was aligned with those of rel-related sequences from turkey (c-rel; ref. 4), mouse (mc-rel; ref.
7), human (hc-rel; ref. 8), Drosophila dorsal (12), and NF-KB (9), in a region spanning the amino-terminal domain of conservation (amino acids
18-305 of Xrell). Identical and conservatively substituted amino acid residues are shown in boldface type.
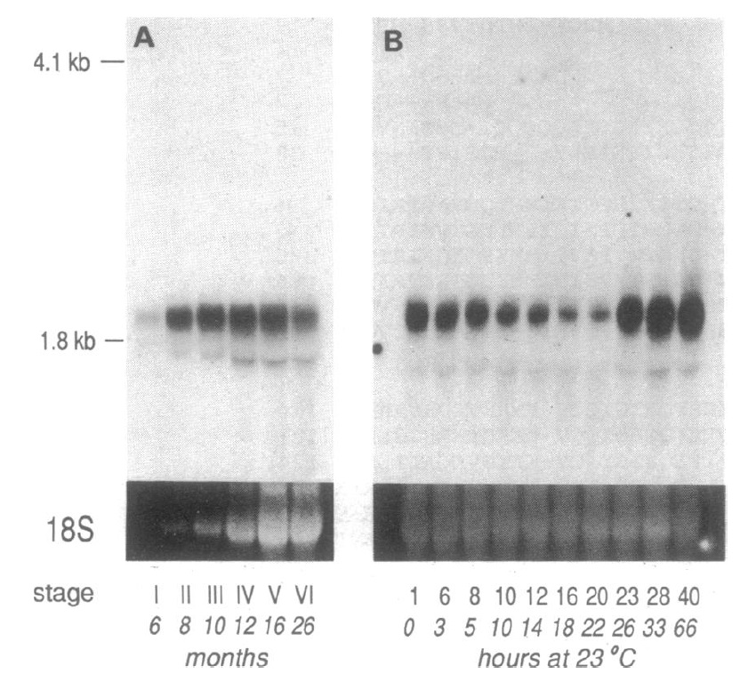
FIG. 2. Northern blot analyses of developmental expression of
Xrell. (A) Accumulation of Xrell transcripts during oogenesis.
RNA from five oocytes was loaded per lane. Ethidium bromide
staining of the 18S rRNA shows the accumulation of total RNA with
increasing size of oocyte. The time in months is the approximate
time oogonia take to reach each oocyte stage. kb, Kilobases. (B)
Accumulation of Xrell transcripts during embryogenesis. RNA
from five embryos was loaded per lane. Approximately equal
amounts of total RNA were loaded as shown by ethidium bromide
staining of 18S rRNA.
FIG. 3. Distribution of Xrell transcripts in early development. In A, 6 animal and 6 vegetal hemispheres of unfertilized eggs, in B, 15 animal, 10
equatorial, 25 vegetal pieces, and three whole embryos of mid-blastulae, and in C, 20-50 neurulatrunk parts, six anterior, six middle, and six posterior
parts, and three whole embryos of late neurulae were analyzed by RNase protection for Xrell and 5S rRNA transcripts. Any differences in the
concentration ofXrell transcripts in the various fractions are not more than a fewfold. The neural tube, which, in the assay shown, appears to contain
very little Xrell RNA, did not reproducibly have a lower concentration than in the other tissues. Yeast tRNA (5 Ag) was used as a hybridization control
(tRNA lane). The numbers on the righthand side of this figure are the sizes in bases of the end-labeled Hinfl fragments of pBR322 used as molecular
size markers.
Andéol,
Characterization and expression of a Xenopus ras during oogenesis and development.
1990, Pubmed,
Xenbase
Andéol,
Characterization and expression of a Xenopus ras during oogenesis and development.
1990,
Pubmed
,
Xenbase Baeuerle,
I kappa B: a specific inhibitor of the NF-kappa B transcription factor.
1988,
Pubmed Biggin,
Buffer gradient gels and 35S label as an aid to rapid DNA sequence determination.
1983,
Pubmed Bours,
Cloning of a mitogen-inducible gene encoding a kappa B DNA-binding protein with homology to the rel oncogene and to cell-cycle motifs.
1990,
Pubmed Brownell,
A human rel proto-oncogene cDNA containing an Alu fragment as a potential coding exon.
1989,
Pubmed Chen,
Characterization of reticuloendotheliosis virus strain T DNA and isolation of a novel variant of reticuloendotheliosis virus strain T by molecular cloning.
1981,
Pubmed Dumont,
Oogenesis in Xenopus laevis (Daudin). I. Stages of oocyte development in laboratory maintained animals.
1972,
Pubmed
,
Xenbase Feinberg,
A technique for radiolabeling DNA restriction endonuclease fragments to high specific activity.
1983,
Pubmed Ghosh,
Cloning of the p50 DNA binding subunit of NF-kappa B: homology to rel and dorsal.
1990,
Pubmed Gilmore,
NF-kappa B, KBF1, dorsal, and related matters.
1990,
Pubmed Grumont,
Structure of a mammalian c-rel protein deduced from the nucleotide sequence of murine cDNA clones.
1989,
Pubmed Gurdon,
Activation of muscle-specific actin genes in Xenopus development by an induction between animal and vegetal cells of a blastula.
1985,
Pubmed
,
Xenbase Gurdon,
Transcription of muscle-specific actin genes in early Xenopus development: nuclear transplantation and cell dissociation.
1984,
Pubmed
,
Xenbase Hannink,
Transactivation of gene expression by nuclear and cytoplasmic rel proteins.
1989,
Pubmed Henikoff,
Unidirectional digestion with exonuclease III creates targeted breakpoints for DNA sequencing.
1984,
Pubmed Hopwood,
MyoD expression in the forming somites is an early response to mesoderm induction in Xenopus embryos.
1989,
Pubmed
,
Xenbase Hopwood,
A Xenopus mRNA related to Drosophila twist is expressed in response to induction in the mesoderm and the neural crest.
1989,
Pubmed
,
Xenbase Kieran,
The DNA binding subunit of NF-kappa B is identical to factor KBF1 and homologous to the rel oncogene product.
1990,
Pubmed Krieg,
In vitro RNA synthesis with SP6 RNA polymerase.
1987,
Pubmed Lenardo,
NF-kappa B: a pleiotropic mediator of inducible and tissue-specific gene control.
1989,
Pubmed Mohun,
Temporal and tissue-specific expression of the proto-oncogene c-fos during development in Xenopus laevis.
1989,
Pubmed
,
Xenbase Rebagliati,
Identification and cloning of localized maternal RNAs from Xenopus eggs.
1985,
Pubmed
,
Xenbase Roth,
A gradient of nuclear localization of the dorsal protein determines dorsoventral pattern in the Drosophila embryo.
1989,
Pubmed Rushlow,
The graded distribution of the dorsal morphogen is initiated by selective nuclear transport in Drosophila.
1989,
Pubmed Sanger,
DNA sequencing with chain-terminating inhibitors.
1977,
Pubmed Sargent,
Identification in Xenopus of a structural homologue of the Drosophila gene snail.
1990,
Pubmed
,
Xenbase Stephens,
Nucleotide sequence of v-rel: the oncogene of reticuloendotheliosis virus.
1983,
Pubmed Steward,
Dorsal, an embryonic polarity gene in Drosophila, is homologous to the vertebrate proto-oncogene, c-rel.
1987,
Pubmed Steward,
Relocalization of the dorsal protein from the cytoplasm to the nucleus correlates with its function.
1989,
Pubmed Taylor,
Xenopus myc proto-oncogene during development: expression as a stable maternal mRNA uncoupled from cell division.
1986,
Pubmed
,
Xenbase Theilen,
Biological studies with RE virus (strain T) that induces reticuloendotheliosis in turkeys, chickens, and Japanese quail.
1966,
Pubmed Wallace,
Protein incorporation by isolated amphibian oocytes. 3. Optimum incubation conditions.
1973,
Pubmed
,
Xenbase Wilhelmsen,
Nucleic acid sequences of the oncogene v-rel in reticuloendotheliosis virus strain T and its cellular homolog, the proto-oncogene c-rel.
1984,
Pubmed